Aller au contenu principal

Numerabilis


Mémoires de l'académie de chirurgie, Tome 74, 1948

Classe de ressource
Periodical
  • DESCRIPTION
  • VOIR PLUS
  • PARCOURIR
Identifiant
ark:/13685/90027x1948
Titre
Mémoires de l'académie de chirurgie, Tome 74, 1948
Date
1948
Éditeur
Paris : Masson
Siècle
XXe siècle
Format
Nombre de vues : 838
Cote du document
90027
Propriétaire
Université Paris Cité. BIU Santé Médecine
Licence
Licence Ouverte
Table des matières
0001 - Page sans numérotation - [Page de faux-titre]0001 - Page sans numérotation - [Page de faux-titre]
0003 - Page sans numérotation - [Page de titre]0003 - Page sans numérotation - [Page de titre]
0004 - Page ii - Personnel de l’académie de chirurgie0004 - Page ii - Personnel de l’académie de chirurgie
0005 - Page iii - Membres titulaires0005 - Page iii - Membres titulaires
0007 - Page v - Associés Parisiens / Membres libres0007 - Page v - Associés Parisiens / Membres libres
0008 - Page vi - Associés nationaux0008 - Page vi - Associés nationaux
0012 - Page x - Associés étrangers0012 - Page x - Associés étrangers
0016 - Page xiv - Présidents de l'académie de chirurgie depuis sa fondation0016 - Page xiv - Présidents de l'académie de chirurgie depuis sa fondation
0017 - Page xv - Secrétaires généraux de la Société nationale de chirurgie depuis sa fondation / Secrétaires généraux de l’académie de chirurgie depuis sa fondation0017 - Page xv - Secrétaires généraux de la Société nationale de chirurgie depuis sa fondation / Secrétaires généraux de l’académie de chirurgie depuis sa fondation
0018 - Page xvi - Bienfaiteurs de l’académie de chirurgie fondée en 1813 sous le nom de Société nationale de chirurgie0018 - Page xvi - Bienfaiteurs de l’académie de chirurgie fondée en 1813 sous le nom de Société nationale de chirurgie
0019 - Page xvii - Prix de l’académie de chirurgie0019 - Page xvii - Prix de l’académie de chirurgie
0023 - Page xxi - Prix à décerner en 19480023 - Page xxi - Prix à décerner en 1948
0024 - Page 22 - Séance du 14 Janvier 1948. Nécrologie. Clovis Vincent (1879-1947, ) par M. Pierre Brocq0024 - Page 22 - Séance du 14 Janvier 1948. Nécrologie. Clovis Vincent (1879-1947, ) par M. Pierre Brocq
0026 - Page 24 - Séance du 14 Janvier 1948. Nécrologie. Clovis Vincent (1879-1947, ) par M. Pierre Brocq / A propos du procès-verbal. Au sujet de la communication du professeur Sorrel sur les ruptures traumatiques du tendon du long extenseur du pouce, par MM. G. Hue et H. Payer0026 - Page 24 - Séance du 14 Janvier 1948. Nécrologie. Clovis Vincent (1879-1947, ) par M. Pierre Brocq / A propos du procès-verbal. Au sujet de la communication du professeur Sorrel sur les ruptures traumatiques du tendon du long extenseur du pouce, par MM. G. Hue et H. Payer
0027 - Page 25 - Séance du 14 Janvier 1948. A propos du procès-verbal. A propos des thromboses artérielles traumatiques, par M. Rudler / Récidive de perforation d’un ulcère duodénal, par M. Raymond Bernard0027 - Page 25 - Séance du 14 Janvier 1948. A propos du procès-verbal. A propos des thromboses artérielles traumatiques, par M. Rudler / Récidive de perforation d’un ulcère duodénal, par M. Raymond Bernard
0029 - Page 27 - Séance du 14 Janvier 1948. Rapports. Fracture ancienne du calcanéum. Ostéotomie. Guérison, par MM. Barcat et Bonamy0029 - Page 27 - Séance du 14 Janvier 1948. Rapports. Fracture ancienne du calcanéum. Ostéotomie. Guérison, par MM. Barcat et Bonamy
0032 - Page 30 - Séance du 14 Janvier 1948. Rapports. Fracture ancienne du calcanéum. Ostéotomie. Guérison, par MM. Barcat et Bonamy / Quatre cas de ruptures de la rate, dont une compliquée de rupture de la queue du pancréas, par M. José Derisi0032 - Page 30 - Séance du 14 Janvier 1948. Rapports. Fracture ancienne du calcanéum. Ostéotomie. Guérison, par MM. Barcat et Bonamy / Quatre cas de ruptures de la rate, dont une compliquée de rupture de la queue du pancréas, par M. José Derisi
0035 - Page 33 - Séance du 14 Janvier 1948. Rapports. Quatre cas de ruptures de la rate, dont une compliquée de rupture de la queue du pancréas, par M. José Derisi / Communications. Sur la cholédocotomie idéale, par M. Pierre Mallet-Guy0035 - Page 33 - Séance du 14 Janvier 1948. Rapports. Quatre cas de ruptures de la rate, dont une compliquée de rupture de la queue du pancréas, par M. José Derisi / Communications. Sur la cholédocotomie idéale, par M. Pierre Mallet-Guy
0037 - Page 35 - Séance du 14 Janvier 1948. Communications. Sur la cholédocotomie idéale, par M. Pierre Mallet-Guy / Sur les pancréatectomies pour cancer du pancréas, par M. Pierre Mallet-Guy0037 - Page 35 - Séance du 14 Janvier 1948. Communications. Sur la cholédocotomie idéale, par M. Pierre Mallet-Guy / Sur les pancréatectomies pour cancer du pancréas, par M. Pierre Mallet-Guy
0042 - Page 40 - Séance du 14 Janvier 1948. Communications. Sur les pancréatectomies pour cancer du pancréas, par M. Pierre Mallet-Guy / Présentations de malades. Gastrectomie totale pour néoplasme juxta-cardiaque, suivie d’hémicolectomie droite en un temps pour néoplasme du colon ascendant deux mois plus tard, par MM. Rudler, Conte et Guéret0042 - Page 40 - Séance du 14 Janvier 1948. Communications. Sur les pancréatectomies pour cancer du pancréas, par M. Pierre Mallet-Guy / Présentations de malades. Gastrectomie totale pour néoplasme juxta-cardiaque, suivie d’hémicolectomie droite en un temps pour néoplasme du colon ascendant deux mois plus tard, par MM. Rudler, Conte et Guéret
0043 - Page 41 - Séance du 14 Janvier 1948. Présentations de malades. Phalangisation de trois métacarpiens après section des cinq doigts de la main droite, par M. Julia / Section du sciatique poplité externe à sa terminaison au niveau de la tête du péroné. Guérison rapide après suture, par M. Fèvre0043 - Page 41 - Séance du 14 Janvier 1948. Présentations de malades. Phalangisation de trois métacarpiens après section des cinq doigts de la main droite, par M. Julia / Section du sciatique poplité externe à sa terminaison au niveau de la tête du péroné. Guérison rapide après suture, par M. Fèvre
0045 - Page 43 - Séance du 14 Janvier 1948. Présentations de malades. Section du sciatique poplité externe à sa terminaison au niveau de la tête du péroné. Guérison rapide après suture, par M. Fèvre / Séance du 21 Janvier 1948. Correspondance / A propos du procès-verbal. Sur la technique d’oesophagoplastie de Judine, par M. R. Gueullette0045 - Page 43 - Séance du 14 Janvier 1948. Présentations de malades. Section du sciatique poplité externe à sa terminaison au niveau de la tête du péroné. Guérison rapide après suture, par M. Fèvre / Séance du 21 Janvier 1948. Correspondance / A propos du procès-verbal. Sur la technique d’oesophagoplastie de Judine, par M. R. Gueullette
0047 - Page 45 - Séance du 21 Janvier 1948. Communications. Sur 100 interventions pour sciatique, par MM. Pierre Wertheimer, associé national, Louis Mansuy, Jacques Bourret et R. Gauthier0047 - Page 45 - Séance du 21 Janvier 1948. Communications. Sur 100 interventions pour sciatique, par MM. Pierre Wertheimer, associé national, Louis Mansuy, Jacques Bourret et R. Gauthier
0053 - Page 51 - Séance du 21 Janvier 1948. Communications. Sur 100 interventions pour sciatique, par MM. Pierre Wertheimer, associé national, Louis Mansuy, Jacques Bourret et R. Gauthier / De la résection recto-sigmoïdienne « de commodité » au cours de l’exérèse des cancers par voie combinée, par MM. Laffitte, associé national, Suire et Montaubin0053 - Page 51 - Séance du 21 Janvier 1948. Communications. Sur 100 interventions pour sciatique, par MM. Pierre Wertheimer, associé national, Louis Mansuy, Jacques Bourret et R. Gauthier / De la résection recto-sigmoïdienne « de commodité » au cours de l’exérèse des cancers par voie combinée, par MM. Laffitte, associé national, Suire et Montaubin
0055 - Page 53 - Séance du 21 Janvier 1948. Communications. De la résection recto-sigmoïdienne « de commodité » au cours de l’exérèse des cancers par voie combinée, par MM. Laffitte, associé national, Suire et Montaubin / L'illustration du déroulement de l’opération de R. Smithwick et de ses deux variantes principales (projection de deux films en couleurs), par M. Jean Patel0055 - Page 53 - Séance du 21 Janvier 1948. Communications. De la résection recto-sigmoïdienne « de commodité » au cours de l’exérèse des cancers par voie combinée, par MM. Laffitte, associé national, Suire et Montaubin / L'illustration du déroulement de l’opération de R. Smithwick et de ses deux variantes principales (projection de deux films en couleurs), par M. Jean Patel
0056 - Page 54 - Séance du 21 Janvier 1948. Communications. L'illustration du déroulement de l’opération de R. Smithwick et de ses deux variantes principales (projection de deux films en couleurs), par M. Jean Patel / Création d’un néo-vagin par la méthode de Schubert, par MM. G. Cotte et P. Santy0056 - Page 54 - Séance du 21 Janvier 1948. Communications. L'illustration du déroulement de l’opération de R. Smithwick et de ses deux variantes principales (projection de deux films en couleurs), par M. Jean Patel / Création d’un néo-vagin par la méthode de Schubert, par MM. G. Cotte et P. Santy
0059 - Page 57 - Séance du 21 Janvier 1948. Communications. Création d’un néo-vagin par la méthode de Schubert, par MM. G. Cotte et P. Santy / Pancréatectomie subtotale pour lithiase à type douloureux avec hyperglycémie, par M. René Leriche0059 - Page 57 - Séance du 21 Janvier 1948. Communications. Création d’un néo-vagin par la méthode de Schubert, par MM. G. Cotte et P. Santy / Pancréatectomie subtotale pour lithiase à type douloureux avec hyperglycémie, par M. René Leriche
0065 - Page 63 - Séance solennelle publique tenue le mercredi 28 janvier 19480065 - Page 63 - Séance solennelle publique tenue le mercredi 28 janvier 1948
0071 - Page 69 - Séance solennelle publique tenue le mercredi 28 janvier 1948. Allocution de M. Clarence Crafoord0071 - Page 69 - Séance solennelle publique tenue le mercredi 28 janvier 1948. Allocution de M. Clarence Crafoord
0072 - Page 70 - Séance solennelle publique tenue le mercredi 28 janvier 1948. Compte rendu des travaux de l’académie de chirurgie pendant l’année 1947, par M. Marcel Boppe0072 - Page 70 - Séance solennelle publique tenue le mercredi 28 janvier 1948. Compte rendu des travaux de l’académie de chirurgie pendant l’année 1947, par M. Marcel Boppe
0085 - Page 81 - Séance solennelle publique tenue le mercredi 28 janvier 1948. Edmond Delorme (1847-1929), par M. Henri Rouvillois0085 - Page 81 - Séance solennelle publique tenue le mercredi 28 janvier 1948. Edmond Delorme (1847-1929), par M. Henri Rouvillois
0099 - Page 95 - Séance solennelle publique tenue le mercredi 28 janvier 1948. Distribution des prix accordés en 1947 par l'académie de chirurgie0099 - Page 95 - Séance solennelle publique tenue le mercredi 28 janvier 1948. Distribution des prix accordés en 1947 par l'académie de chirurgie
0100 - Page 96 - Séance du 4 Février 1948. Correspondance / Présentation d'ouvrage. M. Henry Deloupy fait hommage à l'Académie de son ouvrage intitulé : Le Collège Royal de Chirurgie de Nancy, 1771-1793 / Allocution de M. Louis Sauvé, Président pour l’année 19480100 - Page 96 - Séance du 4 Février 1948. Correspondance / Présentation d'ouvrage. M. Henry Deloupy fait hommage à l'Académie de son ouvrage intitulé : Le Collège Royal de Chirurgie de Nancy, 1771-1793 / Allocution de M. Louis Sauvé, Président pour l’année 1948
0102 - Page 98 - Séance du 4 Février 1948. Allocution de M. Louis Sauvé, Président pour l’année 1948 / Nécrologie. Décès de M. Georges Leclerc (de Dijon), associé national. Allocution de M. le Président / A propos du procès-verbal. Contusion importante fermée du bras avec lésion oblitérante de l’artère humérale. Guérison par artériectomie et infiltrations stellaires, par M. G. Le Bourhis0102 - Page 98 - Séance du 4 Février 1948. Allocution de M. Louis Sauvé, Président pour l’année 1948 / Nécrologie. Décès de M. Georges Leclerc (de Dijon), associé national. Allocution de M. le Président / A propos du procès-verbal. Contusion importante fermée du bras avec lésion oblitérante de l’artère humérale. Guérison par artériectomie et infiltrations stellaires, par M. G. Le Bourhis
0104 - Page 100 - Séance du 4 Février 1948. A propos du procès-verbal. Contusion importante fermée du bras avec lésion oblitérante de l’artère humérale. Guérison par artériectomie et infiltrations stellaires, par M. G. Le Bourhis / Communication. Quatorze essais de thrombectomie artérielle suivant la méthode de Jean Cid dos Santos. Thrombo-endartériectomie désobstruante, par M. René Leriche0104 - Page 100 - Séance du 4 Février 1948. A propos du procès-verbal. Contusion importante fermée du bras avec lésion oblitérante de l’artère humérale. Guérison par artériectomie et infiltrations stellaires, par M. G. Le Bourhis / Communication. Quatorze essais de thrombectomie artérielle suivant la méthode de Jean Cid dos Santos. Thrombo-endartériectomie désobstruante, par M. René Leriche
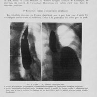
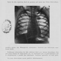
0112 - Page 108 - Séance du 4 Février 1948. Présentation de malades et de radiographies par M. Robert Monod. Anévrysme diverticulaire de la crosse de l'aorte chez une jeune fille de vingt ans (fig. 1). Résection du sac anévrysmal le 24 décembre 1947 (Dr Olivier Monod). Suture de l’aorte. Guérison par première intention / Kyste du lobe supérieur droit du poumon pris pour une lésion tuberculeuse0112 - Page 108 - Séance du 4 Février 1948. Présentation de malades et de radiographies par M. Robert Monod. Anévrysme diverticulaire de la crosse de l'aorte chez une jeune fille de vingt ans (fig. 1). Résection du sac anévrysmal le 24 décembre 1947 (Dr Olivier Monod). Suture de l’aorte. Guérison par première intention / Kyste du lobe supérieur droit du poumon pris pour une lésion tuberculeuse
0113 - Page 109 - Séance du 11 Février 1948. A propos du procès-verbal. Sur l’endartériectomie désoblitérante, par M. Louis Bazy0113 - Page 109 - Séance du 11 Février 1948. A propos du procès-verbal. Sur l’endartériectomie désoblitérante, par M. Louis Bazy
0114 - Page 110 - Séance du 11 Février 1948. A propos du procès-verbal. Sur l’endartériectomie désoblitérante, par M. Louis Bazy / Rapports. Réflexions sur une série de 100 greffes dermo-épidermiques en vastes lambeaux, par M. F. Lagrot0114 - Page 110 - Séance du 11 Février 1948. A propos du procès-verbal. Sur l’endartériectomie désoblitérante, par M. Louis Bazy / Rapports. Réflexions sur une série de 100 greffes dermo-épidermiques en vastes lambeaux, par M. F. Lagrot
0119 - Page 115 - Séance du 11 Février 1948. Rapports. Révélations tomographiques sur la base du crâne. Premières coupes horizontales réalisées sur le vivant. Leur intérêt chirurgical, par M. R. Herdner0119 - Page 115 - Séance du 11 Février 1948. Rapports. Révélations tomographiques sur la base du crâne. Premières coupes horizontales réalisées sur le vivant. Leur intérêt chirurgical, par M. R. Herdner
0128 - Page 124 - Séance du 11 Février 1948. Rapports. Conjonctivome du dôme pleural, par M. J. Dor0128 - Page 124 - Séance du 11 Février 1948. Rapports. Conjonctivome du dôme pleural, par M. J. Dor
0130 - Page 126 - Séance du 11 Février 1948. Rapports. Conjonctivome du dôme pleural, par M. J. Dor / Hypertonie du sphincter d’Oddi. Drainage du cholédoque et de la vésicule biliaire. Guérison, par M. G. Arnulf0130 - Page 126 - Séance du 11 Février 1948. Rapports. Conjonctivome du dôme pleural, par M. J. Dor / Hypertonie du sphincter d’Oddi. Drainage du cholédoque et de la vésicule biliaire. Guérison, par M. G. Arnulf
0132 - Page 128 - Séance du 11 Février 1948. Rapports. Hypertonie du sphincter d’Oddi. Drainage du cholédoque et de la vésicule biliaire. Guérison, par M. G. Arnulf / Communications. A propos de l’hypertonie oddienne essentielle, par MM. F. Poilleux et Guy Albot0132 - Page 128 - Séance du 11 Février 1948. Rapports. Hypertonie du sphincter d’Oddi. Drainage du cholédoque et de la vésicule biliaire. Guérison, par M. G. Arnulf / Communications. A propos de l’hypertonie oddienne essentielle, par MM. F. Poilleux et Guy Albot
0136 - Page 132 - Séance du 11 Février 1948. Communications. A propos de l’hypertonie oddienne essentielle, par MM. F. Poilleux et Guy Albot / Les formes anémiques de la hernie diaphragmatique de l’estomac, par MM. H. Welti el D. Mahoudeau0136 - Page 132 - Séance du 11 Février 1948. Communications. A propos de l’hypertonie oddienne essentielle, par MM. F. Poilleux et Guy Albot / Les formes anémiques de la hernie diaphragmatique de l’estomac, par MM. H. Welti el D. Mahoudeau
0142 - Page 138 - Séance du 11 Février 1948. Communications. Les formes anémiques de la hernie diaphragmatique de l’estomac, par MM. H. Welti el D. Mahoudeau / Présentation de film. Rétrécissement de l’aorte thoracique, traité par la résection [opération de Crafoord], par M. Robert Monod0142 - Page 138 - Séance du 11 Février 1948. Communications. Les formes anémiques de la hernie diaphragmatique de l’estomac, par MM. H. Welti el D. Mahoudeau / Présentation de film. Rétrécissement de l’aorte thoracique, traité par la résection [opération de Crafoord], par M. Robert Monod
0144 - Page 140 - Séance du 18 Février 1948. Rapports. Prophylaxie des accidents pulmonaires post-opératoires par les aérosols, par M. André Hébraud0144 - Page 140 - Séance du 18 Février 1948. Rapports. Prophylaxie des accidents pulmonaires post-opératoires par les aérosols, par M. André Hébraud
0147 - Page 143 - Séance du 18 Février 1948. Rapports. Le drainage des voies biliaires principales, par M. Vladimir Yakovljevitch0147 - Page 143 - Séance du 18 Février 1948. Rapports. Le drainage des voies biliaires principales, par M. Vladimir Yakovljevitch
0148 - Page 144 - Séance du 18 Février 1948. Rapports. Le drainage des voies biliaires principales, par M. Vladimir Yakovljevitch / Hernie et éventration diaphragmatiques, par M. G. Ormières0148 - Page 144 - Séance du 18 Février 1948. Rapports. Le drainage des voies biliaires principales, par M. Vladimir Yakovljevitch / Hernie et éventration diaphragmatiques, par M. G. Ormières
0150 - Page 146 - Séance du 18 Février 1948. Rapports. Ostéosarcome du fémur, amputation inter-ilio-abdominale. Décès le troisième jour. Considération sur le traitement des ostéosarcomes, par MM. P. Badelon et Ch. Renon0150 - Page 146 - Séance du 18 Février 1948. Rapports. Ostéosarcome du fémur, amputation inter-ilio-abdominale. Décès le troisième jour. Considération sur le traitement des ostéosarcomes, par MM. P. Badelon et Ch. Renon
0155 - Page 151 - Séance du 18 Février 1948. Communications. Sur la chirurgie de l’oesophage thoracique, par MM. F. d’Allaines et Ch. Dubost0155 - Page 151 - Séance du 18 Février 1948. Communications. Sur la chirurgie de l’oesophage thoracique, par MM. F. d’Allaines et Ch. Dubost
0169 - Page 165 - Séance du 18 Février 1948. Communications. Sur la chirurgie de l’oesophage thoracique, par MM. F. d’Allaines et Ch. Dubost / A propos de sept résections de l'oesophage thoracique pour cancer, avec anastomose oesophago-gastrique, suivies de guérison opératoire, par MM. Alain Mouchet et Paul Orsoni0169 - Page 165 - Séance du 18 Février 1948. Communications. Sur la chirurgie de l’oesophage thoracique, par MM. F. d’Allaines et Ch. Dubost / A propos de sept résections de l'oesophage thoracique pour cancer, avec anastomose oesophago-gastrique, suivies de guérison opératoire, par MM. Alain Mouchet et Paul Orsoni
0185 - Page 181 - Séance du 25 Février 1948. Correspondance / A propos du procès-verbal. Chirurgie du cancer de l’oesophage, par M. Rudler0185 - Page 181 - Séance du 25 Février 1948. Correspondance / A propos du procès-verbal. Chirurgie du cancer de l’oesophage, par M. Rudler
0188 - Page 184 - Séance du 25 Février 1948. A propos du procès-verbal. Chirurgie du cancer de l’oesophage, par M. Rudler / Rapports. Trois fractures du crâne, intéressant les sinus frontaux, par MM. J. Poinot et Dax0188 - Page 184 - Séance du 25 Février 1948. A propos du procès-verbal. Chirurgie du cancer de l’oesophage, par M. Rudler / Rapports. Trois fractures du crâne, intéressant les sinus frontaux, par MM. J. Poinot et Dax
0190 - Page 186 - Séance du 25 Février 1948. Rapports. Trois fractures du crâne, intéressant les sinus frontaux, par MM. J. Poinot et Dax / Une observation de tumeur thécale d’un ovaire, par MM. P. Guénin et R. Messimy0190 - Page 186 - Séance du 25 Février 1948. Rapports. Trois fractures du crâne, intéressant les sinus frontaux, par MM. J. Poinot et Dax / Une observation de tumeur thécale d’un ovaire, par MM. P. Guénin et R. Messimy
0194 - Page 190 - Séance du 25 Février 1948. Rapports. Une observation de tumeur thécale d’un ovaire, par MM. P. Guénin et R. Messimy / Sur 87 plaies abdominales de guerre, par M. F. Van Varseveld0194 - Page 190 - Séance du 25 Février 1948. Rapports. Une observation de tumeur thécale d’un ovaire, par MM. P. Guénin et R. Messimy / Sur 87 plaies abdominales de guerre, par M. F. Van Varseveld
0199 - Page 195 - Séance du 25 Février 1948. Discussion en cours. De la colectomie pour mégacôlon0199 - Page 195 - Séance du 25 Février 1948. Discussion en cours. De la colectomie pour mégacôlon
0205 - Page 201 - Séance du 25 Février 1948. Communications. Note sur les inclusions d’acrylic, par M. L. Dufourmentel et Médecin-Colonel Ginestet0205 - Page 201 - Séance du 25 Février 1948. Communications. Note sur les inclusions d’acrylic, par M. L. Dufourmentel et Médecin-Colonel Ginestet
0208 - Page 204 - Séance du 25 Février 1948. Communications. Note sur les inclusions d’acrylic, par M. L. Dufourmentel et Médecin-Colonel Ginestet / Deux cas de mélorhéostose (maladie de Léri), par MM. E. Sorrel et L. Quénu0208 - Page 204 - Séance du 25 Février 1948. Communications. Note sur les inclusions d’acrylic, par M. L. Dufourmentel et Médecin-Colonel Ginestet / Deux cas de mélorhéostose (maladie de Léri), par MM. E. Sorrel et L. Quénu
0215 - Page 211 - Séance du 25 Février 1948. Communications. Deux cas de mélorhéostose (maladie de Léri), par MM. E. Sorrel et L. Quénu / Un cas de persistance du canal artériel, par MM. de Verne joui, associé national, Métras et Pierron0215 - Page 211 - Séance du 25 Février 1948. Communications. Deux cas de mélorhéostose (maladie de Léri), par MM. E. Sorrel et L. Quénu / Un cas de persistance du canal artériel, par MM. de Verne joui, associé national, Métras et Pierron
0219 - Page 215 - Séance du 25 Février 1948. Communications. Un cas de persistance du canal artériel, par MM. de Verne joui, associé national, Métras et Pierron / Séance du 3 Mars 1948. Présentation d’ouvrage. M. Daniel Ferey (de Saint-Malo) fait hommage à l’Académie de son ouvrage intitulé : Séméiologie et tactique opératoire illustrée des fractures ouvertes et fermées du crâne / Rapport. Des inconnues de la sympathectomie lombaire pour artérite sénile (à propos d’un cas suivi de thrombose veineuse précoce), par M. Jean Cheynel0219 - Page 215 - Séance du 25 Février 1948. Communications. Un cas de persistance du canal artériel, par MM. de Verne joui, associé national, Métras et Pierron / Séance du 3 Mars 1948. Présentation d’ouvrage. M. Daniel Ferey (de Saint-Malo) fait hommage à l’Académie de son ouvrage intitulé : Séméiologie et tactique opératoire illustrée des fractures ouvertes et fermées du crâne / Rapport. Des inconnues de la sympathectomie lombaire pour artérite sénile (à propos d’un cas suivi de thrombose veineuse précoce), par M. Jean Cheynel
0221 - Page 217 - Séance du 3 Mars 1948. Rapport. Des inconnues de la sympathectomie lombaire pour artérite sénile (à propos d’un cas suivi de thrombose veineuse précoce), par M. Jean Cheynel / Communications. Sciatique discale guérie par la méthode de Troedson, par M. Georges Küss0221 - Page 217 - Séance du 3 Mars 1948. Rapport. Des inconnues de la sympathectomie lombaire pour artérite sénile (à propos d’un cas suivi de thrombose veineuse précoce), par M. Jean Cheynel / Communications. Sciatique discale guérie par la méthode de Troedson, par M. Georges Küss
0223 - Page 219 - Séance du 3 Mars 1948. Communications. Sciatique discale guérie par la méthode de Troedson, par M. Georges Küss / La résolution musculaire par le curare (note d’après 100 observations), par MM. Merle d’Aubigné el E. Kern0223 - Page 219 - Séance du 3 Mars 1948. Communications. Sciatique discale guérie par la méthode de Troedson, par M. Georges Küss / La résolution musculaire par le curare (note d’après 100 observations), par MM. Merle d’Aubigné el E. Kern
0226 - Page 222 - Séance du 3 Mars 1948. Présentations de radiographies. Une balle de mitrailleuse allemande dans un lobe occipital, découverte par hasard, au cours d’une radiographie des deux premières cervicales, par MM. Daniel Ferey et Wolinetz0226 - Page 222 - Séance du 3 Mars 1948. Présentations de radiographies. Une balle de mitrailleuse allemande dans un lobe occipital, découverte par hasard, au cours d’une radiographie des deux premières cervicales, par MM. Daniel Ferey et Wolinetz
0228 - Page 224 - Séance du 3 Mars 1948. Présentations de radiographies. Une vis à bois ordinaire radiographiée vingt ans après un vissage pour une fracture de Dupuytren, par M. Daniel Ferey0228 - Page 224 - Séance du 3 Mars 1948. Présentations de radiographies. Une vis à bois ordinaire radiographiée vingt ans après un vissage pour une fracture de Dupuytren, par M. Daniel Ferey
0229 - Page 225 - Séance du 3 Mars 1948. Présentations de radiographies. Une vis à bois ordinaire radiographiée vingt ans après un vissage pour une fracture de Dupuytren, par M. Daniel Ferey / Élection de 19 associés étrangers0229 - Page 225 - Séance du 3 Mars 1948. Présentations de radiographies. Une vis à bois ordinaire radiographiée vingt ans après un vissage pour une fracture de Dupuytren, par M. Daniel Ferey / Élection de 19 associés étrangers
0230 - Page 226 - Séance du 3 Mars 1948. Élection de 19 associés étrangers / Vacances de paques0230 - Page 226 - Séance du 3 Mars 1948. Élection de 19 associés étrangers / Vacances de paques
0231 - Page 227 - Séance du 10 Mars 1948. Communications. Syndrome dit d’embolie artérielle et « ischémie aiguë des membres », par MM. Marc Iselin, et Heim de Balsac0231 - Page 227 - Séance du 10 Mars 1948. Communications. Syndrome dit d’embolie artérielle et « ischémie aiguë des membres », par MM. Marc Iselin, et Heim de Balsac
0241 - Page 237 - Séance du 10 Mars 1948. Communications. Présentation d’un hlm d’enseignement de technique chirurgicale : l’hystérectomie pour fibrome, par M. P. Moulonguet0241 - Page 237 - Séance du 10 Mars 1948. Communications. Présentation d’un hlm d’enseignement de technique chirurgicale : l’hystérectomie pour fibrome, par M. P. Moulonguet
0242 - Page 238 - Séance du 10 Mars 1948. Rapport. Quinze observations d’attaque ganglionnaire dans le mal de Pott et autres localisations de la tuberculose, par M. Robert Kaufmann0242 - Page 238 - Séance du 10 Mars 1948. Rapport. Quinze observations d’attaque ganglionnaire dans le mal de Pott et autres localisations de la tuberculose, par M. Robert Kaufmann
0253 - Page 249 - Séance du 10 Mars 1948. Rapport. Quinze observations d’attaque ganglionnaire dans le mal de Pott et autres localisations de la tuberculose, par M. Robert Kaufmann / Présentation de malades. A propos du traitement chirurgical des grands abcès froids de la fosse iliaque externe, par MM. Jacques Leveuf et Pierre Bertrand0253 - Page 249 - Séance du 10 Mars 1948. Rapport. Quinze observations d’attaque ganglionnaire dans le mal de Pott et autres localisations de la tuberculose, par M. Robert Kaufmann / Présentation de malades. A propos du traitement chirurgical des grands abcès froids de la fosse iliaque externe, par MM. Jacques Leveuf et Pierre Bertrand
0255 - Page 251 - Séance du 10 Mars 1948. Présentation de malades. A propos du traitement chirurgical des grands abcès froids de la fosse iliaque externe, par MM. Jacques Leveuf et Pierre Bertrand / Présentations de radiographies. Volvulus du côlon pelvien, par MM. André Sicard et Guy Ledoux-Lebard / Traitement hormonal chez l’homme d’une tumeur du rachis secondaire à un épithélioma du sein, par M. André Sicard0255 - Page 251 - Séance du 10 Mars 1948. Présentation de malades. A propos du traitement chirurgical des grands abcès froids de la fosse iliaque externe, par MM. Jacques Leveuf et Pierre Bertrand / Présentations de radiographies. Volvulus du côlon pelvien, par MM. André Sicard et Guy Ledoux-Lebard / Traitement hormonal chez l’homme d’une tumeur du rachis secondaire à un épithélioma du sein, par M. André Sicard
0257 - Page 253 - Séance du 10 Mars 1948. Présentations de radiographies. Traitement hormonal chez l’homme d’une tumeur du rachis secondaire à un épithélioma du sein, par M. André Sicard / Séance du 17 Mars 1948. Correspondance0257 - Page 253 - Séance du 10 Mars 1948. Présentations de radiographies. Traitement hormonal chez l’homme d’une tumeur du rachis secondaire à un épithélioma du sein, par M. André Sicard / Séance du 17 Mars 1948. Correspondance
0258 - Page 254 - Séance du 17 Mars 1948. Correspondance / Nécrologie. Décès de M. Charles Lenormant, membre titulaire. Allocution de M. le Président0258 - Page 254 - Séance du 17 Mars 1948. Correspondance / Nécrologie. Décès de M. Charles Lenormant, membre titulaire. Allocution de M. le Président
0259 - Page 255 - Séance du 17 Mars 1948. Nécrologie. Décès de M. Charles Lenormant, membre titulaire. Allocution de M. le Président / A propos du procès-verbal. A propos de la tuberculose vertébrale, par M. L. Dufourmentel0259 - Page 255 - Séance du 17 Mars 1948. Nécrologie. Décès de M. Charles Lenormant, membre titulaire. Allocution de M. le Président / A propos du procès-verbal. A propos de la tuberculose vertébrale, par M. L. Dufourmentel
0261 - Page 257 - Séance du 17 Mars 1948. A propos du procès-verbal. Sur la présentation des malades du Prof. Leveuf, comme suite au rapport que je fis sur le travail du Dr R. Kaufmann par M. Sylvain Blondin / A propos du travail de R. Kaufmann, rapporté par Sylvain Blondin par M. Gérard-Marchant0261 - Page 257 - Séance du 17 Mars 1948. A propos du procès-verbal. Sur la présentation des malades du Prof. Leveuf, comme suite au rapport que je fis sur le travail du Dr R. Kaufmann par M. Sylvain Blondin / A propos du travail de R. Kaufmann, rapporté par Sylvain Blondin par M. Gérard-Marchant
0262 - Page 258 - Séance du 17 Mars 1948. A propos du procès-verbal. A propos du travail de R. Kaufmann, rapporté par Sylvain Blondin par M. Gérard-Marchant / Rapports. Côte cervicale. Résection par voie postérieure, par M. Goyer0262 - Page 258 - Séance du 17 Mars 1948. A propos du procès-verbal. A propos du travail de R. Kaufmann, rapporté par Sylvain Blondin par M. Gérard-Marchant / Rapports. Côte cervicale. Résection par voie postérieure, par M. Goyer
0265 - Page 261 - Séance du 17 Mars 1948. Rapports. Côte cervicale. Résection par voie postérieure, par M. Goyer / Sur la valeur à attribuer en clinique au taux de l’activité cholinestérasique sérique, par MM. H. Laborit, P. Morand et H. Tanguy0265 - Page 261 - Séance du 17 Mars 1948. Rapports. Côte cervicale. Résection par voie postérieure, par M. Goyer / Sur la valeur à attribuer en clinique au taux de l’activité cholinestérasique sérique, par MM. H. Laborit, P. Morand et H. Tanguy
0268 - Page 264 - Séance du 17 Mars 1948. Rapports. Angiome vertébral avec tomographies, par MM. G. -G. Leclerc et J. Ballivet / Communications. Les nerfs de l’articulation de la hanche. Technique de leur neurotomie, par MM. L. Tavernier et Cl. Pellanda0268 - Page 264 - Séance du 17 Mars 1948. Rapports. Angiome vertébral avec tomographies, par MM. G. -G. Leclerc et J. Ballivet / Communications. Les nerfs de l’articulation de la hanche. Technique de leur neurotomie, par MM. L. Tavernier et Cl. Pellanda
0273 - Page 269 - Séance du 17 Mars 1948. Communications. Les nerfs de l’articulation de la hanche. Technique de leur neurotomie, par MM. L. Tavernier et Cl. Pellanda / Remarques sur une statistique de 97 plaies pénétrantes du cerveau opérées en Indochine, par M. Marcel Arnaud0273 - Page 269 - Séance du 17 Mars 1948. Communications. Les nerfs de l’articulation de la hanche. Technique de leur neurotomie, par MM. L. Tavernier et Cl. Pellanda / Remarques sur une statistique de 97 plaies pénétrantes du cerveau opérées en Indochine, par M. Marcel Arnaud
0277 - Page 273 - Séance du 17 Mars 1948. Communications. Remarques sur une statistique de 97 plaies pénétrantes du cerveau opérées en Indochine, par M. Marcel Arnaud / Déclaration de vacance d’une place de membre titulaire / Vacances De Paques0277 - Page 273 - Séance du 17 Mars 1948. Communications. Remarques sur une statistique de 97 plaies pénétrantes du cerveau opérées en Indochine, par M. Marcel Arnaud / Déclaration de vacance d’une place de membre titulaire / Vacances De Paques
0279 - Page 275 - Séance du 7 Avril 1948. Correspondance / A propos du procès-verbal0279 - Page 275 - Séance du 7 Avril 1948. Correspondance / A propos du procès-verbal
0281 - Page 277 - Séance du 7 Avril 1948. A propos du procès-verbal. A propos des cancers kystiques de la queue du pancréas, par MM. P. Moulonguet et J. -M. Verne0281 - Page 277 - Séance du 7 Avril 1948. A propos du procès-verbal. A propos des cancers kystiques de la queue du pancréas, par MM. P. Moulonguet et J. -M. Verne
0282 - Page 278 - Séance du 7 Avril 1948. A propos du procès-verbal. A propos des cancers kystiques de la queue du pancréas, par MM. P. Moulonguet et J. -M. Verne / Communications. Traitement de l’invagination intestinale aiguë, par M. E. Pouliquen0282 - Page 278 - Séance du 7 Avril 1948. A propos du procès-verbal. A propos des cancers kystiques de la queue du pancréas, par MM. P. Moulonguet et J. -M. Verne / Communications. Traitement de l’invagination intestinale aiguë, par M. E. Pouliquen
0286 - Page 282 - Séance du 7 Avril 1948. Communications. Traitement de l’invagination intestinale aiguë, par M. E. Pouliquen / Remarques sur la physiologie pathologique et l’évolution des endométrioses, par MM. Pierre Mocquot et René Musset0286 - Page 282 - Séance du 7 Avril 1948. Communications. Traitement de l’invagination intestinale aiguë, par M. E. Pouliquen / Remarques sur la physiologie pathologique et l’évolution des endométrioses, par MM. Pierre Mocquot et René Musset
0291 - Page 287 - Séance du 7 Avril 1948. Communications. Remarques sur la physiologie pathologique et l’évolution des endométrioses, par MM. Pierre Mocquot et René Musset / L’aspect radiologique du rachis (et du squelette), permet-il de conclure toujours à l’existence de métastases osseuses dans le cancer de la prostate (et dans les autres cancers)? par M. Georges Küss0291 - Page 287 - Séance du 7 Avril 1948. Communications. Remarques sur la physiologie pathologique et l’évolution des endométrioses, par MM. Pierre Mocquot et René Musset / L’aspect radiologique du rachis (et du squelette), permet-il de conclure toujours à l’existence de métastases osseuses dans le cancer de la prostate (et dans les autres cancers)? par M. Georges Küss
0298 - Page 294 - Séance du 7 Avril 1948. Communications. L’aspect radiologique du rachis (et du squelette), permet-il de conclure toujours à l’existence de métastases osseuses dans le cancer de la prostate (et dans les autres cancers)? par M. Georges Küss / Séance du 14 Avril 1948. Correspondance / Présentation d’ouvrage. M. Miguel Lopez Esnaurrïzar (Mexico) fait hommage à l’Académie de son ouvrage intitulé : Tratado de Clinica Quirurgica0298 - Page 294 - Séance du 7 Avril 1948. Communications. L’aspect radiologique du rachis (et du squelette), permet-il de conclure toujours à l’existence de métastases osseuses dans le cancer de la prostate (et dans les autres cancers)? par M. Georges Küss / Séance du 14 Avril 1948. Correspondance / Présentation d’ouvrage. M. Miguel Lopez Esnaurrïzar (Mexico) fait hommage à l’Académie de son ouvrage intitulé : Tratado de Clinica Quirurgica
0299 - Page 295 - Séance du 14 Avril 1948. A propos du procès-verbal. Aspects radiographiques des cancers osseux secondaires, par M. E. Sorrel / Rapports. Luxation ancienne bipolaire du radius traitée par résection de la tête radiale et par opération de Sauvé-Kapandji (2 manière) par MM. Giraud, Simkov et Rachin0299 - Page 295 - Séance du 14 Avril 1948. A propos du procès-verbal. Aspects radiographiques des cancers osseux secondaires, par M. E. Sorrel / Rapports. Luxation ancienne bipolaire du radius traitée par résection de la tête radiale et par opération de Sauvé-Kapandji (2 manière) par MM. Giraud, Simkov et Rachin
0300 - Page 296 - Séance du 14 Avril 1948. Rapports. Luxation ancienne bipolaire du radius traitée par résection de la tête radiale et par opération de Sauvé-Kapandji (2 manière) par MM. Giraud, Simkov et Rachin / Gastrectomies totales suivies d’oesophago-duodénostomie, par M. Marc Breton0300 - Page 296 - Séance du 14 Avril 1948. Rapports. Luxation ancienne bipolaire du radius traitée par résection de la tête radiale et par opération de Sauvé-Kapandji (2 manière) par MM. Giraud, Simkov et Rachin / Gastrectomies totales suivies d’oesophago-duodénostomie, par M. Marc Breton
0303 - Page 299 - Séance du 14 Avril 1948. Rapports. Gastrectomies totales suivies d’oesophago-duodénostomie, par M. Marc Breton / Hématémèses graves d’origine splénique. Splénectomie. Guérison, par M. Magnant0303 - Page 299 - Séance du 14 Avril 1948. Rapports. Gastrectomies totales suivies d’oesophago-duodénostomie, par M. Marc Breton / Hématémèses graves d’origine splénique. Splénectomie. Guérison, par M. Magnant
0304 - Page 300 - Séance du 14 Avril 1948. Rapports. Hématémèses graves d’origine splénique. Splénectomie. Guérison, par M. Magnant / Pseudarthrose diaphysaire du fémur guérie par une greffe tibiale type Onlay, par M. J. Lacaux0304 - Page 300 - Séance du 14 Avril 1948. Rapports. Hématémèses graves d’origine splénique. Splénectomie. Guérison, par M. Magnant / Pseudarthrose diaphysaire du fémur guérie par une greffe tibiale type Onlay, par M. J. Lacaux
0305 - Page 301 - Séance du 14 Avril 1948. Rapports. Pseudarthrose diaphysaire du fémur guérie par une greffe tibiale type Onlay, par M. J. Lacaux / Discussion en cours. Les problèmes psychosomatiques en chirurgie générale, par M. Hartmann0305 - Page 301 - Séance du 14 Avril 1948. Rapports. Pseudarthrose diaphysaire du fémur guérie par une greffe tibiale type Onlay, par M. J. Lacaux / Discussion en cours. Les problèmes psychosomatiques en chirurgie générale, par M. Hartmann
0306 - Page 302 - Séance du 14 Avril 1948. Communications. Deux cas de péritonite par perforation de l’oesophage abdominal par sondes dilatatrices, par M. Jean Baumann0306 - Page 302 - Séance du 14 Avril 1948. Communications. Deux cas de péritonite par perforation de l’oesophage abdominal par sondes dilatatrices, par M. Jean Baumann
0308 - Page 304 - Séance du 14 Avril 1948. Communications. Deux cas de péritonite par perforation de l’oesophage abdominal par sondes dilatatrices, par M. Jean Baumann / Méthode de récupération viscérale. Chirurgie de la douleur et des dystrophies splanchniques, par M. Miguel Lopez Esnaurrizar0308 - Page 304 - Séance du 14 Avril 1948. Communications. Deux cas de péritonite par perforation de l’oesophage abdominal par sondes dilatatrices, par M. Jean Baumann / Méthode de récupération viscérale. Chirurgie de la douleur et des dystrophies splanchniques, par M. Miguel Lopez Esnaurrizar
0312 - Page 308 - Séance du 14 Avril 1948. Élection d’une commission chargée de l'examen des titres des candidats à la place de membre titulaire0312 - Page 308 - Séance du 14 Avril 1948. Élection d’une commission chargée de l'examen des titres des candidats à la place de membre titulaire
0313 - Page 309 - Séance du 21 Avril 1948. Correspondance / A propos du procès-verbal. Rétrécissement de l’oesophage traité par résection, par M. Jean Baumann0313 - Page 309 - Séance du 21 Avril 1948. Correspondance / A propos du procès-verbal. Rétrécissement de l’oesophage traité par résection, par M. Jean Baumann
0314 - Page 310 - Séance du 21 Avril 1948. Rapports. Gangrène primitive totale des organes génitaux. Pénicilline. Guérison en quarante-deux jours, par M. Sarlin / Contention simple par emboîtement des fragments après réduction opératoire des fractures diaphysaires, par M. Gosacesco0314 - Page 310 - Séance du 21 Avril 1948. Rapports. Gangrène primitive totale des organes génitaux. Pénicilline. Guérison en quarante-deux jours, par M. Sarlin / Contention simple par emboîtement des fragments après réduction opératoire des fractures diaphysaires, par M. Gosacesco
0315 - Page 311 - Séance du 21 Avril 1948. Rapports. Contention simple par emboîtement des fragments après réduction opératoire des fractures diaphysaires, par M. Gosacesco / Deux cas de péritonite primitive à entérocoque, par MM. A. Nana et C. Mircioiu0315 - Page 311 - Séance du 21 Avril 1948. Rapports. Contention simple par emboîtement des fragments après réduction opératoire des fractures diaphysaires, par M. Gosacesco / Deux cas de péritonite primitive à entérocoque, par MM. A. Nana et C. Mircioiu
0319 - Page 315 - Séance du 21 Avril 1948. Rapports. Deux cas de péritonite primitive à entérocoque, par MM. A. Nana et C. Mircioiu / Discussion en cours. Les problèmes psychosomatiques en chirurgie générale, par MM. Padovani et Bachet0319 - Page 315 - Séance du 21 Avril 1948. Rapports. Deux cas de péritonite primitive à entérocoque, par MM. A. Nana et C. Mircioiu / Discussion en cours. Les problèmes psychosomatiques en chirurgie générale, par MM. Padovani et Bachet
0323 - Page 319 - Séance du 21 Avril 1948. Discussion en cours. Les problèmes psychosomatiques en chirurgie générale, par MM. Padovani et Bachet / Communications. Un artifice pour rendre plus efficace le plus simple et le plus sûr des procédés d’orchidopexie, par M. G. Rouhier0323 - Page 319 - Séance du 21 Avril 1948. Discussion en cours. Les problèmes psychosomatiques en chirurgie générale, par MM. Padovani et Bachet / Communications. Un artifice pour rendre plus efficace le plus simple et le plus sûr des procédés d’orchidopexie, par M. G. Rouhier
0326 - Page 322 - Séance du 21 Avril 1948. Communications. Un artifice pour rendre plus efficace le plus simple et le plus sûr des procédés d’orchidopexie, par M. G. Rouhier / Syndrome douloureux de la fourche carotidienne, par M. Paul Truffert0326 - Page 322 - Séance du 21 Avril 1948. Communications. Un artifice pour rendre plus efficace le plus simple et le plus sûr des procédés d’orchidopexie, par M. G. Rouhier / Syndrome douloureux de la fourche carotidienne, par M. Paul Truffert
0328 - Page 324 - Séance du 21 Avril 1948. Communications. Tétanie parathyréoprive. Considérations sur son traitement, par M. P. Truffert0328 - Page 324 - Séance du 21 Avril 1948. Communications. Tétanie parathyréoprive. Considérations sur son traitement, par M. P. Truffert
0332 - Page 328 - Séance du 21 Avril 1948. Communications. Tétanie parathyréoprive. Considérations sur son traitement, par M. P. Truffert / Séance du 28 Avril 1948. Présidence de M. Louis Sauvé, président. A propos du procès-verbal. Un nouveau procédé opératoire dans le traitement chirurgical de l’ectopie testiculaire, par M. Georges Küss0332 - Page 328 - Séance du 21 Avril 1948. Communications. Tétanie parathyréoprive. Considérations sur son traitement, par M. P. Truffert / Séance du 28 Avril 1948. Présidence de M. Louis Sauvé, président. A propos du procès-verbal. Un nouveau procédé opératoire dans le traitement chirurgical de l’ectopie testiculaire, par M. Georges Küss
0334 - Page 330 - Séance du 28 Avril 1948. Présidence de M. Louis Sauvé, président. A propos du procès-verbal. Un nouveau procédé opératoire dans le traitement chirurgical de l’ectopie testiculaire, par M. Georges Küss / Rapports. A propos de 2. 000 infiltrations du ganglion cervical supérieur, par MM. Regner, Leveau et Legrand0334 - Page 330 - Séance du 28 Avril 1948. Présidence de M. Louis Sauvé, président. A propos du procès-verbal. Un nouveau procédé opératoire dans le traitement chirurgical de l’ectopie testiculaire, par M. Georges Küss / Rapports. A propos de 2. 000 infiltrations du ganglion cervical supérieur, par MM. Regner, Leveau et Legrand
0339 - Page 335 - Séance du 28 Avril 1948. Présidence de M. Louis Sauvé, président. Rapports. A propos de 2. 000 infiltrations du ganglion cervical supérieur, par MM. Regner, Leveau et Legrand / Un cas de brûlure étendue du 3e degré au niveau du bras gauche, guérie en trois semaines par plastie cutanée immédiate et greffes de Davis, par M. Spriet0339 - Page 335 - Séance du 28 Avril 1948. Présidence de M. Louis Sauvé, président. Rapports. A propos de 2. 000 infiltrations du ganglion cervical supérieur, par MM. Regner, Leveau et Legrand / Un cas de brûlure étendue du 3e degré au niveau du bras gauche, guérie en trois semaines par plastie cutanée immédiate et greffes de Davis, par M. Spriet
0340 - Page 336 - Séance du 28 Avril 1948. Présidence de M. Louis Sauvé, président. Rapports. Traitement chirurgical des raideurs du genou en flexion, par M. J. J. Herbert0340 - Page 336 - Séance du 28 Avril 1948. Présidence de M. Louis Sauvé, président. Rapports. Traitement chirurgical des raideurs du genou en flexion, par M. J. J. Herbert
0343 - Page 339 - Séance du 28 Avril 1948. Présidence de M. Louis Sauvé, président. Rapports. Désinsertion du tendon inférieur du biceps brachial, par M. Jean Debeyre0343 - Page 339 - Séance du 28 Avril 1948. Présidence de M. Louis Sauvé, président. Rapports. Désinsertion du tendon inférieur du biceps brachial, par M. Jean Debeyre
0344 - Page 340 - Séance du 28 Avril 1948. Présidence de M. Louis Sauvé, président. Rapports. Désinsertion du tendon inférieur du biceps brachial, par M. Jean Debeyre / Communications. La voie rétro-pubienne, extra-vésicale dans la prostatectomie. Résultats, technique, indications, par MM. J. de Fourmestraux, associé national et Maurice Fredet0344 - Page 340 - Séance du 28 Avril 1948. Présidence de M. Louis Sauvé, président. Rapports. Désinsertion du tendon inférieur du biceps brachial, par M. Jean Debeyre / Communications. La voie rétro-pubienne, extra-vésicale dans la prostatectomie. Résultats, technique, indications, par MM. J. de Fourmestraux, associé national et Maurice Fredet
0349 - Page 345 - Séance du 28 Avril 1948. Présidence de M. Louis Sauvé, président. Communications. La voie rétro-pubienne, extra-vésicale dans la prostatectomie. Résultats, technique, indications, par MM. J. de Fourmestraux, associé national et Maurice Fredet / A propos des déficiences protéiniques en chirurgie réparatrice, par MM. Merle d’Aubigné et J. Lassner0349 - Page 345 - Séance du 28 Avril 1948. Présidence de M. Louis Sauvé, président. Communications. La voie rétro-pubienne, extra-vésicale dans la prostatectomie. Résultats, technique, indications, par MM. J. de Fourmestraux, associé national et Maurice Fredet / A propos des déficiences protéiniques en chirurgie réparatrice, par MM. Merle d’Aubigné et J. Lassner
0356 - Page 352 - Séance du 28 Avril 1948. Présidence de M. Louis Sauvé, président. Présentations de malades. Résections arthroplastiques avec emploi de coupes en vitallium, par M. Paul Mathieu / Deux résultats d’enclouage centro-médullaire, par M. A. Delahaye0356 - Page 352 - Séance du 28 Avril 1948. Présidence de M. Louis Sauvé, président. Présentations de malades. Résections arthroplastiques avec emploi de coupes en vitallium, par M. Paul Mathieu / Deux résultats d’enclouage centro-médullaire, par M. A. Delahaye
0358 - Page 354 - Séance du 28 Avril 1948. Présidence de M. Louis Sauvé, président. Présentations de malades. Deux résultats d’enclouage centro-médullaire, par M. A. Delahaye / Homogreffe tibiale paternelle pour pseudarthrose large du tibia secondaire à une sequestrectomie pour ostéomyélite. Guérison. Résultat éloigné après dix ans, par M. A. Delahaye0358 - Page 354 - Séance du 28 Avril 1948. Présidence de M. Louis Sauvé, président. Présentations de malades. Deux résultats d’enclouage centro-médullaire, par M. A. Delahaye / Homogreffe tibiale paternelle pour pseudarthrose large du tibia secondaire à une sequestrectomie pour ostéomyélite. Guérison. Résultat éloigné après dix ans, par M. A. Delahaye
0359 - Page 355 - Séance du 5 Mai 1948. A propos du procès-verbal Prostatectomie retropubienne, par M. Louis Michon0359 - Page 355 - Séance du 5 Mai 1948. A propos du procès-verbal Prostatectomie retropubienne, par M. Louis Michon
0363 - Page 359 - Séance du 5 Mai 1948. A propos du procès-verbal Prostatectomie retropubienne, par M. Louis Michon. Déficiences protéiniques en chirurgie réparatrice, par M. Merle d’Aubigné / Rapports. Un cas de pseudarthrose ancienne du col du fémur. Opération de Colonna, par M. Spriet0363 - Page 359 - Séance du 5 Mai 1948. A propos du procès-verbal Prostatectomie retropubienne, par M. Louis Michon. Déficiences protéiniques en chirurgie réparatrice, par M. Merle d’Aubigné / Rapports. Un cas de pseudarthrose ancienne du col du fémur. Opération de Colonna, par M. Spriet
0366 - Page 362 - Séance du 5 Mai 1948. Rapports. Un cas de luxation isolée dorsale du cubitus dans l’articulation radiocubitale intérieure traitée par l’opération de Sauvé et Kapandji (2e manière), par MM. du Bourguet et Mabille / Communications. La gastrectomie pour exclusion, par M. Maccas0366 - Page 362 - Séance du 5 Mai 1948. Rapports. Un cas de luxation isolée dorsale du cubitus dans l’articulation radiocubitale intérieure traitée par l’opération de Sauvé et Kapandji (2e manière), par MM. du Bourguet et Mabille / Communications. La gastrectomie pour exclusion, par M. Maccas
0369 - Page 365 - Séance du 5 Mai 1948. Communications. Anévrysme artériel de F artère utérine après hystérectomie sub-totale, par M. J. A. Phelip0369 - Page 365 - Séance du 5 Mai 1948. Communications. Anévrysme artériel de F artère utérine après hystérectomie sub-totale, par M. J. A. Phelip
0370 - Page 366 - Séance du 5 Mai 1948. Communications. Anévrysme artériel de F artère utérine après hystérectomie sub-totale, par M. J. A. Phelip / Résultats des premières observations françaises de la tétralogie de Fallot (enfants bleus), par MM. F. d’Allaines, E. Donzelot et l’Equipe médico-chirurgicale de l’hôpital Broussais0370 - Page 366 - Séance du 5 Mai 1948. Communications. Anévrysme artériel de F artère utérine après hystérectomie sub-totale, par M. J. A. Phelip / Résultats des premières observations françaises de la tétralogie de Fallot (enfants bleus), par MM. F. d’Allaines, E. Donzelot et l’Equipe médico-chirurgicale de l’hôpital Broussais
0378 - Page 374 - Séance du 5 Mai 1948. Communications. Résultats des premières observations françaises de la tétralogie de Fallot (enfants bleus), par MM. F. d’Allaines, E. Donzelot et l’Equipe médico-chirurgicale de l’hôpital Broussais / Présentation d'instrument. Clou de Kuntscher à palette pour la fixation après ostéotomie haute du fémur, par M. Marcel Galland0378 - Page 374 - Séance du 5 Mai 1948. Communications. Résultats des premières observations françaises de la tétralogie de Fallot (enfants bleus), par MM. F. d’Allaines, E. Donzelot et l’Equipe médico-chirurgicale de l’hôpital Broussais / Présentation d'instrument. Clou de Kuntscher à palette pour la fixation après ostéotomie haute du fémur, par M. Marcel Galland
0379 - Page 375 - Séance du 5 Mai 1948. Présentation d'instrument. Clou de Kuntscher à palette pour la fixation après ostéotomie haute du fémur, par M. Marcel Galland / Élection d’un membre titulaire / Déclaration de vacance d’une place d’associé Parisien / Séance du 12 Mai 1948. Correspondance / Communications. Du traitement des ostéomyélites à staphylocoques par la pénicilline et le traitement chirurgical associés, par M. E. Sorrel et Mme Sorrel-Dejerine0379 - Page 375 - Séance du 5 Mai 1948. Présentation d'instrument. Clou de Kuntscher à palette pour la fixation après ostéotomie haute du fémur, par M. Marcel Galland / Élection d’un membre titulaire / Déclaration de vacance d’une place d’associé Parisien / Séance du 12 Mai 1948. Correspondance / Communications. Du traitement des ostéomyélites à staphylocoques par la pénicilline et le traitement chirurgical associés, par M. E. Sorrel et Mme Sorrel-Dejerine
0391 - Page 387 - Séance du 12 Mai 1948. Communications. Du traitement des ostéomyélites à staphylocoques par la pénicilline et le traitement chirurgical associés, par M. E. Sorrel et Mme Sorrel-Dejerine / Premiers résultats du traitement hormonal complémentaire du cancer du sein, par M. André Sicard0391 - Page 387 - Séance du 12 Mai 1948. Communications. Du traitement des ostéomyélites à staphylocoques par la pénicilline et le traitement chirurgical associés, par M. E. Sorrel et Mme Sorrel-Dejerine / Premiers résultats du traitement hormonal complémentaire du cancer du sein, par M. André Sicard
0393 - Page 389 - Séance du 12 Mai 1948. Communications. Premiers résultats du traitement hormonal complémentaire du cancer du sein, par M. André Sicard / Traitement des métastases du cancer du sein par la castration, par M. André Sicard0393 - Page 389 - Séance du 12 Mai 1948. Communications. Premiers résultats du traitement hormonal complémentaire du cancer du sein, par M. André Sicard / Traitement des métastases du cancer du sein par la castration, par M. André Sicard
0401 - Page 397 - Séance du 19 Mai 1948. Correspondance / A propos du procès-verbal. A propos des métastases des cancers du sein traitées par la castration, par M. G. Küss0401 - Page 397 - Séance du 19 Mai 1948. Correspondance / A propos du procès-verbal. A propos des métastases des cancers du sein traitées par la castration, par M. G. Küss
0403 - Page 399 - Séance du 19 Mai 1948. A propos du procès-verbal. La castration, l’hormonothérapie dans le traitement du cancer du sein, par M. A. Tailhefer0403 - Page 399 - Séance du 19 Mai 1948. A propos du procès-verbal. La castration, l’hormonothérapie dans le traitement du cancer du sein, par M. A. Tailhefer
0404 - Page 400 - Séance du 19 Mai 1948. A propos du procès-verbal. Sur le traitement des cancers du sein, par M. G. Rouhier0404 - Page 400 - Séance du 19 Mai 1948. A propos du procès-verbal. Sur le traitement des cancers du sein, par M. G. Rouhier
0406 - Page 402 - Séance du 19 Mai 1948. A propos du procès-verbal. Sur le traitement des cancers du sein, par M. G. Rouhier / Sur le traitement du cancer du sein, par M. Rudler0406 - Page 402 - Séance du 19 Mai 1948. A propos du procès-verbal. Sur le traitement des cancers du sein, par M. G. Rouhier / Sur le traitement du cancer du sein, par M. Rudler
0409 - Page 405 - Séance du 19 Mai 1948. Rapports. Un cas d’embolectomie du carrefour aortique, par MM. Pierre-Marion ct Jacquemet0409 - Page 405 - Séance du 19 Mai 1948. Rapports. Un cas d’embolectomie du carrefour aortique, par MM. Pierre-Marion ct Jacquemet
0412 - Page 408 - Séance du 19 Mai 1948. Rapports. Equipement d’une salle d’opérations pour radiomanométrie biliaire (Présentation d’un film), par MM. P. Porcher et J. Caroli0412 - Page 408 - Séance du 19 Mai 1948. Rapports. Equipement d’une salle d’opérations pour radiomanométrie biliaire (Présentation d’un film), par MM. P. Porcher et J. Caroli
0416 - Page 412 - Séance du 19 Mai 1948. Rapports. Equipement d’une salle d’opérations pour radiomanométrie biliaire (Présentation d’un film), par MM. P. Porcher et J. Caroli / Gastrite phlegmoneuse à staphylocoques. Gastrectomie segmentaire. Escarre sacrée massive et rapide par pyohémie post-opératoire. Echec de la pénicillothérapie, par M. R. Joyeux0416 - Page 412 - Séance du 19 Mai 1948. Rapports. Equipement d’une salle d’opérations pour radiomanométrie biliaire (Présentation d’un film), par MM. P. Porcher et J. Caroli / Gastrite phlegmoneuse à staphylocoques. Gastrectomie segmentaire. Escarre sacrée massive et rapide par pyohémie post-opératoire. Echec de la pénicillothérapie, par M. R. Joyeux
0422 - Page 418 - Séance du 19 Mai 1948. Rapports. Gastrite phlegmoneuse à staphylocoques. Gastrectomie segmentaire. Escarre sacrée massive et rapide par pyohémie post-opératoire. Echec de la pénicillothérapie, par M. R. Joyeux / Lithiase du cholédoque sans lithiase vésiculaire évoluant pendant douze ans sans ictère, par M. Gaby0422 - Page 418 - Séance du 19 Mai 1948. Rapports. Gastrite phlegmoneuse à staphylocoques. Gastrectomie segmentaire. Escarre sacrée massive et rapide par pyohémie post-opératoire. Echec de la pénicillothérapie, par M. R. Joyeux / Lithiase du cholédoque sans lithiase vésiculaire évoluant pendant douze ans sans ictère, par M. Gaby
0425 - Page 421 - Séance du 19 Mai 1948. Rapports. Persistance du canal artériel. Intervention. Guérison, par MM. P. Soulié, M. Servelle et A. Barreau0425 - Page 421 - Séance du 19 Mai 1948. Rapports. Persistance du canal artériel. Intervention. Guérison, par MM. P. Soulié, M. Servelle et A. Barreau
0426 - Page 422 - Séance du 19 Mai 1948. Rapports. Persistance du canal artériel. Intervention. Guérison, par MM. P. Soulié, M. Servelle et A. Barreau / Cyanose congénitale. Atrésie tricuspidienne. Opération de Blalock, par MM. P. Soulié et M. Servelle0426 - Page 422 - Séance du 19 Mai 1948. Rapports. Persistance du canal artériel. Intervention. Guérison, par MM. P. Soulié, M. Servelle et A. Barreau / Cyanose congénitale. Atrésie tricuspidienne. Opération de Blalock, par MM. P. Soulié et M. Servelle
0428 - Page 424 - Séance du 19 Mai 1948. Rapports. Cyanose congénitale. Atrésie tricuspidienne. Opération de Blalock, par MM. P. Soulié et M. Servelle / Présentation de malades. La réduction sanglante des variétés graves de la luxation congénitale de la hanche. (Luxations hautes chez les sujets âgés), par MM. Jacques Leveuf, Pierre Bertrand et Henri Guias0428 - Page 424 - Séance du 19 Mai 1948. Rapports. Cyanose congénitale. Atrésie tricuspidienne. Opération de Blalock, par MM. P. Soulié et M. Servelle / Présentation de malades. La réduction sanglante des variétés graves de la luxation congénitale de la hanche. (Luxations hautes chez les sujets âgés), par MM. Jacques Leveuf, Pierre Bertrand et Henri Guias
0430 - Page 426 - Séance du 19 Mai 1948. Présentation de malades. La réduction sanglante des variétés graves de la luxation congénitale de la hanche. (Luxations hautes chez les sujets âgés), par MM. Jacques Leveuf, Pierre Bertrand et Henri Guias / Séance du 26 Mai 1948. Présidence de M. Louis Sauvé, président. Correspondance / Présentations d’ouvrages, M. Ricardo Finochietto. M. René Charry (Toulouse) fait hommage à l’Académie de son ouvrage intitulé : Chirurgie moderne de la hanche. Apport de la radiographie de profil0430 - Page 426 - Séance du 19 Mai 1948. Présentation de malades. La réduction sanglante des variétés graves de la luxation congénitale de la hanche. (Luxations hautes chez les sujets âgés), par MM. Jacques Leveuf, Pierre Bertrand et Henri Guias / Séance du 26 Mai 1948. Présidence de M. Louis Sauvé, président. Correspondance / Présentations d’ouvrages, M. Ricardo Finochietto. M. René Charry (Toulouse) fait hommage à l’Académie de son ouvrage intitulé : Chirurgie moderne de la hanche. Apport de la radiographie de profil
0431 - Page 427 - Séance du 26 Mai 1948. Présidence de M. Louis Sauvé, président. Nécrologie. Décès de M. Enrique Finochietto, de Buerio-Aires, associé étranger. Allocution de M. le Président / A propos du procès-verbal. A propos de la communication de M. Küss sur les métastases osseuses ostéoplastiques, par M. P. Moulonguet0431 - Page 427 - Séance du 26 Mai 1948. Présidence de M. Louis Sauvé, président. Nécrologie. Décès de M. Enrique Finochietto, de Buerio-Aires, associé étranger. Allocution de M. le Président / A propos du procès-verbal. A propos de la communication de M. Küss sur les métastases osseuses ostéoplastiques, par M. P. Moulonguet
0433 - Page 429 - Séance du 26 Mai 1948. Présidence de M. Louis Sauvé, président. A propos du procès-verbal. A propos de la communication de M. Küss sur les métastases osseuses ostéoplastiques, par M. P. Moulonguet / A propos de la castration dans le traitement des cancers du sein, par M. P. Moulonguet / Rapports. Corps étranger intra-articulaire d’origine traumatique, par MM. I. Georgescu et G. Blaja0433 - Page 429 - Séance du 26 Mai 1948. Présidence de M. Louis Sauvé, président. A propos du procès-verbal. A propos de la communication de M. Küss sur les métastases osseuses ostéoplastiques, par M. P. Moulonguet / A propos de la castration dans le traitement des cancers du sein, par M. P. Moulonguet / Rapports. Corps étranger intra-articulaire d’origine traumatique, par MM. I. Georgescu et G. Blaja
0435 - Page 431 - Séance du 26 Mai 1948. Présidence de M. Louis Sauvé, président. Rapports. Corps étranger intra-articulaire d’origine traumatique, par MM. I. Georgescu et G. Blaja / L’évolution des abcès amibiens du foie et la douleur préperforative, par M. R. Bourgeon0435 - Page 431 - Séance du 26 Mai 1948. Présidence de M. Louis Sauvé, président. Rapports. Corps étranger intra-articulaire d’origine traumatique, par MM. I. Georgescu et G. Blaja / L’évolution des abcès amibiens du foie et la douleur préperforative, par M. R. Bourgeon
0438 - Page 434 - Séance du 26 Mai 1948. Présidence de M. Louis Sauvé, président. Rapports. L’évolution des abcès amibiens du foie et la douleur préperforative, par M. R. Bourgeon / Etranglement de l’intestin à travers le ligament large, par MM. Sarbu et Pandele et par M L. Leger0438 - Page 434 - Séance du 26 Mai 1948. Présidence de M. Louis Sauvé, président. Rapports. L’évolution des abcès amibiens du foie et la douleur préperforative, par M. R. Bourgeon / Etranglement de l’intestin à travers le ligament large, par MM. Sarbu et Pandele et par M L. Leger
0440 - Page 436 - Séance du 26 Mai 1948. Présidence de M. Louis Sauvé, président. Rapports. Etranglement de l’intestin à travers le ligament large, par MM. Sarbu et Pandele et par M L. Leger / Sur un cas de mort en hyperthermie a près gastrectomie totale, par M. Dan Moucha0440 - Page 436 - Séance du 26 Mai 1948. Présidence de M. Louis Sauvé, président. Rapports. Etranglement de l’intestin à travers le ligament large, par MM. Sarbu et Pandele et par M L. Leger / Sur un cas de mort en hyperthermie a près gastrectomie totale, par M. Dan Moucha
0442 - Page 438 - Séance du 26 Mai 1948. Présidence de M. Louis Sauvé, président. Rapports. Sur un cas de mort en hyperthermie a près gastrectomie totale, par M. Dan Moucha / Maladie de Simmonds (Cachexie hypophysaire) traitée avec succès par la sympathectomie cervicale. (Réactivation hypophysaire), par M. A. Jung0442 - Page 438 - Séance du 26 Mai 1948. Présidence de M. Louis Sauvé, président. Rapports. Sur un cas de mort en hyperthermie a près gastrectomie totale, par M. Dan Moucha / Maladie de Simmonds (Cachexie hypophysaire) traitée avec succès par la sympathectomie cervicale. (Réactivation hypophysaire), par M. A. Jung
0447 - Page 443 - Séance du 26 Mai 1948. Présidence de M. Louis Sauvé, président. Rapports. Maladie de Simmonds (Cachexie hypophysaire) traitée avec succès par la sympathectomie cervicale. (Réactivation hypophysaire), par M. A. Jung / Réflexions sur les abcès amibiens du foie, par M. Talbot0447 - Page 443 - Séance du 26 Mai 1948. Présidence de M. Louis Sauvé, président. Rapports. Maladie de Simmonds (Cachexie hypophysaire) traitée avec succès par la sympathectomie cervicale. (Réactivation hypophysaire), par M. A. Jung / Réflexions sur les abcès amibiens du foie, par M. Talbot
0454 - Page 450 - Séance du 26 Mai 1948. Présidence de M. Louis Sauvé, président. Rapports. Syndrome de Volkmann par abcès métastatique des fléchisseurs au cours d’une septicémie " post-abortum ", par M. André Granjon0454 - Page 450 - Séance du 26 Mai 1948. Présidence de M. Louis Sauvé, président. Rapports. Syndrome de Volkmann par abcès métastatique des fléchisseurs au cours d’une septicémie " post-abortum ", par M. André Granjon
0455 - Page 451 - Séance du 26 Mai 1948. Présidence de M. Louis Sauvé, président. Rapports. Syndrome de Volkmann par abcès métastatique des fléchisseurs au cours d’une septicémie " post-abortum ", par M. André Granjon / Communication. Sur les lésions graves que produit le permanganate de potasse employé comme abortif par MM. Sylvain Blondin, Jean Benassy et Philippe Masse0455 - Page 451 - Séance du 26 Mai 1948. Présidence de M. Louis Sauvé, président. Rapports. Syndrome de Volkmann par abcès métastatique des fléchisseurs au cours d’une septicémie " post-abortum ", par M. André Granjon / Communication. Sur les lésions graves que produit le permanganate de potasse employé comme abortif par MM. Sylvain Blondin, Jean Benassy et Philippe Masse
0457 - Page 453 - Séance du 2 Juin 1948. A propos du procès-verbal. Le traitement de l’invagination intestinale aiguë, par MM. Jacques Leveuf et Bernard Duhamel0457 - Page 453 - Séance du 2 Juin 1948. A propos du procès-verbal. Le traitement de l’invagination intestinale aiguë, par MM. Jacques Leveuf et Bernard Duhamel
0458 - Page 454 - Séance du 2 Juin 1948. A propos du procès-verbal. Le traitement de l’invagination intestinale aiguë, par MM. Jacques Leveuf et Bernard Duhamel / Sur les lésions graves que produit le permanganate de potasse employé comme abortif, par MM. Ameline et Th Gibert0458 - Page 454 - Séance du 2 Juin 1948. A propos du procès-verbal. Le traitement de l’invagination intestinale aiguë, par MM. Jacques Leveuf et Bernard Duhamel / Sur les lésions graves que produit le permanganate de potasse employé comme abortif, par MM. Ameline et Th Gibert
0459 - Page 455 - Séance du 2 Juin 1948. A propos du procès-verbal. Rupture intra-péritonéale d’un abcès amibien du foie, par M. J. Mialaret / Lecture. Perforation d’un ulcère duodénal dans le cholédoque, par MM. Lebon et C. Vergoz0459 - Page 455 - Séance du 2 Juin 1948. A propos du procès-verbal. Rupture intra-péritonéale d’un abcès amibien du foie, par M. J. Mialaret / Lecture. Perforation d’un ulcère duodénal dans le cholédoque, par MM. Lebon et C. Vergoz
0463 - Page 459 - Séance du 2 Juin 1948. Rapports. Ulcère duodénal avec sténose duodénale sous-vatérienne et reflux cholédocien radiologique, par M. Laborit0463 - Page 459 - Séance du 2 Juin 1948. Rapports. Ulcère duodénal avec sténose duodénale sous-vatérienne et reflux cholédocien radiologique, par M. Laborit
0464 - Page 460 - Séance du 2 Juin 1948. Rapports. Ulcère duodénal avec sténose duodénale sous-vatérienne et reflux cholédocien radiologique, par M. Laborit / Communications. La cardio-péricardiopexie (opération de Samuel Alcott Thompson) dans le traitement de la coronarite, par M. Gorelik0464 - Page 460 - Séance du 2 Juin 1948. Rapports. Ulcère duodénal avec sténose duodénale sous-vatérienne et reflux cholédocien radiologique, par M. Laborit / Communications. La cardio-péricardiopexie (opération de Samuel Alcott Thompson) dans le traitement de la coronarite, par M. Gorelik
0466 - Page 462 - Séance du 2 Juin 1948. Communications. La cardio-péricardiopexie (opération de Samuel Alcott Thompson) dans le traitement de la coronarite, par M. Gorelik / Ablation d'une tumeur thymique chez un myasthénique, par MM. Marc Iselin et Pierre Bourgeois0466 - Page 462 - Séance du 2 Juin 1948. Communications. La cardio-péricardiopexie (opération de Samuel Alcott Thompson) dans le traitement de la coronarite, par M. Gorelik / Ablation d'une tumeur thymique chez un myasthénique, par MM. Marc Iselin et Pierre Bourgeois
0473 - Page 469 - Séance du 2 Juin 1948. Communications. Ablation d'une tumeur thymique chez un myasthénique, par MM. Marc Iselin et Pierre Bourgeois / Vingt observations de Tétralogie de Fallot opérées par la technique de Blalock, par MM. P. Santy, M. Bérard, J. Bret et P. Marion0473 - Page 469 - Séance du 2 Juin 1948. Communications. Ablation d'une tumeur thymique chez un myasthénique, par MM. Marc Iselin et Pierre Bourgeois / Vingt observations de Tétralogie de Fallot opérées par la technique de Blalock, par MM. P. Santy, M. Bérard, J. Bret et P. Marion
0477 - Page 473 - Séance du 2 Juin 1948. Communications. Vingt observations de Tétralogie de Fallot opérées par la technique de Blalock, par MM. P. Santy, M. Bérard, J. Bret et P. Marion / Présentation de pièce. Epithélioma du fond du vagin développé neuf ans après une hystérectomie totale pour fibrome. Ablation de la tumeur par voie vagino-périnéale, par M. Picot0477 - Page 473 - Séance du 2 Juin 1948. Communications. Vingt observations de Tétralogie de Fallot opérées par la technique de Blalock, par MM. P. Santy, M. Bérard, J. Bret et P. Marion / Présentation de pièce. Epithélioma du fond du vagin développé neuf ans après une hystérectomie totale pour fibrome. Ablation de la tumeur par voie vagino-périnéale, par M. Picot
0478 - Page 474 - Séance du 2 Juin 1948. Présentation de pièce. Epithélioma du fond du vagin développé neuf ans après une hystérectomie totale pour fibrome. Ablation de la tumeur par voie vagino-périnéale, par M. Picot / Séance du 9 Juin 1948. Présentation d’ouvrage. M. le Président : M. Robert Monod a fait hommage à l’Académie de son beau livre sur Les heures décisives de la libération de Paris / Discussions en cours. Les problèmes psychosomatiques en chirurgie générale0478 - Page 474 - Séance du 2 Juin 1948. Présentation de pièce. Epithélioma du fond du vagin développé neuf ans après une hystérectomie totale pour fibrome. Ablation de la tumeur par voie vagino-périnéale, par M. Picot / Séance du 9 Juin 1948. Présentation d’ouvrage. M. le Président : M. Robert Monod a fait hommage à l’Académie de son beau livre sur Les heures décisives de la libération de Paris / Discussions en cours. Les problèmes psychosomatiques en chirurgie générale
0485 - Page 481 - Séance du 9 Juin 1948. Discussions en cours. Les problèmes psychosomatiques en chirurgie générale / Communications. Le pneumo-péritoine dans la perforation pré-opératoire des grandes éventrations, par M. Ivan Goni-Moreno0485 - Page 481 - Séance du 9 Juin 1948. Discussions en cours. Les problèmes psychosomatiques en chirurgie générale / Communications. Le pneumo-péritoine dans la perforation pré-opératoire des grandes éventrations, par M. Ivan Goni-Moreno
0488 - Page 484 - Séance du 9 Juin 1948. Communications. Le traitement chirurgical de l’hypertension artérielle. A propos de 92 observations, par MM. Pierre Wertheimer, associé national, et Jean Lecuire0488 - Page 484 - Séance du 9 Juin 1948. Communications. Le traitement chirurgical de l’hypertension artérielle. A propos de 92 observations, par MM. Pierre Wertheimer, associé national, et Jean Lecuire
0494 - Page 490 - Séance du 9 Juin 1948. Communications. Le traitement chirurgical de l’hypertension artérielle. A propos de 92 observations, par MM. Pierre Wertheimer, associé national, et Jean Lecuire / Élection d’une commission chargée de l’examen des titres des candidats à la place d’associé Parisien0494 - Page 490 - Séance du 9 Juin 1948. Communications. Le traitement chirurgical de l’hypertension artérielle. A propos de 92 observations, par MM. Pierre Wertheimer, associé national, et Jean Lecuire / Élection d’une commission chargée de l’examen des titres des candidats à la place d’associé Parisien
0495 - Page 491 - Séance du 16 Juin 1948. Correspondance / Rapports. Quatre cas d’implantation urétéro-intestinale chez l’enfant, par M. Nédelec0495 - Page 491 - Séance du 16 Juin 1948. Correspondance / Rapports. Quatre cas d’implantation urétéro-intestinale chez l’enfant, par M. Nédelec
0499 - Page 495 - Séance du 16 Juin 1948. Rapports. Quatre cas d’implantation urétéro-intestinale chez l’enfant, par M. Nédelec / Sur le traitement des infections staphylococciques, par MM. P. Mercier et J. Pillet0499 - Page 495 - Séance du 16 Juin 1948. Rapports. Quatre cas d’implantation urétéro-intestinale chez l’enfant, par M. Nédelec / Sur le traitement des infections staphylococciques, par MM. P. Mercier et J. Pillet
0502 - Page 498 - Séance du 16 Juin 1948. Rapports. Deux cas de rupture spontanée des muscles larges de l’abdomen, par MM. F. Lagrot et J. Salasc0502 - Page 498 - Séance du 16 Juin 1948. Rapports. Deux cas de rupture spontanée des muscles larges de l’abdomen, par MM. F. Lagrot et J. Salasc
0503 - Page 499 - Séance du 16 Juin 1948. Rapports. Deux cas de rupture spontanée des muscles larges de l’abdomen, par MM. F. Lagrot et J. Salasc / Un cas d’hématome spontané des muscles larges de l’abdomen, par M. Aupinel0503 - Page 499 - Séance du 16 Juin 1948. Rapports. Deux cas de rupture spontanée des muscles larges de l’abdomen, par MM. F. Lagrot et J. Salasc / Un cas d’hématome spontané des muscles larges de l’abdomen, par M. Aupinel
0504 - Page 500 - Séance du 16 Juin 1948. Rapports. Un cas d’hématome spontané des muscles larges de l’abdomen, par M. Aupinel / Discussion en cours. Les troubles psychosomatiques en chirurgie, par M. Louis Sauvé0504 - Page 500 - Séance du 16 Juin 1948. Rapports. Un cas d’hématome spontané des muscles larges de l’abdomen, par M. Aupinel / Discussion en cours. Les troubles psychosomatiques en chirurgie, par M. Louis Sauvé
0508 - Page 504 - Séance du 16 Juin 1948. Discussion en cours. Les troubles psychosomatiques en chirurgie, par M. Louis Sauvé / Communications. Inconvénients et dangers des antithyroïdiens de synthèse dans le traitement de la maladie de Basedow, par M. H. Welti0508 - Page 504 - Séance du 16 Juin 1948. Discussion en cours. Les troubles psychosomatiques en chirurgie, par M. Louis Sauvé / Communications. Inconvénients et dangers des antithyroïdiens de synthèse dans le traitement de la maladie de Basedow, par M. H. Welti
0513 - Page 509 - Séance du 16 Juin 1948. Communications. Inconvénients et dangers des antithyroïdiens de synthèse dans le traitement de la maladie de Basedow, par M. H. Welti / Diagnostic causal des sténoses duodénales subaiguës et chroniques par l’examen radiologique du gros intestin, par M. Marcel Fèvre0513 - Page 509 - Séance du 16 Juin 1948. Communications. Inconvénients et dangers des antithyroïdiens de synthèse dans le traitement de la maladie de Basedow, par M. H. Welti / Diagnostic causal des sténoses duodénales subaiguës et chroniques par l’examen radiologique du gros intestin, par M. Marcel Fèvre
0518 - Page 514 - Séance du 16 Juin 1948. Communications. Troubles psychosomatiques en chirurgie infantile, par M. Marcel Fèvre0518 - Page 514 - Séance du 16 Juin 1948. Communications. Troubles psychosomatiques en chirurgie infantile, par M. Marcel Fèvre
0519 - Page 515 - Séance du 23 Juin 1948. Communications. Importance des renseignements fournis par l’urétrographie pré-opératoire, et résultats de l’urétrectomie et de la réfection immédiate de l’urètre au cours des phlegmons diffus du périné, par M. L. Sabadini0519 - Page 515 - Séance du 23 Juin 1948. Communications. Importance des renseignements fournis par l’urétrographie pré-opératoire, et résultats de l’urétrectomie et de la réfection immédiate de l’urètre au cours des phlegmons diffus du périné, par M. L. Sabadini
0532 - Page 528 - Séance du 23 Juin 1948. Communications. Importance des renseignements fournis par l’urétrographie pré-opératoire, et résultats de l’urétrectomie et de la réfection immédiate de l’urètre au cours des phlegmons diffus du périné, par M. L. Sabadini / Résultats obtenus par la dénervation des artères coronaires associée ou non à la ligature de la grande veine coronaire dans le traitement de la maladie coronarienne, par M. Mercier Fauteux0532 - Page 528 - Séance du 23 Juin 1948. Communications. Importance des renseignements fournis par l’urétrographie pré-opératoire, et résultats de l’urétrectomie et de la réfection immédiate de l’urètre au cours des phlegmons diffus du périné, par M. L. Sabadini / Résultats obtenus par la dénervation des artères coronaires associée ou non à la ligature de la grande veine coronaire dans le traitement de la maladie coronarienne, par M. Mercier Fauteux
0539 - Page 535 - Séance du 23 Juin 1948. Communications. Résultats obtenus par la dénervation des artères coronaires associée ou non à la ligature de la grande veine coronaire dans le traitement de la maladie coronarienne, par M. Mercier Fauteux / Dysplasie fibreuse polyostotique avec modifications crâniennes à type d’hyperostose, par MM. Emile Delannoy (associé national) et P. Ingelrans0539 - Page 535 - Séance du 23 Juin 1948. Communications. Résultats obtenus par la dénervation des artères coronaires associée ou non à la ligature de la grande veine coronaire dans le traitement de la maladie coronarienne, par M. Mercier Fauteux / Dysplasie fibreuse polyostotique avec modifications crâniennes à type d’hyperostose, par MM. Emile Delannoy (associé national) et P. Ingelrans
0546 - Page 542 - Séance du 23 Juin 1948. Candidature aux places d’associés nationaux0546 - Page 542 - Séance du 23 Juin 1948. Candidature aux places d’associés nationaux
0547 - Page 543 - Séance du 30 Juin 1948. Rapports. Exploration tomographique du sternum de l’adulte et des articulations sterno-claviculaires. Trois cas de tuberculose ostéo-articulaire du sternum, par M. R. Herdner0547 - Page 543 - Séance du 30 Juin 1948. Rapports. Exploration tomographique du sternum de l’adulte et des articulations sterno-claviculaires. Trois cas de tuberculose ostéo-articulaire du sternum, par M. R. Herdner
0548 - Page 544 - Séance du 30 Juin 1948. Rapports. Voie d’accès sous-péritonéale et sous-périostée à la face endo-pelvienne de l’aile iliaque et au promontoire, par M. Giraud / Valeur des infiltrations péri-articulaires de novocaïne, par M. Giraud0548 - Page 544 - Séance du 30 Juin 1948. Rapports. Voie d’accès sous-péritonéale et sous-périostée à la face endo-pelvienne de l’aile iliaque et au promontoire, par M. Giraud / Valeur des infiltrations péri-articulaires de novocaïne, par M. Giraud
0550 - Page 546 - Séance du 30 Juin 1948. Rapports. Valeur des infiltrations péri-articulaires de novocaïne, par M. Giraud / Réflexions sur la splénectomie notamment dans les grosses rates nord-africaines, par M. J. C. Demirleau0550 - Page 546 - Séance du 30 Juin 1948. Rapports. Valeur des infiltrations péri-articulaires de novocaïne, par M. Giraud / Réflexions sur la splénectomie notamment dans les grosses rates nord-africaines, par M. J. C. Demirleau
0553 - Page 549 - Séance du 30 Juin 1948. Rapports. Volumineuses tumeurs à myéloplaxes des gaines tendineuses du cou-de-pied avec lésions osseuses secondaires, par M. F. Gaby0553 - Page 549 - Séance du 30 Juin 1948. Rapports. Volumineuses tumeurs à myéloplaxes des gaines tendineuses du cou-de-pied avec lésions osseuses secondaires, par M. F. Gaby
0557 - Page 553 - Séance du 30 Juin 1948. Rapports. Volumineuses tumeurs à myéloplaxes des gaines tendineuses du cou-de-pied avec lésions osseuses secondaires, par M. F. Gaby / Développement anévrysmatique après thrombo-endartériectomie de J. Cid dos Santos, par M. Jean Kunlin0557 - Page 553 - Séance du 30 Juin 1948. Rapports. Volumineuses tumeurs à myéloplaxes des gaines tendineuses du cou-de-pied avec lésions osseuses secondaires, par M. F. Gaby / Développement anévrysmatique après thrombo-endartériectomie de J. Cid dos Santos, par M. Jean Kunlin
0561 - Page 557 - Séance du 30 Juin 1948. Rapports. Développement anévrysmatique après thrombo-endartériectomie de J. Cid dos Santos, par M. Jean Kunlin / Résultats de l’endartériectomie expérimentale. Etude histologique, par M. Jean Kunlin0561 - Page 557 - Séance du 30 Juin 1948. Rapports. Développement anévrysmatique après thrombo-endartériectomie de J. Cid dos Santos, par M. Jean Kunlin / Résultats de l’endartériectomie expérimentale. Etude histologique, par M. Jean Kunlin
0564 - Page 560 - Séance du 30 Juin 1948. Rapports. Résultats de l’endartériectomie expérimentale. Etude histologique, par M. Jean Kunlin / Communications. Chondro-hamartome du poumon, par MM. E. Mourgue-Molines, associé national, A. Balmès et H. L. Guibert0564 - Page 560 - Séance du 30 Juin 1948. Rapports. Résultats de l’endartériectomie expérimentale. Etude histologique, par M. Jean Kunlin / Communications. Chondro-hamartome du poumon, par MM. E. Mourgue-Molines, associé national, A. Balmès et H. L. Guibert
0567 - Page 563 - Séance du 30 Juin 1948. Communications. Chondro-hamartome du poumon, par MM. E. Mourgue-Molines, associé national, A. Balmès et H. L. Guibert / L’arthroplastie dans les luxations et subluxations congénitales de la hanche chez l’enfant, par MM. H. Laffitte (associé national). P. Suire et J. Montaubin0567 - Page 563 - Séance du 30 Juin 1948. Communications. Chondro-hamartome du poumon, par MM. E. Mourgue-Molines, associé national, A. Balmès et H. L. Guibert / L’arthroplastie dans les luxations et subluxations congénitales de la hanche chez l’enfant, par MM. H. Laffitte (associé national). P. Suire et J. Montaubin
0569 - Page 565 - Séance du 30 Juin 1948. Communications. L’arthroplastie dans les luxations et subluxations congénitales de la hanche chez l’enfant, par MM. H. Laffitte (associé national). P. Suire et J. Montaubin / L’exploration lipiodolée épidurale par sonde pour le diagnostic des hernies discales, par MM. André Sicard, Jacques Forestier et D. Oeconomos0569 - Page 565 - Séance du 30 Juin 1948. Communications. L’arthroplastie dans les luxations et subluxations congénitales de la hanche chez l’enfant, par MM. H. Laffitte (associé national). P. Suire et J. Montaubin / L’exploration lipiodolée épidurale par sonde pour le diagnostic des hernies discales, par MM. André Sicard, Jacques Forestier et D. Oeconomos
0571 - Page 567 - Séance du 30 Juin 1948. Élection d’un associé Parisien / Vacances de l'académie / Séance du 7 Juillet 1948. Correspondance / A propos du procès-verbal. Sur le rapport de M. Leriche au sujet d’une observation de désobstruction artérielle, par M. Kunlin, par M. Sylvain Blondin0571 - Page 567 - Séance du 30 Juin 1948. Élection d’un associé Parisien / Vacances de l'académie / Séance du 7 Juillet 1948. Correspondance / A propos du procès-verbal. Sur le rapport de M. Leriche au sujet d’une observation de désobstruction artérielle, par M. Kunlin, par M. Sylvain Blondin
0572 - Page 568 - Séance du 7 Juillet 1948. A propos du procès-verbal. Sur le rapport de M. Leriche au sujet d’une observation de désobstruction artérielle, par M. Kunlin, par M. Sylvain Blondin / Rapports. Volumineux kyste non parasitaire du foie à symptomatologie aiguë. Résection partielle. Guérison, par MM. Spriet et Chen Si Yuen0572 - Page 568 - Séance du 7 Juillet 1948. A propos du procès-verbal. Sur le rapport de M. Leriche au sujet d’une observation de désobstruction artérielle, par M. Kunlin, par M. Sylvain Blondin / Rapports. Volumineux kyste non parasitaire du foie à symptomatologie aiguë. Résection partielle. Guérison, par MM. Spriet et Chen Si Yuen
0573 - Page 569 - Séance du 7 Juillet 1948. Rapports. Volumineux kyste non parasitaire du foie à symptomatologie aiguë. Résection partielle. Guérison, par MM. Spriet et Chen Si Yuen / Traitement neuro-chirurgical des abcès du cerveau et des abcès méningés d’après 50 observations, par MM. J. Le Beau, M. Feld et R. Houdart0573 - Page 569 - Séance du 7 Juillet 1948. Rapports. Volumineux kyste non parasitaire du foie à symptomatologie aiguë. Résection partielle. Guérison, par MM. Spriet et Chen Si Yuen / Traitement neuro-chirurgical des abcès du cerveau et des abcès méningés d’après 50 observations, par MM. J. Le Beau, M. Feld et R. Houdart
0577 - Page 573 - Séance du 7 Juillet 1948. Rapports. Traitement neuro-chirurgical des abcès du cerveau et des abcès méningés d’après 50 observations, par MM. J. Le Beau, M. Feld et R. Houdart / Ostéosynthèse des fractures spiroïdes par vissage, par MM. Picaud et Poucel0577 - Page 573 - Séance du 7 Juillet 1948. Rapports. Traitement neuro-chirurgical des abcès du cerveau et des abcès méningés d’après 50 observations, par MM. J. Le Beau, M. Feld et R. Houdart / Ostéosynthèse des fractures spiroïdes par vissage, par MM. Picaud et Poucel
0579 - Page 575 - Séance du 7 Juillet 1948. Rapports. Hépatostomie, par M. Ricardo Finochietto0579 - Page 575 - Séance du 7 Juillet 1948. Rapports. Hépatostomie, par M. Ricardo Finochietto
0581 - Page 577 - Séance du 7 Juillet 1948. Communications. Quelques réflexions sur la streptomycine, par M. Jean Chavannaz0581 - Page 577 - Séance du 7 Juillet 1948. Communications. Quelques réflexions sur la streptomycine, par M. Jean Chavannaz
0582 - Page 578 - Séance du 7 Juillet 1948. Communications. Quelques réflexions sur la streptomycine, par M. Jean Chavannaz / Streptomycine et chirurgie. Nécessité du contrôle biologique, par MM. R. Ramade, Dulong de Rosnay et J. Chavannaz0582 - Page 578 - Séance du 7 Juillet 1948. Communications. Quelques réflexions sur la streptomycine, par M. Jean Chavannaz / Streptomycine et chirurgie. Nécessité du contrôle biologique, par MM. R. Ramade, Dulong de Rosnay et J. Chavannaz
0585 - Page 581 - Séance du 7 Juillet 1948. Communications. Streptomycine et chirurgie. Nécessité du contrôle biologique, par MM. R. Ramade, Dulong de Rosnay et J. Chavannaz / Traitement des phlébites par la réfrigération, par M. Henri Costantini0585 - Page 581 - Séance du 7 Juillet 1948. Communications. Streptomycine et chirurgie. Nécessité du contrôle biologique, par MM. R. Ramade, Dulong de Rosnay et J. Chavannaz / Traitement des phlébites par la réfrigération, par M. Henri Costantini
0587 - Page 583 - Séance du 7 Juillet 1948. Communications. Traitement des phlébites par la réfrigération, par M. Henri Costantini / Ligamentopexie en poulie, par M. Alberto Baraldi0587 - Page 583 - Séance du 7 Juillet 1948. Communications. Traitement des phlébites par la réfrigération, par M. Henri Costantini / Ligamentopexie en poulie, par M. Alberto Baraldi
0589 - Page 585 - Séance du 7 Juillet 1948. Communications. Ligamentopexie en poulie, par M. Alberto Baraldi / Présentation de malade. Ostéosynthèse pour fracture oblique basse de la diaphyse humérale. Paralysie radiale post-opératoire, par M. J. Sénèque0589 - Page 585 - Séance du 7 Juillet 1948. Communications. Ligamentopexie en poulie, par M. Alberto Baraldi / Présentation de malade. Ostéosynthèse pour fracture oblique basse de la diaphyse humérale. Paralysie radiale post-opératoire, par M. J. Sénèque
0590 - Page 586 - Séance du 7 Juillet 1948. Présentation de malade. Ostéosynthèse pour fracture oblique basse de la diaphyse humérale. Paralysie radiale post-opératoire, par M. J. Sénèque / Don De M. Abadie0590 - Page 586 - Séance du 7 Juillet 1948. Présentation de malade. Ostéosynthèse pour fracture oblique basse de la diaphyse humérale. Paralysie radiale post-opératoire, par M. J. Sénèque / Don De M. Abadie
0591 - Page 587 - Séance du 13 Octobre 1948. Correspondance / Première séance. Nécrologie. Décès du professeur Jacques Leveuf, secrétaire général de l’Académie de Chirurgie. Allocution de M. le Président0591 - Page 587 - Séance du 13 Octobre 1948. Correspondance / Première séance. Nécrologie. Décès du professeur Jacques Leveuf, secrétaire général de l’Académie de Chirurgie. Allocution de M. le Président
0594 - Page 590 - Séance du 13 Octobre 1948. Deuxième séance. Nécrologie. Décès de M. Roussy, membre libre / Rapports. Contribution à l’étude des néphrites graves, post-abortives, par eau de savon, par M. H. Dax0594 - Page 590 - Séance du 13 Octobre 1948. Deuxième séance. Nécrologie. Décès de M. Roussy, membre libre / Rapports. Contribution à l’étude des néphrites graves, post-abortives, par eau de savon, par M. H. Dax
0601 - Page 597 - Séance du 13 Octobre 1948. Deuxième séance. Rapports. Sur un cas de péricardite constrictive traitée par la péricardectomie, par MM. J. Bréhant, R. Mechalï (lu memoriam) et R. Touboul0601 - Page 597 - Séance du 13 Octobre 1948. Deuxième séance. Rapports. Sur un cas de péricardite constrictive traitée par la péricardectomie, par MM. J. Bréhant, R. Mechalï (lu memoriam) et R. Touboul
0606 - Page 602 - Séance du 13 Octobre 1948. Deuxième séance. Rapports. Sur un cas de péricardite constrictive traitée par la péricardectomie, par MM. J. Bréhant, R. Mechalï (lu memoriam) et R. Touboul / Le cancer mammaire chez les femmes castrées, par MM. Marcel Dargent et Marcel Mayer0606 - Page 602 - Séance du 13 Octobre 1948. Deuxième séance. Rapports. Sur un cas de péricardite constrictive traitée par la péricardectomie, par MM. J. Bréhant, R. Mechalï (lu memoriam) et R. Touboul / Le cancer mammaire chez les femmes castrées, par MM. Marcel Dargent et Marcel Mayer
0608 - Page 604 - Séance du 13 Octobre 1948. Deuxième séance. Discussion en cours. Premiers résultats de remploi de la streptomycine dans le traitement des tuberculoses ostéo-articulaires0608 - Page 604 - Séance du 13 Octobre 1948. Deuxième séance. Discussion en cours. Premiers résultats de remploi de la streptomycine dans le traitement des tuberculoses ostéo-articulaires
0610 - Page 606 - Séance du 13 Octobre 1948. Deuxième séance. Discussion en cours. Premiers résultats de remploi de la streptomycine dans le traitement des tuberculoses ostéo-articulaires / Communications. Corps étranger des voies digestives toléré pendant quarante-cinq ans, par M. P. Funck-Brentano0610 - Page 606 - Séance du 13 Octobre 1948. Deuxième séance. Discussion en cours. Premiers résultats de remploi de la streptomycine dans le traitement des tuberculoses ostéo-articulaires / Communications. Corps étranger des voies digestives toléré pendant quarante-cinq ans, par M. P. Funck-Brentano
0611 - Page 607 - Séance du 13 Octobre 1948. Deuxième séance. Communications. Corps étranger des voies digestives toléré pendant quarante-cinq ans, par M. P. Funck-Brentano / A propos de la communication de MM. Marc Iselin et Heim de Balsac intitulée : Syndrome dit d’embolie artérielle et " ischémie aiguë des membres ", par M. René Fontaine0611 - Page 607 - Séance du 13 Octobre 1948. Deuxième séance. Communications. Corps étranger des voies digestives toléré pendant quarante-cinq ans, par M. P. Funck-Brentano / A propos de la communication de MM. Marc Iselin et Heim de Balsac intitulée : Syndrome dit d’embolie artérielle et " ischémie aiguë des membres ", par M. René Fontaine
0615 - Page 611 - Séance du 13 Octobre 1948. Deuxième séance. Communications. A propos de la communication de MM. Marc Iselin et Heim de Balsac intitulée : Syndrome dit d’embolie artérielle et " ischémie aiguë des membres ", par M. René Fontaine / Présentation de film et de malade, par M. Jean Gosset0615 - Page 611 - Séance du 13 Octobre 1948. Deuxième séance. Communications. A propos de la communication de MM. Marc Iselin et Heim de Balsac intitulée : Syndrome dit d’embolie artérielle et " ischémie aiguë des membres ", par M. René Fontaine / Présentation de film et de malade, par M. Jean Gosset
0616 - Page 612 - Séance du 20 Octobre 1948. A propos du procès-verbal / Rapports. Endo-anévrysmorraphie pour anévrysme artério-veineux sous-clavier endo-scalénique, par M. Marin Petrov0616 - Page 612 - Séance du 20 Octobre 1948. A propos du procès-verbal / Rapports. Endo-anévrysmorraphie pour anévrysme artério-veineux sous-clavier endo-scalénique, par M. Marin Petrov
0620 - Page 616 - Séance du 20 Octobre 1948. Rapports. Volumineuse mucocèle appendiculaire avec diverticule intracaecal, compliquée d’invagination, par M. J. Naulleau0620 - Page 616 - Séance du 20 Octobre 1948. Rapports. Volumineuse mucocèle appendiculaire avec diverticule intracaecal, compliquée d’invagination, par M. J. Naulleau
0621 - Page 617 - Séance du 20 Octobre 1948. Rapports. Volumineuse mucocèle appendiculaire avec diverticule intracaecal, compliquée d’invagination, par M. J. Naulleau / Technique de la gastrectomie subtotale pour maladie ulcéreuse gastro-duodénale, par M. Frederico E. Christmann0621 - Page 617 - Séance du 20 Octobre 1948. Rapports. Volumineuse mucocèle appendiculaire avec diverticule intracaecal, compliquée d’invagination, par M. J. Naulleau / Technique de la gastrectomie subtotale pour maladie ulcéreuse gastro-duodénale, par M. Frederico E. Christmann
0622 - Page 618 - Séance du 20 Octobre 1948. Rapports. Technique de la gastrectomie subtotale pour maladie ulcéreuse gastro-duodénale, par M. Frederico E. Christmann / Sigmoïdite perforée avec péritonite généralisée, par M. G. Delouche0622 - Page 618 - Séance du 20 Octobre 1948. Rapports. Technique de la gastrectomie subtotale pour maladie ulcéreuse gastro-duodénale, par M. Frederico E. Christmann / Sigmoïdite perforée avec péritonite généralisée, par M. G. Delouche
0623 - Page 619 - Séance du 20 Octobre 1948. Rapports. A propos des fistules duodénales et de leur traitement, par M. J. -L. Brenier0623 - Page 619 - Séance du 20 Octobre 1948. Rapports. A propos des fistules duodénales et de leur traitement, par M. J. -L. Brenier
0625 - Page 621 - Séance du 20 Octobre 1948. Rapports. A propos des fistules duodénales et de leur traitement, par M. J. -L. Brenier / Communication. Un an de chirurgie du cancer de l’oesophage, par M. Alain Mouchet0625 - Page 621 - Séance du 20 Octobre 1948. Rapports. A propos des fistules duodénales et de leur traitement, par M. J. -L. Brenier / Communication. Un an de chirurgie du cancer de l’oesophage, par M. Alain Mouchet
0634 - Page 630 - Séance du 20 Octobre 1948. Communication. Un an de chirurgie du cancer de l’oesophage, par M. Alain Mouchet / Don De M. Abadie / Élection d’une commission chargée d’examiner les titres des candidats aux places vacantes d’associés nationaux / Errata0634 - Page 630 - Séance du 20 Octobre 1948. Communication. Un an de chirurgie du cancer de l’oesophage, par M. Alain Mouchet / Don De M. Abadie / Élection d’une commission chargée d’examiner les titres des candidats aux places vacantes d’associés nationaux / Errata
0635 - Page 631 - Séance du 27 Octobre 1948. Présentations d’ouvrages. MM. Maurice Luzuy et Jean-f. Porge font hommage à l’Académie de leur ouvrage intitulé : Traitement chirurgical de l’hypertension artérielle / M. Raphaël Massart fait hommage à l’Académie de son ouvrage intitulé : Affections médicales et chirurgicales du pied0635 - Page 631 - Séance du 27 Octobre 1948. Présentations d’ouvrages. MM. Maurice Luzuy et Jean-f. Porge font hommage à l’Académie de leur ouvrage intitulé : Traitement chirurgical de l’hypertension artérielle / M. Raphaël Massart fait hommage à l’Académie de son ouvrage intitulé : Affections médicales et chirurgicales du pied
0636 - Page 632 - Séance du 27 Octobre 1948. Rapports. L’extrapéritonisation haute en chirurgie pelvienne, par M. Bompart0636 - Page 632 - Séance du 27 Octobre 1948. Rapports. L’extrapéritonisation haute en chirurgie pelvienne, par M. Bompart
0639 - Page 635 - Séance du 27 Octobre 1948. Rapports. L’extrapéritonisation haute en chirurgie pelvienne, par M. Bompart / L’iléus, symptôme de rupture de bien des anévrysmes de l’aorte abdominale, par MM. A. Nana et V. Baican0639 - Page 635 - Séance du 27 Octobre 1948. Rapports. L’extrapéritonisation haute en chirurgie pelvienne, par M. Bompart / L’iléus, symptôme de rupture de bien des anévrysmes de l’aorte abdominale, par MM. A. Nana et V. Baican
0642 - Page 638 - Séance du 27 Octobre 1948. Rapports. L’iléus, symptôme de rupture de bien des anévrysmes de l’aorte abdominale, par MM. A. Nana et V. Baican / Technique, indications et résultats du curage métaphysaire dans le traitement des ankylosés et des polyarthrites ankylosantes et douloureuses, par MM. Crétin, R. et J. Mayer et Maignan0642 - Page 638 - Séance du 27 Octobre 1948. Rapports. L’iléus, symptôme de rupture de bien des anévrysmes de l’aorte abdominale, par MM. A. Nana et V. Baican / Technique, indications et résultats du curage métaphysaire dans le traitement des ankylosés et des polyarthrites ankylosantes et douloureuses, par MM. Crétin, R. et J. Mayer et Maignan
0645 - Page 641 - Séance du 27 Octobre 1948. Communications. Dilatation kystique du cholédoque, par MM. J. Hepp, J. Caroli et M. Cachin0645 - Page 641 - Séance du 27 Octobre 1948. Communications. Dilatation kystique du cholédoque, par MM. J. Hepp, J. Caroli et M. Cachin
0649 - Page 645 - Séance du 27 Octobre 1948. Communications. Tumeur kystique rétro-péritonéale (lymphangiome) fistulisée dans le côlon avec mise en évidence radiologique de la communication, par MM. A. Lemaire, H. Redon et G. Ledoux-Lebard0649 - Page 645 - Séance du 27 Octobre 1948. Communications. Tumeur kystique rétro-péritonéale (lymphangiome) fistulisée dans le côlon avec mise en évidence radiologique de la communication, par MM. A. Lemaire, H. Redon et G. Ledoux-Lebard
0653 - Page 649 - Séance du 27 Octobre 1948. Communications. Note sur le traitement des hémorroïdes à propos de quelques accidents des injections sclérosantes, par MM. G. Rouhier et H. Fucs0653 - Page 649 - Séance du 27 Octobre 1948. Communications. Note sur le traitement des hémorroïdes à propos de quelques accidents des injections sclérosantes, par MM. G. Rouhier et H. Fucs
0657 - Page 653 - Séance du 3 Novembre 1948. Correspondance / Présentation d’ouvrage. M. P. Porcher fait hommage à l’Académie de son Précis de technique radiographique / Rapports. A propos d’une modification de technique dans l’opération de Wertheim, par M. R. Imbert0657 - Page 653 - Séance du 3 Novembre 1948. Correspondance / Présentation d’ouvrage. M. P. Porcher fait hommage à l’Académie de son Précis de technique radiographique / Rapports. A propos d’une modification de technique dans l’opération de Wertheim, par M. R. Imbert
0658 - Page 654 - Séance du 3 Novembre 1948. Rapports. A propos d’une modification de technique dans l’opération de Wertheim, par M. R. Imbert / Traitement par l’association pénicilline-acide paraaminobenzoïque polivinylpyrrolidone des abcès tuberculeux thoraciques, par M. Raoul Lecoq0658 - Page 654 - Séance du 3 Novembre 1948. Rapports. A propos d’une modification de technique dans l’opération de Wertheim, par M. R. Imbert / Traitement par l’association pénicilline-acide paraaminobenzoïque polivinylpyrrolidone des abcès tuberculeux thoraciques, par M. Raoul Lecoq
0660 - Page 656 - Séance du 3 Novembre 1948. Rapports. Hernie radiculaire dans une méningocèle après laminectomie pour sciatique, par M. J. Herbert0660 - Page 656 - Séance du 3 Novembre 1948. Rapports. Hernie radiculaire dans une méningocèle après laminectomie pour sciatique, par M. J. Herbert
0662 - Page 658 - Séance du 3 Novembre 1948. Rapports. Cancer double du rectum et du sigmoïde, par M. A. Siméon / Rupture traumatique du diaphragme droit. Ectopie hépatique intrapleurale, par M. E. Ferron0662 - Page 658 - Séance du 3 Novembre 1948. Rapports. Cancer double du rectum et du sigmoïde, par M. A. Siméon / Rupture traumatique du diaphragme droit. Ectopie hépatique intrapleurale, par M. E. Ferron
0664 - Page 660 - Séance du 3 Novembre 1948. Rapports. Rupture traumatique du diaphragme droit. Ectopie hépatique intrapleurale, par M. E. Ferron / Arthrite suppurée du genou à streptocoques. Guérison sans arthrotomie par pénicillothérapie intra-articulaire et générale, par M. J. -P. Meunier0664 - Page 660 - Séance du 3 Novembre 1948. Rapports. Rupture traumatique du diaphragme droit. Ectopie hépatique intrapleurale, par M. E. Ferron / Arthrite suppurée du genou à streptocoques. Guérison sans arthrotomie par pénicillothérapie intra-articulaire et générale, par M. J. -P. Meunier
0666 - Page 662 - Séance du 3 Novembre 1948. Rapports. Arthrite suppurée du genou à streptocoques. Guérison sans arthrotomie par pénicillothérapie intra-articulaire et générale, par M. J. -P. Meunier / Discussions en cours. Les problèmes psychosomatiques en chirurgie générale. Conclusion de la discussion0666 - Page 662 - Séance du 3 Novembre 1948. Rapports. Arthrite suppurée du genou à streptocoques. Guérison sans arthrotomie par pénicillothérapie intra-articulaire et générale, par M. J. -P. Meunier / Discussions en cours. Les problèmes psychosomatiques en chirurgie générale. Conclusion de la discussion
0669 - Page 665 - Séance du 3 Novembre 1948. Discussions en cours. Les problèmes psychosomatiques en chirurgie générale. Conclusion de la discussion / Traitement des pseudarthroses des os longs, par MM. P. Mathieu et P. Padovani0669 - Page 665 - Séance du 3 Novembre 1948. Discussions en cours. Les problèmes psychosomatiques en chirurgie générale. Conclusion de la discussion / Traitement des pseudarthroses des os longs, par MM. P. Mathieu et P. Padovani
0672 - Page 668 - Séance du 3 Novembre 1948. Discussions en cours. Traitement des pseudarthroses des os longs, par MM. P. Mathieu et P. Padovani / A propos de la streptomycine, par M. P. Gérard-Marchant0672 - Page 668 - Séance du 3 Novembre 1948. Discussions en cours. Traitement des pseudarthroses des os longs, par MM. P. Mathieu et P. Padovani / A propos de la streptomycine, par M. P. Gérard-Marchant
0675 - Page 671 - Séance du 3 Novembre 1948. Discussions en cours. A propos de la streptomycine, par M. P. Gérard-Marchant / Présentation de radiographies. Homogreffes provenant d’une « Bones Bank », par MM. Jean Judet et Abel Arviset0675 - Page 671 - Séance du 3 Novembre 1948. Discussions en cours. A propos de la streptomycine, par M. P. Gérard-Marchant / Présentation de radiographies. Homogreffes provenant d’une « Bones Bank », par MM. Jean Judet et Abel Arviset
0677 - Page 673 - Séance du 10 Novembre 1948. Nécrologie. Décès du Professeur Alessandri / Rapports. Rupture spontanée de la rate chez un enfant de dix ans, par M. E. Bancaud0677 - Page 673 - Séance du 10 Novembre 1948. Nécrologie. Décès du Professeur Alessandri / Rapports. Rupture spontanée de la rate chez un enfant de dix ans, par M. E. Bancaud
0679 - Page 675 - Séance du 10 Novembre 1948. Rapports. Les cholécystites occlusives, par M. J. L. Brenier0679 - Page 675 - Séance du 10 Novembre 1948. Rapports. Les cholécystites occlusives, par M. J. L. Brenier
0680 - Page 676 - Séance du 10 Novembre 1948. Rapports. Les cholécystites occlusives, par M. J. L. Brenier / Ulcères multiples de l’estomac, par le médecin lieutenant-colonel Lacau0680 - Page 676 - Séance du 10 Novembre 1948. Rapports. Les cholécystites occlusives, par M. J. L. Brenier / Ulcères multiples de l’estomac, par le médecin lieutenant-colonel Lacau
0681 - Page 677 - Séance du 10 Novembre 1948. Rapports. Deux cas de thrombo-angiose traités par surrénalectomie, par MM. Massabuau et E. Nègre0681 - Page 677 - Séance du 10 Novembre 1948. Rapports. Deux cas de thrombo-angiose traités par surrénalectomie, par MM. Massabuau et E. Nègre
0683 - Page 679 - Séance du 10 Novembre 1948. Rapports. Deux cas de thrombo-angiose traités par surrénalectomie, par MM. Massabuau et E. Nègre / Communications Remise du prix Laborie à M. Trueta, M. le Président. Note complémentaire sur 57 cas d’opérations de Blalock, par MM. F. d’Allaines, Ch. Dubost, N. du Bouchet et J. le Brigand0683 - Page 679 - Séance du 10 Novembre 1948. Rapports. Deux cas de thrombo-angiose traités par surrénalectomie, par MM. Massabuau et E. Nègre / Communications Remise du prix Laborie à M. Trueta, M. le Président. Note complémentaire sur 57 cas d’opérations de Blalock, par MM. F. d’Allaines, Ch. Dubost, N. du Bouchet et J. le Brigand
0690 - Page 686 - Séance du 10 Novembre 1948. Communications Remise du prix Laborie à M. Trueta, M. le Président. Note complémentaire sur 57 cas d’opérations de Blalock, par MM. F. d’Allaines, Ch. Dubost, N. du Bouchet et J. le Brigand / Présentation de malade. Oesophago-gastrostomie pour néoplasme cardio-oesophagien, par MM. J. Sénèque et M. Roux0690 - Page 686 - Séance du 10 Novembre 1948. Communications Remise du prix Laborie à M. Trueta, M. le Président. Note complémentaire sur 57 cas d’opérations de Blalock, par MM. F. d’Allaines, Ch. Dubost, N. du Bouchet et J. le Brigand / Présentation de malade. Oesophago-gastrostomie pour néoplasme cardio-oesophagien, par MM. J. Sénèque et M. Roux
0691 - Page 687 - Séance du 10 Novembre 1948. Présentation de malade. Oesophago-gastrostomie pour néoplasme cardio-oesophagien, par MM. J. Sénèque et M. Roux / Élection de commissions pour les prix de l’académie0691 - Page 687 - Séance du 10 Novembre 1948. Présentation de malade. Oesophago-gastrostomie pour néoplasme cardio-oesophagien, par MM. J. Sénèque et M. Roux / Élection de commissions pour les prix de l’académie
0692 - Page 688 - Séance du 17 Novembre 1948. Correspondance / A propos du procès-verbal. La cyclothérapie dans les cancers oesophagiens, par MM. Moulonguet et Mallet0692 - Page 688 - Séance du 17 Novembre 1948. Correspondance / A propos du procès-verbal. La cyclothérapie dans les cancers oesophagiens, par MM. Moulonguet et Mallet
0696 - Page 692 - Séance du 17 Novembre 1948. A propos du procès-verbal. La cyclothérapie dans les cancers oesophagiens, par MM. Moulonguet et Mallet / Rapports. Abcès anthracoïde du rein. Enucléation. Guérison, par MM. Badelon et Rénon0696 - Page 692 - Séance du 17 Novembre 1948. A propos du procès-verbal. La cyclothérapie dans les cancers oesophagiens, par MM. Moulonguet et Mallet / Rapports. Abcès anthracoïde du rein. Enucléation. Guérison, par MM. Badelon et Rénon
0697 - Page 693 - Séance du 17 Novembre 1948. Rapports. Abcès typhiques du foie, par M. Robert Weiss / Communications. Hypoglycémie spontanée par adénome langerhansien. EPILOGUE (Rechute des accidents quatorze mois après l’opération. Ablation chirurgicale de nouveaux nodules pancréatiques. Amélioration sensible, mais moins durable. Coma irréversible terminal, Métastase intra-hépatique d’un adéno-carcinome), par MM. Pierre Brocq, Raymond Garcin, Roger Gueullette, Pierre Feyel et Stanislas Godlewski0697 - Page 693 - Séance du 17 Novembre 1948. Rapports. Abcès typhiques du foie, par M. Robert Weiss / Communications. Hypoglycémie spontanée par adénome langerhansien. EPILOGUE (Rechute des accidents quatorze mois après l’opération. Ablation chirurgicale de nouveaux nodules pancréatiques. Amélioration sensible, mais moins durable. Coma irréversible terminal, Métastase intra-hépatique d’un adéno-carcinome), par MM. Pierre Brocq, Raymond Garcin, Roger Gueullette, Pierre Feyel et Stanislas Godlewski
0700 - Page 696 - Séance du 17 Novembre 1948. Communications. Hypoglycémie spontanée par adénome langerhansien. EPILOGUE (Rechute des accidents quatorze mois après l’opération. Ablation chirurgicale de nouveaux nodules pancréatiques. Amélioration sensible, mais moins durable. Coma irréversible terminal, Métastase intra-hépatique d’un adéno-carcinome), par MM. Pierre Brocq, Raymond Garcin, Roger Gueullette, Pierre Feyel et Stanislas Godlewski / A propos des hypoglycémies fonctionnelles. 2 observations nouvelles, par MM. P. Brocq et F. Poilleux0700 - Page 696 - Séance du 17 Novembre 1948. Communications. Hypoglycémie spontanée par adénome langerhansien. EPILOGUE (Rechute des accidents quatorze mois après l’opération. Ablation chirurgicale de nouveaux nodules pancréatiques. Amélioration sensible, mais moins durable. Coma irréversible terminal, Métastase intra-hépatique d’un adéno-carcinome), par MM. Pierre Brocq, Raymond Garcin, Roger Gueullette, Pierre Feyel et Stanislas Godlewski / A propos des hypoglycémies fonctionnelles. 2 observations nouvelles, par MM. P. Brocq et F. Poilleux
0706 - Page 702 - Séance du 17 Novembre 1948. Communications. A propos des hypoglycémies fonctionnelles. 2 observations nouvelles, par MM. P. Brocq et F. Poilleux / Métastase pancréatique ictérigène d’un cancer de l’estomac. Gastrectomie et duodéno-pancréatectomie en bloc. Guérison opératoire, par M. Emile Delannoy0706 - Page 702 - Séance du 17 Novembre 1948. Communications. A propos des hypoglycémies fonctionnelles. 2 observations nouvelles, par MM. P. Brocq et F. Poilleux / Métastase pancréatique ictérigène d’un cancer de l’estomac. Gastrectomie et duodéno-pancréatectomie en bloc. Guérison opératoire, par M. Emile Delannoy
0710 - Page 706 - Séance du 17 Novembre 1948. Communications. Sur l’opération de Dragstedt, par M. Tasso Astériadès0710 - Page 706 - Séance du 17 Novembre 1948. Communications. Sur l’opération de Dragstedt, par M. Tasso Astériadès
0713 - Page 709 - Séance du 24 Novembre 1948. Rapports. Prothèses en résine acrylic, par MM. Jean et Robert Judet0713 - Page 709 - Séance du 24 Novembre 1948. Rapports. Prothèses en résine acrylic, par MM. Jean et Robert Judet
0716 - Page 712 - Séance du 24 Novembre 1948. Rapports. Prothèses en résine acrylic, par MM. Jean et Robert Judet / Contribution au traitement du cancer de la vessie, par M. André Dufour0716 - Page 712 - Séance du 24 Novembre 1948. Rapports. Prothèses en résine acrylic, par MM. Jean et Robert Judet / Contribution au traitement du cancer de la vessie, par M. André Dufour
0726 - Page 722 - Séance du 24 Novembre 1948. Rapports. Contribution au traitement du cancer de la vessie, par M. André Dufour / Communications. La circulation rénale et sa pathologie, par M. J. Trueta0726 - Page 722 - Séance du 24 Novembre 1948. Rapports. Contribution au traitement du cancer de la vessie, par M. André Dufour / Communications. La circulation rénale et sa pathologie, par M. J. Trueta
0729 - Page 725 - Séance du 24 Novembre 1948. Communications. La circulation rénale et sa pathologie, par M. J. Trueta / Une lettre de lister a la Société de chirurgie, M. Maurice Chevassu0729 - Page 725 - Séance du 24 Novembre 1948. Communications. La circulation rénale et sa pathologie, par M. J. Trueta / Une lettre de lister a la Société de chirurgie, M. Maurice Chevassu
0730 - Page 726 - Séance du 24 Novembre 1948. Une lettre de lister a la Société de chirurgie, M. Maurice Chevassu / Séance du 1er Décembre 1948. Correspondance / Présentation d’ouvrage. M. Pierre Vallery-Radot fait hommage à l’Académie de son ouvrage intitulé : Un siècle d’histoire hospitalière / Nécrologie. Décès du professeur Stolz (de Strasbourg), membre titulaire. Allocution de M. le Président0730 - Page 726 - Séance du 24 Novembre 1948. Une lettre de lister a la Société de chirurgie, M. Maurice Chevassu / Séance du 1er Décembre 1948. Correspondance / Présentation d’ouvrage. M. Pierre Vallery-Radot fait hommage à l’Académie de son ouvrage intitulé : Un siècle d’histoire hospitalière / Nécrologie. Décès du professeur Stolz (de Strasbourg), membre titulaire. Allocution de M. le Président
0731 - Page 727 - Séance du 1er Décembre 1948. Nécrologie. Décès du professeur Stolz (de Strasbourg), membre titulaire. Allocution de M. le Président / Rapports. Oesophagectomie transpleurale pour ulcère peptique de l’oesophage thoracique, par M. J. Naulleau0731 - Page 727 - Séance du 1er Décembre 1948. Nécrologie. Décès du professeur Stolz (de Strasbourg), membre titulaire. Allocution de M. le Président / Rapports. Oesophagectomie transpleurale pour ulcère peptique de l’oesophage thoracique, par M. J. Naulleau
0739 - Page 735 - Séance du 1er Décembre 1948. Rapports. A propos d’une embolie septique, après opération pour hémorroïdes, ayant entraîné une nécrose hépato-vésiculaire, par MM. P. Monod et G. Hertz0739 - Page 735 - Séance du 1er Décembre 1948. Rapports. A propos d’une embolie septique, après opération pour hémorroïdes, ayant entraîné une nécrose hépato-vésiculaire, par MM. P. Monod et G. Hertz
0741 - Page 737 - Séance du 1er Décembre 1948. Rapports. Résultats éloignés de la gastrocolopexie avec suspension, dans le traitement des ptoses gastriques, par MM. Ch. Mirallié et M. Lerat0741 - Page 737 - Séance du 1er Décembre 1948. Rapports. Résultats éloignés de la gastrocolopexie avec suspension, dans le traitement des ptoses gastriques, par MM. Ch. Mirallié et M. Lerat
0744 - Page 740 - Séance du 1er Décembre 1948. Rapports. Résultats éloignés de la gastrocolopexie avec suspension, dans le traitement des ptoses gastriques, par MM. Ch. Mirallié et M. Lerat / Vacances de noël et du jour de l’an0744 - Page 740 - Séance du 1er Décembre 1948. Rapports. Résultats éloignés de la gastrocolopexie avec suspension, dans le traitement des ptoses gastriques, par MM. Ch. Mirallié et M. Lerat / Vacances de noël et du jour de l’an
0745 - Page 741 - Séance du 8 Décembre 1948. Correspondance / Discussion en cours. Streptomycine et tuberculoses osseuses, par M. E. Sorrel et Mme Sorrel-Dejerine0745 - Page 741 - Séance du 8 Décembre 1948. Correspondance / Discussion en cours. Streptomycine et tuberculoses osseuses, par M. E. Sorrel et Mme Sorrel-Dejerine
0749 - Page 745 - Séance du 8 Décembre 1948. Rapports. Premiers essais de traitement des tuberculoses ostéo-articulaires par la streptomycine, par M. Ingelrans0749 - Page 745 - Séance du 8 Décembre 1948. Rapports. Premiers essais de traitement des tuberculoses ostéo-articulaires par la streptomycine, par M. Ingelrans
0751 - Page 747 - Séance du 8 Décembre 1948. Rapports. Streptomycine et évolution de la tuberculose osseuse, par M. Marcel Galland0751 - Page 747 - Séance du 8 Décembre 1948. Rapports. Streptomycine et évolution de la tuberculose osseuse, par M. Marcel Galland
0752 - Page 748 - Séance du 8 Décembre 1948. Communications. Cancer du duodénum (1), par MM. Henri Redon et Albot0752 - Page 748 - Séance du 8 Décembre 1948. Communications. Cancer du duodénum (1), par MM. Henri Redon et Albot
0756 - Page 752 - Séance du 8 Décembre 1948. Communications. Les exérèses pulmonaires pour néoplasme. A propos d’une série de 86 observations (années 1947 et 1948), par MM. P. Santy, associé national et M. Jaubert de Beaujeu0756 - Page 752 - Séance du 8 Décembre 1948. Communications. Les exérèses pulmonaires pour néoplasme. A propos d’une série de 86 observations (années 1947 et 1948), par MM. P. Santy, associé national et M. Jaubert de Beaujeu
0759 - Page 755 - Séance du 8 Décembre 1948. Communications. Les exérèses pulmonaires pour néoplasme. A propos d’une série de 86 observations (années 1947 et 1948), par MM. P. Santy, associé national et M. Jaubert de Beaujeu / Les indications et les résultats de l’arthrodèse postérieure dans la lombo-sacralgie, par MM. André Sicard et P. Merle0759 - Page 755 - Séance du 8 Décembre 1948. Communications. Les exérèses pulmonaires pour néoplasme. A propos d’une série de 86 observations (années 1947 et 1948), par MM. P. Santy, associé national et M. Jaubert de Beaujeu / Les indications et les résultats de l’arthrodèse postérieure dans la lombo-sacralgie, par MM. André Sicard et P. Merle
0765 - Page 761 - Séance du 8 Décembre 1948. Communications. Les indications et les résultats de l’arthrodèse postérieure dans la lombo-sacralgie, par MM. André Sicard et P. Merle / Élection de quatre associés nationaux0765 - Page 761 - Séance du 8 Décembre 1948. Communications. Les indications et les résultats de l’arthrodèse postérieure dans la lombo-sacralgie, par MM. André Sicard et P. Merle / Élection de quatre associés nationaux
0766 - Page 762 - Séance du 8 Décembre 1948. Élection de quatre associés nationaux / Élection d'un associé national / Déclaration de vacance d'une place de membre titulaire0766 - Page 762 - Séance du 8 Décembre 1948. Élection de quatre associés nationaux / Élection d'un associé national / Déclaration de vacance d'une place de membre titulaire
0767 - Page 763 - Séance du 15 Décembre 1948. Correspondance / A propos du procès-verbal. A propos des assistants des consultations et des services de Chirurgie, par M. G. Métivet0767 - Page 763 - Séance du 15 Décembre 1948. Correspondance / A propos du procès-verbal. A propos des assistants des consultations et des services de Chirurgie, par M. G. Métivet
0769 - Page 765 - Séance du 15 Décembre 1948. A propos du procès-verbal. A propos des assistants des consultations et des services de Chirurgie, par M. G. Métivet / La greffe d’Albee dans les algies sacro-lombaires rebelles à tous autres traitements, par M. G. Rouhier0769 - Page 765 - Séance du 15 Décembre 1948. A propos du procès-verbal. A propos des assistants des consultations et des services de Chirurgie, par M. G. Métivet / La greffe d’Albee dans les algies sacro-lombaires rebelles à tous autres traitements, par M. G. Rouhier
0771 - Page 767 - Séance du 15 Décembre 1948. A propos du procès-verbal. La greffe d’Albee dans les algies sacro-lombaires rebelles à tous autres traitements, par M. G. Rouhier / A propos de la communication de M. Sicard sur le traitement des lombalgies, par M. Jean Cauchoix0771 - Page 767 - Séance du 15 Décembre 1948. A propos du procès-verbal. La greffe d’Albee dans les algies sacro-lombaires rebelles à tous autres traitements, par M. G. Rouhier / A propos de la communication de M. Sicard sur le traitement des lombalgies, par M. Jean Cauchoix
0772 - Page 768 - Séance du 15 Décembre 1948. A propos du procès-verbal. A propos de la communication de M. Sicard sur le traitement des lombalgies, par M. Jean Cauchoix / Greffes lombo-sacrées dans le traitement des lombo-sciatiques, par M. R. Merle d’Aubigné0772 - Page 768 - Séance du 15 Décembre 1948. A propos du procès-verbal. A propos de la communication de M. Sicard sur le traitement des lombalgies, par M. Jean Cauchoix / Greffes lombo-sacrées dans le traitement des lombo-sciatiques, par M. R. Merle d’Aubigné
0776 - Page 772 - Séance du 15 Décembre 1948. Communication. Aortographie et impuissance sexuelle, par M. Louis Christophe0776 - Page 772 - Séance du 15 Décembre 1948. Communication. Aortographie et impuissance sexuelle, par M. Louis Christophe
0782 - Page 778 - Séance du 15 Décembre 1948. Communication. Aortographie et impuissance sexuelle, par M. Louis Christophe / Présentation de radiographie. Tumeur polykystique du médiastin chez une fillette de quatre ans. Extirpation après résection préalable du manubrium sternal, par M. Henri Welti / Élection du bureau de l’académie pour 19490782 - Page 778 - Séance du 15 Décembre 1948. Communication. Aortographie et impuissance sexuelle, par M. Louis Christophe / Présentation de radiographie. Tumeur polykystique du médiastin chez une fillette de quatre ans. Extirpation après résection préalable du manubrium sternal, par M. Henri Welti / Élection du bureau de l’académie pour 1949
0785 - Page 781 - Séance du 22 Décembre 1948. Correspondance / Rapports. Le traitement de l’ulcère peptique après gastrectomie perforé en péritoine libre. La place des larges résections gastriques d’emblée dans la cure de l’ulcère peptique perforé après gastro-entérostomie, par MM. Charles Renon et Pierre Perruchio0785 - Page 781 - Séance du 22 Décembre 1948. Correspondance / Rapports. Le traitement de l’ulcère peptique après gastrectomie perforé en péritoine libre. La place des larges résections gastriques d’emblée dans la cure de l’ulcère peptique perforé après gastro-entérostomie, par MM. Charles Renon et Pierre Perruchio
0800 - Page 796 - Séance du 22 Décembre 1948. Rapports. Résultats de la gastrectomie d’urgence pour ulcère perforé, par M. A. Samain0800 - Page 796 - Séance du 22 Décembre 1948. Rapports. Résultats de la gastrectomie d’urgence pour ulcère perforé, par M. A. Samain
0802 - Page 798 - Séance du 22 Décembre 1948. Rapports. Résultats de la gastrectomie d’urgence pour ulcère perforé, par M. A. Samain / Tumeur masculinisante de l’ovaire, par M. L. Kaeppelin0802 - Page 798 - Séance du 22 Décembre 1948. Rapports. Résultats de la gastrectomie d’urgence pour ulcère perforé, par M. A. Samain / Tumeur masculinisante de l’ovaire, par M. L. Kaeppelin
0807 - Page 803 - Séance du 22 Décembre 1948. Communications. Traumatismes de la main chez les boxeurs, par MM. Marc Iselin et Jean Ducroquet0807 - Page 803 - Séance du 22 Décembre 1948. Communications. Traumatismes de la main chez les boxeurs, par MM. Marc Iselin et Jean Ducroquet
0813 - Page 809 - Séance du 22 Décembre 1948. Communications. Traumatismes de la main chez les boxeurs, par MM. Marc Iselin et Jean Ducroquet / A propos de deux observations de tumeur du corpuscule carotidien arec syndrome d’hyperréflectivité sinu-carotidienne, par MM. H Welti et H. Landolt0813 - Page 809 - Séance du 22 Décembre 1948. Communications. Traumatismes de la main chez les boxeurs, par MM. Marc Iselin et Jean Ducroquet / A propos de deux observations de tumeur du corpuscule carotidien arec syndrome d’hyperréflectivité sinu-carotidienne, par MM. H Welti et H. Landolt
0820 - Page 816 - Séance du 22 Décembre 1948. Communications. A propos de deux observations de tumeur du corpuscule carotidien arec syndrome d’hyperréflectivité sinu-carotidienne, par MM. H Welti et H. Landolt / Présentation de malade. Cancer de l’oesophage. Oesophagectomie avec un nouveau procédé d’anastomose oesophago-gastrique haute trans-thoracique. Résultats au bout de six mois, par MM. Robert Monod et Hertzog0820 - Page 816 - Séance du 22 Décembre 1948. Communications. A propos de deux observations de tumeur du corpuscule carotidien arec syndrome d’hyperréflectivité sinu-carotidienne, par MM. H Welti et H. Landolt / Présentation de malade. Cancer de l’oesophage. Oesophagectomie avec un nouveau procédé d’anastomose oesophago-gastrique haute trans-thoracique. Résultats au bout de six mois, par MM. Robert Monod et Hertzog
0823 - Page 819 - Table alphabétique des matières pour l'année 19480823 - Page 819 - Table alphabétique des matières pour l'année 1948
0835 - Page 831 - Table alphabétique des auteurs pour l'année 19480835 - Page 831 - Table alphabétique des auteurs pour l'année 1948