Aller au contenu principal

Numerabilis


Médecine tropicale : Revue du corps de santé colonial, 1953

Classe de ressource
Periodical
  • DESCRIPTION
  • VOIR PLUS
  • PARCOURIR
Identifiant
ark:/13685/medtropx1953x13
Titre
Médecine tropicale : Revue du corps de santé colonial, 1953
Date
1953
Éditeur
Marseille : Ecole d'application du service de santé des troupes coloniales
Siècle
XXe siècle
Format
Nombre de vues : 1150
Droits
Périodique numérisé avec l’aimable autorisation du Service de santé des armées. Tous droits réservés
Licence
Sous droits
Table des matières
0001 - Page sans numérotation - [Page de couverture]0001 - Page sans numérotation - [Page de couverture]
0003 - Page sans numérotation - [Page de titre]0003 - Page sans numérotation - [Page de titre]
0005 - Page sans numérotation - Fiche d'abonnement ou de réabonnement0005 - Page sans numérotation - Fiche d'abonnement ou de réabonnement
0006 - Page sans numérotation - Revue «Médecine tropicale»0006 - Page sans numérotation - Revue «Médecine tropicale»
0007 - Page sans numérotation - Sommaire (Suite page 144) / Abonnements0007 - Page sans numérotation - Sommaire (Suite page 144) / Abonnements
0009 - Page 5 - Mémoires et communications. Syndrome de Gougerot-Sjogren, par R. Baylet...0009 - Page 5 - Mémoires et communications. Syndrome de Gougerot-Sjogren, par R. Baylet...
0011 - Page 7 - Mémoires et communications. Syndrome de Gougerot-Sjogren, par R. Baylet... 1. Syndrome oculaire / 2. Syndrome bucco-pharyngé0011 - Page 7 - Mémoires et communications. Syndrome de Gougerot-Sjogren, par R. Baylet... 1. Syndrome oculaire / 2. Syndrome bucco-pharyngé
0012 - Page 8 - Mémoires et communications. Syndrome de Gougerot-Sjogren, par R. Baylet... 2. Syndrome bucco-pharyngé / 3. Autres symptômes muqueux et glandulaires / 4. Syndrome articulaire0012 - Page 8 - Mémoires et communications. Syndrome de Gougerot-Sjogren, par R. Baylet... 2. Syndrome bucco-pharyngé / 3. Autres symptômes muqueux et glandulaires / 4. Syndrome articulaire
0014 - Page 10 - Mémoires et communications. Syndrome de Gougerot-Sjogren, par R. Baylet... 1. Facteurs neurovasculaires / 2. Facteurs nutritionnels0014 - Page 10 - Mémoires et communications. Syndrome de Gougerot-Sjogren, par R. Baylet... 1. Facteurs neurovasculaires / 2. Facteurs nutritionnels
0015 - Page 11 - Mémoires et communications. Syndrome de Gougerot-Sjogren, par R. Baylet... 2. Facteurs nutritionnels / 3. Facteurs infectieux0015 - Page 11 - Mémoires et communications. Syndrome de Gougerot-Sjogren, par R. Baylet... 2. Facteurs nutritionnels / 3. Facteurs infectieux
0017 - Page 13 - Mémoires et communications. La dilatation des bronches chez le noir d'Afrique. (Réflexions à propos de trois observations), par P. Gallais... et G. Combescot de Marsaguet...0017 - Page 13 - Mémoires et communications. La dilatation des bronches chez le noir d'Afrique. (Réflexions à propos de trois observations), par P. Gallais... et G. Combescot de Marsaguet...
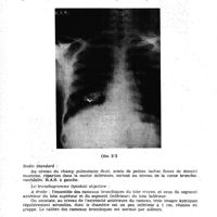
0022 - Page 18 - Mémoires et communications. La dilatation des bronches chez le noir d'Afrique. (Réflexions à propos de trois observations), par P. Gallais... et G. Combescot de Marsaguet... Commentaires0022 - Page 18 - Mémoires et communications. La dilatation des bronches chez le noir d'Afrique. (Réflexions à propos de trois observations), par P. Gallais... et G. Combescot de Marsaguet... Commentaires
0025 - Page 21 - Mémoires et communications. Étude de la protéinémie sérique totale d'Africains à Dakar (Protéinémie relative), par J. Linhard..., F. Busson..., P. Giraud... et C. Guyonnet0025 - Page 21 - Mémoires et communications. Étude de la protéinémie sérique totale d'Africains à Dakar (Protéinémie relative), par J. Linhard..., F. Busson..., P. Giraud... et C. Guyonnet
0026 - Page 22 - Mémoires et communications. Étude de la protéinémie sérique totale d'Africains à Dakar (Protéinémie relative), par J. Linhard..., F. Busson..., P. Giraud... et C. Guyonnet. Prélèvement des échantillons0026 - Page 22 - Mémoires et communications. Étude de la protéinémie sérique totale d'Africains à Dakar (Protéinémie relative), par J. Linhard..., F. Busson..., P. Giraud... et C. Guyonnet. Prélèvement des échantillons
0027 - Page 23 - Mémoires et communications. Étude de la protéinémie sérique totale d'Africains à Dakar (Protéinémie relative), par J. Linhard..., F. Busson..., P. Giraud... et C. Guyonnet. Prélèvement des échantillons / Techniques d'analyse0027 - Page 23 - Mémoires et communications. Étude de la protéinémie sérique totale d'Africains à Dakar (Protéinémie relative), par J. Linhard..., F. Busson..., P. Giraud... et C. Guyonnet. Prélèvement des échantillons / Techniques d'analyse
0030 - Page 26 - Mémoires et communications. Étude de la protéinémie sérique totale d'Africains à Dakar (Protéinémie relative), par J. Linhard..., F. Busson..., P. Giraud... et C. Guyonnet. Techniques d'analyse / Résultats0030 - Page 26 - Mémoires et communications. Étude de la protéinémie sérique totale d'Africains à Dakar (Protéinémie relative), par J. Linhard..., F. Busson..., P. Giraud... et C. Guyonnet. Techniques d'analyse / Résultats
0034 - Page 30 - Mémoires et communications. Les accidents vasculaires et nerveux des injections intra-fessières d'antipaludiques et leur traitement chirurgical, par A. Carayon...0034 - Page 30 - Mémoires et communications. Les accidents vasculaires et nerveux des injections intra-fessières d'antipaludiques et leur traitement chirurgical, par A. Carayon...
0035 - Page 31 - Mémoires et communications. Les accidents vasculaires et nerveux des injections intra-fessières d'antipaludiques et leur traitement chirurgical, par A. Carayon... Les accidents vasculaires0035 - Page 31 - Mémoires et communications. Les accidents vasculaires et nerveux des injections intra-fessières d'antipaludiques et leur traitement chirurgical, par A. Carayon... Les accidents vasculaires
0038 - Page 34 - Mémoires et communications. Les accidents vasculaires et nerveux des injections intra-fessières d'antipaludiques et leur traitement chirurgical, par A. Carayon... Les accidents nerveux0038 - Page 34 - Mémoires et communications. Les accidents vasculaires et nerveux des injections intra-fessières d'antipaludiques et leur traitement chirurgical, par A. Carayon... Les accidents nerveux
0042 - Page 38 - Mémoires et communications. La tuberculose chez la population de la forêt équatoriale, par P. Ravisse... et Hane Sekou... Technique utilisée / Résultats obtenus0042 - Page 38 - Mémoires et communications. La tuberculose chez la population de la forêt équatoriale, par P. Ravisse... et Hane Sekou... Technique utilisée / Résultats obtenus
0045 - Page 41 - Mémoires et communications. La tuberculose chez la population de la forêt équatoriale, par P. Ravisse... et Hane Sekou... Résultats obtenus / Commentaires / Conclusion0045 - Page 41 - Mémoires et communications. La tuberculose chez la population de la forêt équatoriale, par P. Ravisse... et Hane Sekou... Résultats obtenus / Commentaires / Conclusion
0047 - Page 43 - Mémoires et communications. Purification du vaccin antivariolique sec par la streptomycine, par H. Arnoult et J. Demarchi0047 - Page 43 - Mémoires et communications. Purification du vaccin antivariolique sec par la streptomycine, par H. Arnoult et J. Demarchi
0050 - Page 46 - Mémoires et communications. Purification du vaccin antivariolique sec par la streptomycine, par H. Arnoult et J. Demarchi. Application pratique0050 - Page 46 - Mémoires et communications. Purification du vaccin antivariolique sec par la streptomycine, par H. Arnoult et J. Demarchi. Application pratique
0054 - Page 50 - Mémoires et communications. Quelques observations de traitement de la lèpre par la diamino-4-4'-diphénylsulfone dans la région sanitaire du Moyen-Ogooué. (Districts de Lambarène et de N'Djole), par J. Bessuges... I. Considérations générales / II. Médicament utilisé0054 - Page 50 - Mémoires et communications. Quelques observations de traitement de la lèpre par la diamino-4-4'-diphénylsulfone dans la région sanitaire du Moyen-Ogooué. (Districts de Lambarène et de N'Djole), par J. Bessuges... I. Considérations générales / II. Médicament utilisé
0060 - Page 56 - Mémoires et communications. Quelques observations de traitement de la lèpre par la diamino-4-4'-diphénylsulfone dans la région sanitaire du Moyen-Ogooué. (Districts de Lambarène et de N'Djole), par J. Bessuges... Conclusions0060 - Page 56 - Mémoires et communications. Quelques observations de traitement de la lèpre par la diamino-4-4'-diphénylsulfone dans la région sanitaire du Moyen-Ogooué. (Districts de Lambarène et de N'Djole), par J. Bessuges... Conclusions
0061 - Page 57 - Notes de pratique. Modifications dans la pratique des déterminations des groupes sanguins, par M. Héraud...0061 - Page 57 - Notes de pratique. Modifications dans la pratique des déterminations des groupes sanguins, par M. Héraud...
0063 - Page 59 - Notes de pratique. Identification et dosage du métaldéhyde, par J. Rodier (Extrait du Maroc médical, oct. 1952, p. 803)0063 - Page 59 - Notes de pratique. Identification et dosage du métaldéhyde, par J. Rodier (Extrait du Maroc médical, oct. 1952, p. 803)
0065 - Page 61 - Variétés. Les fréons (Congrès du froid tropical, Marseille, octobre 1951). D'après M.-E. Elchardus0065 - Page 61 - Variétés. Les fréons (Congrès du froid tropical, Marseille, octobre 1951). D'après M.-E. Elchardus
0068 - Page 64 - Variétés. Recherches sur la sicklémie chez les pygmées, par P. Ravisse...0068 - Page 64 - Variétés. Recherches sur la sicklémie chez les pygmées, par P. Ravisse...
0070 - Page 66 - Documentation. Traduction du «Tropical diseases bulletin». Fièvres du groupe typhus0070 - Page 66 - Documentation. Traduction du «Tropical diseases bulletin». Fièvres du groupe typhus
0082 - Page 78 - Documentation. Traduction du «Tropical diseases bulletin». La lèpre0082 - Page 78 - Documentation. Traduction du «Tropical diseases bulletin». La lèpre
0092 - Page 88 - Documentation. Traduction du «Tropical diseases bulletin». La lèpre / Le choléra0092 - Page 88 - Documentation. Traduction du «Tropical diseases bulletin». La lèpre / Le choléra
0096 - Page 92 - Documentation. Traduction du «Tropical diseases bulletin». La fièvre jaune0096 - Page 92 - Documentation. Traduction du «Tropical diseases bulletin». La fièvre jaune
0099 - Page 95 - Documentation. Comptes rendus de sociétés. Réunions médico-chirurgicales et pharmaceutiques de l'Afrique Occidentale Française à Dakar. Réunion du 18 décembre 19520099 - Page 95 - Documentation. Comptes rendus de sociétés. Réunions médico-chirurgicales et pharmaceutiques de l'Afrique Occidentale Française à Dakar. Réunion du 18 décembre 1952
0100 - Page 96 - Documentation. Comptes rendus de sociétés. Réunions médico-chirurgicales et pharmaceutiques de l'Afrique Occidentale Française à Dakar. Réunion du 18 décembre 1952 / Réunions médico-chirurgicales de Saïgon-Cholon. Réunion du 25 juillet 19520100 - Page 96 - Documentation. Comptes rendus de sociétés. Réunions médico-chirurgicales et pharmaceutiques de l'Afrique Occidentale Française à Dakar. Réunion du 18 décembre 1952 / Réunions médico-chirurgicales de Saïgon-Cholon. Réunion du 25 juillet 1952
0102 - Page 98 - Documentation. Comptes rendus de sociétés. Réunions médico-chirurgicales de Saïgon-Cholon. Réunion du 22 août 19520102 - Page 98 - Documentation. Comptes rendus de sociétés. Réunions médico-chirurgicales de Saïgon-Cholon. Réunion du 22 août 1952
0104 - Page 100 - Documentation. Comptes rendus de sociétés. Réunions médico-chirurgicales de Saïgon-Cholon. Réunion du 26 septembre 19520104 - Page 100 - Documentation. Comptes rendus de sociétés. Réunions médico-chirurgicales de Saïgon-Cholon. Réunion du 26 septembre 1952
0106 - Page 102 - Documentation. Comptes rendus de sociétés. Réunions médico-chirurgicales de Saïgon-Cholon. Réunion du 26 septembre 1952 / Analyses. I. Médecine - chirurgie - spécialités. Comité d'experts du Trachome de l'O.M.S. Premier rapport. - In Rev. Int. Trachome...0106 - Page 102 - Documentation. Comptes rendus de sociétés. Réunions médico-chirurgicales de Saïgon-Cholon. Réunion du 26 septembre 1952 / Analyses. I. Médecine - chirurgie - spécialités. Comité d'experts du Trachome de l'O.M.S. Premier rapport. - In Rev. Int. Trachome...
0107 - Page 103 - Documentation. Analyses. I. Médecine - chirurgie - spécialités. Comité d'experts du Trachome de l'O.M.S. Premier rapport. - In Rev. Int. Trachome... / Cottin (E.). - La «fièvre hémorragique épidémique». - Revue médicale de la Suisse Romande...0107 - Page 103 - Documentation. Analyses. I. Médecine - chirurgie - spécialités. Comité d'experts du Trachome de l'O.M.S. Premier rapport. - In Rev. Int. Trachome... / Cottin (E.). - La «fièvre hémorragique épidémique». - Revue médicale de la Suisse Romande...
0108 - Page 104 - Documentation. Analyses. I. Médecine - chirurgie - spécialités. Cottin (E.). - La «fièvre hémorragique épidémique». - Revue médicale de la Suisse Romande... / J. Rodhain. - Les adénolymphocèles au Congo Belge0108 - Page 104 - Documentation. Analyses. I. Médecine - chirurgie - spécialités. Cottin (E.). - La «fièvre hémorragique épidémique». - Revue médicale de la Suisse Romande... / J. Rodhain. - Les adénolymphocèles au Congo Belge
0109 - Page 105 - Documentation. Analyses. I. Médecine - chirurgie - spécialités. Crosnier, Darbon, Ducourneau et Costerousse. - Le dibromhydrate d'aminoconessine en thérapeutique de l'amibiase intestinale ou hépatique. Résultats obtenus. - Semaine médicale... / Guinand, Doniol (J.) et Thelin (Fr.). - Pan-myélopathie constitutionnelle infantile et familiale. Essais de traitement par la cortisone et l'A.C.T.H. - Semaine des hôpitaux...0109 - Page 105 - Documentation. Analyses. I. Médecine - chirurgie - spécialités. Crosnier, Darbon, Ducourneau et Costerousse. - Le dibromhydrate d'aminoconessine en thérapeutique de l'amibiase intestinale ou hépatique. Résultats obtenus. - Semaine médicale... / Guinand, Doniol (J.) et Thelin (Fr.). - Pan-myélopathie constitutionnelle infantile et familiale. Essais de traitement par la cortisone et l'A.C.T.H. - Semaine des hôpitaux...
0110 - Page 106 - Documentation. Analyses. I. Médecine - chirurgie - spécialités. C. Lian. - La Thévétine cristallisée dans le traitement de l'insuffisance cardiaque. - Presse médicale... / II. Pharmacie - chimie - sciences naturelles. Trémolières (J.). - Ration type et standards alimentaires0110 - Page 106 - Documentation. Analyses. I. Médecine - chirurgie - spécialités. C. Lian. - La Thévétine cristallisée dans le traitement de l'insuffisance cardiaque. - Presse médicale... / II. Pharmacie - chimie - sciences naturelles. Trémolières (J.). - Ration type et standards alimentaires
0111 - Page 107 - Documentation. Analyses. II. Pharmacie - chimie - sciences naturelles. Deom (J.). - Thérapeutique des trypanosomiases bovines par un nouveau dérivé de phénanthridinium, le 150 C 47, B et W. (B.P.I.T.T...) / Rapport sur la nomenclature des vitamines de la XVIe conférence de l'union internationale de chimie pure et appliquée... - Bulletin de la société scientifique d'hygiène alimentaire...0111 - Page 107 - Documentation. Analyses. II. Pharmacie - chimie - sciences naturelles. Deom (J.). - Thérapeutique des trypanosomiases bovines par un nouveau dérivé de phénanthridinium, le 150 C 47, B et W. (B.P.I.T.T...) / Rapport sur la nomenclature des vitamines de la XVIe conférence de l'union internationale de chimie pure et appliquée... - Bulletin de la société scientifique d'hygiène alimentaire...
0112 - Page 108 - Documentation. Analyses. II. Pharmacie - chimie - sciences naturelles. Rapport sur la nomenclature des vitamines de la XVIe conférence de l'union internationale de chimie pure et appliquée... - Bulletin de la société scientifique d'hygiène alimentaire... / II. Livres nouveaux. Piquet (J.) et Tupin (M.). - Pathologie et chirurgie O.R.L. de guerre... / Laborit (H.). - Réaction organique à l'agression et choc... Masson et Compagnie, 19520112 - Page 108 - Documentation. Analyses. II. Pharmacie - chimie - sciences naturelles. Rapport sur la nomenclature des vitamines de la XVIe conférence de l'union internationale de chimie pure et appliquée... - Bulletin de la société scientifique d'hygiène alimentaire... / II. Livres nouveaux. Piquet (J.) et Tupin (M.). - Pathologie et chirurgie O.R.L. de guerre... / Laborit (H.). - Réaction organique à l'agression et choc... Masson et Compagnie, 1952
0113 - Page 109 - Documentation. Analyses. III. Livres nouveaux. Laborit (H.). - Réaction organique à l'agression et choc... Masson et Compagnie, 1952 / Notes bibliographiques. Médecine - chirurgie - spécialités. A) Dans les revues0113 - Page 109 - Documentation. Analyses. III. Livres nouveaux. Laborit (H.). - Réaction organique à l'agression et choc... Masson et Compagnie, 1952 / Notes bibliographiques. Médecine - chirurgie - spécialités. A) Dans les revues
0127 - Page 123 - Documentation. Notes bibliographiques. Médecine - chirurgie - spécialités. A) Dans les revues / B) Ouvrages nouveaux / Pharmacie - chimie - sciences naturelles. A) Dans les revues. Chimie analytique0127 - Page 123 - Documentation. Notes bibliographiques. Médecine - chirurgie - spécialités. A) Dans les revues / B) Ouvrages nouveaux / Pharmacie - chimie - sciences naturelles. A) Dans les revues. Chimie analytique
0128 - Page 124 - Documentation. Notes bibliographiques. Pharmacie - chimie - sciences naturelles. A) Dans les revues. Chimie analytique / Chimie industrielle et technologie / Chimie biologique et nutrition0128 - Page 124 - Documentation. Notes bibliographiques. Pharmacie - chimie - sciences naturelles. A) Dans les revues. Chimie analytique / Chimie industrielle et technologie / Chimie biologique et nutrition
0130 - Page 126 - Documentation. Notes bibliographiques. Pharmacie - chimie - sciences naturelles. A) Dans les revues. Chimie biologique et nutrition / Pharmacie chimique et galénique / Antibiotiques0130 - Page 126 - Documentation. Notes bibliographiques. Pharmacie - chimie - sciences naturelles. A) Dans les revues. Chimie biologique et nutrition / Pharmacie chimique et galénique / Antibiotiques
0131 - Page 127 - Documentation. Notes bibliographiques. Pharmacie - chimie - sciences naturelles. A) Dans les revues. Vitamines et hormones / Toxicologie et hygiène0131 - Page 127 - Documentation. Notes bibliographiques. Pharmacie - chimie - sciences naturelles. A) Dans les revues. Vitamines et hormones / Toxicologie et hygiène
0132 - Page 128 - Documentation. Notes bibliographiques. Pharmacie - chimie - sciences naturelles. A) Dans les revues. Toxicologie et hygiène / Histoire naturelle / B) Livres nouveaux0132 - Page 128 - Documentation. Notes bibliographiques. Pharmacie - chimie - sciences naturelles. A) Dans les revues. Toxicologie et hygiène / Histoire naturelle / B) Livres nouveaux
0133 - Page 129 - Documentation. Notes bibliographiques. Pharmacie - chimie - sciences naturelles. B) Livres nouveaux / Avis et informations. Concours du service de santé des troupes coloniales année 19520133 - Page 129 - Documentation. Notes bibliographiques. Pharmacie - chimie - sciences naturelles. B) Livres nouveaux / Avis et informations. Concours du service de santé des troupes coloniales année 1952
0138 - Page 134 - Documentation. Avis et informations. Concours du service de santé des troupes coloniales année 1952 / Nomination de professeurs agrégés de l'école d'application du service de santé des troupes coloniales, de médecins, chirurgiens, pharmaciens chimistes et spécialistes des hôpitaux coloniaux0138 - Page 134 - Documentation. Avis et informations. Concours du service de santé des troupes coloniales année 1952 / Nomination de professeurs agrégés de l'école d'application du service de santé des troupes coloniales, de médecins, chirurgiens, pharmaciens chimistes et spécialistes des hôpitaux coloniaux
0139 - Page 135 - Documentation. Avis et informations. Nomination de professeurs agrégés de l'école d'application du service de santé des troupes coloniales, de médecins, chirurgiens, pharmaciens chimistes et spécialistes des hôpitaux coloniaux / Promotions citation0139 - Page 135 - Documentation. Avis et informations. Nomination de professeurs agrégés de l'école d'application du service de santé des troupes coloniales, de médecins, chirurgiens, pharmaciens chimistes et spécialistes des hôpitaux coloniaux / Promotions citation
0141 - Page 137 - Documentation. Avis et informations. Tableau d'avancement0141 - Page 137 - Documentation. Avis et informations. Tableau d'avancement
0143 - Page 139 - Documentation. Avis et informations. Tableau d'avancement / Tableau des désignations coloniales du 25 décembre 19520143 - Page 139 - Documentation. Avis et informations. Tableau d'avancement / Tableau des désignations coloniales du 25 décembre 1952
0145 - Page 141 - Documentation. Avis et informations. Tableau des désignations coloniales du 25 décembre 1952 / Tableau des désignations coloniales du 25 janvier 19530145 - Page 141 - Documentation. Avis et informations. Tableau des désignations coloniales du 25 décembre 1952 / Tableau des désignations coloniales du 25 janvier 1953
0148 - Page 144 - Sommaire (Suite et fin)0148 - Page 144 - Sommaire (Suite et fin)
0149 - Page 145 - [Page de titre]0149 - Page 145 - [Page de titre]
0151 - Page 147 - Sommaire (Suite page 284) / Abonnements0151 - Page 147 - Sommaire (Suite page 284) / Abonnements
0153 - Page 149 - Mémoires et communications. Les échelons sanitaires et le traitement des blessés de guerre sur le front de Corée, par P. Delom...0153 - Page 149 - Mémoires et communications. Les échelons sanitaires et le traitement des blessés de guerre sur le front de Corée, par P. Delom...
0157 - Page 151 - Mémoires et communications. Les échelons sanitaires et le traitement des blessés de guerre sur le front de Corée, par P. Delom... A. Le service de santé divisionnaire0157 - Page 151 - Mémoires et communications. Les échelons sanitaires et le traitement des blessés de guerre sur le front de Corée, par P. Delom... A. Le service de santé divisionnaire
0163 - Page 157 - Mémoires et communications. Les échelons sanitaires et le traitement des blessés de guerre sur le front de Corée, par P. Delom... A. Le service de santé divisionnaire / B. Le service de santé à l'échelon des étapes0163 - Page 157 - Mémoires et communications. Les échelons sanitaires et le traitement des blessés de guerre sur le front de Corée, par P. Delom... A. Le service de santé divisionnaire / B. Le service de santé à l'échelon des étapes
0172 - Page 166 - Mémoires et communications. Les échelons sanitaires et le traitement des blessés de guerre sur le front de Corée, par P. Delom... C. Service de santé de l'intérieur0172 - Page 166 - Mémoires et communications. Les échelons sanitaires et le traitement des blessés de guerre sur le front de Corée, par P. Delom... C. Service de santé de l'intérieur
0175 - Page 169 - Mémoires et communications. La syphilis au Niger (A.O.F.). Son traitement par la pénicilline, par L. Mathurin...0175 - Page 169 - Mémoires et communications. La syphilis au Niger (A.O.F.). Son traitement par la pénicilline, par L. Mathurin...
0176 - Page 170 - Mémoires et communications. La syphilis au Niger (A.O.F.). Son traitement par la pénicilline, par L. Mathurin... La syphilis du Niger0176 - Page 170 - Mémoires et communications. La syphilis au Niger (A.O.F.). Son traitement par la pénicilline, par L. Mathurin... La syphilis du Niger
0182 - Page 176 - Mémoires et communications. La syphilis au Niger (A.O.F.). Son traitement par la pénicilline, par L. Mathurin... La syphilis du Niger / Etiologie de la syphilis0182 - Page 176 - Mémoires et communications. La syphilis au Niger (A.O.F.). Son traitement par la pénicilline, par L. Mathurin... La syphilis du Niger / Etiologie de la syphilis
0187 - Page 177 - Mémoires et communications. La syphilis au Niger (A.O.F.). Son traitement par la pénicilline, par L. Mathurin... Etiologie de la syphilis / Fréquence0187 - Page 177 - Mémoires et communications. La syphilis au Niger (A.O.F.). Son traitement par la pénicilline, par L. Mathurin... Etiologie de la syphilis / Fréquence
0188 - Page 178 - Mémoires et communications. La syphilis au Niger (A.O.F.). Son traitement par la pénicilline, par L. Mathurin... Traitement0188 - Page 178 - Mémoires et communications. La syphilis au Niger (A.O.F.). Son traitement par la pénicilline, par L. Mathurin... Traitement
0192 - Page 182 - Mémoires et communications. Note sur la prophylaxie des maladies vénériennes dans la garnison de Tananarive, par S. Mercier... et A. Jezequel...0192 - Page 182 - Mémoires et communications. Note sur la prophylaxie des maladies vénériennes dans la garnison de Tananarive, par S. Mercier... et A. Jezequel...
0197 - Page 187 - Mémoires et communications. Note sur la prophylaxie des maladies vénériennes dans la garnison de Tananarive, par S. Mercier... et A. Jezequel... Conclusions0197 - Page 187 - Mémoires et communications. Note sur la prophylaxie des maladies vénériennes dans la garnison de Tananarive, par S. Mercier... et A. Jezequel... Conclusions
0201 - Page 191 - Mémoires et communications. Premiers résultats de l'emploi au Togo du sérum antivenimeux lyophylisé du Haffkine Institute de Bombay dans l'envenimation par Echis carinatus Schn, par L.-M. Giboin... et M. Dille...0201 - Page 191 - Mémoires et communications. Premiers résultats de l'emploi au Togo du sérum antivenimeux lyophylisé du Haffkine Institute de Bombay dans l'envenimation par Echis carinatus Schn, par L.-M. Giboin... et M. Dille...
0207 - Page 197 - Mémoires et communications. Premiers résultats de l'emploi au Togo du sérum antivenimeux lyophylisé du Haffkine Institute de Bombay dans l'envenimation par Echis carinatus Schn, par L.-M. Giboin... et M. Dille... Conclusion0207 - Page 197 - Mémoires et communications. Premiers résultats de l'emploi au Togo du sérum antivenimeux lyophylisé du Haffkine Institute de Bombay dans l'envenimation par Echis carinatus Schn, par L.-M. Giboin... et M. Dille... Conclusion
0208 - Page 198 - Mémoires et communications. Les échangeurs d'ions, par H. Philibert... I. Généralités sur les échangeurs et leur utilisation0208 - Page 198 - Mémoires et communications. Les échangeurs d'ions, par H. Philibert... I. Généralités sur les échangeurs et leur utilisation
0213 - Page 203 - Mémoires et communications. Les échangeurs d'ions, par H. Philibert... II. Applications du phénomène d'échange d'ions0213 - Page 203 - Mémoires et communications. Les échangeurs d'ions, par H. Philibert... II. Applications du phénomène d'échange d'ions
0215 - Page 205 - Mémoires et communications. Les échangeurs d'ions, par H. Philibert... II. Applications du phénomène d'échange d'ions / III. Conclusions0215 - Page 205 - Mémoires et communications. Les échangeurs d'ions, par H. Philibert... II. Applications du phénomène d'échange d'ions / III. Conclusions
0217 - Page 207 - Mémoires et communications. Note sur le traitement de l'amibiase intestinale aiguë en A.O.F. par le bis (P. arsonophénylamino), 1, 2, éthane, par G. Charmot..., F. Le Hénand... et P. Giudicelli...0217 - Page 207 - Mémoires et communications. Note sur le traitement de l'amibiase intestinale aiguë en A.O.F. par le bis (P. arsonophénylamino), 1, 2, éthane, par G. Charmot..., F. Le Hénand... et P. Giudicelli...
0219 - Page 209 - Mémoires et communications. Note sur le traitement de l'amibiase intestinale aiguë en A.O.F. par le bis (P. arsonophénylamino), 1, 2, éthane, par G. Charmot..., F. Le Hénand... et P. Giudicelli...0219 - Page 209 - Mémoires et communications. Note sur le traitement de l'amibiase intestinale aiguë en A.O.F. par le bis (P. arsonophénylamino), 1, 2, éthane, par G. Charmot..., F. Le Hénand... et P. Giudicelli...
0220 - Page 210 - Variétés. Le tsé-tsé et moi, par J. Vernier...0220 - Page 210 - Variétés. Le tsé-tsé et moi, par J. Vernier...
0223 - Page 213 - Variétés. Quelques aspects de l'appendicite à Saint-Pierre et Miquelon, par J. Bourlaud...0223 - Page 213 - Variétés. Quelques aspects de l'appendicite à Saint-Pierre et Miquelon, par J. Bourlaud...
0228 - Page 218 - Notes de pratique. Les Versènes. 1° Delveaux (E.-L.). - Les Versènes : une nouvelle série d'agents complexants. - Journal de pharmacie de Belgique...0228 - Page 218 - Notes de pratique. Les Versènes. 1° Delveaux (E.-L.). - Les Versènes : une nouvelle série d'agents complexants. - Journal de pharmacie de Belgique...
0229 - Page 219 - Notes de pratique. Les Versènes. 1° Delveaux (E.-L.). - Les Versènes : une nouvelle série d'agents complexants. - Journal de pharmacie de Belgique... / 2° D'après Houlihan (J.-E.). - Dosage de la dureté totale de l'eau par la méthode au Versénate. - The Analyst... / 3° William (E.) Elliot. - Dosage volumétrique du calcium dans le sérum sanguin. - J. of Biological Chemistry...0229 - Page 219 - Notes de pratique. Les Versènes. 1° Delveaux (E.-L.). - Les Versènes : une nouvelle série d'agents complexants. - Journal de pharmacie de Belgique... / 2° D'après Houlihan (J.-E.). - Dosage de la dureté totale de l'eau par la méthode au Versénate. - The Analyst... / 3° William (E.) Elliot. - Dosage volumétrique du calcium dans le sérum sanguin. - J. of Biological Chemistry...
0231 - Page 221 - Documentation. Traduction du «Tropical diseases bulletin». Paludisme0231 - Page 221 - Documentation. Traduction du «Tropical diseases bulletin». Paludisme
0258 - Page 248 - Documentation. Traduction du «Tropical diseases bulletin». Paludisme / Analyses. I. Médecine - chirurgie - spécialités. O. M. S. - Comité d'experts des insecticides. Quatrième rapport. - Série de rapports techniques... / Blanc (F.) et Martin (M.). - Traitement de l'amibiase hépatique aiguë par les iodiques solubles. - Archives de méd. gén. et trop...0258 - Page 248 - Documentation. Traduction du «Tropical diseases bulletin». Paludisme / Analyses. I. Médecine - chirurgie - spécialités. O. M. S. - Comité d'experts des insecticides. Quatrième rapport. - Série de rapports techniques... / Blanc (F.) et Martin (M.). - Traitement de l'amibiase hépatique aiguë par les iodiques solubles. - Archives de méd. gén. et trop...
0260 - Page 250 - Documentation. Analyses. I. Médecine - chirurgie - spécialités. Blanc (F.) et Martin (M.). - Traitement de l'amibiase hépatique aiguë par les iodiques solubles. - Archives de méd. gén. et trop... / Blanc (F.), Martin (M.), Vila (Th.) et Mayan (L.). - Premiers essais de traitement des amibiases coliques par les iodiques solubles. - Archives de médecine générale et tropicale...0260 - Page 250 - Documentation. Analyses. I. Médecine - chirurgie - spécialités. Blanc (F.) et Martin (M.). - Traitement de l'amibiase hépatique aiguë par les iodiques solubles. - Archives de méd. gén. et trop... / Blanc (F.), Martin (M.), Vila (Th.) et Mayan (L.). - Premiers essais de traitement des amibiases coliques par les iodiques solubles. - Archives de médecine générale et tropicale...
0261 - Page 251 - Documentation. Analyses. I. Médecine - chirurgie - spécialités. Blanc (F.), Martin (M.), Vila (Th.) et Mayan (L.). - Premiers essais de traitement des amibiases coliques par les iodiques solubles. - Archives de médecine générale et tropicale... / Pales (Léon) et Linhard (Jean). - La sicklémie (Sickle Cell Trait) en Afrique Occidentale Française vue de Dakar. - L'Anthropologie...0261 - Page 251 - Documentation. Analyses. I. Médecine - chirurgie - spécialités. Blanc (F.), Martin (M.), Vila (Th.) et Mayan (L.). - Premiers essais de traitement des amibiases coliques par les iodiques solubles. - Archives de médecine générale et tropicale... / Pales (Léon) et Linhard (Jean). - La sicklémie (Sickle Cell Trait) en Afrique Occidentale Française vue de Dakar. - L'Anthropologie...
0262 - Page 252 - Documentation. Analyses. I. Médecine - chirurgie - spécialités. Pales (Léon) et Linhard (Jean). - La sicklémie (Sickle Cell Trait) en Afrique Occidentale Française vue de Dakar. - L'Anthropologie... / Binet (Léon), Bétourné (Claude) et Aubert (Pierre). - A propos d'un cas très trompeur de bilharziose pulmonaire observé à Paris. - Presse médicale... / Marche (Jean) et Jallut. - Myélose aplastique et chloramphénicol. - Gazette médicale de France...0262 - Page 252 - Documentation. Analyses. I. Médecine - chirurgie - spécialités. Pales (Léon) et Linhard (Jean). - La sicklémie (Sickle Cell Trait) en Afrique Occidentale Française vue de Dakar. - L'Anthropologie... / Binet (Léon), Bétourné (Claude) et Aubert (Pierre). - A propos d'un cas très trompeur de bilharziose pulmonaire observé à Paris. - Presse médicale... / Marche (Jean) et Jallut. - Myélose aplastique et chloramphénicol. - Gazette médicale de France...
0263 - Page 253 - Documentation. Analyses. I. Médecine - chirurgie - spécialités. Marche (Jean) et Jallut. - Myélose aplastique et chloramphénicol. - Gazette médicale de France... / Jahier (Henri) et Fabiani (Georges). - Les problèmes du paludisme congénital. - Gynécologie et obstétrique...0263 - Page 253 - Documentation. Analyses. I. Médecine - chirurgie - spécialités. Marche (Jean) et Jallut. - Myélose aplastique et chloramphénicol. - Gazette médicale de France... / Jahier (Henri) et Fabiani (Georges). - Les problèmes du paludisme congénital. - Gynécologie et obstétrique...
0264 - Page 254 - Documentation. Analyses. I. Médecine - chirurgie - spécialités. Marche (Jean) et Jallut (Pierre). - Les ganglioplégiques. Leurs applications médicales et chirurgicales. - Bulletin médical...0264 - Page 254 - Documentation. Analyses. I. Médecine - chirurgie - spécialités. Marche (Jean) et Jallut (Pierre). - Les ganglioplégiques. Leurs applications médicales et chirurgicales. - Bulletin médical...
0265 - Page 255 - Documentation. Analyses. I. Médecine - chirurgie - spécialités. Marche (Jean) et Jallut (Pierre). - Les ganglioplégiques. Leurs applications médicales et chirurgicales. - Bulletin médical... / Grjebine (A.). - Les moustiques de la région de Bouar et de Bozoum (Oubangui-Chari). - Bull. Institut d'Etudes Centrafricaines... / II. Pharmacie - chimie - sciences naturelles. Desbordes (J.) et Guyotjean (Ch.). - A propos des essais de stérilité des préparations injectables. Recherche et identification des germes anaérobies. - An. Ph. Fr...0265 - Page 255 - Documentation. Analyses. I. Médecine - chirurgie - spécialités. Marche (Jean) et Jallut (Pierre). - Les ganglioplégiques. Leurs applications médicales et chirurgicales. - Bulletin médical... / Grjebine (A.). - Les moustiques de la région de Bouar et de Bozoum (Oubangui-Chari). - Bull. Institut d'Etudes Centrafricaines... / II. Pharmacie - chimie - sciences naturelles. Desbordes (J.) et Guyotjean (Ch.). - A propos des essais de stérilité des préparations injectables. Recherche et identification des germes anaérobies. - An. Ph. Fr...
0266 - Page 256 - Documentation. Analyses. II. Pharmacie - chimie - sciences naturelles. Desbordes (J.) et Guyotjean (Ch.). - A propos des essais de stérilité des préparations injectables. Recherche et identification des germes anaérobies. - An. Ph. Fr... / Scott (P.-G.-W.), p. 681, Hangas (E.-A.) et Mitchell (B.-W.), p. 687. - Recherche et dosage de l'hydrazide isonicotinique. - Extrait de The J. of Pharmacy and Pharmacology...0266 - Page 256 - Documentation. Analyses. II. Pharmacie - chimie - sciences naturelles. Desbordes (J.) et Guyotjean (Ch.). - A propos des essais de stérilité des préparations injectables. Recherche et identification des germes anaérobies. - An. Ph. Fr... / Scott (P.-G.-W.), p. 681, Hangas (E.-A.) et Mitchell (B.-W.), p. 687. - Recherche et dosage de l'hydrazide isonicotinique. - Extrait de The J. of Pharmacy and Pharmacology...
0268 - Page 258 - Documentation. Analyses. II. Pharmacie - chimie - sciences naturelles. Smit (G.-B.). - Dosage des chlorures par la méthode de Clarke. Détermination de l'ion chlorhydrique dans de d'eau condensée. - Extrait d'Analytica Chimica Acta...0268 - Page 258 - Documentation. Analyses. II. Pharmacie - chimie - sciences naturelles. Smit (G.-B.). - Dosage des chlorures par la méthode de Clarke. Détermination de l'ion chlorhydrique dans de d'eau condensée. - Extrait d'Analytica Chimica Acta...
0269 - Page 259 - Documentation. Analyses. III. Livres nouveaux et thèses. Pallase (Albert). - L'encéphalopathie de Gayet-Wernicke. Avitaminose B cérébrale. - Thèse Lyon 1952 / Dalencourt (François). - Pathogénie et traitement de l'amibiase intestinale. - Adressé gracieusement par l'éditeur, Doin... Paris0269 - Page 259 - Documentation. Analyses. III. Livres nouveaux et thèses. Pallase (Albert). - L'encéphalopathie de Gayet-Wernicke. Avitaminose B cérébrale. - Thèse Lyon 1952 / Dalencourt (François). - Pathogénie et traitement de l'amibiase intestinale. - Adressé gracieusement par l'éditeur, Doin... Paris
0270 - Page 260 - Documentation. Notes bibliographiques. Médecine - chirurgie - spécialités. Dans les revues0270 - Page 260 - Documentation. Notes bibliographiques. Médecine - chirurgie - spécialités. Dans les revues
0283 - Page 273 - Documentation. Notes bibliographiques. Pharmacie - chimie - sciences naturelles. A) Dans les revues. Chimie analytique / Chimie industrielle et technologie0283 - Page 273 - Documentation. Notes bibliographiques. Pharmacie - chimie - sciences naturelles. A) Dans les revues. Chimie analytique / Chimie industrielle et technologie
0284 - Page 274 - Documentation. Notes bibliographiques. Pharmacie - chimie - sciences naturelles. A) Dans les revues. Chimie industrielle et technologie / Chimie biologique et nutrition / Toxicologie et hygiène0284 - Page 274 - Documentation. Notes bibliographiques. Pharmacie - chimie - sciences naturelles. A) Dans les revues. Chimie industrielle et technologie / Chimie biologique et nutrition / Toxicologie et hygiène
0285 - Page 275 - Documentation. Notes bibliographiques. Pharmacie - chimie - sciences naturelles. A) Dans les revues. Toxicologie et hygiène / Pharmacie chimique et galénique0285 - Page 275 - Documentation. Notes bibliographiques. Pharmacie - chimie - sciences naturelles. A) Dans les revues. Toxicologie et hygiène / Pharmacie chimique et galénique
0286 - Page 276 - Documentation. Notes bibliographiques. Pharmacie - chimie - sciences naturelles. A) Dans les revues. Pharmacie chimique et galénique / Antibiotiques / Hormones / Histoire naturelle / B) Livres nouveaux0286 - Page 276 - Documentation. Notes bibliographiques. Pharmacie - chimie - sciences naturelles. A) Dans les revues. Pharmacie chimique et galénique / Antibiotiques / Hormones / Histoire naturelle / B) Livres nouveaux
0287 - Page 277 - Documentation. Avis et informations. Promotion dans l'ordre de la légion d'honneur / Affectations / Nominations d'assistants des hôpitaux coloniaux0287 - Page 277 - Documentation. Avis et informations. Promotion dans l'ordre de la légion d'honneur / Affectations / Nominations d'assistants des hôpitaux coloniaux
0288 - Page 278 - Documentation. Avis et informations. Tableau des désignations coloniales du 25 janvier 19530288 - Page 278 - Documentation. Avis et informations. Tableau des désignations coloniales du 25 janvier 1953
0290 - Page 280 - Documentation. Avis et informations. Tableau des désignations coloniales du 25 janvier 1953 / Tableau des désignations coloniales du 25 mars 19530290 - Page 280 - Documentation. Avis et informations. Tableau des désignations coloniales du 25 janvier 1953 / Tableau des désignations coloniales du 25 mars 1953
0294 - Page 284 - Sommaire (Suite et fin)0294 - Page 284 - Sommaire (Suite et fin)
0295 - Page 285 - [Page de titre]0295 - Page 285 - [Page de titre]
0297 - Page 287 - Sommaire (Suite page 444) / Abonnements0297 - Page 287 - Sommaire (Suite page 444) / Abonnements
0299 - Page 289 - Mémoires et communications. Les syndromes anémiques en pratique tropicale, par M. Martin...0299 - Page 289 - Mémoires et communications. Les syndromes anémiques en pratique tropicale, par M. Martin...
0301 - Page 291 - Mémoires et communications. Les syndromes anémiques en pratique tropicale, par M. Martin... A. Les anémies accompagnées d'oedèmes0301 - Page 291 - Mémoires et communications. Les syndromes anémiques en pratique tropicale, par M. Martin... A. Les anémies accompagnées d'oedèmes
0304 - Page 294 - Mémoires et communications. Les syndromes anémiques en pratique tropicale, par M. Martin... A. Les anémies accompagnées d'oedèmes / B. Les anémies accompagnées de diarrhée et d'émaciation0304 - Page 294 - Mémoires et communications. Les syndromes anémiques en pratique tropicale, par M. Martin... A. Les anémies accompagnées d'oedèmes / B. Les anémies accompagnées de diarrhée et d'émaciation
0305 - Page 295 - Mémoires et communications. Les syndromes anémiques en pratique tropicale, par M. Martin... B. Les anémies accompagnées de diarrhée et d'émaciation / C. Anémies avec émaciation, oedèmes, troubles digestifs0305 - Page 295 - Mémoires et communications. Les syndromes anémiques en pratique tropicale, par M. Martin... B. Les anémies accompagnées de diarrhée et d'émaciation / C. Anémies avec émaciation, oedèmes, troubles digestifs
0307 - Page 297 - Mémoires et communications. Les syndromes anémiques en pratique tropicale, par M. Martin... C. Anémies avec émaciation, oedèmes, troubles digestifs / D. Anémies avec hépatomégalie / E. Anémies avec splénomégalies0307 - Page 297 - Mémoires et communications. Les syndromes anémiques en pratique tropicale, par M. Martin... C. Anémies avec émaciation, oedèmes, troubles digestifs / D. Anémies avec hépatomégalie / E. Anémies avec splénomégalies
0309 - Page 299 - Mémoires et communications. Les syndromes anémiques en pratique tropicale, par M. Martin... E. Anémies avec splénomégalies / F. Anémies avec hémoglobinurie0309 - Page 299 - Mémoires et communications. Les syndromes anémiques en pratique tropicale, par M. Martin... E. Anémies avec splénomégalies / F. Anémies avec hémoglobinurie
0310 - Page 300 - Mémoires et communications. Les syndromes anémiques en pratique tropicale, par M. Martin... F. Anémies avec hémoglobinurie / G. Anémies hémolytiques chroniques0310 - Page 300 - Mémoires et communications. Les syndromes anémiques en pratique tropicale, par M. Martin... F. Anémies avec hémoglobinurie / G. Anémies hémolytiques chroniques
0314 - Page 304 - Mémoires et communications. Aperçu sur la situation démographique de l'A.E.F., par A.-J. Lotte... I. Introduction0314 - Page 304 - Mémoires et communications. Aperçu sur la situation démographique de l'A.E.F., par A.-J. Lotte... I. Introduction
0315 - Page 305 - Mémoires et communications. Aperçu sur la situation démographique de l'A.E.F., par A.-J. Lotte... I. Introduction / II. Situation des différents territoires0315 - Page 305 - Mémoires et communications. Aperçu sur la situation démographique de l'A.E.F., par A.-J. Lotte... I. Introduction / II. Situation des différents territoires
0318 - Page 308 - Mémoires et communications. Aperçu sur la situation démographique de l'A.E.F., par A.-J. Lotte... II. Situation des différents territoires / III. Rapport de l'économie et de la population0318 - Page 308 - Mémoires et communications. Aperçu sur la situation démographique de l'A.E.F., par A.-J. Lotte... II. Situation des différents territoires / III. Rapport de l'économie et de la population
0321 - Page 311 - Mémoires et communications. Aperçu sur la situation démographique de l'A.E.F., par A.-J. Lotte... III. Rapport de l'économie et de la population / IV. Application aux différents territoires0321 - Page 311 - Mémoires et communications. Aperçu sur la situation démographique de l'A.E.F., par A.-J. Lotte... III. Rapport de l'économie et de la population / IV. Application aux différents territoires
0324 - Page 314 - Mémoires et communications. Aperçu sur la situation démographique de l'A.E.F., par A.-J. Lotte... IV. Application aux différents territoires / Conclusions0324 - Page 314 - Mémoires et communications. Aperçu sur la situation démographique de l'A.E.F., par A.-J. Lotte... IV. Application aux différents territoires / Conclusions
0330 - Page 320 - Mémoires et communications. Notice épidémiologique sur les bilharzioses, par le Docteur J. Gaud...0330 - Page 320 - Mémoires et communications. Notice épidémiologique sur les bilharzioses, par le Docteur J. Gaud...
0331 - Page 321 - Mémoires et communications. Notice épidémiologique sur les bilharzioses, par le Docteur J. Gaud... 1° Etude des complications des bilharzioses et de leur répercussion sociale0331 - Page 321 - Mémoires et communications. Notice épidémiologique sur les bilharzioses, par le Docteur J. Gaud... 1° Etude des complications des bilharzioses et de leur répercussion sociale
0332 - Page 322 - Mémoires et communications. Notice épidémiologique sur les bilharzioses, par le Docteur J. Gaud... 1° Etude des complications des bilharzioses et de leur répercussion sociale / 2° Etude des gîtes de mollusques vecteurs0332 - Page 322 - Mémoires et communications. Notice épidémiologique sur les bilharzioses, par le Docteur J. Gaud... 1° Etude des complications des bilharzioses et de leur répercussion sociale / 2° Etude des gîtes de mollusques vecteurs
0333 - Page 323 - Mémoires et communications. Notice épidémiologique sur les bilharzioses, par le Docteur J. Gaud... 2° Etude des gîtes de mollusques vecteurs / 3° Etude des gîtes de mollusques vecteurs0333 - Page 323 - Mémoires et communications. Notice épidémiologique sur les bilharzioses, par le Docteur J. Gaud... 2° Etude des gîtes de mollusques vecteurs / 3° Etude des gîtes de mollusques vecteurs
0338 - Page 328 - Mémoires et communications. Du traitement des ulcères phagédéniques par les greffes et en particulier par les greffes pédiculées, par J.-D. Marcotorchino..., Y. Mear... et B. Courson... A. Greffes libres0338 - Page 328 - Mémoires et communications. Du traitement des ulcères phagédéniques par les greffes et en particulier par les greffes pédiculées, par J.-D. Marcotorchino..., Y. Mear... et B. Courson... A. Greffes libres
0339 - Page 329 - Mémoires et communications. Du traitement des ulcères phagédéniques par les greffes et en particulier par les greffes pédiculées, par J.-D. Marcotorchino..., Y. Mear... et B. Courson... A. Greffes libres / B. Greffes pédiculées0339 - Page 329 - Mémoires et communications. Du traitement des ulcères phagédéniques par les greffes et en particulier par les greffes pédiculées, par J.-D. Marcotorchino..., Y. Mear... et B. Courson... A. Greffes libres / B. Greffes pédiculées
0351 - Page 337 - Mémoires et communications. Acquisitions récentes sur les cycles des hématozoaires. Incidence sur le paludisme humain, par J. Demarchi... Historique0351 - Page 337 - Mémoires et communications. Acquisitions récentes sur les cycles des hématozoaires. Incidence sur le paludisme humain, par J. Demarchi... Historique
0352 - Page 338 - Mémoires et communications. Acquisitions récentes sur les cycles des hématozoaires. Incidence sur le paludisme humain, par J. Demarchi... Historique / Cycles tels qu'ils étaient décrits en 1930 / Les inconnues du problème0352 - Page 338 - Mémoires et communications. Acquisitions récentes sur les cycles des hématozoaires. Incidence sur le paludisme humain, par J. Demarchi... Historique / Cycles tels qu'ils étaient décrits en 1930 / Les inconnues du problème
0353 - Page 339 - Mémoires et communications. Acquisitions récentes sur les cycles des hématozoaires. Incidence sur le paludisme humain, par J. Demarchi... Les inconnues du problème / Les haemoproteus des oiseaux0353 - Page 339 - Mémoires et communications. Acquisitions récentes sur les cycles des hématozoaires. Incidence sur le paludisme humain, par J. Demarchi... Les inconnues du problème / Les haemoproteus des oiseaux
0354 - Page 340 - Mémoires et communications. Acquisitions récentes sur les cycles des hématozoaires. Incidence sur le paludisme humain, par J. Demarchi... Les haemoproteus des oiseaux / Le paludisme des animaux0354 - Page 340 - Mémoires et communications. Acquisitions récentes sur les cycles des hématozoaires. Incidence sur le paludisme humain, par J. Demarchi... Les haemoproteus des oiseaux / Le paludisme des animaux
0355 - Page 341 - Mémoires et communications. Acquisitions récentes sur les cycles des hématozoaires. Incidence sur le paludisme humain, par J. Demarchi... Le paludisme des animaux / Extension des recherches dans le paludisme humain0355 - Page 341 - Mémoires et communications. Acquisitions récentes sur les cycles des hématozoaires. Incidence sur le paludisme humain, par J. Demarchi... Le paludisme des animaux / Extension des recherches dans le paludisme humain
0356 - Page 342 - Mémoires et communications. Acquisitions récentes sur les cycles des hématozoaires. Incidence sur le paludisme humain, par J. Demarchi... Extension des recherches dans le paludisme humain / Récidives0356 - Page 342 - Mémoires et communications. Acquisitions récentes sur les cycles des hématozoaires. Incidence sur le paludisme humain, par J. Demarchi... Extension des recherches dans le paludisme humain / Récidives
0361 - Page 347 - Mémoires et communications. Méningite purulente. Isolement, à deux reprises par hémoculture, d'une Neisseria, par H. Collomb..., J-E. Merlihot... et E. Brygoo...0361 - Page 347 - Mémoires et communications. Méningite purulente. Isolement, à deux reprises par hémoculture, d'une Neisseria, par H. Collomb..., J-E. Merlihot... et E. Brygoo...
0363 - Page 349 - Mémoires et communications. Méningite purulente. Isolement, à deux reprises par hémoculture, d'une Neisseria, par H. Collomb..., J-E. Merlihot... et E. Brygoo... Le germe0363 - Page 349 - Mémoires et communications. Méningite purulente. Isolement, à deux reprises par hémoculture, d'une Neisseria, par H. Collomb..., J-E. Merlihot... et E. Brygoo... Le germe
0364 - Page 350 - Mémoires et communications. Méningite purulente. Isolement, à deux reprises par hémoculture, d'une Neisseria, par H. Collomb..., J-E. Merlihot... et E. Brygoo... Le germe / Discussion0364 - Page 350 - Mémoires et communications. Méningite purulente. Isolement, à deux reprises par hémoculture, d'une Neisseria, par H. Collomb..., J-E. Merlihot... et E. Brygoo... Le germe / Discussion
0365 - Page 351 - Mémoires et communications. L'activité des chaulmoogriques dans la lèpre serait-elle due à une configuration spatiale particulière de leurs acides gras ? (Note préliminaire), par C. Jardin...0365 - Page 351 - Mémoires et communications. L'activité des chaulmoogriques dans la lèpre serait-elle due à une configuration spatiale particulière de leurs acides gras ? (Note préliminaire), par C. Jardin...
0369 - Page 355 - Mémoires et communications. Granulogramme de Benda et vitesse de sédimentation dans la lèpre, par J. Mauze... et G. Arnaud0369 - Page 355 - Mémoires et communications. Granulogramme de Benda et vitesse de sédimentation dans la lèpre, par J. Mauze... et G. Arnaud
0371 - Page 357 - Mémoires et communications. Note sur l'infection microbienne des oeufs de cane à Saïgon, par J. Demarchi... Technique0371 - Page 357 - Mémoires et communications. Note sur l'infection microbienne des oeufs de cane à Saïgon, par J. Demarchi... Technique
0372 - Page 358 - Mémoires et communications. Note sur l'infection microbienne des oeufs de cane à Saïgon, par J. Demarchi... Résultats / Discussion0372 - Page 358 - Mémoires et communications. Note sur l'infection microbienne des oeufs de cane à Saïgon, par J. Demarchi... Résultats / Discussion
0373 - Page 359 - Mémoires et communications. Note sur l'infection microbienne des oeufs de cane à Saïgon, par J. Demarchi... Discussion / Conclusions0373 - Page 359 - Mémoires et communications. Note sur l'infection microbienne des oeufs de cane à Saïgon, par J. Demarchi... Discussion / Conclusions
0375 - Page 361 - Mémoires et communications. Note sur le paludisme à Douala, par M. Capponi...0375 - Page 361 - Mémoires et communications. Note sur le paludisme à Douala, par M. Capponi...
0379 - Page sans numérotation - Mémoires et communications. L'examen phlébographique du membre inférieur, par M. Cheynet...0379 - Page sans numérotation - Mémoires et communications. L'examen phlébographique du membre inférieur, par M. Cheynet...
0385 - Page 365 - Mémoires et communications. L'examen phlébographique du membre inférieur, par M. Cheynet... Indications0385 - Page 365 - Mémoires et communications. L'examen phlébographique du membre inférieur, par M. Cheynet... Indications
0386 - Page 366 - Mémoires et communications. L'examen phlébographique du membre inférieur, par M. Cheynet... Technique0386 - Page 366 - Mémoires et communications. L'examen phlébographique du membre inférieur, par M. Cheynet... Technique
0390 - Page 370 - Mémoires et communications. L'examen phlébographique du membre inférieur, par M. Cheynet... Technique / L'interprétation des clichés0390 - Page 370 - Mémoires et communications. L'examen phlébographique du membre inférieur, par M. Cheynet... Technique / L'interprétation des clichés
0392 - Page 372 - Mémoires et communications. Note sur les Rickettsioses0392 - Page 372 - Mémoires et communications. Note sur les Rickettsioses
0394 - Page 374 - Documentation. Traduction du «Tropical diseases bulletin». Trypanosomiase0394 - Page 374 - Documentation. Traduction du «Tropical diseases bulletin». Trypanosomiase
0404 - Page 384 - Documentation. Traduction du «Tropical diseases bulletin». Helminthiases0404 - Page 384 - Documentation. Traduction du «Tropical diseases bulletin». Helminthiases
0418 - Page 398 - Documentation. Traduction du «Tropical diseases bulletin». Helminthiases / Comptes rendus de sociétés. Réunions médico-chirurgicales et pharmaceutiques de l'Afrique Occidentale Française à Dakar. Réunion du 29 janvier 19530418 - Page 398 - Documentation. Traduction du «Tropical diseases bulletin». Helminthiases / Comptes rendus de sociétés. Réunions médico-chirurgicales et pharmaceutiques de l'Afrique Occidentale Française à Dakar. Réunion du 29 janvier 1953
0420 - Page 400 - Documentation. Comptes rendus de sociétés. Réunions médico-chirurgicales et pharmaceutiques de l'Afrique Occidentale Française à Dakar. Réunion du 29 janvier 1953 / Réunion du 26 février 19530420 - Page 400 - Documentation. Comptes rendus de sociétés. Réunions médico-chirurgicales et pharmaceutiques de l'Afrique Occidentale Française à Dakar. Réunion du 29 janvier 1953 / Réunion du 26 février 1953
0422 - Page 402 - Documentation. Comptes rendus de sociétés. Réunions médico-chirurgicales et pharmaceutiques de l'Afrique Occidentale Française à Dakar. Réunion du 26 février 1953 / Réunion du 26 mars 19530422 - Page 402 - Documentation. Comptes rendus de sociétés. Réunions médico-chirurgicales et pharmaceutiques de l'Afrique Occidentale Française à Dakar. Réunion du 26 février 1953 / Réunion du 26 mars 1953
0423 - Page 403 - Documentation. Analyses. I. Médecine - chirurgie - spécialités. Boxus (V.) et Adant (M.). - Les épreuves fonctionnelles du foie chez les coloniaux. Etude statistique. - In Annales de la société belge de médecine tropicale... / Julio Sanchez Vegas... - Bilan des nouveaux amaebicides. - The Journal of the American Medical Association...0423 - Page 403 - Documentation. Analyses. I. Médecine - chirurgie - spécialités. Boxus (V.) et Adant (M.). - Les épreuves fonctionnelles du foie chez les coloniaux. Etude statistique. - In Annales de la société belge de médecine tropicale... / Julio Sanchez Vegas... - Bilan des nouveaux amaebicides. - The Journal of the American Medical Association...
0424 - Page 404 - Documentation. Analyses. I. Médecine - chirurgie - spécialités. Julio Sanchez Vegas... - Bilan des nouveaux amaebicides. - The Journal of the American Medical Association... / Lieut. Gérald A. Martin..., St Lieut. Bernard T. Garfinkel..., Marion M. Brooke... ; Paul P. Weinstein..., et William W. Frye... - Efficacité comparée des amaebicides et des antibiotiques dans la dysenterie amibienne aiguë. Produits isolément employés ou associés dans cinq cent trente-huit cas. - The Journal of the American Medical Association...0424 - Page 404 - Documentation. Analyses. I. Médecine - chirurgie - spécialités. Julio Sanchez Vegas... - Bilan des nouveaux amaebicides. - The Journal of the American Medical Association... / Lieut. Gérald A. Martin..., St Lieut. Bernard T. Garfinkel..., Marion M. Brooke... ; Paul P. Weinstein..., et William W. Frye... - Efficacité comparée des amaebicides et des antibiotiques dans la dysenterie amibienne aiguë. Produits isolément employés ou associés dans cinq cent trente-huit cas. - The Journal of the American Medical Association...
0425 - Page 405 - Documentation. Analyses. I. Médecine - chirurgie - spécialités. Lieut. Gérald A. Martin..., St Lieut. Bernard T. Garfinkel..., Marion M. Brooke... ; Paul P. Weinstein..., et William W. Frye... - Efficacité comparée des amaebicides et des antibiotiques dans la dysenterie amibienne aiguë. Produits isolément employés ou associés dans cinq cent trente-huit cas. - The Journal of the American Medical Association... / Patel (J.-C.)... - La chloroquine dans le traitement des abcès amibiens du foie. - British Medical Journal...0425 - Page 405 - Documentation. Analyses. I. Médecine - chirurgie - spécialités. Lieut. Gérald A. Martin..., St Lieut. Bernard T. Garfinkel..., Marion M. Brooke... ; Paul P. Weinstein..., et William W. Frye... - Efficacité comparée des amaebicides et des antibiotiques dans la dysenterie amibienne aiguë. Produits isolément employés ou associés dans cinq cent trente-huit cas. - The Journal of the American Medical Association... / Patel (J.-C.)... - La chloroquine dans le traitement des abcès amibiens du foie. - British Medical Journal...
0426 - Page 406 - Documentation. Analyses. I. Médecine - chirurgie - spécialités. Herbert L. Stahnke. - Le procédé «L.C.» (ligature-cryothérapie) contre les morsures ou les piqûres venimeuses. - The American Journal of Tropical Medecine and Hygiene... / Bariety (M.) et coll. - La médiastinographie gazeuse. - Semaine des hôpitaux...0426 - Page 406 - Documentation. Analyses. I. Médecine - chirurgie - spécialités. Herbert L. Stahnke. - Le procédé «L.C.» (ligature-cryothérapie) contre les morsures ou les piqûres venimeuses. - The American Journal of Tropical Medecine and Hygiene... / Bariety (M.) et coll. - La médiastinographie gazeuse. - Semaine des hôpitaux...
0427 - Page 407 - Documentation. Analyses. I. Médecine - chirurgie - spécialités. Bariety (M.) et coll. - La médiastinographie gazeuse. - Semaine des hôpitaux... / Diesnis (M.). - Epreuve de l'instantané rénal. - In Semaine des hôpitaux...0427 - Page 407 - Documentation. Analyses. I. Médecine - chirurgie - spécialités. Bariety (M.) et coll. - La médiastinographie gazeuse. - Semaine des hôpitaux... / Diesnis (M.). - Epreuve de l'instantané rénal. - In Semaine des hôpitaux...
0429 - Page 409 - Documentation. Analyses. I. Médecine - chirurgie - spécialités. Diesnis (M.). - Epreuve de l'instantané rénal. - In Semaine des hôpitaux... / Jouve (A.), Pierron (J.) et Bourdoncle (E.). - Le dépistage précoce des troubles artériels des membres chez les diabétiques. - In Archives des maladies du coeur et des vaisseaux...0429 - Page 409 - Documentation. Analyses. I. Médecine - chirurgie - spécialités. Diesnis (M.). - Epreuve de l'instantané rénal. - In Semaine des hôpitaux... / Jouve (A.), Pierron (J.) et Bourdoncle (E.). - Le dépistage précoce des troubles artériels des membres chez les diabétiques. - In Archives des maladies du coeur et des vaisseaux...
0430 - Page 410 - Documentation. Analyses. II. Pharmacie - chimie - sciences naturelles. Truhaut (R.) et ses collab. - Toxicologie du pentachlorophénol. - Extrait des notes parues dans les Archives des maladies professionnelles...0430 - Page 410 - Documentation. Analyses. II. Pharmacie - chimie - sciences naturelles. Truhaut (R.) et ses collab. - Toxicologie du pentachlorophénol. - Extrait des notes parues dans les Archives des maladies professionnelles...
0433 - Page 413 - Documentation. Analyses. II. Pharmacie - chimie - sciences naturelles. Truhaut (R.) et ses collab. - Toxicologie du pentachlorophénol. - Extrait des notes parues dans les Archives des maladies professionnelles... / Mesure indirecte de l'acidité gastrique par échange d'ions. - The American Journal of Digestive Diseases... / Lestradet (H.). - Recherche du glucose dans l'urine. - Presse médicale... / Matweef (M.-M.). - Détection des farines de blé tendre dans les semoules et pâtes alimentaires. - Extrait des Comptes rendus hebdomadaires des séances de l'académie d'agriculture de France...0433 - Page 413 - Documentation. Analyses. II. Pharmacie - chimie - sciences naturelles. Truhaut (R.) et ses collab. - Toxicologie du pentachlorophénol. - Extrait des notes parues dans les Archives des maladies professionnelles... / Mesure indirecte de l'acidité gastrique par échange d'ions. - The American Journal of Digestive Diseases... / Lestradet (H.). - Recherche du glucose dans l'urine. - Presse médicale... / Matweef (M.-M.). - Détection des farines de blé tendre dans les semoules et pâtes alimentaires. - Extrait des Comptes rendus hebdomadaires des séances de l'académie d'agriculture de France...
0435 - Page 415 - Documentation. Analyses. II. Pharmacie - chimie - sciences naturelles. Matweef (M.-M.). - Détection des farines de blé tendre dans les semoules et pâtes alimentaires. - Extrait des Comptes rendus hebdomadaires des séances de l'académie d'agriculture de France... / Rathenasinkan (E.). - Recherche de l'acide benzoïque dans les aliments. - The Analyst...0435 - Page 415 - Documentation. Analyses. II. Pharmacie - chimie - sciences naturelles. Matweef (M.-M.). - Détection des farines de blé tendre dans les semoules et pâtes alimentaires. - Extrait des Comptes rendus hebdomadaires des séances de l'académie d'agriculture de France... / Rathenasinkan (E.). - Recherche de l'acide benzoïque dans les aliments. - The Analyst...
0436 - Page 416 - Documentation. Analyses. II. Pharmacie - chimie - sciences naturelles. Rathenasinkan (E.). - Recherche de l'acide benzoïque dans les aliments. - The Analyst... / Livres nouveaux. Grignard (V.), Dupont (G.) et Locquin (R.). - Traité de chimie organique..., 1953... - Masson et Compagnie Editeurs...0436 - Page 416 - Documentation. Analyses. II. Pharmacie - chimie - sciences naturelles. Rathenasinkan (E.). - Recherche de l'acide benzoïque dans les aliments. - The Analyst... / Livres nouveaux. Grignard (V.), Dupont (G.) et Locquin (R.). - Traité de chimie organique..., 1953... - Masson et Compagnie Editeurs...
0437 - Page 417 - Documentation. Notes bibliographiques. Médecine - chirurgie - spécialités. Dans les revues0437 - Page 417 - Documentation. Notes bibliographiques. Médecine - chirurgie - spécialités. Dans les revues
0447 - Page 427 - Documentation. Notes bibliographiques. Médecine - chirurgie - spécialités. Dans les revues / Pharmacie - Chimie - Sciences naturelles. Dans les revues. Chimie analytique0447 - Page 427 - Documentation. Notes bibliographiques. Médecine - chirurgie - spécialités. Dans les revues / Pharmacie - Chimie - Sciences naturelles. Dans les revues. Chimie analytique
0448 - Page 428 - Documentation. Notes bibliographiques. Pharmacie - Chimie - Sciences naturelles. Dans les revues. Chimie analytique / Chimie industrielle et technologie / Chimie biologique et nutrition0448 - Page 428 - Documentation. Notes bibliographiques. Pharmacie - Chimie - Sciences naturelles. Dans les revues. Chimie analytique / Chimie industrielle et technologie / Chimie biologique et nutrition
0450 - Page 430 - Documentation. Notes bibliographiques. Pharmacie - chimie - sciences naturelles. Dans les revues. Pharmacie chimique / Vitamines et hormones0450 - Page 430 - Documentation. Notes bibliographiques. Pharmacie - chimie - sciences naturelles. Dans les revues. Pharmacie chimique / Vitamines et hormones
0451 - Page 431 - Documentation. Notes bibliographiques. Pharmacie - chimie - sciences naturelles. Dans les revues. Vitamines et hormones / Toxicologie et hygiène / Histoire naturelle0451 - Page 431 - Documentation. Notes bibliographiques. Pharmacie - chimie - sciences naturelles. Dans les revues. Vitamines et hormones / Toxicologie et hygiène / Histoire naturelle
0452 - Page 432 - Documentation. Notes bibliographiques. Pharmacie - chimie - sciences naturelles. Dans les revues. Histoire naturelle / Avis et nouvelles. Taux d'extraction des farines de blé destinées à la panification0452 - Page 432 - Documentation. Notes bibliographiques. Pharmacie - chimie - sciences naturelles. Dans les revues. Histoire naturelle / Avis et nouvelles. Taux d'extraction des farines de blé destinées à la panification
0453 - Page 433 - Documentation. Avis et informations. Concours pour l'admission au stage d'assistant des hôpitaux coloniaux année 19530453 - Page 433 - Documentation. Avis et informations. Concours pour l'admission au stage d'assistant des hôpitaux coloniaux année 1953
0454 - Page 434 - Documentation. Avis et informations. Concours pour l'admission au stage d'assistant des hôpitaux coloniaux année 1953 / Nomination / Promotions0454 - Page 434 - Documentation. Avis et informations. Concours pour l'admission au stage d'assistant des hôpitaux coloniaux année 1953 / Nomination / Promotions
0456 - Page 436 - Documentation. Avis et informations. Promotions / Citations0456 - Page 436 - Documentation. Avis et informations. Promotions / Citations
0457 - Page 437 - Documentation. Avis et informations. Tableau des désignations coloniales du 25 avril 19530457 - Page 437 - Documentation. Avis et informations. Tableau des désignations coloniales du 25 avril 1953
0458 - Page 438 - Documentation. Avis et informations. Tableau des désignations coloniales du 25 avril 1953 / Tableau des désignations coloniales du 25 mai 19530458 - Page 438 - Documentation. Avis et informations. Tableau des désignations coloniales du 25 avril 1953 / Tableau des désignations coloniales du 25 mai 1953
0461 - Page 441 - Documentation. Avis et informations. Tableau des désignations coloniales du 25 mai 1953 / Information0461 - Page 441 - Documentation. Avis et informations. Tableau des désignations coloniales du 25 mai 1953 / Information
0462 - Page 442 - Documentation. Avis et informations. Communication0462 - Page 442 - Documentation. Avis et informations. Communication
0464 - Page 444 - Sommaire (Suite et fin)0464 - Page 444 - Sommaire (Suite et fin)
0465 - Page 445 - [Page de titre]0465 - Page 445 - [Page de titre]
0467 - Page 447 - Sommaire (Suite page 612) / Abonnements0467 - Page 447 - Sommaire (Suite page 612) / Abonnements
0469 - Page 449 - Mémoires et communications. Les mycétomes, par L. Dejou... et P. Navarranne...0469 - Page 449 - Mémoires et communications. Les mycétomes, par L. Dejou... et P. Navarranne...
0470 - Page 450 - Mémoires et communications. Les mycétomes, par L. Dejou... et P. Navarranne... Le polymorphisme clinique dans ses rapports0470 - Page 450 - Mémoires et communications. Les mycétomes, par L. Dejou... et P. Navarranne... Le polymorphisme clinique dans ses rapports
0472 - Page 452 - Mémoires et communications. Les mycétomes, par L. Dejou... et P. Navarranne... Le polymorphisme clinique dans ses rapports / Signes et formes cliniques0472 - Page 452 - Mémoires et communications. Les mycétomes, par L. Dejou... et P. Navarranne... Le polymorphisme clinique dans ses rapports / Signes et formes cliniques
0477 - Page 457 - Mémoires et communications. Les mycétomes, par L. Dejou... et P. Navarranne... Signes et formes cliniques / Les lésions du squelette0477 - Page 457 - Mémoires et communications. Les mycétomes, par L. Dejou... et P. Navarranne... Signes et formes cliniques / Les lésions du squelette
0483 - Page 463 - Mémoires et communications. Les mycétomes, par L. Dejou... et P. Navarranne... Le traitement0483 - Page 463 - Mémoires et communications. Les mycétomes, par L. Dejou... et P. Navarranne... Le traitement
0486 - Page 466 - Mémoires et communications. Les leptospiroses au Viet-Nam, par P. De Lajudie... E.-R. Brygoo...0486 - Page 466 - Mémoires et communications. Les leptospiroses au Viet-Nam, par P. De Lajudie... E.-R. Brygoo...
0489 - Page 469 - Mémoires et communications. Les leptospiroses au Viet-Nam, par P. De Lajudie... E.-R. Brygoo... Techniques0489 - Page 469 - Mémoires et communications. Les leptospiroses au Viet-Nam, par P. De Lajudie... E.-R. Brygoo... Techniques
0490 - Page 470 - Mémoires et communications. Les leptospiroses au Viet-Nam, par P. De Lajudie... E.-R. Brygoo... Techniques / Résultats0490 - Page 470 - Mémoires et communications. Les leptospiroses au Viet-Nam, par P. De Lajudie... E.-R. Brygoo... Techniques / Résultats
0493 - Page 473 - Mémoires et communications. Les leptospiroses au Viet-Nam, par P. De Lajudie... E.-R. Brygoo... Résultats / Cas sporadiques0493 - Page 473 - Mémoires et communications. Les leptospiroses au Viet-Nam, par P. De Lajudie... E.-R. Brygoo... Résultats / Cas sporadiques
0494 - Page 474 - Mémoires et communications. Les leptospiroses au Viet-Nam, par P. De Lajudie... E.-R. Brygoo... Cas sporadiques / Renseignements cliniques0494 - Page 474 - Mémoires et communications. Les leptospiroses au Viet-Nam, par P. De Lajudie... E.-R. Brygoo... Cas sporadiques / Renseignements cliniques
0495 - Page 475 - Mémoires et communications. Les leptospiroses au Viet-Nam, par P. De Lajudie... E.-R. Brygoo... Renseignements cliniques / Renseignements épidémiologiques0495 - Page 475 - Mémoires et communications. Les leptospiroses au Viet-Nam, par P. De Lajudie... E.-R. Brygoo... Renseignements cliniques / Renseignements épidémiologiques
0496 - Page 476 - Mémoires et communications. Les leptospiroses au Viet-Nam, par P. De Lajudie... E.-R. Brygoo... Renseignements épidémiologiques / Étude des souches isolées0496 - Page 476 - Mémoires et communications. Les leptospiroses au Viet-Nam, par P. De Lajudie... E.-R. Brygoo... Renseignements épidémiologiques / Étude des souches isolées
0500 - Page 480 - Mémoires et communications. Les leptospiroses au Viet-Nam, par P. De Lajudie... E.-R. Brygoo... Étude des souches isolées / Résumé et conclusions0500 - Page 480 - Mémoires et communications. Les leptospiroses au Viet-Nam, par P. De Lajudie... E.-R. Brygoo... Étude des souches isolées / Résumé et conclusions
0502 - Page 482 - Mémoires et communications. Étude sur l'organisation d'un service de phtisiologie à l'Hôpital Africain de Douala au cours des années : 1950-1951-1952, par A. Pellissier..., Schmitt... et C. Silverie... I. Comment se présente la tuberculose pulmonaire chez les Africains à Douala0502 - Page 482 - Mémoires et communications. Étude sur l'organisation d'un service de phtisiologie à l'Hôpital Africain de Douala au cours des années : 1950-1951-1952, par A. Pellissier..., Schmitt... et C. Silverie... I. Comment se présente la tuberculose pulmonaire chez les Africains à Douala
0504 - Page 484 - Mémoires et communications. Étude sur l'organisation d'un service de phtisiologie à l'Hôpital Africain de Douala au cours des années : 1950-1951-1952, par A. Pellissier..., Schmitt... et C. Silverie... I. Comment se présente la tuberculose pulmonaire chez les Africains à Douala / II. Indications et conduite du traitement0504 - Page 484 - Mémoires et communications. Étude sur l'organisation d'un service de phtisiologie à l'Hôpital Africain de Douala au cours des années : 1950-1951-1952, par A. Pellissier..., Schmitt... et C. Silverie... I. Comment se présente la tuberculose pulmonaire chez les Africains à Douala / II. Indications et conduite du traitement
0510 - Page 490 - Mémoires et communications. Étude sur l'organisation d'un service de phtisiologie à l'Hôpital Africain de Douala au cours des années : 1950-1951-1952, par A. Pellissier..., Schmitt... et C. Silverie... II. Indications et conduite du traitement / III. Les antibiotiques0510 - Page 490 - Mémoires et communications. Étude sur l'organisation d'un service de phtisiologie à l'Hôpital Africain de Douala au cours des années : 1950-1951-1952, par A. Pellissier..., Schmitt... et C. Silverie... II. Indications et conduite du traitement / III. Les antibiotiques
0513 - Page 493 - Mémoires et communications. Étude sur l'organisation d'un service de phtisiologie à l'Hôpital Africain de Douala au cours des années : 1950-1951-1952, par A. Pellissier..., Schmitt... et C. Silverie... III. Les antibiotiques / Conclusion0513 - Page 493 - Mémoires et communications. Étude sur l'organisation d'un service de phtisiologie à l'Hôpital Africain de Douala au cours des années : 1950-1951-1952, par A. Pellissier..., Schmitt... et C. Silverie... III. Les antibiotiques / Conclusion
0515 - Page 495 - Mémoires et communications. Aspect de l'immunité palustre des Africains de l'Union Française. Impaludations thérapeutiques comparées chez des blancs et des noirs, par P. Gallais..., R. Cros..., V. Lévy-Cavalleri... et L. Sentilhes...0515 - Page 495 - Mémoires et communications. Aspect de l'immunité palustre des Africains de l'Union Française. Impaludations thérapeutiques comparées chez des blancs et des noirs, par P. Gallais..., R. Cros..., V. Lévy-Cavalleri... et L. Sentilhes...
0522 - Page 502 - Mémoires et communications. Aspect de l'immunité palustre des Africains de l'Union Française. Impaludations thérapeutiques comparées chez des blancs et des noirs, par P. Gallais..., R. Cros..., V. Lévy-Cavalleri... et L. Sentilhes... Discussion et commentaires0522 - Page 502 - Mémoires et communications. Aspect de l'immunité palustre des Africains de l'Union Française. Impaludations thérapeutiques comparées chez des blancs et des noirs, par P. Gallais..., R. Cros..., V. Lévy-Cavalleri... et L. Sentilhes... Discussion et commentaires
0523 - Page 503 - Mémoires et communications. Aspect de l'immunité palustre des Africains de l'Union Française. Impaludations thérapeutiques comparées chez des blancs et des noirs, par P. Gallais..., R. Cros..., V. Lévy-Cavalleri... et L. Sentilhes... Discussion et commentaires / Résumé et conclusions0523 - Page 503 - Mémoires et communications. Aspect de l'immunité palustre des Africains de l'Union Française. Impaludations thérapeutiques comparées chez des blancs et des noirs, par P. Gallais..., R. Cros..., V. Lévy-Cavalleri... et L. Sentilhes... Discussion et commentaires / Résumé et conclusions
0524 - Page 504 - Mémoires et communications. Troubles mentaux et maladie tuberculeuse (A propos de deux psychoses tuberculeuses chez des indigènes), par P. Gallais..., V. Lévy-Cavalleri..., P. Lestrade..., P. Robert... et P. Rouzaud...0524 - Page 504 - Mémoires et communications. Troubles mentaux et maladie tuberculeuse (A propos de deux psychoses tuberculeuses chez des indigènes), par P. Gallais..., V. Lévy-Cavalleri..., P. Lestrade..., P. Robert... et P. Rouzaud...
0528 - Page 508 - Mémoires et communications. Troubles mentaux et maladie tuberculeuse (A propos de deux psychoses tuberculeuses chez des indigènes), par P. Gallais..., V. Lévy-Cavalleri..., P. Lestrade..., P. Robert... et P. Rouzaud... Commentaires0528 - Page 508 - Mémoires et communications. Troubles mentaux et maladie tuberculeuse (A propos de deux psychoses tuberculeuses chez des indigènes), par P. Gallais..., V. Lévy-Cavalleri..., P. Lestrade..., P. Robert... et P. Rouzaud... Commentaires
0531 - Page 511 - Mémoires et communications. Note sur la signification pathologique éventuelle de la sicklémie, par P. Gallais..., R. Fourquet... et J. Alluis...0531 - Page 511 - Mémoires et communications. Note sur la signification pathologique éventuelle de la sicklémie, par P. Gallais..., R. Fourquet... et J. Alluis...
0534 - Page 514 - Mémoires et communications. Étude des troubles du cycle menstruel chez la femme trypanosomée à l'aide de frottis vaginaux (Etude préliminaire), par J. Ridet...0534 - Page 514 - Mémoires et communications. Étude des troubles du cycle menstruel chez la femme trypanosomée à l'aide de frottis vaginaux (Etude préliminaire), par J. Ridet...
0537 - Page 517 - Mémoires et communications. Étude des troubles du cycle menstruel chez la femme trypanosomée à l'aide de frottis vaginaux (Etude préliminaire), par J. Ridet... Discussion0537 - Page 517 - Mémoires et communications. Étude des troubles du cycle menstruel chez la femme trypanosomée à l'aide de frottis vaginaux (Etude préliminaire), par J. Ridet... Discussion
0539 - Page 519 - Mémoires et communications. Étude des troubles du cycle menstruel chez la femme trypanosomée à l'aide de frottis vaginaux (Etude préliminaire), par J. Ridet... Discussion / Conclusion. (Travail du service général d'hygiène mobile et de prophylaxie de l'A.O.F.)0539 - Page 519 - Mémoires et communications. Étude des troubles du cycle menstruel chez la femme trypanosomée à l'aide de frottis vaginaux (Etude préliminaire), par J. Ridet... Discussion / Conclusion. (Travail du service général d'hygiène mobile et de prophylaxie de l'A.O.F.)
0540 - Page 520 - Mémoires et communications. Dosage du calcium sérique. Application aux sérums d'Africains de Dakar, par J. Linhard..., F. Busson..., P. Giraud... et Mlle C. Guyonnet0540 - Page 520 - Mémoires et communications. Dosage du calcium sérique. Application aux sérums d'Africains de Dakar, par J. Linhard..., F. Busson..., P. Giraud... et Mlle C. Guyonnet
0541 - Page 521 - Mémoires et communications. Dosage du calcium sérique. Application aux sérums d'Africains de Dakar, par J. Linhard..., F. Busson..., P. Giraud... et Mlle C. Guyonnet. Principe de la méthode0541 - Page 521 - Mémoires et communications. Dosage du calcium sérique. Application aux sérums d'Africains de Dakar, par J. Linhard..., F. Busson..., P. Giraud... et Mlle C. Guyonnet. Principe de la méthode
0543 - Page 523 - Mémoires et communications. Dosage du calcium sérique. Application aux sérums d'Africains de Dakar, par J. Linhard..., F. Busson..., P. Giraud... et Mlle C. Guyonnet. Principe de la méthode / Résultats obtenus0543 - Page 523 - Mémoires et communications. Dosage du calcium sérique. Application aux sérums d'Africains de Dakar, par J. Linhard..., F. Busson..., P. Giraud... et Mlle C. Guyonnet. Principe de la méthode / Résultats obtenus
0545 - Page 525 - Mémoires et communications. Dosage du calcium sérique. Application aux sérums d'Africains de Dakar, par J. Linhard..., F. Busson..., P. Giraud... et Mlle C. Guyonnet. Conclusions. (Organisme d'enquête pour l'étude anthropologique des populations indigènes de l'A.O.F. - Alimentation - nutrition)0545 - Page 525 - Mémoires et communications. Dosage du calcium sérique. Application aux sérums d'Africains de Dakar, par J. Linhard..., F. Busson..., P. Giraud... et Mlle C. Guyonnet. Conclusions. (Organisme d'enquête pour l'étude anthropologique des populations indigènes de l'A.O.F. - Alimentation - nutrition)
0546 - Page 526 - Mémoires et communications. Dosage du magnésium sérique. Application à des sérums d'Africains de Dakar, par J. Linhard..., F. Busson... et P. Giraud...0546 - Page 526 - Mémoires et communications. Dosage du magnésium sérique. Application à des sérums d'Africains de Dakar, par J. Linhard..., F. Busson... et P. Giraud...
0547 - Page 527 - Mémoires et communications. Dosage du magnésium sérique. Application à des sérums d'Africains de Dakar, par J. Linhard..., F. Busson... et P. Giraud... Principe / Réactifs0547 - Page 527 - Mémoires et communications. Dosage du magnésium sérique. Application à des sérums d'Africains de Dakar, par J. Linhard..., F. Busson... et P. Giraud... Principe / Réactifs
0548 - Page 528 - Mémoires et communications. Dosage du magnésium sérique. Application à des sérums d'Africains de Dakar, par J. Linhard..., F. Busson... et P. Giraud... Réactifs / Technique / Résultats0548 - Page 528 - Mémoires et communications. Dosage du magnésium sérique. Application à des sérums d'Africains de Dakar, par J. Linhard..., F. Busson... et P. Giraud... Réactifs / Technique / Résultats
0550 - Page 530 - Mémoires et communications. Variation de la protéinémie sérique relative chez l'Africain de Dakar au cours de l'année, par J. Linhard..., F. Busson..., P. Trapet..., P. Giraud..., Mlle F. Lecocq... et Mlle C. Guyonnet0550 - Page 530 - Mémoires et communications. Variation de la protéinémie sérique relative chez l'Africain de Dakar au cours de l'année, par J. Linhard..., F. Busson..., P. Trapet..., P. Giraud..., Mlle F. Lecocq... et Mlle C. Guyonnet
0552 - Page 532 - Mémoires et communications. Variation de la protéinémie sérique relative chez l'Africain de Dakar au cours de l'année, par J. Linhard..., F. Busson..., P. Trapet..., P. Giraud..., Mlle F. Lecocq... et Mlle C. Guyonnet. Résultats0552 - Page 532 - Mémoires et communications. Variation de la protéinémie sérique relative chez l'Africain de Dakar au cours de l'année, par J. Linhard..., F. Busson..., P. Trapet..., P. Giraud..., Mlle F. Lecocq... et Mlle C. Guyonnet. Résultats
0554 - Page 534 - Mémoires et communications. Valeur alimentaire des poissons pêchés sur les côtes de la presqu'île du Cap-Vert, par F. Busson..., E. Postel... et P. Giraud... Echantillonnage0554 - Page 534 - Mémoires et communications. Valeur alimentaire des poissons pêchés sur les côtes de la presqu'île du Cap-Vert, par F. Busson..., E. Postel... et P. Giraud... Echantillonnage
0556 - Page 536 - Mémoires et communications. Valeur alimentaire des poissons pêchés sur les côtes de la presqu'île du Cap-Vert, par F. Busson..., E. Postel... et P. Giraud... Echantillonnage / Dosages0556 - Page 536 - Mémoires et communications. Valeur alimentaire des poissons pêchés sur les côtes de la presqu'île du Cap-Vert, par F. Busson..., E. Postel... et P. Giraud... Echantillonnage / Dosages
0558 - Page 538 - Variétés. Enquête sur les glossines d'A.E.F. en 19520558 - Page 538 - Variétés. Enquête sur les glossines d'A.E.F. en 1952
0560 - Page 540 - Documentation. Traduction du «Tropical diseases bulletin». Peste0560 - Page 540 - Documentation. Traduction du «Tropical diseases bulletin». Peste
0564 - Page 544 - Documentation. Traduction du «Tropical diseases bulletin». Lèpre0564 - Page 544 - Documentation. Traduction du «Tropical diseases bulletin». Lèpre
0575 - Page 555 - Documentation. Traduction du «Tropical diseases bulletin». Fièvres du groupe typhus0575 - Page 555 - Documentation. Traduction du «Tropical diseases bulletin». Fièvres du groupe typhus
0586 - Page 566 - Documentation. Traduction du «Tropical diseases bulletin». Leishmaniose0586 - Page 566 - Documentation. Traduction du «Tropical diseases bulletin». Leishmaniose
0590 - Page 570 - Documentation. Analyses. I. Médecine - chirurgie - spécialités. Viroses neurotropes Africaines. Lépine (P.). - Le virus des encéphalites saisonnières et leur origine tropicale. - Semaine des hôpitaux...0590 - Page 570 - Documentation. Analyses. I. Médecine - chirurgie - spécialités. Viroses neurotropes Africaines. Lépine (P.). - Le virus des encéphalites saisonnières et leur origine tropicale. - Semaine des hôpitaux...
0591 - Page 571 - Documentation. Analyses. I. Médecine - chirurgie - spécialités. Viroses neurotropes Africaines. Dick (G.). - Notes épidémiologiques sur quelques virus isolés en Ouganda. - (Yellow fever, Rift valley fever, Bwamba fever, West Nile, Mengo, Semliki forest, Bunyamwera, Ntaya, Uganda S et Zika virus). - Transact. Roy. Soc. Med. and Hyg... / Pélissier (A.) et Bascoulergue (P.). - Les encéphalites et les encéphalomyélites de l'enfance à Brazzaville. - C. R. du colloque international de l'enfance de Brazzaville...0591 - Page 571 - Documentation. Analyses. I. Médecine - chirurgie - spécialités. Viroses neurotropes Africaines. Dick (G.). - Notes épidémiologiques sur quelques virus isolés en Ouganda. - (Yellow fever, Rift valley fever, Bwamba fever, West Nile, Mengo, Semliki forest, Bunyamwera, Ntaya, Uganda S et Zika virus). - Transact. Roy. Soc. Med. and Hyg... / Pélissier (A.) et Bascoulergue (P.). - Les encéphalites et les encéphalomyélites de l'enfance à Brazzaville. - C. R. du colloque international de l'enfance de Brazzaville...
0592 - Page 572 - Documentation. Analyses. I. Médecine - chirurgie - spécialités. Viroses neurotropes Africaines. Pélissier (A.) et Bascoulergue (P.). - Les encéphalites et les encéphalomyélites de l'enfance à Brazzaville. - C. R. du colloque international de l'enfance de Brazzaville... / Charmot (G.), Koerber (R.) et Giudicelli (P.). - Notes sur les maladies présumées à virus neurotropes. Même colloque de Brazzaville... / Premier symposium international sur la lutte contre le pian. - Bulletin de l'O.M.S...0592 - Page 572 - Documentation. Analyses. I. Médecine - chirurgie - spécialités. Viroses neurotropes Africaines. Pélissier (A.) et Bascoulergue (P.). - Les encéphalites et les encéphalomyélites de l'enfance à Brazzaville. - C. R. du colloque international de l'enfance de Brazzaville... / Charmot (G.), Koerber (R.) et Giudicelli (P.). - Notes sur les maladies présumées à virus neurotropes. Même colloque de Brazzaville... / Premier symposium international sur la lutte contre le pian. - Bulletin de l'O.M.S...
0593 - Page 573 - Documentation. Analyses. I. Médecine - chirurgie - spécialités. Viroses neurotropes Africaines. Premier symposium international sur la lutte contre le pian. - Bulletin de l'O.M.S... / R. Froment. - Y a-t-il danger à utiliser largement les diurétiques mercuriels dans le traitement de l'insuffisance cardiaque ? - Maroc médical...0593 - Page 573 - Documentation. Analyses. I. Médecine - chirurgie - spécialités. Viroses neurotropes Africaines. Premier symposium international sur la lutte contre le pian. - Bulletin de l'O.M.S... / R. Froment. - Y a-t-il danger à utiliser largement les diurétiques mercuriels dans le traitement de l'insuffisance cardiaque ? - Maroc médical...
0594 - Page 574 - Documentation. Analyses. I. Médecine - chirurgie - spécialités. Viroses neurotropes Africaines. R. Froment. - Y a-t-il danger à utiliser largement les diurétiques mercuriels dans le traitement de l'insuffisance cardiaque ? - Maroc médical... / Toxoplasmose. Sabin (A.). - La toxoplasmose : problèmes non résolus et introduction / Feldman (H.). - Manifestations cliniques et diagnostic de laboratoire de la toxoplasmose0594 - Page 574 - Documentation. Analyses. I. Médecine - chirurgie - spécialités. Viroses neurotropes Africaines. R. Froment. - Y a-t-il danger à utiliser largement les diurétiques mercuriels dans le traitement de l'insuffisance cardiaque ? - Maroc médical... / Toxoplasmose. Sabin (A.). - La toxoplasmose : problèmes non résolus et introduction / Feldman (H.). - Manifestations cliniques et diagnostic de laboratoire de la toxoplasmose
0595 - Page 575 - Documentation. Analyses. I. Médecine - chirurgie - spécialités. Toxoplasmose. Feldman (H.). - Manifestations cliniques et diagnostic de laboratoire de la toxoplasmose / Eyles (D.). - La chimiothérapie de la toxoplasmose0595 - Page 575 - Documentation. Analyses. I. Médecine - chirurgie - spécialités. Toxoplasmose. Feldman (H.). - Manifestations cliniques et diagnostic de laboratoire de la toxoplasmose / Eyles (D.). - La chimiothérapie de la toxoplasmose
0596 - Page 576 - Documentation. Analyses. I. Médecine - chirurgie - spécialités. Toxoplasmose. Eyles (D.). - La chimiothérapie de la toxoplasmose / II. Livres nouveaux. Pfister (R.). - Guide pratique pour le diagnostic et le traitement des filarioses humaines en A.O.F.... - G.G. de l'A.O.F. [Carrier-Clérambault] / Michel Cépède et Maurice Lengelle. - L'économie alimentaire du globe... - Librairie de Médicis...0596 - Page 576 - Documentation. Analyses. I. Médecine - chirurgie - spécialités. Toxoplasmose. Eyles (D.). - La chimiothérapie de la toxoplasmose / II. Livres nouveaux. Pfister (R.). - Guide pratique pour le diagnostic et le traitement des filarioses humaines en A.O.F.... - G.G. de l'A.O.F. [Carrier-Clérambault] / Michel Cépède et Maurice Lengelle. - L'économie alimentaire du globe... - Librairie de Médicis...
0599 - Page 579 - Documentation. Réunions et congrès. Les VImes journées médicales de la clinique médicale thérapeutique (Professeur Jean Olmer). Marseille, 5 et 6 juin 19530599 - Page 579 - Documentation. Réunions et congrès. Les VImes journées médicales de la clinique médicale thérapeutique (Professeur Jean Olmer). Marseille, 5 et 6 juin 1953
0600 - Page 580 - Documentation. Réunions et congrès. Les VImes journées médicales de la clinique médicale thérapeutique (Professeur Jean Olmer). Marseille, 5 et 6 juin 1953 / Les journées du foie gras. Paris, 24, 25 mars 19530600 - Page 580 - Documentation. Réunions et congrès. Les VImes journées médicales de la clinique médicale thérapeutique (Professeur Jean Olmer). Marseille, 5 et 6 juin 1953 / Les journées du foie gras. Paris, 24, 25 mars 1953
0602 - Page 582 - Documentation. Comptes rendus de sociétés. Réunions médico-chirurgicales et pharmaceutiques de l'Afrique Occidentale Française à Dakar. Réunion du 30 avril 19530602 - Page 582 - Documentation. Comptes rendus de sociétés. Réunions médico-chirurgicales et pharmaceutiques de l'Afrique Occidentale Française à Dakar. Réunion du 30 avril 1953
0605 - Page 585 - Documentation. Notes bibliographiques. Médecine - chirurgie - spécialités. A) Dans les revues0605 - Page 585 - Documentation. Notes bibliographiques. Médecine - chirurgie - spécialités. A) Dans les revues
0617 - Page 597 - Documentation. Notes bibliographiques. Médecine - chirurgie - spécialités. A) Dans les revues / B) Ouvrages signalées0617 - Page 597 - Documentation. Notes bibliographiques. Médecine - chirurgie - spécialités. A) Dans les revues / B) Ouvrages signalées
0618 - Page 598 - Documentation. Notes bibliographiques. Pharmacie - chimie - sciences naturelles. A) Dans les revues. Chimie analytique / Pharmacie chimique et galénique0618 - Page 598 - Documentation. Notes bibliographiques. Pharmacie - chimie - sciences naturelles. A) Dans les revues. Chimie analytique / Pharmacie chimique et galénique
0619 - Page 599 - Documentation. Notes bibliographiques. Pharmacie - chimie - sciences naturelles. A) Dans les revues. Pharmacie chimique et galénique / Antibiotiques / Chimie biologique et nutrition / Enzymes, vitamines et hormones0619 - Page 599 - Documentation. Notes bibliographiques. Pharmacie - chimie - sciences naturelles. A) Dans les revues. Pharmacie chimique et galénique / Antibiotiques / Chimie biologique et nutrition / Enzymes, vitamines et hormones
0620 - Page 600 - Documentation. Notes bibliographiques. Pharmacie - chimie - sciences naturelles. A) Dans les revues. Enzymes, vitamines et hormones / Toxicologie et hygiène / Histoire naturelle0620 - Page 600 - Documentation. Notes bibliographiques. Pharmacie - chimie - sciences naturelles. A) Dans les revues. Enzymes, vitamines et hormones / Toxicologie et hygiène / Histoire naturelle
0622 - Page 602 - Documentation. Avis et informations. Service de santé colonial. École d'application du service de santé colonial0622 - Page 602 - Documentation. Avis et informations. Service de santé colonial. École d'application du service de santé colonial
0623 - Page 603 - Documentation. Avis et informations. Service de santé colonial. École d'application du service de santé colonial / Nominations0623 - Page 603 - Documentation. Avis et informations. Service de santé colonial. École d'application du service de santé colonial / Nominations
0624 - Page 604 - Documentation. Avis et informations. Service de santé colonial. Promotions et nominations dans les ordres de la France d'Outre-Mer0624 - Page 604 - Documentation. Avis et informations. Service de santé colonial. Promotions et nominations dans les ordres de la France d'Outre-Mer
0627 - Page 607 - Documentation. Avis et informations. Service de santé colonial. Promotions0627 - Page 607 - Documentation. Avis et informations. Service de santé colonial. Promotions
0628 - Page 608 - Documentation. Avis et informations. Service de santé colonial. Promotions / Tableau des désignations coloniales du 25 juin 19530628 - Page 608 - Documentation. Avis et informations. Service de santé colonial. Promotions / Tableau des désignations coloniales du 25 juin 1953
0631 - Page 611 - Documentation. Avis et informations. Service de santé colonial. Informations0631 - Page 611 - Documentation. Avis et informations. Service de santé colonial. Informations
0632 - Page 612 - Sommaire (Suite et fin)0632 - Page 612 - Sommaire (Suite et fin)
0633 - Page 613 - [Page de titre]0633 - Page 613 - [Page de titre]
0635 - Page 615 - Sommaire (Suite page 788) / Abonnements0635 - Page 615 - Sommaire (Suite page 788) / Abonnements
0637 - Page 617 - Mémoires et communications. L'incidence paludéenne au cours des opérations militaires dans la région d'Hoa-Binh en 1951, par J. Soulage... P. Richet...0637 - Page 617 - Mémoires et communications. L'incidence paludéenne au cours des opérations militaires dans la région d'Hoa-Binh en 1951, par J. Soulage... P. Richet...
0638 - Page 618 - Mémoires et communications. L'incidence paludéenne au cours des opérations militaires dans la région d'Hoa-Binh en 1951, par J. Soulage... P. Richet... Les mesures prophylactiques préalables / I. Le premier terme de l'expérimentation Hoa-Binh0638 - Page 618 - Mémoires et communications. L'incidence paludéenne au cours des opérations militaires dans la région d'Hoa-Binh en 1951, par J. Soulage... P. Richet... Les mesures prophylactiques préalables / I. Le premier terme de l'expérimentation Hoa-Binh
0648 - Page 628 - Mémoires et communications. L'incidence paludéenne au cours des opérations militaires dans la région d'Hoa-Binh en 1951, par J. Soulage... P. Richet... I. Le premier terme de l'expérimentation Hoa-Binh / II. Le deuxième aspect de l'expérimentation Cho-Ben0648 - Page 628 - Mémoires et communications. L'incidence paludéenne au cours des opérations militaires dans la région d'Hoa-Binh en 1951, par J. Soulage... P. Richet... I. Le premier terme de l'expérimentation Hoa-Binh / II. Le deuxième aspect de l'expérimentation Cho-Ben
0659 - Page 639 - Mémoires et communications. L'incidence paludéenne au cours des opérations militaires dans la région d'Hoa-Binh en 1951, par J. Soulage... P. Richet... Conclusions0659 - Page 639 - Mémoires et communications. L'incidence paludéenne au cours des opérations militaires dans la région d'Hoa-Binh en 1951, par J. Soulage... P. Richet... Conclusions
0661 - Page 641 - Mémoires et communications. Résultats de la dédétisation à l'aide des insecticides à effet rémanent en Guyane Française à l'issue de la quatrième campagne (1951-1952) de pulvérisations, par H. Floch... Note de la rédaction0661 - Page 641 - Mémoires et communications. Résultats de la dédétisation à l'aide des insecticides à effet rémanent en Guyane Française à l'issue de la quatrième campagne (1951-1952) de pulvérisations, par H. Floch... Note de la rédaction
0670 - Page 650 - Mémoires et communications. Première étude sur le problème du cancer en Océanie Française. Iles du vent - Iles Sous-le-Vent, Iles Tuamotu, Gambier et Australes, Iles Marquises, par J. L'Hoiry...0670 - Page 650 - Mémoires et communications. Première étude sur le problème du cancer en Océanie Française. Iles du vent - Iles Sous-le-Vent, Iles Tuamotu, Gambier et Australes, Iles Marquises, par J. L'Hoiry...
0696 - Page 676 - Mémoires et communications. Première étude sur le problème du cancer en Océanie Française. Iles du vent - Iles Sous-le-Vent, Iles Tuamotu, Gambier et Australes, Iles Marquises, par J. L'Hoiry... Étude0696 - Page 676 - Mémoires et communications. Première étude sur le problème du cancer en Océanie Française. Iles du vent - Iles Sous-le-Vent, Iles Tuamotu, Gambier et Australes, Iles Marquises, par J. L'Hoiry... Étude
0702 - Page 682 - Mémoires et communications. Première étude sur le problème du cancer en Océanie Française. Iles du vent - Iles Sous-le-Vent, Iles Tuamotu, Gambier et Australes, Iles Marquises, par J. L'Hoiry... Étude / Conclusions0702 - Page 682 - Mémoires et communications. Première étude sur le problème du cancer en Océanie Française. Iles du vent - Iles Sous-le-Vent, Iles Tuamotu, Gambier et Australes, Iles Marquises, par J. L'Hoiry... Étude / Conclusions
0703 - Page 683 - Mémoires et communications. Recherches sur les procédés de laboratoire applicables au diagnostic de la mélioïdose, par J. Fournier..., P. de Lajudie... et L. Chambon...0703 - Page 683 - Mémoires et communications. Recherches sur les procédés de laboratoire applicables au diagnostic de la mélioïdose, par J. Fournier..., P. de Lajudie... et L. Chambon...
0704 - Page 684 - Mémoires et communications. Recherches sur les procédés de laboratoire applicables au diagnostic de la mélioïdose, par J. Fournier..., P. de Lajudie... et L. Chambon... I. Les cultures et les inoculations0704 - Page 684 - Mémoires et communications. Recherches sur les procédés de laboratoire applicables au diagnostic de la mélioïdose, par J. Fournier..., P. de Lajudie... et L. Chambon... I. Les cultures et les inoculations
0706 - Page 686 - Mémoires et communications. Recherches sur les procédés de laboratoire applicables au diagnostic de la mélioïdose, par J. Fournier..., P. de Lajudie... et L. Chambon... I. Les cultures et les inoculations / II. Les procédés sérologiques0706 - Page 686 - Mémoires et communications. Recherches sur les procédés de laboratoire applicables au diagnostic de la mélioïdose, par J. Fournier..., P. de Lajudie... et L. Chambon... I. Les cultures et les inoculations / II. Les procédés sérologiques
0715 - Page 695 - Mémoires et communications. Recherches sur les procédés de laboratoire applicables au diagnostic de la mélioïdose, par J. Fournier..., P. de Lajudie... et L. Chambon... II. Les procédés sérologiques / III. L'intradermo-réaction0715 - Page 695 - Mémoires et communications. Recherches sur les procédés de laboratoire applicables au diagnostic de la mélioïdose, par J. Fournier..., P. de Lajudie... et L. Chambon... II. Les procédés sérologiques / III. L'intradermo-réaction
0716 - Page 696 - Mémoires et communications. Recherches sur les procédés de laboratoire applicables au diagnostic de la mélioïdose, par J. Fournier..., P. de Lajudie... et L. Chambon... III. L'intradermo-réaction / Résumé et conclusions0716 - Page 696 - Mémoires et communications. Recherches sur les procédés de laboratoire applicables au diagnostic de la mélioïdose, par J. Fournier..., P. de Lajudie... et L. Chambon... III. L'intradermo-réaction / Résumé et conclusions
0718 - Page 698 - Mémoires et communications. Encéphalite pseudo-tumorale et lepto-méningite hémorragique en «plaques» sous-durales. Complication tardive d'une leptospirose ictéro-hémorragique en Extrême-Orient, par A. Carayon... et G. Fouin...0718 - Page 698 - Mémoires et communications. Encéphalite pseudo-tumorale et lepto-méningite hémorragique en «plaques» sous-durales. Complication tardive d'une leptospirose ictéro-hémorragique en Extrême-Orient, par A. Carayon... et G. Fouin...
0719 - Page 699 - Mémoires et communications. Encéphalite pseudo-tumorale et lepto-méningite hémorragique en «plaques» sous-durales. Complication tardive d'une leptospirose ictéro-hémorragique en Extrême-Orient, par A. Carayon... et G. Fouin... Considérations cliniques0719 - Page 699 - Mémoires et communications. Encéphalite pseudo-tumorale et lepto-méningite hémorragique en «plaques» sous-durales. Complication tardive d'une leptospirose ictéro-hémorragique en Extrême-Orient, par A. Carayon... et G. Fouin... Considérations cliniques
0720 - Page 700 - Mémoires et communications. Encéphalite pseudo-tumorale et lepto-méningite hémorragique en «plaques» sous-durales. Complication tardive d'une leptospirose ictéro-hémorragique en Extrême-Orient, par A. Carayon... et G. Fouin... Considérations cliniques / Considérations anatomo-pathologiques0720 - Page 700 - Mémoires et communications. Encéphalite pseudo-tumorale et lepto-méningite hémorragique en «plaques» sous-durales. Complication tardive d'une leptospirose ictéro-hémorragique en Extrême-Orient, par A. Carayon... et G. Fouin... Considérations cliniques / Considérations anatomo-pathologiques
0721 - Page 701 - Mémoires et communications. Encéphalite pseudo-tumorale et lepto-méningite hémorragique en «plaques» sous-durales. Complication tardive d'une leptospirose ictéro-hémorragique en Extrême-Orient, par A. Carayon... et G. Fouin... Considérations anatomo-pathologiques / Considérations étio-pathogéniques / Considérations thérapeutiques0721 - Page 701 - Mémoires et communications. Encéphalite pseudo-tumorale et lepto-méningite hémorragique en «plaques» sous-durales. Complication tardive d'une leptospirose ictéro-hémorragique en Extrême-Orient, par A. Carayon... et G. Fouin... Considérations anatomo-pathologiques / Considérations étio-pathogéniques / Considérations thérapeutiques
0723 - Page 703 - Mémoires et communications. Sur les schistosomes africains, par J. Raynal... I. Les schistosomes, parasites de l'homme en Afrique0723 - Page 703 - Mémoires et communications. Sur les schistosomes africains, par J. Raynal... I. Les schistosomes, parasites de l'homme en Afrique
0727 - Page 707 - Mémoires et communications. Sur les schistosomes africains, par J. Raynal... I. Les schistosomes, parasites de l'homme en Afrique / II. Les schistosomes chez les animaux en Afrique0727 - Page 707 - Mémoires et communications. Sur les schistosomes africains, par J. Raynal... I. Les schistosomes, parasites de l'homme en Afrique / II. Les schistosomes chez les animaux en Afrique
0731 - Page 711 - Mémoires et communications. Sur les schistosomes africains, par J. Raynal... II. Les schistosomes chez les animaux en Afrique / III. Existe-t-il, chez l'homme, en Afrique, d'autres schistosomes que S. Haematobium, S. Mansoni et S. Intercalatum ?0731 - Page 711 - Mémoires et communications. Sur les schistosomes africains, par J. Raynal... II. Les schistosomes chez les animaux en Afrique / III. Existe-t-il, chez l'homme, en Afrique, d'autres schistosomes que S. Haematobium, S. Mansoni et S. Intercalatum ?
0733 - Page 713 - Mémoires et communications. Sur les schistosomes africains, par J. Raynal... III. Existe-t-il, chez l'homme, en Afrique, d'autres schistosomes que S. Haematobium, S. Mansoni et S. Intercalatum ? / Conclusions et résumé0733 - Page 713 - Mémoires et communications. Sur les schistosomes africains, par J. Raynal... III. Existe-t-il, chez l'homme, en Afrique, d'autres schistosomes que S. Haematobium, S. Mansoni et S. Intercalatum ? / Conclusions et résumé
0736 - Page 716 - Mémoires et communications. Considérations sur la vaccination antirabique préventive des chiens et indications du traitement antirabique chez les personnes mordues par des chiens vaccinés préventivement contre la rage, par J. Ceccaldi...0736 - Page 716 - Mémoires et communications. Considérations sur la vaccination antirabique préventive des chiens et indications du traitement antirabique chez les personnes mordues par des chiens vaccinés préventivement contre la rage, par J. Ceccaldi...
0740 - Page 720 - Mémoires et communications. Repères chirurgicaux et aspects du nerf facial extra-pétreux, par G. Olivier... et C. Eyries. 1. Repères du facial à l'angle de la mâchoire0740 - Page 720 - Mémoires et communications. Repères chirurgicaux et aspects du nerf facial extra-pétreux, par G. Olivier... et C. Eyries. 1. Repères du facial à l'angle de la mâchoire
0741 - Page 721 - Mémoires et communications. Repères chirurgicaux et aspects du nerf facial extra-pétreux, par G. Olivier... et C. Eyries. 1. Repères du facial à l'angle de la mâchoire / 2. Repères de la division du tronc du facial0741 - Page 721 - Mémoires et communications. Repères chirurgicaux et aspects du nerf facial extra-pétreux, par G. Olivier... et C. Eyries. 1. Repères du facial à l'angle de la mâchoire / 2. Repères de la division du tronc du facial
0742 - Page 722 - Mémoires et communications. Repères chirurgicaux et aspects du nerf facial extra-pétreux, par G. Olivier... et C. Eyries. 2. Repères de la division du tronc du facial / 3. Nature de la division du facial0742 - Page 722 - Mémoires et communications. Repères chirurgicaux et aspects du nerf facial extra-pétreux, par G. Olivier... et C. Eyries. 2. Repères de la division du tronc du facial / 3. Nature de la division du facial
0744 - Page 724 - Mémoires et communications. Note sur l'étiologie de quelques syndromes dysentériformes observés en Côte Française des Somalis, par A. Gamet...0744 - Page 724 - Mémoires et communications. Note sur l'étiologie de quelques syndromes dysentériformes observés en Côte Française des Somalis, par A. Gamet...
0746 - Page 726 - Documentation. Traduction du «Tropical diseases bulletin». Paludisme0746 - Page 726 - Documentation. Traduction du «Tropical diseases bulletin». Paludisme
0769 - Page 749 - Documentation. Traduction du «Tropical diseases bulletin». Paludisme / Analyses. Médecine - chirurgie - spécialités. Comité d'experts de la bilharziose. - Premier rapport. - O.M.S. Série de rapports techniques...0769 - Page 749 - Documentation. Traduction du «Tropical diseases bulletin». Paludisme / Analyses. Médecine - chirurgie - spécialités. Comité d'experts de la bilharziose. - Premier rapport. - O.M.S. Série de rapports techniques...
0771 - Page 751 - Documentation. Analyses. Médecine - chirurgie - spécialités. Friess (J.) et coll. - La filariose lymphatique à son stade de début. - Algérie médicale... / Marquezy (R.-A.), Schrub (J.), Leveau (J.). - Essais de traitement des toxicoses du nourrisson par le 4560 R.P. - Archives françaises de pédiatrie...0771 - Page 751 - Documentation. Analyses. Médecine - chirurgie - spécialités. Friess (J.) et coll. - La filariose lymphatique à son stade de début. - Algérie médicale... / Marquezy (R.-A.), Schrub (J.), Leveau (J.). - Essais de traitement des toxicoses du nourrisson par le 4560 R.P. - Archives françaises de pédiatrie...
0772 - Page 752 - Documentation. Analyses. Médecine - chirurgie - spécialités. Marquezy (R.-A.), Schrub (J.), Leveau (J.). - Essais de traitement des toxicoses du nourrisson par le 4560 R.P. - Archives françaises de pédiatrie... / R. Sorel et J. Rieuneau - Hibernation des neurotoxicoses du nourrisson. - Gazette des hôpitaux...0772 - Page 752 - Documentation. Analyses. Médecine - chirurgie - spécialités. Marquezy (R.-A.), Schrub (J.), Leveau (J.). - Essais de traitement des toxicoses du nourrisson par le 4560 R.P. - Archives françaises de pédiatrie... / R. Sorel et J. Rieuneau - Hibernation des neurotoxicoses du nourrisson. - Gazette des hôpitaux...
0773 - Page 753 - Documentation. Analyses. Médecine - chirurgie - spécialités. R. Sorel et J. Rieuneau - Hibernation des neurotoxicoses du nourrisson. - Gazette des hôpitaux... / Réunions et congrès. 51e congrès des aliénistes et neurologistes de langue française0773 - Page 753 - Documentation. Analyses. Médecine - chirurgie - spécialités. R. Sorel et J. Rieuneau - Hibernation des neurotoxicoses du nourrisson. - Gazette des hôpitaux... / Réunions et congrès. 51e congrès des aliénistes et neurologistes de langue française
0775 - Page 755 - Documentation. Réunions et congrès. 51e congrès des aliénistes et neurologistes de langue française / Comptes-rendus de sociétés. Réunions médico-chirurgicales de Saïgon-Cholon. Réunion du 24 avril 19530775 - Page 755 - Documentation. Réunions et congrès. 51e congrès des aliénistes et neurologistes de langue française / Comptes-rendus de sociétés. Réunions médico-chirurgicales de Saïgon-Cholon. Réunion du 24 avril 1953
0776 - Page 756 - Documentation. Comptes-rendus de sociétés. Réunions médico-chirurgicales de Saïgon-Cholon. Réunion du 24 avril 1953 / Réunion du 5 juin 19530776 - Page 756 - Documentation. Comptes-rendus de sociétés. Réunions médico-chirurgicales de Saïgon-Cholon. Réunion du 24 avril 1953 / Réunion du 5 juin 1953
0777 - Page 757 - Documentation. Comptes-rendus de sociétés. Réunions médico-chirurgicales de Saïgon-Cholon. Réunion du 5 juin 1953 / Réunion du 31 juillet 19530777 - Page 757 - Documentation. Comptes-rendus de sociétés. Réunions médico-chirurgicales de Saïgon-Cholon. Réunion du 5 juin 1953 / Réunion du 31 juillet 1953
0779 - Page 759 - Documentation. Comptes-rendus de sociétés. Réunions médico-chirurgicales de Saïgon-Cholon. Réunion du 28 août 19530779 - Page 759 - Documentation. Comptes-rendus de sociétés. Réunions médico-chirurgicales de Saïgon-Cholon. Réunion du 28 août 1953
0780 - Page 760 - Documentation. Comptes-rendus de sociétés. Réunions médico-chirurgicales et pharmaceutiques de l'Afrique Occidentale Française à Dakar. Réunion du 28 mai 19530780 - Page 760 - Documentation. Comptes-rendus de sociétés. Réunions médico-chirurgicales et pharmaceutiques de l'Afrique Occidentale Française à Dakar. Réunion du 28 mai 1953
0781 - Page 761 - Documentation. Comptes-rendus de sociétés. Réunions médico-chirurgicales et pharmaceutiques de l'Afrique Occidentale Française à Dakar. Réunion du 25 juin 19530781 - Page 761 - Documentation. Comptes-rendus de sociétés. Réunions médico-chirurgicales et pharmaceutiques de l'Afrique Occidentale Française à Dakar. Réunion du 25 juin 1953
0783 - Page 763 - Documentation. Notes bibliographiques. Médecine - chirurgie - spécialités. Dans les revues0783 - Page 763 - Documentation. Notes bibliographiques. Médecine - chirurgie - spécialités. Dans les revues
0795 - Page 775 - Documentation. Notes bibliographiques. Médecine - chirurgie - spécialités. Dans les revues / Pharmacie - chimie - sciences naturelles. Dans les revues. Chimie analytique0795 - Page 775 - Documentation. Notes bibliographiques. Médecine - chirurgie - spécialités. Dans les revues / Pharmacie - chimie - sciences naturelles. Dans les revues. Chimie analytique
0796 - Page 776 - Documentation. Notes bibliographiques. Pharmacie - chimie - sciences naturelles. Dans les revues. Chimie analytique / Chimie biologique0796 - Page 776 - Documentation. Notes bibliographiques. Pharmacie - chimie - sciences naturelles. Dans les revues. Chimie analytique / Chimie biologique
0797 - Page 777 - Documentation. Notes bibliographiques. Pharmacie - chimie - sciences naturelles. Dans les revues. Chimie biologique / Pharmacie chimique et galénique0797 - Page 777 - Documentation. Notes bibliographiques. Pharmacie - chimie - sciences naturelles. Dans les revues. Chimie biologique / Pharmacie chimique et galénique
0798 - Page 778 - Documentation. Notes bibliographiques. Pharmacie - chimie - sciences naturelles. Dans les revues. Pharmacie chimique et galénique / Antibiotiques / Vitamines et hormones / Toxicologie et hygiène0798 - Page 778 - Documentation. Notes bibliographiques. Pharmacie - chimie - sciences naturelles. Dans les revues. Pharmacie chimique et galénique / Antibiotiques / Vitamines et hormones / Toxicologie et hygiène
0799 - Page 779 - Documentation. Notes bibliographiques. Pharmacie - chimie - sciences naturelles. Dans les revues. Toxicologie et hygiène / Avis et informations. Nominations dans l'ordre de la légion d'honneur / Promotion à l'ordre de la santé publique0799 - Page 779 - Documentation. Notes bibliographiques. Pharmacie - chimie - sciences naturelles. Dans les revues. Toxicologie et hygiène / Avis et informations. Nominations dans l'ordre de la légion d'honneur / Promotion à l'ordre de la santé publique
0800 - Page 780 - Documentation. Avis et informations. Affectations / Décès. [Robin / Peltier] / Promotions0800 - Page 780 - Documentation. Avis et informations. Affectations / Décès. [Robin / Peltier] / Promotions
0801 - Page 781 - Documentation. Avis et informations. Promotions / Tableau des désignations coloniales du 25 juillet 19530801 - Page 781 - Documentation. Avis et informations. Promotions / Tableau des désignations coloniales du 25 juillet 1953
0802 - Page 782 - Documentation. Avis et informations. Tableau des désignations coloniales du 25 juillet 1953 / Tableau des désignations coloniales du 25 août 19530802 - Page 782 - Documentation. Avis et informations. Tableau des désignations coloniales du 25 juillet 1953 / Tableau des désignations coloniales du 25 août 1953
0803 - Page 783 - Documentation. Avis et informations. Tableau des désignations coloniales du 25 août 1953 / Tableau des désignations coloniales du 25 septembre 19530803 - Page 783 - Documentation. Avis et informations. Tableau des désignations coloniales du 25 août 1953 / Tableau des désignations coloniales du 25 septembre 1953
0805 - Page 785 - Documentation. Avis et informations. Tableau des désignations coloniales du 25 septembre 1953 / Concours d'assistanat0805 - Page 785 - Documentation. Avis et informations. Tableau des désignations coloniales du 25 septembre 1953 / Concours d'assistanat
0808 - Page 788 - Sommaire (Suite et fin)0808 - Page 788 - Sommaire (Suite et fin)
0809 - Page 789 - [Page de titre]0809 - Page 789 - [Page de titre]
0811 - Page 791 - Sommaire0811 - Page 791 - Sommaire
0813 - Page 793 - Introduction. Sur la trypanosomiase humaine africaine et sa prophylaxie, par J.-H. Raynal...0813 - Page 793 - Introduction. Sur la trypanosomiase humaine africaine et sa prophylaxie, par J.-H. Raynal...
0819 - Page 799 - La trypanosomiase d'inoculation expérimentale. Réflexions neurologiques et philosophie d'un essai thérapeutique, par P. Gallais...0819 - Page 799 - La trypanosomiase d'inoculation expérimentale. Réflexions neurologiques et philosophie d'un essai thérapeutique, par P. Gallais...
0827 - Page 807 - Etude clinique, biologique, électroencéphalographique, parasitologique, de la trypanosomiase d'inoculation, par P. Gallais avec la collaboration de : R. Cros, A. Pruvost, L. Planques, G. Cardaire, G. Miletto, G. Lévy-Cavalleri, J. Bert, R. Fons. I. Inoculation d'homme à homme à partir d'une souche provenant du L.C.R. d'un suspect0827 - Page 807 - Etude clinique, biologique, électroencéphalographique, parasitologique, de la trypanosomiase d'inoculation, par P. Gallais avec la collaboration de : R. Cros, A. Pruvost, L. Planques, G. Cardaire, G. Miletto, G. Lévy-Cavalleri, J. Bert, R. Fons. I. Inoculation d'homme à homme à partir d'une souche provenant du L.C.R. d'un suspect
0838 - Page 818 - Etude clinique, biologique, électroencéphalographique, parasitologique, de la trypanosomiase d'inoculation, par P. Gallais avec la collaboration de : R. Cros, A. Pruvost, L. Planques, G. Cardaire, G. Miletto, G. Lévy-Cavalleri, J. Bert, R. Fons. I. Inoculation d'homme à homme à partir d'une souche provenant du L.C.R. d'un suspect / II. Série d'inoculations par voie intra-dermique0838 - Page 818 - Etude clinique, biologique, électroencéphalographique, parasitologique, de la trypanosomiase d'inoculation, par P. Gallais avec la collaboration de : R. Cros, A. Pruvost, L. Planques, G. Cardaire, G. Miletto, G. Lévy-Cavalleri, J. Bert, R. Fons. I. Inoculation d'homme à homme à partir d'une souche provenant du L.C.R. d'un suspect / II. Série d'inoculations par voie intra-dermique
0859 - Page 837 - Etude clinique, biologique, électroencéphalographique, parasitologique, de la trypanosomiase d'inoculation, par P. Gallais avec la collaboration de : R. Cros, A. Pruvost, L. Planques, G. Cardaire, G. Miletto, G. Lévy-Cavalleri, J. Bert, R. Fons. II. Série d'inoculations par voie intra-dermique / III. Pathologie comparée0859 - Page 837 - Etude clinique, biologique, électroencéphalographique, parasitologique, de la trypanosomiase d'inoculation, par P. Gallais avec la collaboration de : R. Cros, A. Pruvost, L. Planques, G. Cardaire, G. Miletto, G. Lévy-Cavalleri, J. Bert, R. Fons. II. Série d'inoculations par voie intra-dermique / III. Pathologie comparée
0863 - Page 841 - Etude clinique, biologique, électroencéphalographique, parasitologique, de la trypanosomiase d'inoculation, par P. Gallais avec la collaboration de : R. Cros, A. Pruvost, L. Planques, G. Cardaire, G. Miletto, G. Lévy-Cavalleri, J. Bert, R. Fons. III. Pathologie comparée / IV. Conclusions générales0863 - Page 841 - Etude clinique, biologique, électroencéphalographique, parasitologique, de la trypanosomiase d'inoculation, par P. Gallais avec la collaboration de : R. Cros, A. Pruvost, L. Planques, G. Cardaire, G. Miletto, G. Lévy-Cavalleri, J. Bert, R. Fons. III. Pathologie comparée / IV. Conclusions générales
0866 - Page 844 - Contribution à l'étude des périodes de latence clinique et parasitologique de la trypanosomiase humaine africaine, par P. Gallais..., R. Cros... et E. Arquié...0866 - Page 844 - Contribution à l'étude des périodes de latence clinique et parasitologique de la trypanosomiase humaine africaine, par P. Gallais..., R. Cros... et E. Arquié...
0867 - Page 845 - Contribution à l'étude des périodes de latence clinique et parasitologique de la trypanosomiase humaine africaine, par P. Gallais..., R. Cros... et E. Arquié... I. Les différents aspects des latences de la trypanosomiase humaine africaine0867 - Page 845 - Contribution à l'étude des périodes de latence clinique et parasitologique de la trypanosomiase humaine africaine, par P. Gallais..., R. Cros... et E. Arquié... I. Les différents aspects des latences de la trypanosomiase humaine africaine
0870 - Page 848 - Contribution à l'étude des périodes de latence clinique et parasitologique de la trypanosomiase humaine africaine, par P. Gallais..., R. Cros... et E. Arquié... I. Les différents aspects des latences de la trypanosomiase humaine africaine / II. Existence d'une phase parasitologique inconnue0870 - Page 848 - Contribution à l'étude des périodes de latence clinique et parasitologique de la trypanosomiase humaine africaine, par P. Gallais..., R. Cros... et E. Arquié... I. Les différents aspects des latences de la trypanosomiase humaine africaine / II. Existence d'une phase parasitologique inconnue
0878 - Page 854 - Contribution à l'étude des périodes de latence clinique et parasitologique de la trypanosomiase humaine africaine, par P. Gallais..., R. Cros... et E. Arquié... II. Existence d'une phase parasitologique inconnue / III. La méningo-encéphalite chronique torpide forme possible des latences cliniques0878 - Page 854 - Contribution à l'étude des périodes de latence clinique et parasitologique de la trypanosomiase humaine africaine, par P. Gallais..., R. Cros... et E. Arquié... II. Existence d'une phase parasitologique inconnue / III. La méningo-encéphalite chronique torpide forme possible des latences cliniques
0879 - Page 855 - Contribution à l'étude des périodes de latence clinique et parasitologique de la trypanosomiase humaine africaine, par P. Gallais..., R. Cros... et E. Arquié... III. La méningo-encéphalite chronique torpide forme possible des latences cliniques / Conclusions0879 - Page 855 - Contribution à l'étude des périodes de latence clinique et parasitologique de la trypanosomiase humaine africaine, par P. Gallais..., R. Cros... et E. Arquié... III. La méningo-encéphalite chronique torpide forme possible des latences cliniques / Conclusions
0881 - Page 857 - Trypanosomiase et syphilis. Intérêt du test de Nelson dans la trypanosomiase, par P. Gallais... et J. Ranque... Les fausses réactions0881 - Page 857 - Trypanosomiase et syphilis. Intérêt du test de Nelson dans la trypanosomiase, par P. Gallais... et J. Ranque... Les fausses réactions
0882 - Page 858 - Trypanosomiase et syphilis. Intérêt du test de Nelson dans la trypanosomiase, par P. Gallais... et J. Ranque... Les fausses réactions / Les intrications vraies0882 - Page 858 - Trypanosomiase et syphilis. Intérêt du test de Nelson dans la trypanosomiase, par P. Gallais... et J. Ranque... Les fausses réactions / Les intrications vraies
0883 - Page 859 - Considérations pharmacologiques sur les diamidines et leur utilisation dans la trypanosomiase, par G. Pille... La règle des trois mois dans la chimioprophylaxie de la trypanosomiase0883 - Page 859 - Considérations pharmacologiques sur les diamidines et leur utilisation dans la trypanosomiase, par G. Pille... La règle des trois mois dans la chimioprophylaxie de la trypanosomiase
0885 - Page 861 - Considérations pharmacologiques sur les diamidines et leur utilisation dans la trypanosomiase, par G. Pille... La règle des trois mois dans la chimioprophylaxie de la trypanosomiase / Propriétés générales des amidines / Les diamidines en thérapeutique0885 - Page 861 - Considérations pharmacologiques sur les diamidines et leur utilisation dans la trypanosomiase, par G. Pille... La règle des trois mois dans la chimioprophylaxie de la trypanosomiase / Propriétés générales des amidines / Les diamidines en thérapeutique
0888 - Page 864 - Considérations pharmacologiques sur les diamidines et leur utilisation dans la trypanosomiase, par G. Pille... Les diamidines en thérapeutique / Conservation et toxicité des sels de diamidines0888 - Page 864 - Considérations pharmacologiques sur les diamidines et leur utilisation dans la trypanosomiase, par G. Pille... Les diamidines en thérapeutique / Conservation et toxicité des sels de diamidines
0889 - Page 865 - Considérations pharmacologiques sur les diamidines et leur utilisation dans la trypanosomiase, par G. Pille... Conservation et toxicité des sels de diamidines / Le dosage des diamidines aromatiques0889 - Page 865 - Considérations pharmacologiques sur les diamidines et leur utilisation dans la trypanosomiase, par G. Pille... Conservation et toxicité des sels de diamidines / Le dosage des diamidines aromatiques
0890 - Page 866 - Considérations pharmacologiques sur les diamidines et leur utilisation dans la trypanosomiase, par G. Pille... Le dosage des diamidines aromatiques / Rétention, stockage et élimination des diamidines aromatiques0890 - Page 866 - Considérations pharmacologiques sur les diamidines et leur utilisation dans la trypanosomiase, par G. Pille... Le dosage des diamidines aromatiques / Rétention, stockage et élimination des diamidines aromatiques
0891 - Page 867 - Considérations pharmacologiques sur les diamidines et leur utilisation dans la trypanosomiase, par G. Pille... Rétention, stockage et élimination des diamidines aromatiques / Prévention chimique et immunité0891 - Page 867 - Considérations pharmacologiques sur les diamidines et leur utilisation dans la trypanosomiase, par G. Pille... Rétention, stockage et élimination des diamidines aromatiques / Prévention chimique et immunité
0894 - Page 870 - Sur le comportement du rat après une ou plusieurs inoculations de «Tr. Gambiense» pratiquées sous le couvert de doses variables de dimethane sulfonate du diamidino-diphenoxypentane, par L. Launoy...0894 - Page 870 - Sur le comportement du rat après une ou plusieurs inoculations de «Tr. Gambiense» pratiquées sous le couvert de doses variables de dimethane sulfonate du diamidino-diphenoxypentane, par L. Launoy...
0897 - Page 873 - Sur le comportement du rat après une ou plusieurs inoculations de «Tr. Gambiense» pratiquées sous le couvert de doses variables de dimethane sulfonate du diamidino-diphenoxypentane, par L. Launoy... Lecture des tableaux0897 - Page 873 - Sur le comportement du rat après une ou plusieurs inoculations de «Tr. Gambiense» pratiquées sous le couvert de doses variables de dimethane sulfonate du diamidino-diphenoxypentane, par L. Launoy... Lecture des tableaux
0903 - Page 879 - Sur le comportement du rat après une ou plusieurs inoculations de «Tr. Gambiense» pratiquées sous le couvert de doses variables de dimethane sulfonate du diamidino-diphenoxypentane, par L. Launoy... Lecture des tableaux / Résumé et conclusions0903 - Page 879 - Sur le comportement du rat après une ou plusieurs inoculations de «Tr. Gambiense» pratiquées sous le couvert de doses variables de dimethane sulfonate du diamidino-diphenoxypentane, par L. Launoy... Lecture des tableaux / Résumé et conclusions
0905 - Page 881 - La chimio-prophylaxie de la trypanosomiase humaine en A.O.F. de 1947 à 1953, par A. Masseguin... A. Principes0905 - Page 881 - La chimio-prophylaxie de la trypanosomiase humaine en A.O.F. de 1947 à 1953, par A. Masseguin... A. Principes
0906 - Page 882 - La chimio-prophylaxie de la trypanosomiase humaine en A.O.F. de 1947 à 1953, par A. Masseguin... A. Principes / B. Premiers essais en A.O.F.0906 - Page 882 - La chimio-prophylaxie de la trypanosomiase humaine en A.O.F. de 1947 à 1953, par A. Masseguin... A. Principes / B. Premiers essais en A.O.F.
0907 - Page 883 - La chimio-prophylaxie de la trypanosomiase humaine en A.O.F. de 1947 à 1953, par A. Masseguin... C. Développement de la chimio-prophylaxie0907 - Page 883 - La chimio-prophylaxie de la trypanosomiase humaine en A.O.F. de 1947 à 1953, par A. Masseguin... C. Développement de la chimio-prophylaxie
0908 - Page 884 - La chimio-prophylaxie de la trypanosomiase humaine en A.O.F. de 1947 à 1953, par A. Masseguin... C. Développement de la chimio-prophylaxie / D. Technique de la chimio-prophylaxie0908 - Page 884 - La chimio-prophylaxie de la trypanosomiase humaine en A.O.F. de 1947 à 1953, par A. Masseguin... C. Développement de la chimio-prophylaxie / D. Technique de la chimio-prophylaxie
0909 - Page 885 - La chimio-prophylaxie de la trypanosomiase humaine en A.O.F. de 1947 à 1953, par A. Masseguin... D. Technique de la chimio-prophylaxie / E. Rythme de la prévention0909 - Page 885 - La chimio-prophylaxie de la trypanosomiase humaine en A.O.F. de 1947 à 1953, par A. Masseguin... D. Technique de la chimio-prophylaxie / E. Rythme de la prévention
0910 - Page 886 - La chimio-prophylaxie de la trypanosomiase humaine en A.O.F. de 1947 à 1953, par A. Masseguin... E. Rythme de la prévention / F. Les résultats0910 - Page 886 - La chimio-prophylaxie de la trypanosomiase humaine en A.O.F. de 1947 à 1953, par A. Masseguin... E. Rythme de la prévention / F. Les résultats
0912 - Page 888 - La chimio-prophylaxie de la trypanosomiase humaine en A.O.F. de 1947 à 1953, par A. Masseguin... F. Les résultats / Conclusions. (Travail du Service général d'hygiène mobile et de prophylaxie de l'A.O.F.)0912 - Page 888 - La chimio-prophylaxie de la trypanosomiase humaine en A.O.F. de 1947 à 1953, par A. Masseguin... F. Les résultats / Conclusions. (Travail du Service général d'hygiène mobile et de prophylaxie de l'A.O.F.)
0913 - Page 889 - Essai de codification de la prophylaxie chimique de la maladie du sommeil, par A. J. Lotte. I. Préambule / II. Opérations de chimio-prophylaxie0913 - Page 889 - Essai de codification de la prophylaxie chimique de la maladie du sommeil, par A. J. Lotte. I. Préambule / II. Opérations de chimio-prophylaxie
0926 - Page 902 - Essai de codification de la prophylaxie chimique de la maladie du sommeil, par A. J. Lotte. II. Opérations de chimio-prophylaxie / III. Interprétation des résultats0926 - Page 902 - Essai de codification de la prophylaxie chimique de la maladie du sommeil, par A. J. Lotte. II. Opérations de chimio-prophylaxie / III. Interprétation des résultats
0940 - Page 916 - Essai de codification de la prophylaxie chimique de la maladie du sommeil, par A. J. Lotte. III. Interprétation des résultats / IV. Bases de la chimio-prophylaxie pratique0940 - Page 916 - Essai de codification de la prophylaxie chimique de la maladie du sommeil, par A. J. Lotte. III. Interprétation des résultats / IV. Bases de la chimio-prophylaxie pratique
0945 - Page 921 - Essai de codification de la prophylaxie chimique de la maladie du sommeil, par A. J. Lotte. Conclusion0945 - Page 921 - Essai de codification de la prophylaxie chimique de la maladie du sommeil, par A. J. Lotte. Conclusion
0973 - Page 949 - Incidence de la lomidinisation sur la régression de la trypanosomiase au Cameroun Français, par R. Beaudiment... et P. Leproux...0973 - Page 949 - Incidence de la lomidinisation sur la régression de la trypanosomiase au Cameroun Français, par R. Beaudiment... et P. Leproux...
0981 - Page 957 - [Page de titre]0981 - Page 957 - [Page de titre]
0983 - Page 959 - Sommaire (Suite page 1124) / Abonnements0983 - Page 959 - Sommaire (Suite page 1124) / Abonnements
0985 - Page 961 - Mémoires et communications. Intérêt clinique des perturbations de l'équilibre protidique en pathologie tropicale. Considérations sur la «dysprotéinémie africaine», par G. Charmot..., J. Linhard..., P. Giudicelli... et P. Trapet... I. Exposé et critique des techniques utilisées0985 - Page 961 - Mémoires et communications. Intérêt clinique des perturbations de l'équilibre protidique en pathologie tropicale. Considérations sur la «dysprotéinémie africaine», par G. Charmot..., J. Linhard..., P. Giudicelli... et P. Trapet... I. Exposé et critique des techniques utilisées
0989 - Page 965 - Mémoires et communications. Intérêt clinique des perturbations de l'équilibre protidique en pathologie tropicale. Considérations sur la «dysprotéinémie africaine», par G. Charmot..., J. Linhard..., P. Giudicelli... et P. Trapet... I. Exposé et critique des techniques utilisées / II. Résultats obtenus chez l'Africain présumé sain0989 - Page 965 - Mémoires et communications. Intérêt clinique des perturbations de l'équilibre protidique en pathologie tropicale. Considérations sur la «dysprotéinémie africaine», par G. Charmot..., J. Linhard..., P. Giudicelli... et P. Trapet... I. Exposé et critique des techniques utilisées / II. Résultats obtenus chez l'Africain présumé sain
0991 - Page 967 - Mémoires et communications. Intérêt clinique des perturbations de l'équilibre protidique en pathologie tropicale. Considérations sur la «dysprotéinémie africaine», par G. Charmot..., J. Linhard..., P. Giudicelli... et P. Trapet... II. Résultats obtenus chez l'Africain présumé sain / III. Résultats obtenus au cours de diverses affections0991 - Page 967 - Mémoires et communications. Intérêt clinique des perturbations de l'équilibre protidique en pathologie tropicale. Considérations sur la «dysprotéinémie africaine», par G. Charmot..., J. Linhard..., P. Giudicelli... et P. Trapet... II. Résultats obtenus chez l'Africain présumé sain / III. Résultats obtenus au cours de diverses affections
0997 - Page 973 - Mémoires et communications. Intérêt clinique des perturbations de l'équilibre protidique en pathologie tropicale. Considérations sur la «dysprotéinémie africaine», par G. Charmot..., J. Linhard..., P. Giudicelli... et P. Trapet... III. Résultats obtenus au cours de diverses affections / Commentaires d'ensemble / Raisons des différences d'équilibre protéique entre l'Européen et l'Africain0997 - Page 973 - Mémoires et communications. Intérêt clinique des perturbations de l'équilibre protidique en pathologie tropicale. Considérations sur la «dysprotéinémie africaine», par G. Charmot..., J. Linhard..., P. Giudicelli... et P. Trapet... III. Résultats obtenus au cours de diverses affections / Commentaires d'ensemble / Raisons des différences d'équilibre protéique entre l'Européen et l'Africain
1001 - Page 977 - Mémoires et communications. Exploration des protéines sériques. Application aux sérums d'Africains de Dakar, par F. Busson..., P. Trapet... et Mlle F. Lecocq... Fractionnement par précipitation saline1001 - Page 977 - Mémoires et communications. Exploration des protéines sériques. Application aux sérums d'Africains de Dakar, par F. Busson..., P. Trapet... et Mlle F. Lecocq... Fractionnement par précipitation saline
1002 - Page 978 - Mémoires et communications. Exploration des protéines sériques. Application aux sérums d'Africains de Dakar, par F. Busson..., P. Trapet... et Mlle F. Lecocq... Fractionnement par précipitation saline / Fractionnement par précipitation alcoolique1002 - Page 978 - Mémoires et communications. Exploration des protéines sériques. Application aux sérums d'Africains de Dakar, par F. Busson..., P. Trapet... et Mlle F. Lecocq... Fractionnement par précipitation saline / Fractionnement par précipitation alcoolique
1003 - Page 979 - Mémoires et communications. Exploration des protéines sériques. Application aux sérums d'Africains de Dakar, par F. Busson..., P. Trapet... et Mlle F. Lecocq... Fractionnement par précipitation alcoolique / Fractionnement immunochimique1003 - Page 979 - Mémoires et communications. Exploration des protéines sériques. Application aux sérums d'Africains de Dakar, par F. Busson..., P. Trapet... et Mlle F. Lecocq... Fractionnement par précipitation alcoolique / Fractionnement immunochimique
1004 - Page 980 - Mémoires et communications. Exploration des protéines sériques. Application aux sérums d'Africains de Dakar, par F. Busson..., P. Trapet... et Mlle F. Lecocq... Fractionnement immunochimique / Techniques d'analyse. L'électrophorèse1004 - Page 980 - Mémoires et communications. Exploration des protéines sériques. Application aux sérums d'Africains de Dakar, par F. Busson..., P. Trapet... et Mlle F. Lecocq... Fractionnement immunochimique / Techniques d'analyse. L'électrophorèse
1010 - Page 986 - Mémoires et communications. Exploration des protéines sériques. Application aux sérums d'Africains de Dakar, par F. Busson..., P. Trapet... et Mlle F. Lecocq... Techniques d'analyse. L'électrophorèse / Spectrophotométrie des protéines sériques dans l'ultra-violet1010 - Page 986 - Mémoires et communications. Exploration des protéines sériques. Application aux sérums d'Africains de Dakar, par F. Busson..., P. Trapet... et Mlle F. Lecocq... Techniques d'analyse. L'électrophorèse / Spectrophotométrie des protéines sériques dans l'ultra-violet
1016 - Page 992 - Mémoires et communications. Exploration des protéines sériques. Application aux sérums d'Africains de Dakar, par F. Busson..., P. Trapet... et Mlle F. Lecocq... Techniques d'analyse. Spectrophotométrie des protéines sériques dans l'ultra-violet / Les différentes fractions des protéines sériques. Rôle, biosynthèse1016 - Page 992 - Mémoires et communications. Exploration des protéines sériques. Application aux sérums d'Africains de Dakar, par F. Busson..., P. Trapet... et Mlle F. Lecocq... Techniques d'analyse. Spectrophotométrie des protéines sériques dans l'ultra-violet / Les différentes fractions des protéines sériques. Rôle, biosynthèse
1017 - Page 993 - Mémoires et communications. Exploration des protéines sériques. Application aux sérums d'Africains de Dakar, par F. Busson..., P. Trapet... et Mlle F. Lecocq... Les différentes fractions des protéines sériques. Rôle, biosynthèse / Taux normaux1017 - Page 993 - Mémoires et communications. Exploration des protéines sériques. Application aux sérums d'Africains de Dakar, par F. Busson..., P. Trapet... et Mlle F. Lecocq... Les différentes fractions des protéines sériques. Rôle, biosynthèse / Taux normaux
1018 - Page 994 - Mémoires et communications. Exploration des protéines sériques. Application aux sérums d'Africains de Dakar, par F. Busson..., P. Trapet... et Mlle F. Lecocq... Taux normaux / Résultats obtenus1018 - Page 994 - Mémoires et communications. Exploration des protéines sériques. Application aux sérums d'Africains de Dakar, par F. Busson..., P. Trapet... et Mlle F. Lecocq... Taux normaux / Résultats obtenus
1021 - Page 997 - Mémoires et communications. Exploration des protéines sériques. Application aux sérums d'Africains de Dakar, par F. Busson..., P. Trapet... et Mlle F. Lecocq... Résultats obtenus / Conclusions1021 - Page 997 - Mémoires et communications. Exploration des protéines sériques. Application aux sérums d'Africains de Dakar, par F. Busson..., P. Trapet... et Mlle F. Lecocq... Résultats obtenus / Conclusions
1023 - Page 999 - Mémoires et communications. Exploration des protéines sériques. Application aux sérums d'Africains de Dakar, par F. Busson..., P. Trapet... et Mlle F. Lecocq... Conclusions. [Travail de l'organisme d'enquête pour l'étude anthropologique (alimentation et nutrition) des populations indigènes de l'A.O.F.]1023 - Page 999 - Mémoires et communications. Exploration des protéines sériques. Application aux sérums d'Africains de Dakar, par F. Busson..., P. Trapet... et Mlle F. Lecocq... Conclusions. [Travail de l'organisme d'enquête pour l'étude anthropologique (alimentation et nutrition) des populations indigènes de l'A.O.F.]
1026 - Page 1002 - Mémoires et communications. Traitement de la lèpre par une nouvelle sulfone disubstituée. Son élimination dans les milieux biologiques, par R. Touzin... R. Merland...1026 - Page 1002 - Mémoires et communications. Traitement de la lèpre par une nouvelle sulfone disubstituée. Son élimination dans les milieux biologiques, par R. Touzin... R. Merland...
1032 - Page 1008 - Mémoires et communications. Traitement de la lèpre par une nouvelle sulfone disubstituée. Son élimination dans les milieux biologiques, par R. Touzin... R. Merland... A. Concentration de 2196 dans le sang1032 - Page 1008 - Mémoires et communications. Traitement de la lèpre par une nouvelle sulfone disubstituée. Son élimination dans les milieux biologiques, par R. Touzin... R. Merland... A. Concentration de 2196 dans le sang
1039 - Page 1015 - Mémoires et communications. Traitement de la lèpre par une nouvelle sulfone disubstituée. Son élimination dans les milieux biologiques, par R. Touzin... R. Merland... A. Concentration de 2196 dans le sang / B. Concentration de 2196 dans les urines1039 - Page 1015 - Mémoires et communications. Traitement de la lèpre par une nouvelle sulfone disubstituée. Son élimination dans les milieux biologiques, par R. Touzin... R. Merland... A. Concentration de 2196 dans le sang / B. Concentration de 2196 dans les urines
1042 - Page 1018 - Mémoires et communications. Traitement de la lèpre par une nouvelle sulfone disubstituée. Son élimination dans les milieux biologiques, par R. Touzin... R. Merland... B. Concentration de 2196 dans les urines / C. Concentration de 2196 dans le lait1042 - Page 1018 - Mémoires et communications. Traitement de la lèpre par une nouvelle sulfone disubstituée. Son élimination dans les milieux biologiques, par R. Touzin... R. Merland... B. Concentration de 2196 dans les urines / C. Concentration de 2196 dans le lait
1044 - Page 1020 - Mémoires et communications. Traitement de la lèpre par une nouvelle sulfone disubstituée. Son élimination dans les milieux biologiques, par R. Touzin... R. Merland... C. Concentration de 2196 dans le lait / Présentation / Posologie et conduite du traitement / Les résultats1044 - Page 1020 - Mémoires et communications. Traitement de la lèpre par une nouvelle sulfone disubstituée. Son élimination dans les milieux biologiques, par R. Touzin... R. Merland... C. Concentration de 2196 dans le lait / Présentation / Posologie et conduite du traitement / Les résultats
1046 - Page 1022 - Mémoires et communications. Traitement de la lèpre par une nouvelle sulfone disubstituée. Son élimination dans les milieux biologiques, par R. Touzin... R. Merland... Les résultats / Tolérance / Incidents1046 - Page 1022 - Mémoires et communications. Traitement de la lèpre par une nouvelle sulfone disubstituée. Son élimination dans les milieux biologiques, par R. Touzin... R. Merland... Les résultats / Tolérance / Incidents
1047 - Page 1023 - Mémoires et communications. Traitement de la lèpre par une nouvelle sulfone disubstituée. Son élimination dans les milieux biologiques, par R. Touzin... R. Merland... Réactions léprotiques / Conclusions1047 - Page 1023 - Mémoires et communications. Traitement de la lèpre par une nouvelle sulfone disubstituée. Son élimination dans les milieux biologiques, par R. Touzin... R. Merland... Réactions léprotiques / Conclusions
1049 - Page 1025 - Mémoires et communications. Aspects nouveaux du problème de la lèpre. Thérapeutique sulfonée et formations sanitaires d'isolement, par H. Floch...1049 - Page 1025 - Mémoires et communications. Aspects nouveaux du problème de la lèpre. Thérapeutique sulfonée et formations sanitaires d'isolement, par H. Floch...
1054 - Page 1030 - Mémoires et communications. Contribution au dosage des sulfones, par R. Merland...1054 - Page 1030 - Mémoires et communications. Contribution au dosage des sulfones, par R. Merland...
1059 - Page 1035 - Mémoires et communications. Contribution au dosage des sulfones, par R. Merland... Nouvelle technique de dosage1059 - Page 1035 - Mémoires et communications. Contribution au dosage des sulfones, par R. Merland... Nouvelle technique de dosage
1065 - Page 1041 - Mémoires et communications. Sur un cas de cancer primitif du foie, par R. Mazaud... et R. Cros... I. Historique clinique1065 - Page 1041 - Mémoires et communications. Sur un cas de cancer primitif du foie, par R. Mazaud... et R. Cros... I. Historique clinique
1066 - Page 1042 - Mémoires et communications. Sur un cas de cancer primitif du foie, par R. Mazaud... et R. Cros... I. Historique clinique / II. Autopsie1066 - Page 1042 - Mémoires et communications. Sur un cas de cancer primitif du foie, par R. Mazaud... et R. Cros... I. Historique clinique / II. Autopsie
1067 - Page 1043 - Mémoires et communications. Sur un cas de cancer primitif du foie, par R. Mazaud... et R. Cros... II. Autopsie / III. Examen histopathologique1067 - Page 1043 - Mémoires et communications. Sur un cas de cancer primitif du foie, par R. Mazaud... et R. Cros... II. Autopsie / III. Examen histopathologique
1069 - Page 1045 - Mémoires et communications. Sur un cas de cancer primitif du foie, par R. Mazaud... et R. Cros... III. Examen histopathologique / IV. Commentaires1069 - Page 1045 - Mémoires et communications. Sur un cas de cancer primitif du foie, par R. Mazaud... et R. Cros... III. Examen histopathologique / IV. Commentaires
1077 - Page 1051 - Mémoires et communications. Traitement de l'amibiase intestinale aiguë en Indochine par le bis-(parsénophénylamino) 1-2 éthane (bemarsal), par J. Canet et F. Chestin...1077 - Page 1051 - Mémoires et communications. Traitement de l'amibiase intestinale aiguë en Indochine par le bis-(parsénophénylamino) 1-2 éthane (bemarsal), par J. Canet et F. Chestin...
1080 - Page 1054 - Mémoires et communications. Une épidémie de tuberculose en milieu militaire, par J. Soulage... et P. Caubet... Enquête épidémiologique1080 - Page 1054 - Mémoires et communications. Une épidémie de tuberculose en milieu militaire, par J. Soulage... et P. Caubet... Enquête épidémiologique
1082 - Page 1056 - Mémoires et communications. Une épidémie de tuberculose en milieu militaire, par J. Soulage... et P. Caubet... Enquête épidémiologique / Formes cliniques1082 - Page 1056 - Mémoires et communications. Une épidémie de tuberculose en milieu militaire, par J. Soulage... et P. Caubet... Enquête épidémiologique / Formes cliniques
1083 - Page 1057 - Mémoires et communications. Une épidémie de tuberculose en milieu militaire, par J. Soulage... et P. Caubet... Formes cliniques / Conclusions épidémiologiques1083 - Page 1057 - Mémoires et communications. Une épidémie de tuberculose en milieu militaire, par J. Soulage... et P. Caubet... Formes cliniques / Conclusions épidémiologiques
1085 - Page 1059 - Mémoires et communications. Traitement de la tuberculose pulmonaire commune à l'hôpital de Libreville. Emploi de l'hydrazide de l'acide isonicotinique en association, par L. Lalouel...1085 - Page 1059 - Mémoires et communications. Traitement de la tuberculose pulmonaire commune à l'hôpital de Libreville. Emploi de l'hydrazide de l'acide isonicotinique en association, par L. Lalouel...
1086 - Page 1060 - Mémoires et communications. Traitement de la tuberculose pulmonaire commune à l'hôpital de Libreville. Emploi de l'hydrazide de l'acide isonicotinique en association, par L. Lalouel... Conduite du traitement1086 - Page 1060 - Mémoires et communications. Traitement de la tuberculose pulmonaire commune à l'hôpital de Libreville. Emploi de l'hydrazide de l'acide isonicotinique en association, par L. Lalouel... Conduite du traitement
1090 - Page 1064 - Mémoires et communications. Traitement de la tuberculose pulmonaire commune à l'hôpital de Libreville. Emploi de l'hydrazide de l'acide isonicotinique en association, par L. Lalouel... Conduite du traitement / Bilan général1090 - Page 1064 - Mémoires et communications. Traitement de la tuberculose pulmonaire commune à l'hôpital de Libreville. Emploi de l'hydrazide de l'acide isonicotinique en association, par L. Lalouel... Conduite du traitement / Bilan général
1092 - Page 1066 - Mémoires et communications. A propos des tumeurs sacro-coccygiennes du nouveau-né. Une tumeur rare : un chordome sacro-coccygien, par J. L'Hoiry...1092 - Page 1066 - Mémoires et communications. A propos des tumeurs sacro-coccygiennes du nouveau-né. Une tumeur rare : un chordome sacro-coccygien, par J. L'Hoiry...
1094 - Page 1068 - Variétés. Aménagement d'un laboratoire d'analyses biologiques par techniques physiques en milieu tropical, par F. Busson...1094 - Page 1068 - Variétés. Aménagement d'un laboratoire d'analyses biologiques par techniques physiques en milieu tropical, par F. Busson...
1099 - Page 1073 - Documentation. Traduction du «Tropical diseases bulletin». Leishmaniose1099 - Page 1073 - Documentation. Traduction du «Tropical diseases bulletin». Leishmaniose
1103 - Page 1077 - Documentation. Traduction du «Tropical diseases bulletin». Peste1103 - Page 1077 - Documentation. Traduction du «Tropical diseases bulletin». Peste
1108 - Page 1082 - Documentation. Traduction du «Tropical diseases bulletin». Peste / Analyses. Médecine - chirurgie - spécialités. Pasteur-Vallery-Radot, Milliez (P.), Larabe (Cl.), Hazard (J.) et Mlle Truffert (J.). - Etude de la kaliémie au cours de l'insuffisance rénale (d'après 54 cas). Bull. et mémoire Société médicale hôpitaux de Paris...1108 - Page 1082 - Documentation. Traduction du «Tropical diseases bulletin». Peste / Analyses. Médecine - chirurgie - spécialités. Pasteur-Vallery-Radot, Milliez (P.), Larabe (Cl.), Hazard (J.) et Mlle Truffert (J.). - Etude de la kaliémie au cours de l'insuffisance rénale (d'après 54 cas). Bull. et mémoire Société médicale hôpitaux de Paris...
1109 - Page 1083 - Documentation. Analyses. Médecine - chirurgie - spécialités. Pasteur-Vallery-Radot, Milliez (P.), Larabe (Cl.), Hazard (J.) et Mlle Truffert (J.). - Etude de la kaliémie au cours de l'insuffisance rénale (d'après 54 cas). Bull. et mémoire Société médicale hôpitaux de Paris... / Camelin (A.) et coll. - Un impératif thérapeutique : la correction des perturbations électrolytiques plasmatiques en pratique médico-chirurgicale. - Sté de méd. milit. Fse...1109 - Page 1083 - Documentation. Analyses. Médecine - chirurgie - spécialités. Pasteur-Vallery-Radot, Milliez (P.), Larabe (Cl.), Hazard (J.) et Mlle Truffert (J.). - Etude de la kaliémie au cours de l'insuffisance rénale (d'après 54 cas). Bull. et mémoire Société médicale hôpitaux de Paris... / Camelin (A.) et coll. - Un impératif thérapeutique : la correction des perturbations électrolytiques plasmatiques en pratique médico-chirurgicale. - Sté de méd. milit. Fse...
1110 - Page 1084 - Documentation. Analyses. Médecine - chirurgie - spécialités. Camelin (A.) et coll. - Un impératif thérapeutique : la correction des perturbations électrolytiques plasmatiques en pratique médico-chirurgicale. - Sté de méd. milit. Fse... / Sarrouy (Ch.). - La dystrophie nutritionnelle oedémateuse. Algérie médicale... / Notes bibliographiques. Médecine - chirurgie - spécialités. I. Pathologie exotique1110 - Page 1084 - Documentation. Analyses. Médecine - chirurgie - spécialités. Camelin (A.) et coll. - Un impératif thérapeutique : la correction des perturbations électrolytiques plasmatiques en pratique médico-chirurgicale. - Sté de méd. milit. Fse... / Sarrouy (Ch.). - La dystrophie nutritionnelle oedémateuse. Algérie médicale... / Notes bibliographiques. Médecine - chirurgie - spécialités. I. Pathologie exotique
1121 - Page 1095 - Documentation. Notes bibliographiques. Médecine - chirurgie - spécialités. I. Pathologie exotique / II. Médecine sous les tropiques1121 - Page 1095 - Documentation. Notes bibliographiques. Médecine - chirurgie - spécialités. I. Pathologie exotique / II. Médecine sous les tropiques
1123 - Page 1097 - Documentation. Notes bibliographiques. Médecine - chirurgie - spécialités. II. Médecine sous les tropiques / Pharmacie - chimie - sciences naturelles. Dans les revues. Chimie analytique1123 - Page 1097 - Documentation. Notes bibliographiques. Médecine - chirurgie - spécialités. II. Médecine sous les tropiques / Pharmacie - chimie - sciences naturelles. Dans les revues. Chimie analytique
1124 - Page 1098 - Documentation. Notes bibliographiques. Pharmacie - chimie - sciences naturelles. Dans les revues. Chimie analytique / Chimie biologique et nutrition1124 - Page 1098 - Documentation. Notes bibliographiques. Pharmacie - chimie - sciences naturelles. Dans les revues. Chimie analytique / Chimie biologique et nutrition
1125 - Page 1099 - Documentation. Notes bibliographiques. Pharmacie - chimie - sciences naturelles. Dans les revues. Chimie biologique et nutrition / Toxicologie et hygiène / Pharmacie chimique / Thérapeutique / Histoire naturelle1125 - Page 1099 - Documentation. Notes bibliographiques. Pharmacie - chimie - sciences naturelles. Dans les revues. Chimie biologique et nutrition / Toxicologie et hygiène / Pharmacie chimique / Thérapeutique / Histoire naturelle
1126 - Page 1100 - Documentation. Avis et informations. Distinctions1126 - Page 1100 - Documentation. Avis et informations. Distinctions
1128 - Page 1102 - Documentation. Avis et informations. Nominations / Tableau des désignations coloniales du 25 octobre 19531128 - Page 1102 - Documentation. Avis et informations. Nominations / Tableau des désignations coloniales du 25 octobre 1953
1130 - Page 1104 - Documentation. Avis et informations. Tableau des désignations coloniales du 25 novembre 19531130 - Page 1104 - Documentation. Avis et informations. Tableau des désignations coloniales du 25 novembre 1953
1131 - Page 1105 - Documentation. Avis et informations. Tableau des désignations coloniales du 25 novembre 1953 / Tableau d'avancement de 19541131 - Page 1105 - Documentation. Avis et informations. Tableau des désignations coloniales du 25 novembre 1953 / Tableau d'avancement de 1954
1132 - Page 1106 - Documentation. Avis et informations. Tableau d'avancement de 1954 / Tableau des désignations coloniales du 25 décembre 19531132 - Page 1106 - Documentation. Avis et informations. Tableau d'avancement de 1954 / Tableau des désignations coloniales du 25 décembre 1953
1133 - Page 1107 - Documentation. Avis et informations. Tableau des désignations coloniales du 25 décembre 1953 / Concours du service de santé des troupes coloniales année 1953, 2e session1133 - Page 1107 - Documentation. Avis et informations. Tableau des désignations coloniales du 25 décembre 1953 / Concours du service de santé des troupes coloniales année 1953, 2e session
1134 - Page 1108 - Documentation. Avis et informations. Concours du service de santé des troupes coloniales année 1953, 2e session / Organisation des concours scientifiques du service de santé des troupes coloniales pour l'année 1954 (Assistanat des hôpitaux coloniaux)1134 - Page 1108 - Documentation. Avis et informations. Concours du service de santé des troupes coloniales année 1953, 2e session / Organisation des concours scientifiques du service de santé des troupes coloniales pour l'année 1954 (Assistanat des hôpitaux coloniaux)
1135 - Page 1109 - Documentation. Avis et informations. Organisation des concours scientifiques du service de santé des troupes coloniales pour l'année 1954 (Assistanat des hôpitaux coloniaux) / Décès [Génevray Jacques] / Communications1135 - Page 1109 - Documentation. Avis et informations. Organisation des concours scientifiques du service de santé des troupes coloniales pour l'année 1954 (Assistanat des hôpitaux coloniaux) / Décès [Génevray Jacques] / Communications
1137 - I - Tables de l'année 1953. I. Table des matières1137 - I - Tables de l'année 1953. I. Table des matières
1142 - VI - Tables de l'année 1953. I. Table des matières / II. Table des auteurs1142 - VI - Tables de l'année 1953. I. Table des matières / II. Table des auteurs
1150 - Page sans numérotation - Sommaire (Suite et fin)1150 - Page sans numérotation - Sommaire (Suite et fin)