Aller au contenu principal

Numerabilis


Paris médical : la semaine du clinicien, 1938, n°109, partie médicale

Classe de ressource
Periodical
  • DESCRIPTION
  • VOIR PLUS
  • PARCOURIR
Identifiant
ark:/13685/111502x1938x109
Titre
Paris médical : la semaine du clinicien, 1938, n°109, partie médicale
Date
1938
Éditeur
Paris : J.-B. Baillière et Fils
Siècle
XXe siècle
Format
Nombre de vues : 516
Cote du document
111502, 1938, n°109
Propriétaire
Université Paris Cité. BIU Santé Médecine
Licence
Licence Ouverte
Table des matières
0001 - Page sans numérotation - [Page de faux-titre]0001 - Page sans numérotation - [Page de faux-titre]
0003 - Page sans numérotation - [Page de titre]0003 - Page sans numérotation - [Page de titre]
0005 - I - Table alphabétique (Partie médicale, tome CIX). Juillet 1938 à décembre 19380005 - I - Table alphabétique (Partie médicale, tome CIX). Juillet 1938 à décembre 1938
0013 - Page 1 - Revue annuelle. Les maladies de la nutrition en 1938. Diabète - pancréas - insuline, par F. Rathery et J. Turiaf. Étude clinique. Hérédité. Prédisposition0013 - Page 1 - Revue annuelle. Les maladies de la nutrition en 1938. Diabète - pancréas - insuline, par F. Rathery et J. Turiaf. Étude clinique. Hérédité. Prédisposition
0018 - Page 6 - Revue annuelle. Les maladies de la nutrition en 1938. Diabète - pancréas - insuline, par F. Rathery et J. Turiaf. Étude clinique. Hérédité. Prédisposition / Étude expérimentale. Pancréas. Insuline0018 - Page 6 - Revue annuelle. Les maladies de la nutrition en 1938. Diabète - pancréas - insuline, par F. Rathery et J. Turiaf. Étude clinique. Hérédité. Prédisposition / Étude expérimentale. Pancréas. Insuline
0019 - Page 7 - Revue annuelle. Les maladies de la nutrition en 1938. Diabète - pancréas - insuline, par F. Rathery et J. Turiaf. Étude expérimentale. Pancréas. Insuline / Étude thérapeutique0019 - Page 7 - Revue annuelle. Les maladies de la nutrition en 1938. Diabète - pancréas - insuline, par F. Rathery et J. Turiaf. Étude expérimentale. Pancréas. Insuline / Étude thérapeutique
0021 - Page 9 - La cure de légumes verts et son mode d'action dans le traitement du diabète, par P. Mauriac, R. Saric, G. Dumon / Technique et résultats personnels0021 - Page 9 - La cure de légumes verts et son mode d'action dans le traitement du diabète, par P. Mauriac, R. Saric, G. Dumon / Technique et résultats personnels
0022 - Page 10 - La cure de légumes verts et son mode d'action dans le traitement du diabète, par P. Mauriac, R. Saric, G. Dumon. Technique et résultats personnels / Résultats généraux / Indications de la cure0022 - Page 10 - La cure de légumes verts et son mode d'action dans le traitement du diabète, par P. Mauriac, R. Saric, G. Dumon. Technique et résultats personnels / Résultats généraux / Indications de la cure
0023 - Page 11 - La cure de légumes verts et son mode d'action dans le traitement du diabète, par P. Mauriac, R. Saric, G. Dumon. Indications de la cure / Mécanisme d'action de la cure de légumes verts0023 - Page 11 - La cure de légumes verts et son mode d'action dans le traitement du diabète, par P. Mauriac, R. Saric, G. Dumon. Indications de la cure / Mécanisme d'action de la cure de légumes verts
0026 - Page 14 - La cure de légumes verts et son mode d'action dans le traitement du diabète, par P. Mauriac, R. Saric, G. Dumon. Mécanisme d'action de la cure de légumes verts / Recherches personnelles0026 - Page 14 - La cure de légumes verts et son mode d'action dans le traitement du diabète, par P. Mauriac, R. Saric, G. Dumon. Mécanisme d'action de la cure de légumes verts / Recherches personnelles
0027 - Page 15 - La cure de légumes verts et son mode d'action dans le traitement du diabète, par P. Mauriac, R. Saric, G. Dumon. Recherches personnelles / Conclusion0027 - Page 15 - La cure de légumes verts et son mode d'action dans le traitement du diabète, par P. Mauriac, R. Saric, G. Dumon. Recherches personnelles / Conclusion
0030 - Page 18 - Contribution à l'étude du pronostic des dystrophies alimentaires. Les paravitaminoses, par le Pr G. Mouriquand0030 - Page 18 - Contribution à l'étude du pronostic des dystrophies alimentaires. Les paravitaminoses, par le Pr G. Mouriquand
0031 - Page 19 - Contribution à l'étude du pronostic des dystrophies alimentaires. Les paravitaminoses, par le Pr G. Mouriquand / Paravitaminose liée à l'avitaminose C aiguë0031 - Page 19 - Contribution à l'étude du pronostic des dystrophies alimentaires. Les paravitaminoses, par le Pr G. Mouriquand / Paravitaminose liée à l'avitaminose C aiguë
0032 - Page 20 - Contribution à l'étude du pronostic des dystrophies alimentaires. Les paravitaminoses, par le Pr G. Mouriquand. Paravitaminose liée à l'avitaminose C aiguë / Paravitaminose liée à l'avitaminose C chronique0032 - Page 20 - Contribution à l'étude du pronostic des dystrophies alimentaires. Les paravitaminoses, par le Pr G. Mouriquand. Paravitaminose liée à l'avitaminose C aiguë / Paravitaminose liée à l'avitaminose C chronique
0033 - Page 21 - Contribution à l'étude du pronostic des dystrophies alimentaires. Les paravitaminoses, par le Pr G. Mouriquand. Paravitaminose liée à l'avitaminose C chronique / Le virilisme tardif de la femme pubère, par Lucien Cornil et Paul Laval0033 - Page 21 - Contribution à l'étude du pronostic des dystrophies alimentaires. Les paravitaminoses, par le Pr G. Mouriquand. Paravitaminose liée à l'avitaminose C chronique / Le virilisme tardif de la femme pubère, par Lucien Cornil et Paul Laval
0034 - Page 22 - Le virilisme tardif de la femme pubère, par Lucien Cornil et Paul Laval / Rôle de la cortico-surrénale0034 - Page 22 - Le virilisme tardif de la femme pubère, par Lucien Cornil et Paul Laval / Rôle de la cortico-surrénale
0035 - Page 23 - Le virilisme tardif de la femme pubère, par Lucien Cornil et Paul Laval. Rôle de la cortico-surrénale / Rôle de l'hypophyse antérieure / Rôle de la glande thyroïde / Rôle de la glande pinéale / Rôle du pancréas / Rôle de l'ovaire0035 - Page 23 - Le virilisme tardif de la femme pubère, par Lucien Cornil et Paul Laval. Rôle de la cortico-surrénale / Rôle de l'hypophyse antérieure / Rôle de la glande thyroïde / Rôle de la glande pinéale / Rôle du pancréas / Rôle de l'ovaire
0038 - Page 26 - Le virilisme tardif de la femme pubère, par Lucien Cornil et Paul Laval / Traitement hormonal des troubles de la ménopause et de la castration, par Guy Laroche et Étienne Bompard0038 - Page 26 - Le virilisme tardif de la femme pubère, par Lucien Cornil et Paul Laval / Traitement hormonal des troubles de la ménopause et de la castration, par Guy Laroche et Étienne Bompard
0045 - Page 33 - Traitement hormonal des troubles de la ménopause et de la castration, par Guy Laroche et Étienne Bompard. Conclusions0045 - Page 33 - Traitement hormonal des troubles de la ménopause et de la castration, par Guy Laroche et Étienne Bompard. Conclusions
0046 - Page 34 - Traitement hormonal des troubles de la ménopause et de la castration, par Guy Laroche et Étienne Bompard / Actualités médicales. Recherches sur la leucémie myéloïde transmissible du rat / Trois cas de péritonite puerpérale traités par simple laparotomie et Mickullicz : deux guérisons, un décès / Un nouveau cas de parotidite après césarienne basse, traitée par le cathétérisme du canal de Sténon0046 - Page 34 - Traitement hormonal des troubles de la ménopause et de la castration, par Guy Laroche et Étienne Bompard / Actualités médicales. Recherches sur la leucémie myéloïde transmissible du rat / Trois cas de péritonite puerpérale traités par simple laparotomie et Mickullicz : deux guérisons, un décès / Un nouveau cas de parotidite après césarienne basse, traitée par le cathétérisme du canal de Sténon
0047 - Page 35 - Actualités médicales. Un nouveau cas de parotidite après césarienne basse, traitée par le cathétérisme du canal de Sténon / Considérations sur les tumeurs malignes multiples. (Fibrome utérin avec dégénérescence sarcomateuse et adénocarcinome de l'ovaire.) / Endo-anévrysmorraphie pour anévrysme artériel du creux poplité / Anévrysmorraphie pour anévrysme poplité0047 - Page 35 - Actualités médicales. Un nouveau cas de parotidite après césarienne basse, traitée par le cathétérisme du canal de Sténon / Considérations sur les tumeurs malignes multiples. (Fibrome utérin avec dégénérescence sarcomateuse et adénocarcinome de l'ovaire.) / Endo-anévrysmorraphie pour anévrysme artériel du creux poplité / Anévrysmorraphie pour anévrysme poplité
0048 - Page 36 - Actualités médicales. Anévrysmorraphie pour anévrysme poplité / Contribution à l'étude clinique expérimentale du chlorhydrate de sulfamidochrysoïdine / Polypose de l'intestin grêle0048 - Page 36 - Actualités médicales. Anévrysmorraphie pour anévrysme poplité / Contribution à l'étude clinique expérimentale du chlorhydrate de sulfamidochrysoïdine / Polypose de l'intestin grêle
0049 - Page 37 - Sélection des donneurs de sang en vue de l'immuno-transfusion, par MM. Jeanneney et Castanet / I. - Examen général des donneurs0049 - Page 37 - Sélection des donneurs de sang en vue de l'immuno-transfusion, par MM. Jeanneney et Castanet / I. - Examen général des donneurs
0053 - Page 41 - L'indice chromique résiduel dans le diabète sucré, par Henri Warembourg / Valeur et variations de l'indice chromique résiduel dans le diabète0053 - Page 41 - L'indice chromique résiduel dans le diabète sucré, par Henri Warembourg / Valeur et variations de l'indice chromique résiduel dans le diabète
0055 - Page 43 - L'indice chromique résiduel dans le diabète sucré, par Henri Warembourg. Valeur et variations de l'indice chromique résiduel dans le diabète / Considérations pathogéniques0055 - Page 43 - L'indice chromique résiduel dans le diabète sucré, par Henri Warembourg. Valeur et variations de l'indice chromique résiduel dans le diabète / Considérations pathogéniques
0056 - Page 44 - L'indice chromique résiduel dans le diabète sucré, par Henri Warembourg. Considérations pathogéniques / Applications pratiques0056 - Page 44 - L'indice chromique résiduel dans le diabète sucré, par Henri Warembourg. Considérations pathogéniques / Applications pratiques
0061 - Page 49 - Revue annuelle. La psychiatrie en 1937-1938, par Noël Péron / I. - Psychoses toxi-infectieuses0061 - Page 49 - Revue annuelle. La psychiatrie en 1937-1938, par Noël Péron / I. - Psychoses toxi-infectieuses
0063 - Page 51 - Revue annuelle. La psychiatrie en 1937-1938, par Noël Péron. I. - Psychoses toxi-infectieuses / II. - Psychiatrie médico-sociale / III. - Thérapeutiques récentes en psychiatrie0063 - Page 51 - Revue annuelle. La psychiatrie en 1937-1938, par Noël Péron. I. - Psychoses toxi-infectieuses / II. - Psychiatrie médico-sociale / III. - Thérapeutiques récentes en psychiatrie
0069 - Page 57 - Revue annuelle. La psychiatrie en 1937-1938, par Noël Péron. III. - Thérapeutiques récentes en psychiatrie / Les états psychopathiques en rapport avec les perturbations sociales, par MM. Henri Claude et Maurice Leconte0069 - Page 57 - Revue annuelle. La psychiatrie en 1937-1938, par Noël Péron. III. - Thérapeutiques récentes en psychiatrie / Les états psychopathiques en rapport avec les perturbations sociales, par MM. Henri Claude et Maurice Leconte
0073 - Page 61 - La pathologie mentale de la vieillesse, par Paul Courbon / I. - Troubles mentaux involutifs0073 - Page 61 - La pathologie mentale de la vieillesse, par Paul Courbon / I. - Troubles mentaux involutifs
0075 - Page 63 - La pathologie mentale de la vieillesse, par Paul Courbon. I. - Troubles mentaux involutifs / II. - Troubles mentaux artérioscléreux0075 - Page 63 - La pathologie mentale de la vieillesse, par Paul Courbon. I. - Troubles mentaux involutifs / II. - Troubles mentaux artérioscléreux
0076 - Page 64 - La pathologie mentale de la vieillesse, par Paul Courbon. II. - Troubles mentaux artérioscléreux / III. - Troubles mentaux tardifs0076 - Page 64 - La pathologie mentale de la vieillesse, par Paul Courbon. II. - Troubles mentaux artérioscléreux / III. - Troubles mentaux tardifs
0077 - Page 65 - La pathologie mentale de la vieillesse, par Paul Courbon. III. - Troubles mentaux tardifs / Défense de l'anorexie mentale, par Noël Péron0077 - Page 65 - La pathologie mentale de la vieillesse, par Paul Courbon. III. - Troubles mentaux tardifs / Défense de l'anorexie mentale, par Noël Péron
0078 - Page 66 - Défense de l'anorexie mentale, par Noël Péron / Les troubles secondaires liés à la dénutrition0078 - Page 66 - Défense de l'anorexie mentale, par Noël Péron / Les troubles secondaires liés à la dénutrition
0079 - Page 67 - Défense de l'anorexie mentale, par Noël Péron. Les troubles secondaires liés à la dénutrition / Discussion du diagnostic0079 - Page 67 - Défense de l'anorexie mentale, par Noël Péron. Les troubles secondaires liés à la dénutrition / Discussion du diagnostic
0081 - Page 69 - Défense de l'anorexie mentale, par Noël Péron. Discussion du diagnostic / L'état mental des anorexiques0081 - Page 69 - Défense de l'anorexie mentale, par Noël Péron. Discussion du diagnostic / L'état mental des anorexiques
0082 - Page 70 - Défense de l'anorexie mentale, par Noël Péron / Actualités médicales. Considérations sur 500 cas d'annexites et de pelvi-péritonites / A propos de 6 observations de rupture de pyosalpinx en péritoine libre opérées0082 - Page 70 - Défense de l'anorexie mentale, par Noël Péron / Actualités médicales. Considérations sur 500 cas d'annexites et de pelvi-péritonites / A propos de 6 observations de rupture de pyosalpinx en péritoine libre opérées
0083 - Page 71 - Actualités médicales. A propos de 6 observations de rupture de pyosalpinx en péritoine libre opérées / Contre la suture primitive des plaies accidentelles des parties molles / Étude de 110 cas de stérilité à l'aide de l'hystérosalpingographie / Les greffes libres de peau totale / 4 cas de mastose nodulaire préménopausique traitée par la diiodotyrosine0083 - Page 71 - Actualités médicales. A propos de 6 observations de rupture de pyosalpinx en péritoine libre opérées / Contre la suture primitive des plaies accidentelles des parties molles / Étude de 110 cas de stérilité à l'aide de l'hystérosalpingographie / Les greffes libres de peau totale / 4 cas de mastose nodulaire préménopausique traitée par la diiodotyrosine
0084 - Page 72 - Actualités médicales. 4 cas de mastose nodulaire préménopausique traitée par la diiodotyrosine / Le rôle cancérigène du tabac / Sténose du col utérin après électrocoagulation / Anémie hémolytique aiguë au cours d'un traitement par la para-aminobenzène-sulfonamide / Difficulté diagnostique dans les cas atypiques de leucémie aiguë0084 - Page 72 - Actualités médicales. 4 cas de mastose nodulaire préménopausique traitée par la diiodotyrosine / Le rôle cancérigène du tabac / Sténose du col utérin après électrocoagulation / Anémie hémolytique aiguë au cours d'un traitement par la para-aminobenzène-sulfonamide / Difficulté diagnostique dans les cas atypiques de leucémie aiguë
0085 - Page 73 - Intoxication alimentaire collective grave due à un germe du groupe para B, par Paul Giraud, Charles de Luna et Jean Oddo0085 - Page 73 - Intoxication alimentaire collective grave due à un germe du groupe para B, par Paul Giraud, Charles de Luna et Jean Oddo
0086 - Page 74 - Intoxication alimentaire collective grave due à un germe du groupe para B, par Paul Giraud, Charles de Luna et Jean Oddo / Premier groupe / Deuxième groupe / Troisième groupe0086 - Page 74 - Intoxication alimentaire collective grave due à un germe du groupe para B, par Paul Giraud, Charles de Luna et Jean Oddo / Premier groupe / Deuxième groupe / Troisième groupe
0089 - Page 77 - Intoxication alimentaire collective grave due à un germe du groupe para B, par Paul Giraud, Charles de Luna et Jean Oddo. Troisième groupe / Constatations bactériologiques0089 - Page 77 - Intoxication alimentaire collective grave due à un germe du groupe para B, par Paul Giraud, Charles de Luna et Jean Oddo. Troisième groupe / Constatations bactériologiques
0090 - Page 78 - Les problèmes de l'atélectasie dans la tuberculose pulmonaire, par Pierre Chadourne0090 - Page 78 - Les problèmes de l'atélectasie dans la tuberculose pulmonaire, par Pierre Chadourne
0096 - Page 84 - Les problèmes de l'atélectasie dans la tuberculose pulmonaire, par Pierre Chadourne / Actualités médicales. Traitement de la méningite à méningocoques, par la sulfanilamide0096 - Page 84 - Les problèmes de l'atélectasie dans la tuberculose pulmonaire, par Pierre Chadourne / Actualités médicales. Traitement de la méningite à méningocoques, par la sulfanilamide
0097 - Page 85 - Les greffes cancéreuses sur le péritoine, par Paul Carnot et Charles Rendu0097 - Page 85 - Les greffes cancéreuses sur le péritoine, par Paul Carnot et Charles Rendu
0104 - Page 92 - Opportunité de la kystectomie dans le traitement des kystes hydatiques du foie, par B.-Y. Yovanovitch0104 - Page 92 - Opportunité de la kystectomie dans le traitement des kystes hydatiques du foie, par B.-Y. Yovanovitch
0107 - Page 95 - Opportunité de la kystectomie dans le traitement des kystes hydatiques du foie, par B.-Y. Yovanovitch / Quels sont les avantages de la kystectomie ?0107 - Page 95 - Opportunité de la kystectomie dans le traitement des kystes hydatiques du foie, par B.-Y. Yovanovitch / Quels sont les avantages de la kystectomie ?
0108 - Page 96 - Opportunité de la kystectomie dans le traitement des kystes hydatiques du foie, par B.-Y. Yovanovitch. Quels sont les avantages de la kystectomie ? / Quels en sont les inconvénients ?0108 - Page 96 - Opportunité de la kystectomie dans le traitement des kystes hydatiques du foie, par B.-Y. Yovanovitch. Quels sont les avantages de la kystectomie ? / Quels en sont les inconvénients ?
0109 - Page 97 - Étude radiologique du coeur sénile, par MM. A. Duthoit, H. Warembourg et Pinchart / I. - Étude radioscopique0109 - Page 97 - Étude radiologique du coeur sénile, par MM. A. Duthoit, H. Warembourg et Pinchart / I. - Étude radioscopique
0110 - Page 98 - Étude radiologique du coeur sénile, par MM. A. Duthoit, H. Warembourg et Pinchart. I. - Étude radioscopique / II. - Étude orthodiagraphique0110 - Page 98 - Étude radiologique du coeur sénile, par MM. A. Duthoit, H. Warembourg et Pinchart. I. - Étude radioscopique / II. - Étude orthodiagraphique
0113 - Page 101 - Le traitement du cryptorchisme par les hormones gonadotropes, par le Dr H. Ucko0113 - Page 101 - Le traitement du cryptorchisme par les hormones gonadotropes, par le Dr H. Ucko
0117 - Page 105 - Le traitement du cryptorchisme par les hormones gonadotropes, par le Dr H. Ucko / Les ictères de la lune de miel, par W. Berardinelli0117 - Page 105 - Le traitement du cryptorchisme par les hormones gonadotropes, par le Dr H. Ucko / Les ictères de la lune de miel, par W. Berardinelli
0119 - Page 107 - Hypertension artérielle transitoire après un traumatisme crânien, par C.-I. Urechia0119 - Page 107 - Hypertension artérielle transitoire après un traumatisme crânien, par C.-I. Urechia
0120 - Page 108 - Hypertension artérielle transitoire après un traumatisme crânien, par C.-I. Urechia / Actualités médicales. L'action inhibitrice de la choline et de l'acétylcholine sur le développement des néoplasmes0120 - Page 108 - Hypertension artérielle transitoire après un traumatisme crânien, par C.-I. Urechia / Actualités médicales. L'action inhibitrice de la choline et de l'acétylcholine sur le développement des néoplasmes
0121 - Page 109 - Naevocarcinomes bleus généralisés, par Marcel Pinard et Fauvet0121 - Page 109 - Naevocarcinomes bleus généralisés, par Marcel Pinard et Fauvet
0122 - Page 110 - Diagnostic de grossesse commençante pour le praticien, par le Dr Jules Samuels0122 - Page 110 - Diagnostic de grossesse commençante pour le praticien, par le Dr Jules Samuels
0131 - Page 119 - Diagnostic de grossesse commençante pour le praticien, par le Dr Jules Samuels / Résumé / Actualités médicales. La position actuelle de la radiothérapie dans le traitement du cancer du sein0131 - Page 119 - Diagnostic de grossesse commençante pour le praticien, par le Dr Jules Samuels / Résumé / Actualités médicales. La position actuelle de la radiothérapie dans le traitement du cancer du sein
0132 - Page 120 - Actualités médicales. La position actuelle de la radiothérapie dans le traitement du cancer du sein / Fibromes macroscopiques obtenus expérimentalement chez le cobaye par action continue et prolongée du benzoate de dihydrofolliculine / Sur les rapports de la fibromatose utérine et de l'hyperfolliculinémie / L'opération de Le Fort et le traitement du prolapsus génital complet chez des femmes âgées0132 - Page 120 - Actualités médicales. La position actuelle de la radiothérapie dans le traitement du cancer du sein / Fibromes macroscopiques obtenus expérimentalement chez le cobaye par action continue et prolongée du benzoate de dihydrofolliculine / Sur les rapports de la fibromatose utérine et de l'hyperfolliculinémie / L'opération de Le Fort et le traitement du prolapsus génital complet chez des femmes âgées
0133 - Page 121 - La fièvre ondulante dans le département de la Manche. Étude clinique et biologique, par les Docteurs Duliscouet, Callégari, Marque et Hurel0133 - Page 121 - La fièvre ondulante dans le département de la Manche. Étude clinique et biologique, par les Docteurs Duliscouet, Callégari, Marque et Hurel
0136 - Page 124 - La fièvre ondulante dans le département de la Manche. Étude clinique et biologique, par les Docteurs Duliscouet, Callégari, Marque et Hurel / Diagnostic étiologique0136 - Page 124 - La fièvre ondulante dans le département de la Manche. Étude clinique et biologique, par les Docteurs Duliscouet, Callégari, Marque et Hurel / Diagnostic étiologique
0137 - Page 125 - La fièvre ondulante dans le département de la Manche. Étude clinique et biologique, par les Docteurs Duliscouet, Callégari, Marque et Hurel. Diagnostic étiologique / Diagnostic bactériologique0137 - Page 125 - La fièvre ondulante dans le département de la Manche. Étude clinique et biologique, par les Docteurs Duliscouet, Callégari, Marque et Hurel. Diagnostic étiologique / Diagnostic bactériologique
0138 - Page 126 - La fièvre ondulante dans le département de la Manche. Étude clinique et biologique, par les Docteurs Duliscouet, Callégari, Marque et Hurel. Diagnostic bactériologique / Réflexions cliniques / Conclusions0138 - Page 126 - La fièvre ondulante dans le département de la Manche. Étude clinique et biologique, par les Docteurs Duliscouet, Callégari, Marque et Hurel. Diagnostic bactériologique / Réflexions cliniques / Conclusions
0139 - Page 127 - La fièvre ondulante dans le département de la Manche. Étude clinique et biologique, par les Docteurs Duliscouet, Callégari, Marque et Hurel. Conclusions / La vaccination sous-cutanée au moyen d'un virus vaccin purifié, par Hidetake Yaoi0139 - Page 127 - La fièvre ondulante dans le département de la Manche. Étude clinique et biologique, par les Docteurs Duliscouet, Callégari, Marque et Hurel. Conclusions / La vaccination sous-cutanée au moyen d'un virus vaccin purifié, par Hidetake Yaoi
0140 - Page 128 - La vaccination sous-cutanée au moyen d'un virus vaccin purifié, par Hidetake Yaoi / Première partie. Première vaccination0140 - Page 128 - La vaccination sous-cutanée au moyen d'un virus vaccin purifié, par Hidetake Yaoi / Première partie. Première vaccination
0141 - Page 129 - La vaccination sous-cutanée au moyen d'un virus vaccin purifié, par Hidetake Yaoi. Première partie. Première vaccination / IIe partie. Revaccination0141 - Page 129 - La vaccination sous-cutanée au moyen d'un virus vaccin purifié, par Hidetake Yaoi. Première partie. Première vaccination / IIe partie. Revaccination
0143 - Page 131 - La vaccination sous-cutanée au moyen d'un virus vaccin purifié, par Hidetake Yaoi. IIe partie. Revaccination / Conclusion0143 - Page 131 - La vaccination sous-cutanée au moyen d'un virus vaccin purifié, par Hidetake Yaoi. IIe partie. Revaccination / Conclusion
0144 - Page 132 - Actualités médicales. Anévrysme artériel traumatique de la fémorale commune gauche apparu vingt-deux ans après une blessure de guerre. Extirpation. Guérison / Amputations d'urgence et amputations orthopédiques du pied / Les hémorragies utérines fonctionnelles, par trouble hormonal ovarien0144 - Page 132 - Actualités médicales. Anévrysme artériel traumatique de la fémorale commune gauche apparu vingt-deux ans après une blessure de guerre. Extirpation. Guérison / Amputations d'urgence et amputations orthopédiques du pied / Les hémorragies utérines fonctionnelles, par trouble hormonal ovarien
0145 - Page 133 - Considérations sur la néphrite rhumatismale et son traitement par le salicylate de soude, par les Docteurs Dumitresco-Mante et S. Ciorapciu0145 - Page 133 - Considérations sur la néphrite rhumatismale et son traitement par le salicylate de soude, par les Docteurs Dumitresco-Mante et S. Ciorapciu
0148 - Page 136 - Considérations sur la néphrite rhumatismale et son traitement par le salicylate de soude, par les Docteurs Dumitresco-Mante et S. Ciorapciu / Symptomatologie0148 - Page 136 - Considérations sur la néphrite rhumatismale et son traitement par le salicylate de soude, par les Docteurs Dumitresco-Mante et S. Ciorapciu / Symptomatologie
0150 - Page 138 - L'aortite rhumatismale, par Jean Girard0150 - Page 138 - L'aortite rhumatismale, par Jean Girard
0152 - Page 140 - L'aortite rhumatismale, par Jean Girard / Résumé0152 - Page 140 - L'aortite rhumatismale, par Jean Girard / Résumé
0153 - Page 141 - Abaque pour la détermination immédiate de la valeur globulaire d'un sang, par le Dr R. Seigneurin / Description / Nota / Mode d'utilisation0153 - Page 141 - Abaque pour la détermination immédiate de la valeur globulaire d'un sang, par le Dr R. Seigneurin / Description / Nota / Mode d'utilisation
0154 - Page 142 - Abaque pour la détermination immédiate de la valeur globulaire d'un sang, par le Dr R. Seigneurin. Mode d'utilisation / Construction de l'abaque / Thérapeutiques comparées dans l'épilepsie chez l'enfant, par le Dr Beley0154 - Page 142 - Abaque pour la détermination immédiate de la valeur globulaire d'un sang, par le Dr R. Seigneurin. Mode d'utilisation / Construction de l'abaque / Thérapeutiques comparées dans l'épilepsie chez l'enfant, par le Dr Beley
0156 - Page 144 - Thérapeutiques comparées dans l'épilepsie chez l'enfant, par le Dr Beley / Actualités médicales. Aspects bronchographiques du cancer pulmonaire et de l'atélectasie / Rupture sous-cutanée du tendon long extenseur du pouce / Sympathectomie lombaire dans un cas de dolichocôlon0156 - Page 144 - Thérapeutiques comparées dans l'épilepsie chez l'enfant, par le Dr Beley / Actualités médicales. Aspects bronchographiques du cancer pulmonaire et de l'atélectasie / Rupture sous-cutanée du tendon long extenseur du pouce / Sympathectomie lombaire dans un cas de dolichocôlon
0157 - Page 145 - Revue annuelle. L'ophtalmologie en 1938, par le Dr L. Guillaumat / Segment antérieur0157 - Page 145 - Revue annuelle. L'ophtalmologie en 1938, par le Dr L. Guillaumat / Segment antérieur
0158 - Page 146 - Revue annuelle. L'ophtalmologie en 1938, par le Dr L. Guillaumat. Segment antérieur / Segment postérieur0158 - Page 146 - Revue annuelle. L'ophtalmologie en 1938, par le Dr L. Guillaumat. Segment antérieur / Segment postérieur
0159 - Page 147 - Revue annuelle. L'ophtalmologie en 1938, par le Dr L. Guillaumat. Segment postérieur / Annexes du globe0159 - Page 147 - Revue annuelle. L'ophtalmologie en 1938, par le Dr L. Guillaumat. Segment postérieur / Annexes du globe
0160 - Page 148 - Revue annuelle. L'ophtalmologie en 1938, par le Dr L. Guillaumat. Annexes du globe / Syndromes oculaires0160 - Page 148 - Revue annuelle. L'ophtalmologie en 1938, par le Dr L. Guillaumat. Annexes du globe / Syndromes oculaires
0163 - Page 151 - Revue annuelle. L'ophtalmologie en 1938, par le Dr L. Guillaumat. Syndromes oculaires / Thérapeutique0163 - Page 151 - Revue annuelle. L'ophtalmologie en 1938, par le Dr L. Guillaumat. Syndromes oculaires / Thérapeutique
0164 - Page 152 - Revue annuelle. L'oto-rhino-laryngologie en 1938, par Maurice Aubry. I. - Anesthésie / II. - Otologie0164 - Page 152 - Revue annuelle. L'oto-rhino-laryngologie en 1938, par Maurice Aubry. I. - Anesthésie / II. - Otologie
0165 - Page 153 - Revue annuelle. L'oto-rhino-laryngologie en 1938, par Maurice Aubry. II. - Otologie / III. - Fosses nasales. Pharynx0165 - Page 153 - Revue annuelle. L'oto-rhino-laryngologie en 1938, par Maurice Aubry. II. - Otologie / III. - Fosses nasales. Pharynx
0166 - Page 154 - Revue annuelle. L'oto-rhino-laryngologie en 1938, par Maurice Aubry. III. - Fosses nasales. Pharynx / IV. - Larynx / V. - Congrès français d'oto-rhino-laryngologie0166 - Page 154 - Revue annuelle. L'oto-rhino-laryngologie en 1938, par Maurice Aubry. III. - Fosses nasales. Pharynx / IV. - Larynx / V. - Congrès français d'oto-rhino-laryngologie
0167 - Page 155 - Revue annuelle. L'oto-rhino-laryngologie en 1938, par Maurice Aubry. V. - Congrès français d'oto-rhino-laryngologie / Tuberculose primitive de l'amygdale, par les Docteurs Louis Leroux et Guy Loiseau. Pathogénie / Symptomatologie0167 - Page 155 - Revue annuelle. L'oto-rhino-laryngologie en 1938, par Maurice Aubry. V. - Congrès français d'oto-rhino-laryngologie / Tuberculose primitive de l'amygdale, par les Docteurs Louis Leroux et Guy Loiseau. Pathogénie / Symptomatologie
0168 - Page 156 - Tuberculose primitive de l'amygdale, par les Docteurs Louis Leroux et Guy Loiseau. Symptomatologie / Traitement0168 - Page 156 - Tuberculose primitive de l'amygdale, par les Docteurs Louis Leroux et Guy Loiseau. Symptomatologie / Traitement
0170 - Page 158 - Tuberculose primitive de l'amygdale, par les Docteurs Louis Leroux et Guy Loiseau. Résumé / Les sinusites séreuses, par M. Bouchet et Bourdial0170 - Page 158 - Tuberculose primitive de l'amygdale, par les Docteurs Louis Leroux et Guy Loiseau. Résumé / Les sinusites séreuses, par M. Bouchet et Bourdial
0171 - Page 159 - Les sinusites séreuses, par M. Bouchet et Bourdial / I. - Recherche de la sinusite0171 - Page 159 - Les sinusites séreuses, par M. Bouchet et Bourdial / I. - Recherche de la sinusite
0172 - Page 160 - Les sinusites séreuses, par M. Bouchet et Bourdial. I. - Recherche de la sinusite / II. - Étude du terrain constitutionnel / III. - Traitement0172 - Page 160 - Les sinusites séreuses, par M. Bouchet et Bourdial. I. - Recherche de la sinusite / II. - Étude du terrain constitutionnel / III. - Traitement
0173 - Page 161 - Revue annuelle. La stomatologie en 1938, par R. Thibault / Dents0173 - Page 161 - Revue annuelle. La stomatologie en 1938, par R. Thibault / Dents
0174 - Page 162 - Revue annuelle. La stomatologie en 1938, par R. Thibault. Dents / Maxillaires0174 - Page 162 - Revue annuelle. La stomatologie en 1938, par R. Thibault. Dents / Maxillaires
0175 - Page 163 - Revue annuelle. La stomatologie en 1938, par R. Thibault. Maxillaires / Articulation temporo-maxillaire0175 - Page 163 - Revue annuelle. La stomatologie en 1938, par R. Thibault. Maxillaires / Articulation temporo-maxillaire
0176 - Page 164 - Revue annuelle. La stomatologie en 1938, par R. Thibault. Articulation temporo-maxillaire / Bouche0176 - Page 164 - Revue annuelle. La stomatologie en 1938, par R. Thibault. Articulation temporo-maxillaire / Bouche
0177 - Page 165 - Revue annuelle. La stomatologie en 1938, par R. Thibault. Bouche / Thérapeutique0177 - Page 165 - Revue annuelle. La stomatologie en 1938, par R. Thibault. Bouche / Thérapeutique
0178 - Page 166 - Les lisérés gingivaux, par le Dr P. Marie / I. - Lisérés et toxiques médicamenteux0178 - Page 166 - Les lisérés gingivaux, par le Dr P. Marie / I. - Lisérés et toxiques médicamenteux
0179 - Page 167 - Les lisérés gingivaux, par le Dr P. Marie. I. - Lisérés et toxiques médicamenteux / II. - Lisérés vasculaires0179 - Page 167 - Les lisérés gingivaux, par le Dr P. Marie. I. - Lisérés et toxiques médicamenteux / II. - Lisérés vasculaires
0180 - Page 168 - Les lisérés gingivaux, par le Dr P. Marie. II. - Lisérés vasculaires / Grossesse et état bucco-dentaire, par le Dr Normand0180 - Page 168 - Les lisérés gingivaux, par le Dr P. Marie. II. - Lisérés vasculaires / Grossesse et état bucco-dentaire, par le Dr Normand
0183 - Page 171 - Actualités médicales. Étude sur le suicide / L'influence de la fatigue chez les hépatiques / L'action physiologique des acides aminés0183 - Page 171 - Actualités médicales. Étude sur le suicide / L'influence de la fatigue chez les hépatiques / L'action physiologique des acides aminés
0184 - Page 172 - Actualités médicales. L'action physiologique des acides aminés / Le métabolisme de l'eau et du sel chez les enfants / Importance pratique de l'ionisation de l'air / Quelques cas de chlorose chez l'homme / Accidents de la transfusion en dehors des incompatibilités de groupes0184 - Page 172 - Actualités médicales. L'action physiologique des acides aminés / Le métabolisme de l'eau et du sel chez les enfants / Importance pratique de l'ionisation de l'air / Quelques cas de chlorose chez l'homme / Accidents de la transfusion en dehors des incompatibilités de groupes
0185 - Page 173 - Quelques nouveautés en radiologie cardio-aortique, par Maurice Marchal. I. - Diagnostic de la dilatation de l'oreillette gauche (rétrécissement mitral) par l'aspect de l'oesophage en position de face et différenciation avec le rétrécissement de l'artère pulmonaire / II. - La mensuration de l'aorte0185 - Page 173 - Quelques nouveautés en radiologie cardio-aortique, par Maurice Marchal. I. - Diagnostic de la dilatation de l'oreillette gauche (rétrécissement mitral) par l'aspect de l'oesophage en position de face et différenciation avec le rétrécissement de l'artère pulmonaire / II. - La mensuration de l'aorte
0187 - Page 175 - Quelques nouveautés en radiologie cardio-aortique, par Maurice Marchal. II. - La mensuration de l'aorte / III. - L'inversion de l'aorte0187 - Page 175 - Quelques nouveautés en radiologie cardio-aortique, par Maurice Marchal. II. - La mensuration de l'aorte / III. - L'inversion de l'aorte
0188 - Page 176 - Quelques nouveautés en radiologie cardio-aortique, par Maurice Marchal. III. - L'inversion de l'aorte / IV. - La sténose congénitale de l'isthme de l'aorte / V. - Le diagnostic des anévrysmes de l'aorte intrapéricardique (anévrysmes des sinus de Valsalva)0188 - Page 176 - Quelques nouveautés en radiologie cardio-aortique, par Maurice Marchal. III. - L'inversion de l'aorte / IV. - La sténose congénitale de l'isthme de l'aorte / V. - Le diagnostic des anévrysmes de l'aorte intrapéricardique (anévrysmes des sinus de Valsalva)
0189 - Page 177 - Quelques nouveautés en radiologie cardio-aortique, par Maurice Marchal. V. - Le diagnostic des anévrysmes de l'aorte intrapéricardique (anévrysmes des sinus de Valsalva) / VI. - Les calcifications du péricarde / Les méfaits et les dangers du pneumothorax dans le traitement des hémoptysies tuberculeuses, par Edhem0189 - Page 177 - Quelques nouveautés en radiologie cardio-aortique, par Maurice Marchal. V. - Le diagnostic des anévrysmes de l'aorte intrapéricardique (anévrysmes des sinus de Valsalva) / VI. - Les calcifications du péricarde / Les méfaits et les dangers du pneumothorax dans le traitement des hémoptysies tuberculeuses, par Edhem
0191 - Page 179 - Les méfaits et les dangers du pneumothorax dans le traitement des hémoptysies tuberculeuses, par Edhem / Le pneumothorax est dangereux0191 - Page 179 - Les méfaits et les dangers du pneumothorax dans le traitement des hémoptysies tuberculeuses, par Edhem / Le pneumothorax est dangereux
0192 - Page 180 - Les méfaits et les dangers du pneumothorax dans le traitement des hémoptysies tuberculeuses, par Edhem. Le pneumothorax est dangereux / Résumé0192 - Page 180 - Les méfaits et les dangers du pneumothorax dans le traitement des hémoptysies tuberculeuses, par Edhem. Le pneumothorax est dangereux / Résumé
0193 - Page 181 - Endocardite au cours d'une mélitococcie (guérison avec séquelles), par Robert Raynaud, F.-G. Marill et J. Robert d'Eshouques0193 - Page 181 - Endocardite au cours d'une mélitococcie (guérison avec séquelles), par Robert Raynaud, F.-G. Marill et J. Robert d'Eshouques
0195 - Page 183 - Sur la mesure instantanée de la fréquence du pouls, par André Djourno0195 - Page 183 - Sur la mesure instantanée de la fréquence du pouls, par André Djourno
0196 - Page 184 - Sur la mesure instantanée de la fréquence du pouls, par André Djourno / Actualités médicales. Fracture du calcanéum avec enfoncement du thalamus du troisième degré. Intervention sanglante. Résultats0196 - Page 184 - Sur la mesure instantanée de la fréquence du pouls, par André Djourno / Actualités médicales. Fracture du calcanéum avec enfoncement du thalamus du troisième degré. Intervention sanglante. Résultats
0197 - Page 185 - Contribution à l'étude de la polypeptidémie (Méthode de dosage et étude clinique), par H. Mondon et M. Audiffren / Technique0197 - Page 185 - Contribution à l'étude de la polypeptidémie (Méthode de dosage et étude clinique), par H. Mondon et M. Audiffren / Technique
0198 - Page 186 - Contribution à l'étude de la polypeptidémie (Méthode de dosage et étude clinique), par H. Mondon et M. Audiffren. Technique / Résultats (sujets normaux)0198 - Page 186 - Contribution à l'étude de la polypeptidémie (Méthode de dosage et étude clinique), par H. Mondon et M. Audiffren. Technique / Résultats (sujets normaux)
0199 - Page 187 - Contribution à l'étude de la polypeptidémie (Méthode de dosage et étude clinique), par H. Mondon et M. Audiffren. Résultats (sujets normaux) / Affections hépatiques0199 - Page 187 - Contribution à l'étude de la polypeptidémie (Méthode de dosage et étude clinique), par H. Mondon et M. Audiffren. Résultats (sujets normaux) / Affections hépatiques
0200 - Page 188 - Contribution à l'étude de la polypeptidémie (Méthode de dosage et étude clinique), par H. Mondon et M. Audiffren. Affections hépatiques / Affections rénales / Affections diverses0200 - Page 188 - Contribution à l'étude de la polypeptidémie (Méthode de dosage et étude clinique), par H. Mondon et M. Audiffren. Affections hépatiques / Affections rénales / Affections diverses
0201 - Page 189 - Contribution à l'étude de la polypeptidémie (Méthode de dosage et étude clinique), par H. Mondon et M. Audiffren / Résultats du traitement de quelques mastopathies par le propionate de testostérone, par A. Tailhefer0201 - Page 189 - Contribution à l'étude de la polypeptidémie (Méthode de dosage et étude clinique), par H. Mondon et M. Audiffren / Résultats du traitement de quelques mastopathies par le propionate de testostérone, par A. Tailhefer
0203 - Page 191 - Résultats du traitement de quelques mastopathies par le propionate de testostérone, par A. Tailhefer / Résumé des observations / Résultats0203 - Page 191 - Résultats du traitement de quelques mastopathies par le propionate de testostérone, par A. Tailhefer / Résumé des observations / Résultats
0204 - Page 192 - Syndrome sympathique cervical postérieur et spina-bifida cervicale, par MM. Cazalas, Grislain et Merlen0204 - Page 192 - Syndrome sympathique cervical postérieur et spina-bifida cervicale, par MM. Cazalas, Grislain et Merlen
0207 - Page 195 - Syndrome sympathique cervical postérieur et spina-bifida cervicale, par MM. Cazalas, Grislain et Merlen / Bases expérimentales de la transfusion des leucocytes, par le Dr Hanausek0207 - Page 195 - Syndrome sympathique cervical postérieur et spina-bifida cervicale, par MM. Cazalas, Grislain et Merlen / Bases expérimentales de la transfusion des leucocytes, par le Dr Hanausek
0210 - Page 198 - Bases expérimentales de la transfusion des leucocytes, par le Dr Hanausek / Résumé0210 - Page 198 - Bases expérimentales de la transfusion des leucocytes, par le Dr Hanausek / Résumé
0211 - Page 199 - Bases expérimentales de la transfusion des leucocytes, par le Dr Hanausek. Résumé / Faits de laryngite tuberculeuse. Non-coaptation des cordes vocales. - Rôle primordial des crachats. - La technique scuroformée, par Georges Rosenthal0211 - Page 199 - Bases expérimentales de la transfusion des leucocytes, par le Dr Hanausek. Résumé / Faits de laryngite tuberculeuse. Non-coaptation des cordes vocales. - Rôle primordial des crachats. - La technique scuroformée, par Georges Rosenthal
0212 - Page 200 - Faits de laryngite tuberculeuse. Non-coaptation des cordes vocales. - Rôle primordial des crachats. - La technique scuroformée, par Georges Rosenthal / Actualités médicales. Rupture du tendon long extenseur du pouce après fracture de l'extrémité inférieure du radius. Résultat de la transplantation du tendon extenseur propre de l'index0212 - Page 200 - Faits de laryngite tuberculeuse. Non-coaptation des cordes vocales. - Rôle primordial des crachats. - La technique scuroformée, par Georges Rosenthal / Actualités médicales. Rupture du tendon long extenseur du pouce après fracture de l'extrémité inférieure du radius. Résultat de la transplantation du tendon extenseur propre de l'index
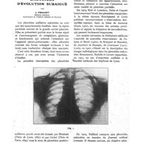
0213 - Page 201 - Les pleurésies axillaires enkystées d'évolution subaiguë, par J. Prouzet0213 - Page 201 - Les pleurésies axillaires enkystées d'évolution subaiguë, par J. Prouzet
0220 - Page 208 - Les pleurésies axillaires enkystées d'évolution subaiguë, par J. Prouzet / Traitement0220 - Page 208 - Les pleurésies axillaires enkystées d'évolution subaiguë, par J. Prouzet / Traitement
0221 - Page 209 - Les pleurésies axillaires enkystées d'évolution subaiguë, par J. Prouzet. Traitement / Conclusions0221 - Page 209 - Les pleurésies axillaires enkystées d'évolution subaiguë, par J. Prouzet. Traitement / Conclusions
0222 - Page 210 - Les pleurésies axillaires enkystées d'évolution subaiguë, par J. Prouzet / Paralysie générale traumatique et labyrinthite. Tabès conjugal et labyrinthite, par C.-I. Urechia0222 - Page 210 - Les pleurésies axillaires enkystées d'évolution subaiguë, par J. Prouzet / Paralysie générale traumatique et labyrinthite. Tabès conjugal et labyrinthite, par C.-I. Urechia
0224 - Page 212 - Actualités médicales. Contusion forte du genou avec rupture des ligaments croisés / Allergie insulinique / L'hémorragie méningée sous-arachnoïdienne dans la paralysie générale / Le métabolisme hydrocarboné dans l'insuffisance surrénale aiguë0224 - Page 212 - Actualités médicales. Contusion forte du genou avec rupture des ligaments croisés / Allergie insulinique / L'hémorragie méningée sous-arachnoïdienne dans la paralysie générale / Le métabolisme hydrocarboné dans l'insuffisance surrénale aiguë
0225 - Page 213 - Revue annuelle. La neurologie en 1938, par A. Baudouin et H. Schaeffer / Hémorragie méningée récidivante et angiome cérébral0225 - Page 213 - Revue annuelle. La neurologie en 1938, par A. Baudouin et H. Schaeffer / Hémorragie méningée récidivante et angiome cérébral
0226 - Page 214 - Revue annuelle. La neurologie en 1938, par A. Baudouin et H. Schaeffer. Hémorragie méningée récidivante et angiome cérébral / L'hypertension artérielle pseudo-tumorale0226 - Page 214 - Revue annuelle. La neurologie en 1938, par A. Baudouin et H. Schaeffer. Hémorragie méningée récidivante et angiome cérébral / L'hypertension artérielle pseudo-tumorale
0227 - Page 215 - Revue annuelle. La neurologie en 1938, par A. Baudouin et H. Schaeffer. L'hypertension artérielle pseudo-tumorale / Choc insulinique et système nerveux. Lésions anatomiques et interprétations physiologiques0227 - Page 215 - Revue annuelle. La neurologie en 1938, par A. Baudouin et H. Schaeffer. L'hypertension artérielle pseudo-tumorale / Choc insulinique et système nerveux. Lésions anatomiques et interprétations physiologiques
0230 - Page 218 - Revue annuelle. La neurologie en 1938, par A. Baudouin et H. Schaeffer. Choc insulinique et système nerveux. Lésions anatomiques et interprétations physiologiques / De quelques nouvelles thérapeutiques, médicales et chirurgicales0230 - Page 218 - Revue annuelle. La neurologie en 1938, par A. Baudouin et H. Schaeffer. Choc insulinique et système nerveux. Lésions anatomiques et interprétations physiologiques / De quelques nouvelles thérapeutiques, médicales et chirurgicales
0234 - Page 222 - Revue annuelle. La neurologie en 1938, par A. Baudouin et H. Schaeffer. De quelques nouvelles thérapeutiques, médicales et chirurgicales / Neurotomie rétrogassérienne et névralgie faciale symptomatique0234 - Page 222 - Revue annuelle. La neurologie en 1938, par A. Baudouin et H. Schaeffer. De quelques nouvelles thérapeutiques, médicales et chirurgicales / Neurotomie rétrogassérienne et névralgie faciale symptomatique
0236 - Page 224 - Diagnostic et traitement des hématomes de la dure-mère, par G. de Morsier / Observation I0236 - Page 224 - Diagnostic et traitement des hématomes de la dure-mère, par G. de Morsier / Observation I
0240 - Page 228 - Diagnostic et traitement des hématomes de la dure-mère, par G. de Morsier / Obs. II0240 - Page 228 - Diagnostic et traitement des hématomes de la dure-mère, par G. de Morsier / Obs. II
0241 - Page 229 - Importance des mouvements convulsifs localisés comme signe prodromique d'une lésion cérébrale en foyer, par A. Baudouin et E. Pontoizeau0241 - Page 229 - Importance des mouvements convulsifs localisés comme signe prodromique d'une lésion cérébrale en foyer, par A. Baudouin et E. Pontoizeau
0243 - Page 231 - Importance des mouvements convulsifs localisés comme signe prodromique d'une lésion cérébrale en foyer, par A. Baudouin et E. Pontoizeau / Un cas d'épilepsie parasitaire chez l'homme, par le Dr Henri Schaeffer0243 - Page 231 - Importance des mouvements convulsifs localisés comme signe prodromique d'une lésion cérébrale en foyer, par A. Baudouin et E. Pontoizeau / Un cas d'épilepsie parasitaire chez l'homme, par le Dr Henri Schaeffer
0245 - Page 233 - Un cas d'épilepsie parasitaire chez l'homme, par le Dr Henri Schaeffer / Hémiplégie post-abortum par embolie gazeuse, par Raymond Garcin, Mle S. Huguet et Mme Daubail-Rault0245 - Page 233 - Un cas d'épilepsie parasitaire chez l'homme, par le Dr Henri Schaeffer / Hémiplégie post-abortum par embolie gazeuse, par Raymond Garcin, Mle S. Huguet et Mme Daubail-Rault
0246 - Page 234 - Hémiplégie post-abortum par embolie gazeuse, par Raymond Garcin, Mle S. Huguet et Mme Daubail-Rault / Observation I0246 - Page 234 - Hémiplégie post-abortum par embolie gazeuse, par Raymond Garcin, Mle S. Huguet et Mme Daubail-Rault / Observation I
0247 - Page 235 - Hémiplégie post-abortum par embolie gazeuse, par Raymond Garcin, Mle S. Huguet et Mme Daubail-Rault. Observation I / Obs. II0247 - Page 235 - Hémiplégie post-abortum par embolie gazeuse, par Raymond Garcin, Mle S. Huguet et Mme Daubail-Rault. Observation I / Obs. II
0253 - Page 241 - Syndrome méningé au cours de la leishmaniose infantile, par MM. Valleteau de Mouillac, Duliscouet, Delacoux des Roseaux0253 - Page 241 - Syndrome méningé au cours de la leishmaniose infantile, par MM. Valleteau de Mouillac, Duliscouet, Delacoux des Roseaux
0255 - Page 243 - Syndrome méningé au cours de la leishmaniose infantile, par MM. Valleteau de Mouillac, Duliscouet, Delacoux des Roseaux / Étiologie / Considérations0255 - Page 243 - Syndrome méningé au cours de la leishmaniose infantile, par MM. Valleteau de Mouillac, Duliscouet, Delacoux des Roseaux / Étiologie / Considérations
0256 - Page 244 - Syndrome méningé au cours de la leishmaniose infantile, par MM. Valleteau de Mouillac, Duliscouet, Delacoux des Roseaux. Considérations / Actualités médicales. Documents sur le traitement non sanglant des fractures du rachis (résultats éloignés d'après 33 observations) / Kyste osseux congénital avec fracture vicieusement consolidée chez un enfant de trois mois0256 - Page 244 - Syndrome méningé au cours de la leishmaniose infantile, par MM. Valleteau de Mouillac, Duliscouet, Delacoux des Roseaux. Considérations / Actualités médicales. Documents sur le traitement non sanglant des fractures du rachis (résultats éloignés d'après 33 observations) / Kyste osseux congénital avec fracture vicieusement consolidée chez un enfant de trois mois
0257 - Page 245 - Actualités médicales. Kyste osseux congénital avec fracture vicieusement consolidée chez un enfant de trois mois / Hémorragie ulcéreuse gastrique, cataclysmique, guérie par gastrectomie / Quelques considérations sur les inconvénients qu'engendre un certain détail de technique d'appendicectomie / Un cas de dolichocôlon traité par sympathectomie lombaire0257 - Page 245 - Actualités médicales. Kyste osseux congénital avec fracture vicieusement consolidée chez un enfant de trois mois / Hémorragie ulcéreuse gastrique, cataclysmique, guérie par gastrectomie / Quelques considérations sur les inconvénients qu'engendre un certain détail de technique d'appendicectomie / Un cas de dolichocôlon traité par sympathectomie lombaire
0258 - Page 246 - Actualités médicales. Un cas de dolichocôlon traité par sympathectomie lombaire / Anémie splénomégalique avec réaction intense à prédominance érythroblastique / L'action des injections intraveineuses de glucose sur le rapport chloré érythroplasmatique / Compression de la moelle dorsale par un psammome / Un cas de spongioblastome pariétal à symptomatologie protubérantielle guéri par l'extirpation chirurgicale0258 - Page 246 - Actualités médicales. Un cas de dolichocôlon traité par sympathectomie lombaire / Anémie splénomégalique avec réaction intense à prédominance érythroblastique / L'action des injections intraveineuses de glucose sur le rapport chloré érythroplasmatique / Compression de la moelle dorsale par un psammome / Un cas de spongioblastome pariétal à symptomatologie protubérantielle guéri par l'extirpation chirurgicale
0259 - Page 247 - Actualités médicales. Un cas de spongioblastome pariétal à symptomatologie protubérantielle guéri par l'extirpation chirurgicale / L'épreuve de Rehberg / Échinococcose pulmonaire multiple / Le kyste hydatique du rein / Quelques aspects du problème de la stérilité féminine / L'anémie érythroblastique dite « de Cooley »0259 - Page 247 - Actualités médicales. Un cas de spongioblastome pariétal à symptomatologie protubérantielle guéri par l'extirpation chirurgicale / L'épreuve de Rehberg / Échinococcose pulmonaire multiple / Le kyste hydatique du rein / Quelques aspects du problème de la stérilité féminine / L'anémie érythroblastique dite « de Cooley »
0260 - Page 248 - Actualités médicales. L'anémie érythroblastique dite « de Cooley » / L'hypopression artificielle dans le traitement de la tuberculose pulmonaire / L'« urea clearance » dans l'exploration rénale / Le métabolisme de l'acide urique au cours de l'hyperthermie provoquée / Étude radiologique du revêtement muqueux du gros intestin0260 - Page 248 - Actualités médicales. L'anémie érythroblastique dite « de Cooley » / L'hypopression artificielle dans le traitement de la tuberculose pulmonaire / L'« urea clearance » dans l'exploration rénale / Le métabolisme de l'acide urique au cours de l'hyperthermie provoquée / Étude radiologique du revêtement muqueux du gros intestin
0261 - Page 249 - L'ancien Hôpital de la Charité de Lyon et ses oeuvres d'art, par le Professeur J. Guiart / Historique de l'Hôpital0261 - Page 249 - L'ancien Hôpital de la Charité de Lyon et ses oeuvres d'art, par le Professeur J. Guiart / Historique de l'Hôpital
0264 - Page 252 - L'ancien Hôpital de la Charité de Lyon et ses oeuvres d'art, par le Professeur J. Guiart. Historique de l'Hôpital / Ce qui en subsiste0264 - Page 252 - L'ancien Hôpital de la Charité de Lyon et ses oeuvres d'art, par le Professeur J. Guiart. Historique de l'Hôpital / Ce qui en subsiste
0266 - Page 254 - L'ancien Hôpital de la Charité de Lyon et ses oeuvres d'art, par le Professeur J. Guiart. Ce qui en subsiste / Sur l'excision des fistules anales très complexes, par G. Cabanié0266 - Page 254 - L'ancien Hôpital de la Charité de Lyon et ses oeuvres d'art, par le Professeur J. Guiart. Ce qui en subsiste / Sur l'excision des fistules anales très complexes, par G. Cabanié
0267 - Page 255 - Sur l'excision des fistules anales très complexes, par G. Cabanié / Observation n° 22510267 - Page 255 - Sur l'excision des fistules anales très complexes, par G. Cabanié / Observation n° 2251
0268 - Page 256 - Sur l'excision des fistules anales très complexes, par G. Cabanié. Observation n° 2251 / Obs. n° 23330268 - Page 256 - Sur l'excision des fistules anales très complexes, par G. Cabanié. Observation n° 2251 / Obs. n° 2333
0269 - Page 257 - Sur l'excision des fistules anales très complexes, par G. Cabanié. Obs. n° 2333 / Obs. N° 23280269 - Page 257 - Sur l'excision des fistules anales très complexes, par G. Cabanié. Obs. n° 2333 / Obs. N° 2328
0270 - Page 258 - Sur l'excision des fistules anales très complexes, par G. Cabanié. Obs. N° 2328 / Un volumineux fibrome du pavillon auriculaire, par le Dr Ayres Corréa de Souza Neves0270 - Page 258 - Sur l'excision des fistules anales très complexes, par G. Cabanié. Obs. N° 2328 / Un volumineux fibrome du pavillon auriculaire, par le Dr Ayres Corréa de Souza Neves
0273 - Page 261 - Revue annuelle. Les maladies médicales des reins en 1938, par MM. Fr. Rathery et M. Dérot. Classification des néphrites0273 - Page 261 - Revue annuelle. Les maladies médicales des reins en 1938, par MM. Fr. Rathery et M. Dérot. Classification des néphrites
0276 - Page 264 - Revue annuelle. Les maladies médicales des reins en 1938, par MM. Fr. Rathery et M. Dérot. Classification des néphrites / Épreuves fonctionnelles / Les grands syndromes0276 - Page 264 - Revue annuelle. Les maladies médicales des reins en 1938, par MM. Fr. Rathery et M. Dérot. Classification des néphrites / Épreuves fonctionnelles / Les grands syndromes
0281 - Page 269 - Revue annuelle. Les maladies médicales des reins en 1938, par MM. Fr. Rathery et M. Dérot. Les grands syndromes / Néphrites0281 - Page 269 - Revue annuelle. Les maladies médicales des reins en 1938, par MM. Fr. Rathery et M. Dérot. Les grands syndromes / Néphrites
0282 - Page 270 - Revue annuelle. Les maladies médicales des reins en 1938, par MM. Fr. Rathery et M. Dérot. Néphrites / Affections rénales diverses0282 - Page 270 - Revue annuelle. Les maladies médicales des reins en 1938, par MM. Fr. Rathery et M. Dérot. Néphrites / Affections rénales diverses
0285 - Page 273 - Revue annuelle. Les maladies médicales des reins en 1938, par MM. Fr. Rathery et M. Dérot. Affections rénales diverses / Traitement des néphrites0285 - Page 273 - Revue annuelle. Les maladies médicales des reins en 1938, par MM. Fr. Rathery et M. Dérot. Affections rénales diverses / Traitement des néphrites
0287 - Page 275 - Néphrites et métabolisme glucidique, par F. Rathery et P.-M. de Traverse / Glycémie libre0287 - Page 275 - Néphrites et métabolisme glucidique, par F. Rathery et P.-M. de Traverse / Glycémie libre
0288 - Page 276 - Néphrites et métabolisme glucidique, par F. Rathery et P.-M. de Traverse. Glycémie libre / Glycémie protéidique / Hyperglycémie provoquée / Indosé ternaire plasmatique0288 - Page 276 - Néphrites et métabolisme glucidique, par F. Rathery et P.-M. de Traverse. Glycémie libre / Glycémie protéidique / Hyperglycémie provoquée / Indosé ternaire plasmatique
0290 - Page 278 - Revue annuelle. Néphrites et métabolisme glucidique, par F. Rathery et P.-M. de Traverse / Revue annuelle. L'urologie en 1938, par Raymond Dossot. Reins et uretères0290 - Page 278 - Revue annuelle. Néphrites et métabolisme glucidique, par F. Rathery et P.-M. de Traverse / Revue annuelle. L'urologie en 1938, par Raymond Dossot. Reins et uretères
0295 - Page 283 - Revue annuelle. L'urologie en 1938, par Raymond Dossot. Reins et uretères / Vessie0295 - Page 283 - Revue annuelle. L'urologie en 1938, par Raymond Dossot. Reins et uretères / Vessie
0297 - Page 285 - Revue annuelle. L'urologie en 1938, par Raymond Dossot. Vessie / Urètre et organes génitaux0297 - Page 285 - Revue annuelle. L'urologie en 1938, par Raymond Dossot. Vessie / Urètre et organes génitaux
0300 - Page 288 - Revue annuelle. L'urologie en 1938, par Raymond Dossot. Urètre et organes génitaux / Le problème d'abord de la loge rénale, par L. Surraco / La voie d'abord anatomo-clinique0300 - Page 288 - Revue annuelle. L'urologie en 1938, par Raymond Dossot. Urètre et organes génitaux / Le problème d'abord de la loge rénale, par L. Surraco / La voie d'abord anatomo-clinique
0301 - Page 289 - Le problème d'abord de la loge rénale, par L. Surraco. La voie d'abord anatomo-clinique / La région de l'incision lombaire. Le grand dorsal (couverture ou couvercle de la région)0301 - Page 289 - Le problème d'abord de la loge rénale, par L. Surraco. La voie d'abord anatomo-clinique / La région de l'incision lombaire. Le grand dorsal (couverture ou couvercle de la région)
0302 - Page 290 - Le problème d'abord de la loge rénale, par L. Surraco. La région de l'incision lombaire. Le grand dorsal (couverture ou couvercle de la région) / La voie d'abord lombaire. L'incision cutanée0302 - Page 290 - Le problème d'abord de la loge rénale, par L. Surraco. La région de l'incision lombaire. Le grand dorsal (couverture ou couvercle de la région) / La voie d'abord lombaire. L'incision cutanée
0303 - Page 291 - Le problème d'abord de la loge rénale, par L. Surraco. La voie d'abord lombaire. L'incision cutanée / Premier plan musculaire. Le bord du grand dorsal. Point de repaire / La région lombaire de la taille / Voie d'abord de la loge lombaire. Les trois zones : zone de résistance ou de Henle, zone faible ou de Luscka-Grinfield, zone de tension ou du petit oblique0303 - Page 291 - Le problème d'abord de la loge rénale, par L. Surraco. La voie d'abord lombaire. L'incision cutanée / Premier plan musculaire. Le bord du grand dorsal. Point de repaire / La région lombaire de la taille / Voie d'abord de la loge lombaire. Les trois zones : zone de résistance ou de Henle, zone faible ou de Luscka-Grinfield, zone de tension ou du petit oblique
0305 - Page 293 - Le problème d'abord de la loge rénale, par L. Surraco. Voie d'abord de la loge lombaire. Les trois zones : zone de résistance ou de Henle, zone faible ou de Luscka-Grinfield, zone de tension ou du petit oblique / L'incision : sa longueur, incision simple, incision élargie0305 - Page 293 - Le problème d'abord de la loge rénale, par L. Surraco. Voie d'abord de la loge lombaire. Les trois zones : zone de résistance ou de Henle, zone faible ou de Luscka-Grinfield, zone de tension ou du petit oblique / L'incision : sa longueur, incision simple, incision élargie
0307 - Page 295 - Actualités médicales. La phénolémie en dehors de l'insuffisance rénale / Néphrocirrhose maligne associée à des malformations congénitales / Le traitement de l'asthme sévère / Ostéose, parathyroïdienne atypique / Cirrhose cardiaque atrophique0307 - Page 295 - Actualités médicales. La phénolémie en dehors de l'insuffisance rénale / Néphrocirrhose maligne associée à des malformations congénitales / Le traitement de l'asthme sévère / Ostéose, parathyroïdienne atypique / Cirrhose cardiaque atrophique
0308 - Page 296 - Actualités médicales. Bronchectasie / Colorants azoïques et paludisme / L'insulinothérapie en psychiatrie / Hépatite amibienne chronique avec ictère / Influence du décubitus latéral sur la cinématique de chaque poumon / La pression artérielle au Brésil0308 - Page 296 - Actualités médicales. Bronchectasie / Colorants azoïques et paludisme / L'insulinothérapie en psychiatrie / Hépatite amibienne chronique avec ictère / Influence du décubitus latéral sur la cinématique de chaque poumon / La pression artérielle au Brésil
0309 - Page 297 - L'anémie des cirrhotiques, par MM. M. Loeper et J. Vignalou0309 - Page 297 - L'anémie des cirrhotiques, par MM. M. Loeper et J. Vignalou
0313 - Page 301 - L'anémie des cirrhotiques, par MM. M. Loeper et J. Vignalou / Pathogénie0313 - Page 301 - L'anémie des cirrhotiques, par MM. M. Loeper et J. Vignalou / Pathogénie
0315 - Page 303 - L'anémie des cirrhotiques, par MM. M. Loeper et J. Vignalou. Pathogénie / Considérations pathogéniques au sujet d'une poliomyélite antérieure curable (septinévrite probable), par Robert Raynaud, F.-G. Marill, J. Robert d'Eshougues0315 - Page 303 - L'anémie des cirrhotiques, par MM. M. Loeper et J. Vignalou. Pathogénie / Considérations pathogéniques au sujet d'une poliomyélite antérieure curable (septinévrite probable), par Robert Raynaud, F.-G. Marill, J. Robert d'Eshougues
0318 - Page 306 - Considérations pathogéniques au sujet d'une poliomyélite antérieure curable (septinévrite probable), par Robert Raynaud, F.-G. Marill, J. Robert d'Eshougues / Pratique chirurgicale. De la fracture de l'extrémité inférieure du radius, par Anselme Schwartz0318 - Page 306 - Considérations pathogéniques au sujet d'une poliomyélite antérieure curable (septinévrite probable), par Robert Raynaud, F.-G. Marill, J. Robert d'Eshougues / Pratique chirurgicale. De la fracture de l'extrémité inférieure du radius, par Anselme Schwartz
0320 - Page 308 - Pratique chirurgicale. De la fracture de l'extrémité inférieure du radius, par Anselme Schwartz / Actualités médicales. Biopsies hépatiques dans la cholélithiase / Considérations sur la pression artérielle / Nouvelles recherches sur le pneumothorax spontané0320 - Page 308 - Pratique chirurgicale. De la fracture de l'extrémité inférieure du radius, par Anselme Schwartz / Actualités médicales. Biopsies hépatiques dans la cholélithiase / Considérations sur la pression artérielle / Nouvelles recherches sur le pneumothorax spontané
0321 - Page 309 - Revue générale. Traitement chirurgical des calculs du cholédoque (État actuel de la question), par B.-Y. Yovanovitch / I. - Cholédocotomie sus-duodénale0321 - Page 309 - Revue générale. Traitement chirurgical des calculs du cholédoque (État actuel de la question), par B.-Y. Yovanovitch / I. - Cholédocotomie sus-duodénale
0323 - Page 311 - Revue générale. Traitement chirurgical des calculs du cholédoque (État actuel de la question), par B.-Y. Yovanovitch. I. - Cholédocotomie sus-duodénale / II. - Lithoclasie avec dilatation forcée du cholédoque / III. - Cholédoco-duodénostomies0323 - Page 311 - Revue générale. Traitement chirurgical des calculs du cholédoque (État actuel de la question), par B.-Y. Yovanovitch. I. - Cholédocotomie sus-duodénale / II. - Lithoclasie avec dilatation forcée du cholédoque / III. - Cholédoco-duodénostomies
0325 - Page 313 - Revue générale. Traitement chirurgical des calculs du cholédoque (État actuel de la question), par B.-Y. Yovanovitch. III. - Cholédoco-duodénostomies / IV. - Indications opératoires0325 - Page 313 - Revue générale. Traitement chirurgical des calculs du cholédoque (État actuel de la question), par B.-Y. Yovanovitch. III. - Cholédoco-duodénostomies / IV. - Indications opératoires
0330 - Page 318 - Le pneumopéritoine thérapeutique dans la tuberculose pulmonaire, par le Dr P. Dinanian0330 - Page 318 - Le pneumopéritoine thérapeutique dans la tuberculose pulmonaire, par le Dr P. Dinanian
0332 - Page 320 - Actualités médicales. L'extrait de moelle jaune des os dans le traitement de l'agranulocytose / Le traitement des néphroses, par l'acacia / Maladie de Sinding-Larsen-Johansson / Bronchectasie hémoptoïque et mycose pulmonaire0332 - Page 320 - Actualités médicales. L'extrait de moelle jaune des os dans le traitement de l'agranulocytose / Le traitement des néphroses, par l'acacia / Maladie de Sinding-Larsen-Johansson / Bronchectasie hémoptoïque et mycose pulmonaire
0333 - Page 321 - Revue annuelle. Les maladies des enfants en 1938, par P. Lereboullet et Fr. Saint Girons / Hygiène de l'enfance0333 - Page 321 - Revue annuelle. Les maladies des enfants en 1938, par P. Lereboullet et Fr. Saint Girons / Hygiène de l'enfance
0334 - Page 322 - Revue annuelle. Les maladies des enfants en 1938, par P. Lereboullet et Fr. Saint Girons. Hygiène de l'enfance / I. - Diététique du nourrisson0334 - Page 322 - Revue annuelle. Les maladies des enfants en 1938, par P. Lereboullet et Fr. Saint Girons. Hygiène de l'enfance / I. - Diététique du nourrisson
0337 - Page 325 - Revue annuelle. Les maladies des enfants en 1938, par P. Lereboullet et Fr. Saint Girons. I. - Diététique du nourrisson / II. - Maladies du nouveau-né0337 - Page 325 - Revue annuelle. Les maladies des enfants en 1938, par P. Lereboullet et Fr. Saint Girons. I. - Diététique du nourrisson / II. - Maladies du nouveau-né
0338 - Page 326 - Revue annuelle. Les maladies des enfants en 1938, par P. Lereboullet et Fr. Saint Girons. II. - Maladies du nouveau-né / III. - Maladies du nourrisson0338 - Page 326 - Revue annuelle. Les maladies des enfants en 1938, par P. Lereboullet et Fr. Saint Girons. II. - Maladies du nouveau-né / III. - Maladies du nourrisson
0343 - Page 331 - Revue annuelle. Les maladies des enfants en 1938, par P. Lereboullet et Fr. Saint Girons. III. - Maladies du nourrisson / IV. - Maladies des enfants0343 - Page 331 - Revue annuelle. Les maladies des enfants en 1938, par P. Lereboullet et Fr. Saint Girons. III. - Maladies du nourrisson / IV. - Maladies des enfants
0345 - Page 333 - Revue annuelle. Les maladies des enfants en 1938, par P. Lereboullet et Fr. Saint Girons. IV. - Maladies des enfants / Quelques formes d'hypertonie sympathique abdominale chez l'enfant, par P. Rohmer0345 - Page 333 - Revue annuelle. Les maladies des enfants en 1938, par P. Lereboullet et Fr. Saint Girons. IV. - Maladies des enfants / Quelques formes d'hypertonie sympathique abdominale chez l'enfant, par P. Rohmer
0349 - Page 337 - Quelques formes d'hypertonie sympathique abdominale chez l'enfant, par P. Rohmer / Sur une épidémie d'oedème pulmonaire infectieux subaigu du nourrisson (broncho-alvéolite spumeuse), par P. Lereboullet, Marcel Lelong, J. Delarue et Joseph0349 - Page 337 - Quelques formes d'hypertonie sympathique abdominale chez l'enfant, par P. Rohmer / Sur une épidémie d'oedème pulmonaire infectieux subaigu du nourrisson (broncho-alvéolite spumeuse), par P. Lereboullet, Marcel Lelong, J. Delarue et Joseph
0354 - Page 342 - Sur une épidémie d'oedème pulmonaire infectieux subaigu du nourrisson (broncho-alvéolite spumeuse), par P. Lereboullet, Marcel Lelong, J. Delarue et Joseph / Ictère grave hémopathique du nouveau-né. Érythroblastémie légère mais prolongée. Guérison par l'hémothérapie intraveineuse, par MM. Julien Marie et A. Boutet0354 - Page 342 - Sur une épidémie d'oedème pulmonaire infectieux subaigu du nourrisson (broncho-alvéolite spumeuse), par P. Lereboullet, Marcel Lelong, J. Delarue et Joseph / Ictère grave hémopathique du nouveau-né. Érythroblastémie légère mais prolongée. Guérison par l'hémothérapie intraveineuse, par MM. Julien Marie et A. Boutet
0357 - Page 345 - Ictère grave hémopathique du nouveau-né. Érythroblastémie légère mais prolongée. Guérison par l'hémothérapie intraveineuse, par MM. Julien Marie et A. Boutet / Remarques hématologiques / Étude de l'enquête familiale0357 - Page 345 - Ictère grave hémopathique du nouveau-né. Érythroblastémie légère mais prolongée. Guérison par l'hémothérapie intraveineuse, par MM. Julien Marie et A. Boutet / Remarques hématologiques / Étude de l'enquête familiale
0359 - Page 347 - Ictère grave hémopathique du nouveau-né. Érythroblastémie légère mais prolongée. Guérison par l'hémothérapie intraveineuse, par MM. Julien Marie et A. Boutet / Conduite du traitement des méningites purulentes par le para-amino-phénil-sulfamide (1162 F), par René Martin0359 - Page 347 - Ictère grave hémopathique du nouveau-né. Érythroblastémie légère mais prolongée. Guérison par l'hémothérapie intraveineuse, par MM. Julien Marie et A. Boutet / Conduite du traitement des méningites purulentes par le para-amino-phénil-sulfamide (1162 F), par René Martin
0360 - Page 348 - Conduite du traitement des méningites purulentes par le para-amino-phénil-sulfamide (1162 F), par René Martin / a. Traitement d'attaque0360 - Page 348 - Conduite du traitement des méningites purulentes par le para-amino-phénil-sulfamide (1162 F), par René Martin / a. Traitement d'attaque
0361 - Page 349 - Conduite du traitement des méningites purulentes par le para-amino-phénil-sulfamide (1162 F), par René Martin. a. Traitement d'attaque / Importance du dosage des sulfamides dans le liquide céphalo-rachidien0361 - Page 349 - Conduite du traitement des méningites purulentes par le para-amino-phénil-sulfamide (1162 F), par René Martin. a. Traitement d'attaque / Importance du dosage des sulfamides dans le liquide céphalo-rachidien
0362 - Page 350 - Conduite du traitement des méningites purulentes par le para-amino-phénil-sulfamide (1162 F), par René Martin. Importance du dosage des sulfamides dans le liquide céphalo-rachidien / c. Traitement de surveillance / Traitement adjuvant0362 - Page 350 - Conduite du traitement des méningites purulentes par le para-amino-phénil-sulfamide (1162 F), par René Martin. Importance du dosage des sulfamides dans le liquide céphalo-rachidien / c. Traitement de surveillance / Traitement adjuvant
0363 - Page 351 - Conduite du traitement des méningites purulentes, par le, para-amino-phénil-sulfamide (1162 F), par René Martin. Traitement adjuvant / Surveillance du malade pour se mettre à l'abri des accidents de la thérapeutique par les dérivés organiques de la thérapeutique par les dérivés organiques du soufre / Des soins à donner aux dents de lait, par le Dr M. Dechaume / Pourquoi faut-il soigner les dents de lait ?0363 - Page 351 - Conduite du traitement des méningites purulentes, par le, para-amino-phénil-sulfamide (1162 F), par René Martin. Traitement adjuvant / Surveillance du malade pour se mettre à l'abri des accidents de la thérapeutique par les dérivés organiques de la thérapeutique par les dérivés organiques du soufre / Des soins à donner aux dents de lait, par le Dr M. Dechaume / Pourquoi faut-il soigner les dents de lait ?
0365 - Page 353 - Des soins à donner aux dents de lait, par le Dr M. Dechaume. Pourquoi faut-il soigner les dents de lait ? / Comment soigner les dents de lait ?0365 - Page 353 - Des soins à donner aux dents de lait, par le Dr M. Dechaume. Pourquoi faut-il soigner les dents de lait ? / Comment soigner les dents de lait ?
0368 - Page 356 - Des soins à donner aux dents de lait, par le Dr M. Dechaume. Comment soigner les dents de lait ? / Actualités médicales. Développement sexuel précoce sous l'influence d'injections d'hormone gonadotrope / Un cas de syndrome de Cooley0368 - Page 356 - Des soins à donner aux dents de lait, par le Dr M. Dechaume. Comment soigner les dents de lait ? / Actualités médicales. Développement sexuel précoce sous l'influence d'injections d'hormone gonadotrope / Un cas de syndrome de Cooley
0369 - Page 357 - Sur l'intrication, en clinique, des diverses manifestations de la tuberculose, par Jean Minet, H. Warembourg et Bertrand0369 - Page 357 - Sur l'intrication, en clinique, des diverses manifestations de la tuberculose, par Jean Minet, H. Warembourg et Bertrand
0370 - Page 358 - Sur l'intrication, en clinique, des diverses manifestations de la tuberculose, par Jean Minet, H. Warembourg et Bertrand / Observation I / Obs. II / Obs. III / Obs. IV / Obs. V / Obs. VI0370 - Page 358 - Sur l'intrication, en clinique, des diverses manifestations de la tuberculose, par Jean Minet, H. Warembourg et Bertrand / Observation I / Obs. II / Obs. III / Obs. IV / Obs. V / Obs. VI
0371 - Page 359 - Sur l'intrication, en clinique, des diverses manifestations de la tuberculose, par Jean Minet, H. Warembourg et Bertrand. Obs. VI / Obs. VII / Obs. VIII / Obs. IX / Obs. X / Obs. XI0371 - Page 359 - Sur l'intrication, en clinique, des diverses manifestations de la tuberculose, par Jean Minet, H. Warembourg et Bertrand. Obs. VI / Obs. VII / Obs. VIII / Obs. IX / Obs. X / Obs. XI
0372 - Page 360 - Sur l'intrication, en clinique, des diverses manifestations de la tuberculose, par Jean Minet, H. Warembourg et Bertrand. Obs. XI / Obs. XII / Obs. XIII / Obs. XIV / Obs. XV0372 - Page 360 - Sur l'intrication, en clinique, des diverses manifestations de la tuberculose, par Jean Minet, H. Warembourg et Bertrand. Obs. XI / Obs. XII / Obs. XIII / Obs. XIV / Obs. XV
0373 - Page 361 - Sur l'intrication, en clinique, des diverses manifestations de la tuberculose, par Jean Minet, H. Warembourg et Bertrand. Obs. XV / Les nouveaux dérivés organiques du soufre dans les infections respiratoires, par Henri Mollard et Marc Duret0373 - Page 361 - Sur l'intrication, en clinique, des diverses manifestations de la tuberculose, par Jean Minet, H. Warembourg et Bertrand. Obs. XV / Les nouveaux dérivés organiques du soufre dans les infections respiratoires, par Henri Mollard et Marc Duret
0374 - Page 362 - Les nouveaux dérivés organiques du soufre dans les infections respiratoires, par Henri Mollard et Marc Duret / 1° Les infections aiguës de l'arbre aérien0374 - Page 362 - Les nouveaux dérivés organiques du soufre dans les infections respiratoires, par Henri Mollard et Marc Duret / 1° Les infections aiguës de l'arbre aérien
0375 - Page 363 - Les nouveaux dérivés organiques du soufre dans les infections respiratoires, par Henri Mollard et Marc Duret. 1° Les infections aiguës de l'arbre aérien / 2° Les pleurésies purulentes streptococciques / 3° Abcès du poumon / 4° Bronchorrhées chroniques0375 - Page 363 - Les nouveaux dérivés organiques du soufre dans les infections respiratoires, par Henri Mollard et Marc Duret. 1° Les infections aiguës de l'arbre aérien / 2° Les pleurésies purulentes streptococciques / 3° Abcès du poumon / 4° Bronchorrhées chroniques
0376 - Page 364 - Les nouveaux dérivés organiques du soufre dans les infections respiratoires, par Henri Mollard et Marc Duret. 4° Bronchorrhées chroniques / 5° Infections secondaires au cours de la tuberculose pulmonaire / Coquillages et fièvre typhoïde, par Adrien Loir et H. Legangneux0376 - Page 364 - Les nouveaux dérivés organiques du soufre dans les infections respiratoires, par Henri Mollard et Marc Duret. 4° Bronchorrhées chroniques / 5° Infections secondaires au cours de la tuberculose pulmonaire / Coquillages et fièvre typhoïde, par Adrien Loir et H. Legangneux
0380 - Page 368 - Coquillages et fièvre typhoïde, par Adrien Loir et H. Legangneux / Actualités médicales. Action du pyramidon sur la diurèse et la fonction rénale0380 - Page 368 - Coquillages et fièvre typhoïde, par Adrien Loir et H. Legangneux / Actualités médicales. Action du pyramidon sur la diurèse et la fonction rénale
0381 - Page 369 - Quelques vérités dans le traitement de la stérilité conjugale, par L. Devraigne0381 - Page 369 - Quelques vérités dans le traitement de la stérilité conjugale, par L. Devraigne
0384 - Page 372 - Quelques vérités dans le traitement de la stérilité conjugale, par L. Devraigne / Réflexions médicales sur l'orientation professionnelle, par les Docteurs Pierre Mazel et Henri Naussac0384 - Page 372 - Quelques vérités dans le traitement de la stérilité conjugale, par L. Devraigne / Réflexions médicales sur l'orientation professionnelle, par les Docteurs Pierre Mazel et Henri Naussac
0393 - Page 381 - Les médecins et les syndicats, par Adrien Peytel0393 - Page 381 - Les médecins et les syndicats, par Adrien Peytel
0400 - Page 388 - Les médecins et les syndicats, par Adrien Peytel / Le diagnostic des lésions vitales sur le cadavre, par R. Piédelièvre0400 - Page 388 - Les médecins et les syndicats, par Adrien Peytel / Le diagnostic des lésions vitales sur le cadavre, par R. Piédelièvre
0403 - Page 391 - Actualités médicales. La puberté / Les syndromes thyrohypophysaire et hypophysothyroïdien / Hyperthyroïdie et diiodotyroxine / Les injections artérielles avec stase dans la thérapeutique des injections / Diabète suspendu0403 - Page 391 - Actualités médicales. La puberté / Les syndromes thyrohypophysaire et hypophysothyroïdien / Hyperthyroïdie et diiodotyroxine / Les injections artérielles avec stase dans la thérapeutique des injections / Diabète suspendu
0404 - Page 392 - Actualités médicales. Diabète suspendu / Épilepsie par hyperfolliculinisme / Ostéite condensante monomélique / L'asthme bronchique à Milan / Le traitement de la lambliase par l'atébrine0404 - Page 392 - Actualités médicales. Diabète suspendu / Épilepsie par hyperfolliculinisme / Ostéite condensante monomélique / L'asthme bronchique à Milan / Le traitement de la lambliase par l'atébrine
0405 - Page 393 - Instabilité sanguine et transfusion, par R. Benda0405 - Page 393 - Instabilité sanguine et transfusion, par R. Benda
0413 - Page 401 - Nouveaux procédés de traitement des affections inflammatoires aiguës de la vessie, par le Dr Herbert Weingarten0413 - Page 401 - Nouveaux procédés de traitement des affections inflammatoires aiguës de la vessie, par le Dr Herbert Weingarten
0415 - Page 403 - Nouveaux procédés de traitement des affections inflammatoires aiguës de la vessie, par le Dr Herbert Weingarten / Conclusions / Actualités médicales. Le traitement du diabète par l'insuline-protamine0415 - Page 403 - Nouveaux procédés de traitement des affections inflammatoires aiguës de la vessie, par le Dr Herbert Weingarten / Conclusions / Actualités médicales. Le traitement du diabète par l'insuline-protamine
0416 - Page 404 - Actualités médicales. Le traitement du diabète par l'insuline-protamine / Extrait thyroïdien et fonctionnement hépatique / Les infarctus du rein0416 - Page 404 - Actualités médicales. Le traitement du diabète par l'insuline-protamine / Extrait thyroïdien et fonctionnement hépatique / Les infarctus du rein
0417 - Page 405 - Revue annuelle. La thérapeutique en 1938, par P. Harvier et Marcel Perrault. I. - Acquisitions nouvelles de la thérapeutique par les sulfamidés0417 - Page 405 - Revue annuelle. La thérapeutique en 1938, par P. Harvier et Marcel Perrault. I. - Acquisitions nouvelles de la thérapeutique par les sulfamidés
0419 - Page 407 - Revue annuelle. La thérapeutique en 1938, par P. Harvier et Marcel Perrault. I. - Acquisitions nouvelles de la thérapeutique par les sulfamidés / II. - État actuel du traitement des septicémies à staphylocoques par l'anatoxine et le sérum antistaphylococcique0419 - Page 407 - Revue annuelle. La thérapeutique en 1938, par P. Harvier et Marcel Perrault. I. - Acquisitions nouvelles de la thérapeutique par les sulfamidés / II. - État actuel du traitement des septicémies à staphylocoques par l'anatoxine et le sérum antistaphylococcique
0420 - Page 408 - Revue annuelle. La thérapeutique en 1938, par P. Harvier et Marcel Perrault. II. - État actuel du traitement des septicémies à staphylocoques par l'anatoxine et le sérum antistaphylococcique / III. - Traitement du tétanos par injections intraveineuses d'alcool associées à la sérothérapie massive0420 - Page 408 - Revue annuelle. La thérapeutique en 1938, par P. Harvier et Marcel Perrault. II. - État actuel du traitement des septicémies à staphylocoques par l'anatoxine et le sérum antistaphylococcique / III. - Traitement du tétanos par injections intraveineuses d'alcool associées à la sérothérapie massive
0421 - Page 409 - Revue annuelle. La thérapeutique en 1938, par P. Harvier et Marcel Perrault. III. - Traitement du tétanos par injections intraveineuses d'alcool associées à la sérothérapie massive / IV. - Traitement du rhumatisme articulaire aigu par l'antipyrine / V. - Nouveaux traitements de l'ulcère gastro-duodénal0421 - Page 409 - Revue annuelle. La thérapeutique en 1938, par P. Harvier et Marcel Perrault. III. - Traitement du tétanos par injections intraveineuses d'alcool associées à la sérothérapie massive / IV. - Traitement du rhumatisme articulaire aigu par l'antipyrine / V. - Nouveaux traitements de l'ulcère gastro-duodénal
0422 - Page 410 - Revue annuelle. La thérapeutique en 1938, par P. Harvier et Marcel Perrault. V. - Nouveaux traitements de l'ulcère gastro-duodénal / VI. - Le traitement des syndromes douloureux pancréatico-solaires par l'éphédrine administrée par voie parentérale0422 - Page 410 - Revue annuelle. La thérapeutique en 1938, par P. Harvier et Marcel Perrault. V. - Nouveaux traitements de l'ulcère gastro-duodénal / VI. - Le traitement des syndromes douloureux pancréatico-solaires par l'éphédrine administrée par voie parentérale
0423 - Page 411 - Revue annuelle. La thérapeutique en 1938, par P. Harvier et Marcel Perrault. VI. - Le traitement des syndromes douloureux pancréatico-solaires par l'éphédrine administrée par voie parentérale / VII. - Sur le traitement du diabète sucré0423 - Page 411 - Revue annuelle. La thérapeutique en 1938, par P. Harvier et Marcel Perrault. VI. - Le traitement des syndromes douloureux pancréatico-solaires par l'éphédrine administrée par voie parentérale / VII. - Sur le traitement du diabète sucré
0425 - Page 413 - Revue annuelle. La thérapeutique en 1938, par P. Harvier et Marcel Perrault. VIII. - Essais de traitement de l'asthme pulmonaire par l'acide ascorbique lévogyre (vitamine C) / IX. - Interventions sur le système sympathique au cours de la tuberculose pulmonaire0425 - Page 413 - Revue annuelle. La thérapeutique en 1938, par P. Harvier et Marcel Perrault. VIII. - Essais de traitement de l'asthme pulmonaire par l'acide ascorbique lévogyre (vitamine C) / IX. - Interventions sur le système sympathique au cours de la tuberculose pulmonaire
0426 - Page 414 - Revue annuelle. La thérapeutique en 1938, par P. Harvier et Marcel Perrault. IX. - Interventions sur le système sympathique au cours de la tuberculose pulmonaire / X. - Quelques opinions autorisées sur les indications, les résultats, les dangers de la thyroïdectomie pour goitre Basedowien0426 - Page 414 - Revue annuelle. La thérapeutique en 1938, par P. Harvier et Marcel Perrault. IX. - Interventions sur le système sympathique au cours de la tuberculose pulmonaire / X. - Quelques opinions autorisées sur les indications, les résultats, les dangers de la thyroïdectomie pour goitre Basedowien
0427 - Page 415 - Revue annuelle. La thérapeutique en 1938, par P. Harvier et Marcel Perrault. X. - Quelques opinions autorisées sur les indications, les résultats, les dangers de la thyroïdectomie pour goitre Basedowien / XI. - Données actuelles concernant le traitement des angines de poitrine par la thyroïdectomie totale, les méthodes de revascularisation du myocarde, le diéthylamino-méthyl-benzodioxan (883 F)0427 - Page 415 - Revue annuelle. La thérapeutique en 1938, par P. Harvier et Marcel Perrault. X. - Quelques opinions autorisées sur les indications, les résultats, les dangers de la thyroïdectomie pour goitre Basedowien / XI. - Données actuelles concernant le traitement des angines de poitrine par la thyroïdectomie totale, les méthodes de revascularisation du myocarde, le diéthylamino-méthyl-benzodioxan (883 F)
0430 - Page 418 - Revue annuelle. La thérapeutique en 1938, par P. Harvier et Marcel Perrault. XII. - Divers0430 - Page 418 - Revue annuelle. La thérapeutique en 1938, par P. Harvier et Marcel Perrault. XII. - Divers
0432 - Page 420 - Revue annuelle. La thérapeutique en 1938, par P. Harvier et Marcel Perrault. XII. - Divers / Le thiophène dans le traitement des rhumatismes chroniques, par MM. Maurice Loeper et Roger Lesobre0432 - Page 420 - Revue annuelle. La thérapeutique en 1938, par P. Harvier et Marcel Perrault. XII. - Divers / Le thiophène dans le traitement des rhumatismes chroniques, par MM. Maurice Loeper et Roger Lesobre
0435 - Page 423 - Le thiophène dans le traitement des rhumatismes chroniques, par MM. Maurice Loeper et Roger Lesobre / Les injections locales de novocaïne dans le traitement de certaines algies de caractère sympathique, par Jacques Decourt0435 - Page 423 - Le thiophène dans le traitement des rhumatismes chroniques, par MM. Maurice Loeper et Roger Lesobre / Les injections locales de novocaïne dans le traitement de certaines algies de caractère sympathique, par Jacques Decourt
0437 - Page 425 - Les injections locales de novocaïne dans le traitement de certaines algies de caractère sympathique, par Jacques Decourt / Algies paroxystiques0437 - Page 425 - Les injections locales de novocaïne dans le traitement de certaines algies de caractère sympathique, par Jacques Decourt / Algies paroxystiques
0439 - Page 427 - Les injections locales de novocaïne dans le traitement de certaines algies de caractère sympathique, par Jacques Decourt. Algies paroxystiques / Algies continues0439 - Page 427 - Les injections locales de novocaïne dans le traitement de certaines algies de caractère sympathique, par Jacques Decourt. Algies paroxystiques / Algies continues
0441 - Page 429 - Les injections locales de novocaïne dans le traitement de certaines algies de caractère sympathique, par Jacques Decourt. Algies continues / Traitement des dilatations des bronches chez l'enfant, par J. Boisserie-Lacroix0441 - Page 429 - Les injections locales de novocaïne dans le traitement de certaines algies de caractère sympathique, par Jacques Decourt. Algies continues / Traitement des dilatations des bronches chez l'enfant, par J. Boisserie-Lacroix
0442 - Page 430 - Traitement des dilatations des bronches chez l'enfant, par J. Boisserie-Lacroix / Méthodes thérapeutiques utilisables / Traitement médical0442 - Page 430 - Traitement des dilatations des bronches chez l'enfant, par J. Boisserie-Lacroix / Méthodes thérapeutiques utilisables / Traitement médical
0445 - Page 433 - Traitement des dilatations des bronches chez l'enfant, par J. Boisserie-Lacroix. Traitement médical / Traitement endoscopique0445 - Page 433 - Traitement des dilatations des bronches chez l'enfant, par J. Boisserie-Lacroix. Traitement médical / Traitement endoscopique
0446 - Page 434 - Traitement des dilatations des bronches chez l'enfant, par J. Boisserie-Lacroix. Traitement endoscopique / Méthodes chirurgicales cherchant à immobiliser le poumon / Chirurgie pulmonaire0446 - Page 434 - Traitement des dilatations des bronches chez l'enfant, par J. Boisserie-Lacroix. Traitement endoscopique / Méthodes chirurgicales cherchant à immobiliser le poumon / Chirurgie pulmonaire
0447 - Page 435 - Traitement des dilatations des bronches chez l'enfant, par J. Boisserie-Lacroix. Chirurgie pulmonaire / Indications respectives des diverses thérapeutiques suivant la forme clinique des bronchectasies de l'enfance0447 - Page 435 - Traitement des dilatations des bronches chez l'enfant, par J. Boisserie-Lacroix. Chirurgie pulmonaire / Indications respectives des diverses thérapeutiques suivant la forme clinique des bronchectasies de l'enfance
0449 - Page 437 - Vaccination par voie buccale dans les pyélonéphrites à colibacilles, par Mme Aïtoff et M. Daunay0449 - Page 437 - Vaccination par voie buccale dans les pyélonéphrites à colibacilles, par Mme Aïtoff et M. Daunay
0452 - Page 440 - Actualités médicales. Le mécanisme humoral de l'hypertension par ischémie rénale / Les nouveaux traitements du diabète / L'action des solutions chlorurées hypertoniques dans les processus pleuro-pulmonaires aigus / Considérations générales sur 75 cas d'ulcères gastriques et duodénaux perforés0452 - Page 440 - Actualités médicales. Le mécanisme humoral de l'hypertension par ischémie rénale / Les nouveaux traitements du diabète / L'action des solutions chlorurées hypertoniques dans les processus pleuro-pulmonaires aigus / Considérations générales sur 75 cas d'ulcères gastriques et duodénaux perforés
0453 - Page 441 - Abcès du poumon et néphrite. Comparaison, par les anticorps, des albumines du sang, de l'urine et des crachats ; démonstration de l'amylose par ponctions du foie et du rein, par le Pr Paul Carnot, Girard, Glomaud et Lavergne0453 - Page 441 - Abcès du poumon et néphrite. Comparaison, par les anticorps, des albumines du sang, de l'urine et des crachats ; démonstration de l'amylose par ponctions du foie et du rein, par le Pr Paul Carnot, Girard, Glomaud et Lavergne
0458 - Page 446 - Abcès du poumon et néphrite. Comparaison, par les anticorps, des albumines du sang, de l'urine et des crachats ; démonstration de l'amylose par ponctions du foie et du rein, par le Pr Paul Carnot, Girard, Glomaud et Lavergne / Prurit avec lichénification et syphilis, par G. Milian0458 - Page 446 - Abcès du poumon et néphrite. Comparaison, par les anticorps, des albumines du sang, de l'urine et des crachats ; démonstration de l'amylose par ponctions du foie et du rein, par le Pr Paul Carnot, Girard, Glomaud et Lavergne / Prurit avec lichénification et syphilis, par G. Milian
0460 - Page 448 - Prurit avec lichénification et syphilis, par G. Milian / Réflexion0460 - Page 448 - Prurit avec lichénification et syphilis, par G. Milian / Réflexion
0461 - Page 449 - Prurit avec lichénification et syphilis, par G. Milian / Évolution du diagnostic et du pronostic de la paralysie générale dans les cinquante dernières années dans un asile d'aliénés, par MM. Daumézon et J. Masson / 1° Chiffre des paralytiques généraux0461 - Page 449 - Prurit avec lichénification et syphilis, par G. Milian / Évolution du diagnostic et du pronostic de la paralysie générale dans les cinquante dernières années dans un asile d'aliénés, par MM. Daumézon et J. Masson / 1° Chiffre des paralytiques généraux
0462 - Page 450 - Évolution du diagnostic et du pronostic de la paralysie générale dans les cinquante dernières années dans un asile d'aliénés, par MM. Daumézon et J. Masson. 1° Chiffre des paralytiques généraux / 2° Survie moyenne des paralytiques généraux / 3° Résultats comparés des diverses thérapeutiques jugés d'après les sorties par amélioration0462 - Page 450 - Évolution du diagnostic et du pronostic de la paralysie générale dans les cinquante dernières années dans un asile d'aliénés, par MM. Daumézon et J. Masson. 1° Chiffre des paralytiques généraux / 2° Survie moyenne des paralytiques généraux / 3° Résultats comparés des diverses thérapeutiques jugés d'après les sorties par amélioration
0463 - Page 451 - Pratique chirurgicale. Des plaies de la jambe et du pied, par Anselme Schwartz0463 - Page 451 - Pratique chirurgicale. Des plaies de la jambe et du pied, par Anselme Schwartz
0464 - Page 452 - Pratique chirurgicale. Des plaies de la jambe et du pied, par Anselme Schwartz / Actualités médicales. Néphrite rhumatismale primitive0464 - Page 452 - Pratique chirurgicale. Des plaies de la jambe et du pied, par Anselme Schwartz / Actualités médicales. Néphrite rhumatismale primitive
0465 - Page 453 - Revue annuelle. La gynécologie en 1938, par Raoul Palmer / Méthodes d'exploration / Gonococcie féminine0465 - Page 453 - Revue annuelle. La gynécologie en 1938, par Raoul Palmer / Méthodes d'exploration / Gonococcie féminine
0466 - Page 454 - Revue annuelle. La gynécologie en 1938, par Raoul Palmer. Gonococcie féminine / Vulve. Vagin. Périnée0466 - Page 454 - Revue annuelle. La gynécologie en 1938, par Raoul Palmer. Gonococcie féminine / Vulve. Vagin. Périnée
0467 - Page 455 - Revue annuelle. La gynécologie en 1938, par Raoul Palmer. Vulve. Vagin. Périnée / Utérus0467 - Page 455 - Revue annuelle. La gynécologie en 1938, par Raoul Palmer. Vulve. Vagin. Périnée / Utérus
0468 - Page 456 - Revue annuelle. La gynécologie en 1938, par Raoul Palmer. Utérus / Annexes0468 - Page 456 - Revue annuelle. La gynécologie en 1938, par Raoul Palmer. Utérus / Annexes
0471 - Page 459 - Revue annuelle. La gynécologie en 1938, par Raoul Palmer. Annexes / Syndromes fonctionnels0471 - Page 459 - Revue annuelle. La gynécologie en 1938, par Raoul Palmer. Annexes / Syndromes fonctionnels
0474 - Page 462 - Revue annuelle. La gynécologie en 1938, par Raoul Palmer. Syndromes fonctionnels / Hormonothérapie / Chirurgie0474 - Page 462 - Revue annuelle. La gynécologie en 1938, par Raoul Palmer. Syndromes fonctionnels / Hormonothérapie / Chirurgie
0477 - Page 465 - Réflexions sur certains échecs de la chirurgie conservatrice des annexes, par le Pr G. Cotte0477 - Page 465 - Réflexions sur certains échecs de la chirurgie conservatrice des annexes, par le Pr G. Cotte
0482 - Page 470 - Réflexions sur certains échecs de la chirurgie conservatrice des annexes, par le Pr G. Cotte / Propos sur la puberté précoce, par André Binet. Age de la puberté0482 - Page 470 - Réflexions sur certains échecs de la chirurgie conservatrice des annexes, par le Pr G. Cotte / Propos sur la puberté précoce, par André Binet. Age de la puberté
0483 - Page 471 - Propos sur la puberté précoce, par André Binet. Age de la puberté / Anomalies de la puberté / Étiologie de la puberté précoce0483 - Page 471 - Propos sur la puberté précoce, par André Binet. Age de la puberté / Anomalies de la puberté / Étiologie de la puberté précoce
0484 - Page 472 - Propos sur la puberté précoce, par André Binet. Étiologie de la puberté précoce / Étude clinique de la puberté précoce0484 - Page 472 - Propos sur la puberté précoce, par André Binet. Étiologie de la puberté précoce / Étude clinique de la puberté précoce
0486 - Page 474 - Quels sont les examens nécessaires pour le diagnostic étiologique de la stérilité ? Par Pierre Mocquot et Raoul Palmer / I. - Interrogatoire de la femme / II. - Examen de la femme0486 - Page 474 - Quels sont les examens nécessaires pour le diagnostic étiologique de la stérilité ? Par Pierre Mocquot et Raoul Palmer / I. - Interrogatoire de la femme / II. - Examen de la femme
0487 - Page 475 - Quels sont les examens nécessaires pour le diagnostic étiologique de la stérilité ? Par Pierre Mocquot et Raoul Palmer. II. - Examen de la femme / III. - La question du mari0487 - Page 475 - Quels sont les examens nécessaires pour le diagnostic étiologique de la stérilité ? Par Pierre Mocquot et Raoul Palmer. II. - Examen de la femme / III. - La question du mari
0488 - Page 476 - Quels sont les examens nécessaires pour le diagnostic étiologique de la stérilité ?, par Pierre Mocquot et Raoul Palmer. III. - La question du mari / IV. - L'insufflation utéro-tubaire kymographique / V. - L'hystéro-salpingographie au lipiodol0488 - Page 476 - Quels sont les examens nécessaires pour le diagnostic étiologique de la stérilité ?, par Pierre Mocquot et Raoul Palmer. III. - La question du mari / IV. - L'insufflation utéro-tubaire kymographique / V. - L'hystéro-salpingographie au lipiodol
0489 - Page 477 - Quels sont les examens nécessaires pour le diagnostic étiologique de la stérilité ?, par Pierre Mocquot et Raoul Palmer. V. - L'hystéro-salpingographie au lipiodol / VI. - Étude des sécrétions cervicales et vaginales / VII. - Les biopsies d'endomètre0489 - Page 477 - Quels sont les examens nécessaires pour le diagnostic étiologique de la stérilité ?, par Pierre Mocquot et Raoul Palmer. V. - L'hystéro-salpingographie au lipiodol / VI. - Étude des sécrétions cervicales et vaginales / VII. - Les biopsies d'endomètre
0490 - Page 478 - Quels sont les examens nécessaires pour le diagnostic étiologique de la stérilité ?, par Pierre Mocquot et Raoul Palmer. VII. - Les biopsies d'endomètre / VIII. - Autres recherches de laboratoire / IX. - Conclusion0490 - Page 478 - Quels sont les examens nécessaires pour le diagnostic étiologique de la stérilité ?, par Pierre Mocquot et Raoul Palmer. VII. - Les biopsies d'endomètre / VIII. - Autres recherches de laboratoire / IX. - Conclusion
0491 - Page 479 - Actualités médicales. Nouvelle méthode de traitement des annexites par « blocage anesthésique » / Traitement chirurgical des hémorragies gastriques profuses / Sur le traitement de l'iléus aigu spasmodique post-opératoire par la simple rachianesthésie0491 - Page 479 - Actualités médicales. Nouvelle méthode de traitement des annexites par « blocage anesthésique » / Traitement chirurgical des hémorragies gastriques profuses / Sur le traitement de l'iléus aigu spasmodique post-opératoire par la simple rachianesthésie
0492 - Page 480 - Actualités médicales. Sur le traitement de l'iléus aigu spasmodique post-opératoire par la simple rachianesthésie / Recherches sur la perméabilité tubaire dans les annexites / Contribution au traitement des maladies par intoxication autogène : les brûlures / Radiokymographie du diaphragme dans l'asthme0492 - Page 480 - Actualités médicales. Sur le traitement de l'iléus aigu spasmodique post-opératoire par la simple rachianesthésie / Recherches sur la perméabilité tubaire dans les annexites / Contribution au traitement des maladies par intoxication autogène : les brûlures / Radiokymographie du diaphragme dans l'asthme
0493 - Page 481 - La coxarthrie traumatique, par Maurice Perrin et Pierre Louyot / I. - Traumatisme violent, unique, direct / II. - Traumatisme peu violent, constamment répété, à transmission plus ou moins directe0493 - Page 481 - La coxarthrie traumatique, par Maurice Perrin et Pierre Louyot / I. - Traumatisme violent, unique, direct / II. - Traumatisme peu violent, constamment répété, à transmission plus ou moins directe
0497 - Page 485 - La coxarthrie traumatique, par Maurice Perrin et Pierre Louyot. II. - Traumatisme peu violent, constamment répété, à transmission plus ou moins directe / Comparaison de l'action spasmolytique de l'atropine, de la papavérine et d'un ester d'amino-alcool synthétique : alpha-phényl-valérate du diéthyl-amino-éthanol, par B.-N. Halpern0497 - Page 485 - La coxarthrie traumatique, par Maurice Perrin et Pierre Louyot. II. - Traumatisme peu violent, constamment répété, à transmission plus ou moins directe / Comparaison de l'action spasmolytique de l'atropine, de la papavérine et d'un ester d'amino-alcool synthétique : alpha-phényl-valérate du diéthyl-amino-éthanol, par B.-N. Halpern
0498 - Page 486 - Comparaison de l'action spasmolytique de l'atropine, de la papavérine et d'un ester d'amino-alcool synthétique : <ATTcaractere>-phényl-valérate du diéthyl-amino-éthanol, par B.-N. Halpern / I. Toxicité0498 - Page 486 - Comparaison de l'action spasmolytique de l'atropine, de la papavérine et d'un ester d'amino-alcool synthétique : <ATTcaractere>-phényl-valérate du diéthyl-amino-éthanol, par B.-N. Halpern / I. Toxicité
0499 - Page 487 - Comparaison de l'action spasmolytique de l'atropine, de la papavérine et d'un ester d'amino-alcool synthétique : <ATTcaractere>-phényl-valérate du diéthyl-amino-éthanol, par B.-N. Halpern. I. Toxicité / II. Action spasmolytique sur les organes à muscles lisses0499 - Page 487 - Comparaison de l'action spasmolytique de l'atropine, de la papavérine et d'un ester d'amino-alcool synthétique : <ATTcaractere>-phényl-valérate du diéthyl-amino-éthanol, par B.-N. Halpern. I. Toxicité / II. Action spasmolytique sur les organes à muscles lisses
0505 - Page 493 - Les troubles sanguins consécutifs aux opérations gastriques, par Raymond Grégoire0505 - Page 493 - Les troubles sanguins consécutifs aux opérations gastriques, par Raymond Grégoire
0507 - Page 495 - Les troubles sanguins consécutifs aux opérations gastriques, par Raymond Grégoire / Observations sur le traitement général de la blennorragie féminine en particulier sur la vaccination intraveineuse, par E. Weber0507 - Page 495 - Les troubles sanguins consécutifs aux opérations gastriques, par Raymond Grégoire / Observations sur le traitement général de la blennorragie féminine en particulier sur la vaccination intraveineuse, par E. Weber
0508 - Page 496 - Observations sur le traitement général de la blennorragie féminine en particulier sur la vaccination intraveineuse, par E. Weber / Les méthodes de traitement général de la blennorragie0508 - Page 496 - Observations sur le traitement général de la blennorragie féminine en particulier sur la vaccination intraveineuse, par E. Weber / Les méthodes de traitement général de la blennorragie
0509 - Page 497 - Observations sur le traitement général de la blennorragie féminine en particulier sur la vaccination intraveineuse, par E. Weber. Les méthodes de traitement général de la blennorragie / La composition des vaccins / La voie d'introduction0509 - Page 497 - Observations sur le traitement général de la blennorragie féminine en particulier sur la vaccination intraveineuse, par E. Weber. Les méthodes de traitement général de la blennorragie / La composition des vaccins / La voie d'introduction
0510 - Page 498 - Observations sur le traitement général de la blennorragie féminine en particulier sur la vaccination intraveineuse, par E. Weber. La voie d'introduction / Indications de la vaccination intraveineuse par rapport à l'âge de la blennorragie0510 - Page 498 - Observations sur le traitement général de la blennorragie féminine en particulier sur la vaccination intraveineuse, par E. Weber. La voie d'introduction / Indications de la vaccination intraveineuse par rapport à l'âge de la blennorragie
0511 - Page 499 - Observations sur le traitement général de la blennorragie féminine en particulier sur la vaccination intraveineuse, par E. Weber. Indications par rapport à la localisation de la blennorragie / Les réactions de l'organisme au injections intraveineuses0511 - Page 499 - Observations sur le traitement général de la blennorragie féminine en particulier sur la vaccination intraveineuse, par E. Weber. Indications par rapport à la localisation de la blennorragie / Les réactions de l'organisme au injections intraveineuses
0512 - Page 500 - Observations sur le traitement général de la blennorragie féminine en particulier sur la vaccination intraveineuse, par E. Weber. Les réactions de l'organisme au injections intraveineuses / Les contre-indications de la vaccination intraveineuse / Le choix d'un vaccin0512 - Page 500 - Observations sur le traitement général de la blennorragie féminine en particulier sur la vaccination intraveineuse, par E. Weber. Les réactions de l'organisme au injections intraveineuses / Les contre-indications de la vaccination intraveineuse / Le choix d'un vaccin
0513 - Page 501 - Observations sur le traitement général de la blennorragie féminine en particulier sur la vaccination intraveineuse, par E. Weber. Le choix d'un vaccin / La technique de la vaccination intraveineuse / Association de la vaccinothérapie à d'autres traitements0513 - Page 501 - Observations sur le traitement général de la blennorragie féminine en particulier sur la vaccination intraveineuse, par E. Weber. Le choix d'un vaccin / La technique de la vaccination intraveineuse / Association de la vaccinothérapie à d'autres traitements
0514 - Page 502 - Observations sur le traitement général de la blennorragie féminine en particulier sur la vaccination intraveineuse, par E. Weber / Le traitement du paludisme au moyen des injections intraveineuses d'adrénaline, par le Dr M.-A. Cayrel0514 - Page 502 - Observations sur le traitement général de la blennorragie féminine en particulier sur la vaccination intraveineuse, par E. Weber / Le traitement du paludisme au moyen des injections intraveineuses d'adrénaline, par le Dr M.-A. Cayrel
0516 - Page 504 - Le traitement du paludisme au moyen des injections intraveineuses d'adrénaline, par le Dr M.-A. Cayrel / Schéma de traitement de la malaria au moyen des injections intraveineuses progressives d'adrénaline0516 - Page 504 - Le traitement du paludisme au moyen des injections intraveineuses d'adrénaline, par le Dr M.-A. Cayrel / Schéma de traitement de la malaria au moyen des injections intraveineuses progressives d'adrénaline