Aller au contenu principal

Numerabilis


Titres et travaux scientifiques

Classe de ressource
Monographie
  • DESCRIPTION
  • VOIR PLUS
  • PARCOURIR
Identifiant
ark:/13685/110133x263x07
Titre
Titres et travaux scientifiques
Créateur
Métras, Henri
Date
1949
Éditeur
[lieu de pubication inconnu] : [sans éditeur]
Siècle
XXe siècle
Format
Nombre de vues : 122
Cote du document
110133 vol. 263 n° 7
Propriétaire
Université Paris Cité. BIU Santé Médecine
Licence
Licence Ouverte
Table des matières
0001 - Page sans numérotation - [Page de faux-titre]0001 - Page sans numérotation - [Page de faux-titre]
0003 - Page 5 - Titres et fonctions0003 - Page 5 - Titres et fonctions
0005 - Page 7 - Index chronologique. Présentations aux sociétés et articles de presse0005 - Page 7 - Index chronologique. Présentations aux sociétés et articles de presse
0012 - Page 14 - Index chronologique. Présentations aux sociétés et articles de presse / Thèses inspirées / Collaboration pour certains chapitres de thèses0012 - Page 14 - Index chronologique. Présentations aux sociétés et articles de presse / Thèses inspirées / Collaboration pour certains chapitres de thèses
0013 - Page 15 - Index chronologique. Collaboration pour certains chapitres de thèses / A paraître / Film0013 - Page 15 - Index chronologique. Collaboration pour certains chapitres de thèses / A paraître / Film
0014 - Page 16 - Index chronologique. Film / Instruments et appareils originaux / Livres / Conférences0014 - Page 16 - Index chronologique. Film / Instruments et appareils originaux / Livres / Conférences
0015 - Page 17 - Avant-propos0015 - Page 17 - Avant-propos
0017 - Page 19 - Exposé des travaux scientifiques0017 - Page 19 - Exposé des travaux scientifiques
0019 - Page 21 - Exposé des travaux scientifiques. Etudes cliniques / Étude des cavités soufflées au cours des suppurations pulmonaires ; par D. Olmer, H. Métras et J. Antonin0019 - Page 21 - Exposé des travaux scientifiques. Etudes cliniques / Étude des cavités soufflées au cours des suppurations pulmonaires ; par D. Olmer, H. Métras et J. Antonin
0022 - Page 24 - Exposé des travaux scientifiques. Etudes cliniques. Étude des cavités soufflées au cours des suppurations pulmonaires ; par D. Olmer, H. Métras et J. Antonin / «L'image en grelot» en radiologie pulmonaire ; par MM. H. Métras et P. Thomas...0022 - Page 24 - Exposé des travaux scientifiques. Etudes cliniques. Étude des cavités soufflées au cours des suppurations pulmonaires ; par D. Olmer, H. Métras et J. Antonin / «L'image en grelot» en radiologie pulmonaire ; par MM. H. Métras et P. Thomas...
0028 - Page 30 - Exposé des travaux scientifiques. Etudes cliniques. «L'image en grelot» en radiologie pulmonaire ; par MM. H. Métras et P. Thomas... / Le spasme bronchique ; étude d'un test radiologique pouvant servir d'indications thérapeutiques ; par MM. H. Métras et M. Nizard...0028 - Page 30 - Exposé des travaux scientifiques. Etudes cliniques. «L'image en grelot» en radiologie pulmonaire ; par MM. H. Métras et P. Thomas... / Le spasme bronchique ; étude d'un test radiologique pouvant servir d'indications thérapeutiques ; par MM. H. Métras et M. Nizard...
0034 - Page 36 - Exposé des travaux scientifiques. II. Etudes pathogéniques / La thrombose de l'artère bronchique existe-t-elle chez les malades, non tuberculeux, atteints de bronchiectasies ? Par H. Métras0034 - Page 36 - Exposé des travaux scientifiques. II. Etudes pathogéniques / La thrombose de l'artère bronchique existe-t-elle chez les malades, non tuberculeux, atteints de bronchiectasies ? Par H. Métras
0037 - Page 39 - Exposé des travaux scientifiques. III. Les techniques de petite chirurgie pulmonaire / Le cathétérisme des bronches lobaires avec une sonde en caoutchouc ; son intérêt pour l'injection de lipiodol et pour l'aspiration bronchique ; par H. Métras...0037 - Page 39 - Exposé des travaux scientifiques. III. Les techniques de petite chirurgie pulmonaire / Le cathétérisme des bronches lobaires avec une sonde en caoutchouc ; son intérêt pour l'injection de lipiodol et pour l'aspiration bronchique ; par H. Métras...
0040 - Page 42 - Exposé des travaux scientifiques. III. Les techniques de petite chirurgie pulmonaire. Le cathétérisme des bronches lobaires avec une sonde en caoutchouc ; son intérêt pour l'injection de lipiodol et pour l'aspiration bronchique ; par H. Métras... / Le lipiodol-diagnostic par le cathétérisme bronchique ; par H. Métras...0040 - Page 42 - Exposé des travaux scientifiques. III. Les techniques de petite chirurgie pulmonaire. Le cathétérisme des bronches lobaires avec une sonde en caoutchouc ; son intérêt pour l'injection de lipiodol et pour l'aspiration bronchique ; par H. Métras... / Le lipiodol-diagnostic par le cathétérisme bronchique ; par H. Métras...
0042 - Page 44 - Exposé des travaux scientifiques. III. Les techniques de petite chirurgie pulmonaire. Le lipiodol-diagnostic par le cathétérisme bronchique ; par H. Métras... / Une sonde pour le cathétérisme des bronches du lobe supérieur0042 - Page 44 - Exposé des travaux scientifiques. III. Les techniques de petite chirurgie pulmonaire. Le lipiodol-diagnostic par le cathétérisme bronchique ; par H. Métras... / Une sonde pour le cathétérisme des bronches du lobe supérieur
0045 - Page 47 - Exposé des travaux scientifiques. IV. Etudes anatomiques / Anatomie de l'arbre bronchique ; par H. Métras et M. Grégoire...0045 - Page 47 - Exposé des travaux scientifiques. IV. Etudes anatomiques / Anatomie de l'arbre bronchique ; par H. Métras et M. Grégoire...
0050 - Page 50 - Exposé des travaux scientifiques. V. Etudes thérapeutiques. A. Suppurations broncho-pulmonaires / Étude critique de la préparation à l'exérèse des suppurations broncho-pulmonaires ; rôle de la pénicilline endo-bronchique ; par H. Métras0050 - Page 50 - Exposé des travaux scientifiques. V. Etudes thérapeutiques. A. Suppurations broncho-pulmonaires / Étude critique de la préparation à l'exérèse des suppurations broncho-pulmonaires ; rôle de la pénicilline endo-bronchique ; par H. Métras
0056 - Page 56 - Exposé des travaux scientifiques. V. Etudes thérapeutiques. A. Suppurations broncho-pulmonaires. Treatment of broncho-pulmonary suppuration by local injection of penicilin : report of 63 cases ; by H. Métras and J. Lieutier...0056 - Page 56 - Exposé des travaux scientifiques. V. Etudes thérapeutiques. A. Suppurations broncho-pulmonaires. Treatment of broncho-pulmonary suppuration by local injection of penicilin : report of 63 cases ; by H. Métras and J. Lieutier...
0065 - Page 65 - Exposé des travaux scientifiques. V. Etudes thérapeutiques. A. Suppurations broncho-pulmonaires. Quelques problèmes posés par la pénicilline endo-bronchique dans le traitement des abcès du poumon ; par MM. H. Métras, M. Grégoire, J. Lieutier et C. Gaillard...0065 - Page 65 - Exposé des travaux scientifiques. V. Etudes thérapeutiques. A. Suppurations broncho-pulmonaires. Quelques problèmes posés par la pénicilline endo-bronchique dans le traitement des abcès du poumon ; par MM. H. Métras, M. Grégoire, J. Lieutier et C. Gaillard...
0069 - Page 69 - Exposé des travaux scientifiques. V. Etudes thérapeutiques. A. Suppurations broncho-pulmonaires. Quelques problèmes posés par la pénicilline endo-bronchique dans le traitement des abcès du poumon ; par MM. H. Métras, M. Grégoire, J. Lieutier et C. Gaillard... / B. Appareils broncho-pulmonaires en général / Rapport technique de la résection isolée d'un territoire bronchique sous-segmentaire (Présentation du premier cas) ; par M. H. Métras - Rapporteur : M. J. Dor0069 - Page 69 - Exposé des travaux scientifiques. V. Etudes thérapeutiques. A. Suppurations broncho-pulmonaires. Quelques problèmes posés par la pénicilline endo-bronchique dans le traitement des abcès du poumon ; par MM. H. Métras, M. Grégoire, J. Lieutier et C. Gaillard... / B. Appareils broncho-pulmonaires en général / Rapport technique de la résection isolée d'un territoire bronchique sous-segmentaire (Présentation du premier cas) ; par M. H. Métras - Rapporteur : M. J. Dor
0074 - Page 74 - Exposé des travaux scientifiques. V. Etudes thérapeutiques. B. Appareils broncho-pulmonaires en général. Rapport technique de la résection isolée d'un territoire bronchique sous-segmentaire (Présentation du premier cas) ; par M. H. Métras - Rapporteur : M. J. Dor / Suture bronchique ; technique et étude bronchographique postopératoire ; par H. Métras...0074 - Page 74 - Exposé des travaux scientifiques. V. Etudes thérapeutiques. B. Appareils broncho-pulmonaires en général. Rapport technique de la résection isolée d'un territoire bronchique sous-segmentaire (Présentation du premier cas) ; par M. H. Métras - Rapporteur : M. J. Dor / Suture bronchique ; technique et étude bronchographique postopératoire ; par H. Métras...
0085 - Page 85 - Exposé des travaux scientifiques. V. Etudes thérapeutiques. B. Appareils broncho-pulmonaires en général. Quelques détails techniques sur la ligature des vaisseaux au cours de pneumonectomies ; H. Métras0085 - Page 85 - Exposé des travaux scientifiques. V. Etudes thérapeutiques. B. Appareils broncho-pulmonaires en général. Quelques détails techniques sur la ligature des vaisseaux au cours de pneumonectomies ; H. Métras
0090 - Page 90 - Exposé des travaux scientifiques. V. Etudes thérapeutiques. B. Appareils broncho-pulmonaires en général. Quelques détails techniques sur la ligature des vaisseaux au cours de pneumonectomies ; H. Métras / a. La Plèvre / La pleurectomie totale pariétale et viscérale dans les pyothorax tuberculeux ; indication, technique et résultats ; par H. Métras...0090 - Page 90 - Exposé des travaux scientifiques. V. Etudes thérapeutiques. B. Appareils broncho-pulmonaires en général. Quelques détails techniques sur la ligature des vaisseaux au cours de pneumonectomies ; H. Métras / a. La Plèvre / La pleurectomie totale pariétale et viscérale dans les pyothorax tuberculeux ; indication, technique et résultats ; par H. Métras...
0092 - Page 92 - Exposé des travaux scientifiques. V. Etudes thérapeutiques. a. La Plèvre. La pleurectomie totale pariétale et viscérale dans les pyothorax tuberculeux ; indication, technique et résultats ; par H. Métras... / d. Le tube digestif / L'atrésie congénitale de l'oesophage avec fistule trachéo-oesophagienne ; par H. Métras et J. Coignet0092 - Page 92 - Exposé des travaux scientifiques. V. Etudes thérapeutiques. a. La Plèvre. La pleurectomie totale pariétale et viscérale dans les pyothorax tuberculeux ; indication, technique et résultats ; par H. Métras... / d. Le tube digestif / L'atrésie congénitale de l'oesophage avec fistule trachéo-oesophagienne ; par H. Métras et J. Coignet
0099 - Page 99 - Exposé des travaux scientifiques. V. Etudes thérapeutiques. d. Le tube digestif. L'atrésie congénitale de l'oesophage avec fistule trachéo-oesophagienne ; par H. Métras et J. Coignet / e. Appareil cardio vasculaire / L'angiocardiographie ; par J. Pierron et H. Métras...0099 - Page 99 - Exposé des travaux scientifiques. V. Etudes thérapeutiques. d. Le tube digestif. L'atrésie congénitale de l'oesophage avec fistule trachéo-oesophagienne ; par H. Métras et J. Coignet / e. Appareil cardio vasculaire / L'angiocardiographie ; par J. Pierron et H. Métras...
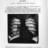
0106 - Page 106 - Exposé des travaux scientifiques. V. Etudes thérapeutiques. e. Appareil cardio vasculaire. L'opération de C. Crafoord pour rétrécissement isthmique congénital de l'aorte ; par MM. J. Pierron et H. Metras...0106 - Page 106 - Exposé des travaux scientifiques. V. Etudes thérapeutiques. e. Appareil cardio vasculaire. L'opération de C. Crafoord pour rétrécissement isthmique congénital de l'aorte ; par MM. J. Pierron et H. Metras...
0110 - Page 110 - Exposé des travaux scientifiques. V. Etudes thérapeutiques. e. Appareil cardio vasculaire. L'opération de C. Crafoord pour rétrécissement isthmique congénital de l'aorte ; par MM. J. Pierron et H. Metras... / F. Certaines glandes endocrines0110 - Page 110 - Exposé des travaux scientifiques. V. Etudes thérapeutiques. e. Appareil cardio vasculaire. L'opération de C. Crafoord pour rétrécissement isthmique congénital de l'aorte ; par MM. J. Pierron et H. Metras... / F. Certaines glandes endocrines
0111 - Page 111 - Exposé des travaux scientifiques. XI. Etudes expérimentales / Étude critique des méthodes d'exclusion des cavités cardiaques pour l'abord chirurgical de celles-ci ; G. Morin et H. Métras0111 - Page 111 - Exposé des travaux scientifiques. XI. Etudes expérimentales / Étude critique des méthodes d'exclusion des cavités cardiaques pour l'abord chirurgical de celles-ci ; G. Morin et H. Métras
0116 - Page 116 - Exposé des travaux scientifiques. XI. Etudes expérimentales. Étude critique des méthodes d'exclusion des cavités cardiaques pour l'abord chirurgical de celle-ci ; G. Morin et H. Métras / Procédé personnel d'exclusion et étude des résultats expérimentaux pour la chirurgie de l'aorte à son origine ; par H. Métras0116 - Page 116 - Exposé des travaux scientifiques. XI. Etudes expérimentales. Étude critique des méthodes d'exclusion des cavités cardiaques pour l'abord chirurgical de celle-ci ; G. Morin et H. Métras / Procédé personnel d'exclusion et étude des résultats expérimentaux pour la chirurgie de l'aorte à son origine ; par H. Métras
0121 - Page 121 - Table des matières0121 - Page 121 - Table des matières